症例・導⼊事例 パンくず ホーム 症例紹介・導入事例 症例紹介 イオプロミド注「BYL」 製品・部位から探す 全て イオプロミド注「BYL」ガドビスト®静注1.0mol/Lその他の造影剤心臓・大血管肺・縦隔乳房腹部・骨盤消化管泌尿器男性生殖器女性生殖器四肢脳・脊髄頭頸部 イオプロミド注「BYL」症例一覧 胸骨圧迫に伴う動脈損傷の一例 胸骨圧迫に伴う動脈損傷の一例 胸骨圧迫に伴う動脈損傷の一例 2025-12-23 東京医科大学病院Aquilion64キャノンメディカルシステムズ株式会社2025 詳細はこちら 腎血管筋脂肪腫のIVR術前CT 腎血管筋脂肪腫のIVR術前CT 腎血管筋脂肪腫のIVR術前CT 2025-12-23 東京医科大学病院Revolution FrontierGE Healthcare2025 詳細はこちら 急性大動脈解離の造影CT 急性大動脈解離の造影CT 急性大動脈解離の造影CT 2026-01-08 東京医科大学病院Aquilion Prime SPキャノンメディカルシステムズ株式会社2025 詳細はこちら 肺血栓塞栓症および深部静脈血栓症の診断 肺血栓塞栓症および深部静脈血栓症の診断 肺血栓塞栓症および深部静脈血栓症の診断 2025-12-23 東京医科大学病院Revolution CTGE Healthcare2025 詳細はこちら 外傷性内頸動脈解離による閉塞が原因と考えられる脳梗塞の1例 外傷性内頸動脈解離による閉塞が原因と考えられる脳梗塞の1例 外傷性内頸動脈解離による閉塞が原因と考えられる脳梗塞の1例 2025-12-17 奈良県立医科大学附属病院Aquilion ONEキャノンメディカルシステムズ株式会社2025 詳細はこちら 頭部CTでのSAH術後血流評価 頭部CTでのSAH術後血流評価 頭部CTでのSAH術後血流評価 2025-12-17 奈良県立医科大学附属病院Aquilion ONEキャノンメディカルシステムズ株式会社2025 詳細はこちら 島回部膠芽腫の1例 島回部膠芽腫の1例 島回部膠芽腫の1例 2025-12-17 奈良県立医科大学附属病院Aquilion ONEキャノンメディカルシステムズ株式会社2025 詳細はこちら 直腸静脈瘤に対する経皮経肝的静脈瘤塞栓術 直腸静脈瘤に対する経皮経肝的静脈瘤塞栓術 直腸静脈瘤に対する経皮経肝的静脈瘤塞栓術 2025-12-24 日本医科大学武蔵小杉病院Revolution HDGE Healthcare2025 詳細はこちら 膵尾部癌のステージング目的の造影CT 膵尾部癌のステージング目的の造影CT 膵尾部癌のステージング目的の造影CT 2025-12-17 奈良県立医科大学附属病院Aquilion ONEキャノンメディカルシステムズ株式会社2025 詳細はこちら 胸部急性大動脈解離に対する全弓部置換術後の活動性出血 胸部急性大動脈解離に対する全弓部置換術後の活動性出血 胸部急性大動脈解離に対する全弓部置換術後の活動性出血 2025-12-17 杏林大学医学部付属病院Aquilion ONE ViSION Editionキャノンメディカルシステムズ株式会社2025 詳細はこちら 症例紹介・導入事例一覧ページへ戻る
胸骨圧迫に伴う動脈損傷の一例 胸骨圧迫に伴う動脈損傷の一例 胸骨圧迫に伴う動脈損傷の一例 2025-12-23 東京医科大学病院Aquilion64キャノンメディカルシステムズ株式会社2025 詳細はこちら
腎血管筋脂肪腫のIVR術前CT 腎血管筋脂肪腫のIVR術前CT 腎血管筋脂肪腫のIVR術前CT 2025-12-23 東京医科大学病院Revolution FrontierGE Healthcare2025 詳細はこちら
急性大動脈解離の造影CT 急性大動脈解離の造影CT 急性大動脈解離の造影CT 2026-01-08 東京医科大学病院Aquilion Prime SPキャノンメディカルシステムズ株式会社2025 詳細はこちら
肺血栓塞栓症および深部静脈血栓症の診断 肺血栓塞栓症および深部静脈血栓症の診断 肺血栓塞栓症および深部静脈血栓症の診断 2025-12-23 東京医科大学病院Revolution CTGE Healthcare2025 詳細はこちら
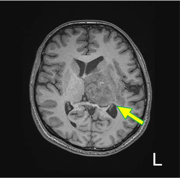
外傷性内頸動脈解離による閉塞が原因と考えられる脳梗塞の1例 外傷性内頸動脈解離による閉塞が原因と考えられる脳梗塞の1例 外傷性内頸動脈解離による閉塞が原因と考えられる脳梗塞の1例 2025-12-17 奈良県立医科大学附属病院Aquilion ONEキャノンメディカルシステムズ株式会社2025 詳細はこちら
頭部CTでのSAH術後血流評価 頭部CTでのSAH術後血流評価 頭部CTでのSAH術後血流評価 2025-12-17 奈良県立医科大学附属病院Aquilion ONEキャノンメディカルシステムズ株式会社2025 詳細はこちら
直腸静脈瘤に対する経皮経肝的静脈瘤塞栓術 直腸静脈瘤に対する経皮経肝的静脈瘤塞栓術 直腸静脈瘤に対する経皮経肝的静脈瘤塞栓術 2025-12-24 日本医科大学武蔵小杉病院Revolution HDGE Healthcare2025 詳細はこちら
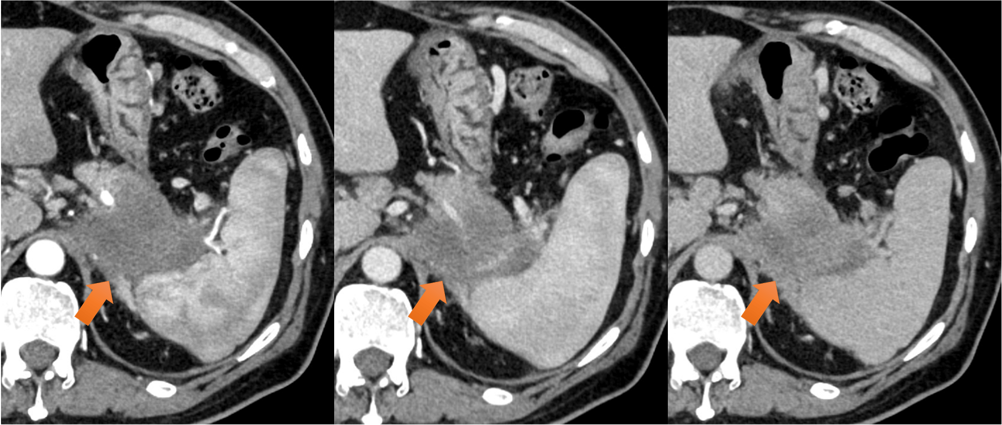
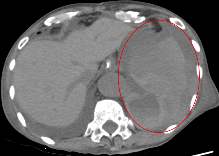
膵尾部癌のステージング目的の造影CT 膵尾部癌のステージング目的の造影CT 膵尾部癌のステージング目的の造影CT 2025-12-17 奈良県立医科大学附属病院Aquilion ONEキャノンメディカルシステムズ株式会社2025 詳細はこちら
胸部急性大動脈解離に対する全弓部置換術後の活動性出血 胸部急性大動脈解離に対する全弓部置換術後の活動性出血 胸部急性大動脈解離に対する全弓部置換術後の活動性出血 2025-12-17 杏林大学医学部付属病院Aquilion ONE ViSION Editionキャノンメディカルシステムズ株式会社2025 詳細はこちら