症例・導⼊事例
※ご紹介する症例は臨床症例の一部を紹介したもので、全ての症例が同様な結果を示すわけではありません。
胸部急性大動脈解離に対する全弓部置換術後の活動性出血
施設名: 杏林大学医学部付属病院
執筆者: 放射線医学教室 髙橋 正輝 先生、放射線部 岡田 樹 先生
作成年月:2025年9月
※ 効能又は効果、用法及び用量、警告・禁忌を含む注意事項等情報等については、電子添文をご参照ください。
はじめに
症例背景
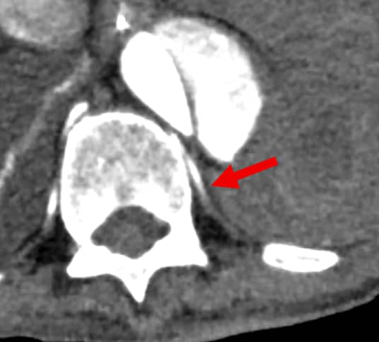
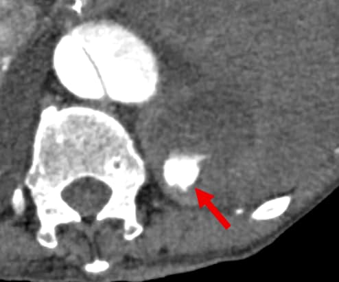
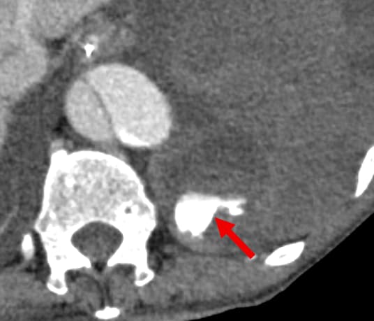
70歳代、男性、70kg、左第11肋間動脈の左胸腔内への活動性出血
検査目的
術後の貧血の進行に対する活動性出血の検索目的に造影CT施行
使用造影剤
イオプロミド370注シリンジ100mL「BYL」/ 600mgI/Kg
症例解説
背景として、5年前に急性大動脈解離に対し全弓部置換術を施行されており、1か月前に人工血管感染のため開胸ドレナージおよび緊急予防的TEVARが施行されている。その1週間後、待機的に再全弓部置換術および大網充填が施行された。手術は問題なく終了したものの、術後9日に創部皮下の血腫を認めた。術後12日には胃管からの黒色排液や貧血の進行が認められ、上部消化管内視鏡検査が施行されたが活動性出血は指摘できず、出血源精査のため造影CT検査が施行された。左第11肋間動脈より活動性出血の所見があり、緊急的TAEを施行した。その後貧血の進行なく経過している。
撮影プロトコル
表は横スクロールでご覧いただけます。
| 使用機器 | CT機種名/メーカー名 | Aquilion ONE ViSION Edition / Canon |
| CT検出器の列数/スライス数 | 320列 | |
| ワークステーション名/メーカー名 | ZIO STATION2 / ZIOSOFT |
撮影条件
表は横スクロールでご覧いただけます。
| 撮影時相 | 単純 | 早期動脈相 | 平衡相 |
| 管電圧 (kV) | 120 | 120 | 120 |
| AEC | 有 | 有 | 有 |
| (AECの設定) | SD=13 | 13 | 13 |
| ビーム幅 (mm) | 40 | 40 | 40 |
| 撮影スライス厚 (mm) | 0.5 | 0.5 | 0.5 |
| 焦点サイズ | Large | Large | Large |
| スキャンモード | Helical | Helical | Helical |
| スキャン速度(sec/rot) | 0.5 | 0.5 | 0.5 |
| ピッチ | 0.813 | 0.813 | 0.813 |
| スキャン範囲 | 胸部から骨盤 | 胸部から骨盤 | 胸部から骨盤 |
| 撮影時間 (sec) | 12 | 12 | 12 |
| 撮影方向 | 頭⇒足 | 頭⇒足 | 頭⇒足 |
再構成条件
表は横スクロールでご覧いただけます。
| 単純 | 早期動脈相 | 平衡相 | |
| ルーチン:再構成スライス厚/間隔 (mm/mm) | 5 / 5 | 5 / 5 | 5 / 5 |
| ルーチン:再構成関数/逐次近似応用法 | FC03-H / AIDR 3D | FC03 / AIDR 3D | FC03 / AIDR 3D |
| 3D/MPR用:再構成スライス厚/間隔 (mm/mm) | 1 / 0.8 | 1 / 0.8 | 1 / 0.8 |
| 3D/MPR用:再構成関数/逐次近似応用法 | FC03-H / AIDR 3D | FC03 / AIDR 3D | FC03 / AIDR 3D |
造影条件
| 自動注入器機種名/メーカー名 | DUAL SHOT GX7 / 根本杏林堂 |
| 造影剤名 | イオプロミド370注シリンジ |
表は横スクロールでご覧いただけます。
| 撮影プロトコル | 早期動脈相 | 平衡相 |
| 造影剤:投与量 (mgI/Kg) | 600 | ー |
| 造影剤:注入時間 (sec) | 30 | ー |
| 生食:投与量 (mL) | 30 | ー |
| 生食:注入速度 (mL/sec)、注入時間 (sec) | 造影剤と同注入速度 | ー |
| スキャンタイミング | BT法(下降大動脈/+100HU) | ー |
| ディレイタイム | 造影剤注入開始10sec後 | A相から60sec |
| 留置針サイズ (G) | 22 | |
| 注入圧リミット (psi) | 210 | |
当該疾患の診断における造影CTの役割
今回の症例は、術後にある程度の日数が経過してから貧血の進行が顕在化していた。術直後から左胸水の増加が緩徐であったことや胃管から黒色排液を認めたことから、まず上部内視鏡検査が施行され、胸腔内の出血は積極的に疑われていなかった。実際、後方視的にも今回のCT以外では血胸を認めず、高頻度に撮影されていた胸部単純写真(臥位)では有意な変化は認められていなかった。そこで今回の撮像では胸部~骨盤部にかけて広範囲の活動性出血の検索が目的となっている。早期動脈相により動脈性の出血が同定でき、後期相の撮像により仮性動脈瘤等との鑑別も可能になっている。また、非造影検査により血性胸水の同定や石灰化と濃染域との鑑別も容易になっている。薄層やMPRの画像も作成されており責任血管の同定がしやすくなるとともに、治療(TAE)の一助にもなっている。
CT技術や撮像プロトコル設定について
この撮影は単純、早期動脈相、平衡相の三相の撮影を行っている。早期動脈相での撮影を行う必要があるため、ボーラストラッキング法を使用している。トラッキングの位置は単純CT画像を確認し、アーチファクトや石灰化また偽腔などを考慮した位置で行っている。横隔膜直下の腹部大動脈にてROI監視を行い、ベースラインより100HU増加したタイミングで動脈相の撮影を行っている。造影剤投与量は600mgI/kgで行い、大血管を高いCT値で撮影している。また注入部から血管内に残った造影剤をより多く送り、造影効果を高めるために生理食塩水での後押しを行っている。撮影後、分枝血管との位置関係の把握に有用なVR画像、MIP画像の作成を行っている。
使用上の注意【電子添文より抜粋】
9.特定の背景を有する患者に関する注意
9.8 高齢者
患者の状態を観察しながら使用量を必要最小限にするなど慎重に投与すること。本剤は主として、腎臓から排泄されるが、高齢者では腎機能が低下していることが多いため、高い血中濃度が持続するおそれがある。[8.6、9.2.1、9.2.2 参照]