症例・導⼊事例

※ご紹介する症例は臨床症例の一部を紹介したもので、全ての症例が同様な結果を示すわけではありません。

膵尾部癌のステージング目的の造影CT

施設名: 奈良県立医科大学附属病院
執筆者: 放射線診断・IVR学講座 平 克彦 先生、越智 朋子 先生
作成年月: 2025年10月

※ 効能又は効果、用法及び用量、警告・禁忌を含む注意事項等情報等については、電子添文をご参照ください。

はじめに

症例背景

70歳代、男性、68kg、膵尾部癌

検査目的

膵癌精査のための胸腹部造影CT

使用造影剤

イオプロミド370注シリンジ100mL「BYL」/ 80mL

症例解説

腰痛を契機に前医で胸腹部単純C Tを施行され、膵尾部癌疑い、多発肝転移・多発肺転移・骨転移疑いを指摘された。当院に紹介され、ステージング目的に胸腹部造影CTが施行された。膵尾部に66mmの漸増性の濃染を呈する乏血性腫瘤が認められた。左横隔膜脚・胃・副腎・脾・腹膜との間の脂肪織消失から浸潤が疑われ、脾静脈途絶と脾動脈口径不整より脈管浸潤が示唆された。肝両葉にリング状濃染の多発病変、肺には右中葉腫瘤と多発小結節が認められ、多発肝転移・肺転移が疑われた。肺動脈分枝に造影欠損が散見されており、造影欠損部の一部で増強効果を伴っていることから、腫瘍塞栓/血栓が考えられた。右下葉肺静脈壁沿いの欠損部、L4造骨性変化も指摘されており、いずれも転移が疑われた。画像所見から膵尾部癌cT3N0M1 StageⅣと診断され、全身化学療法の方針となった。

画像所見

図1.膵尾部腫瘤(66mm)
膵尾部に漸増性の濃染を伴う乏血性腫瘤を認めた。膵尾部癌が疑われた。

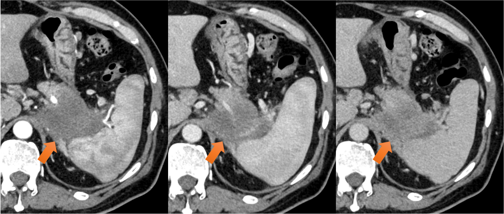
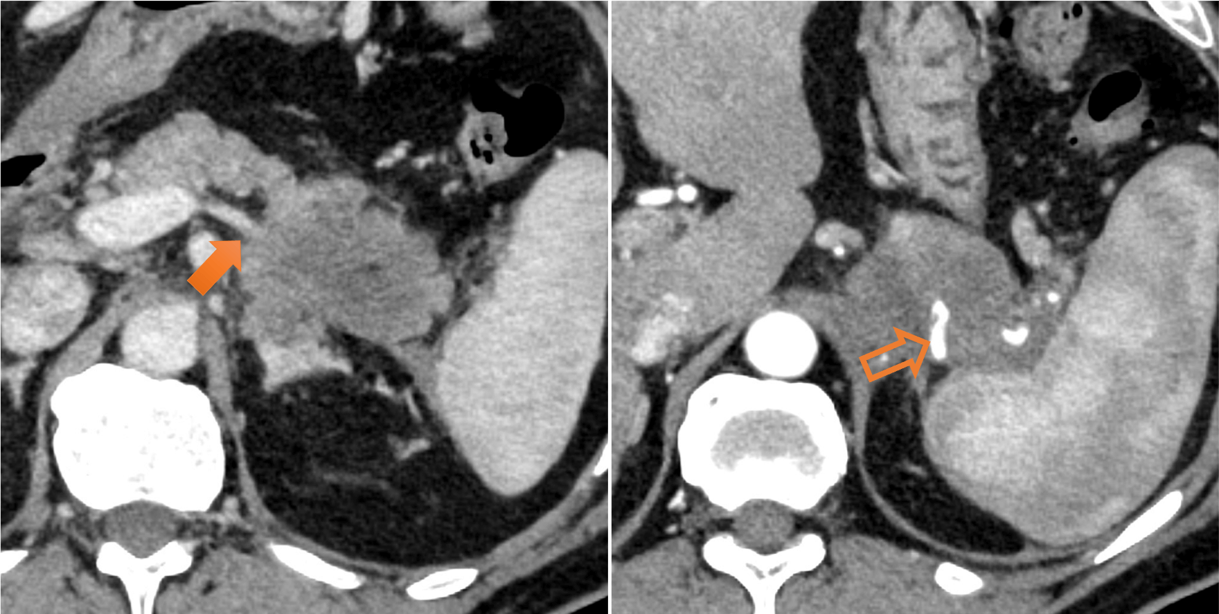
図2.周辺臓器浸潤
左横隔膜脚(→)、胃穹隆部~体上部、左副腎、脾臓、腹膜との間の脂肪織の消失を認めた。

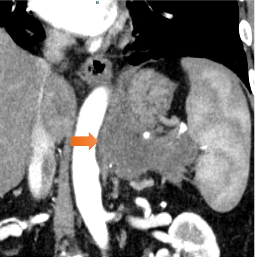
図3.脾動静脈浸潤
脾静脈は腫瘍により閉塞しており(→)、脾動脈は腫瘍と全周性に接触し、口径不整を認めた(⇨)。

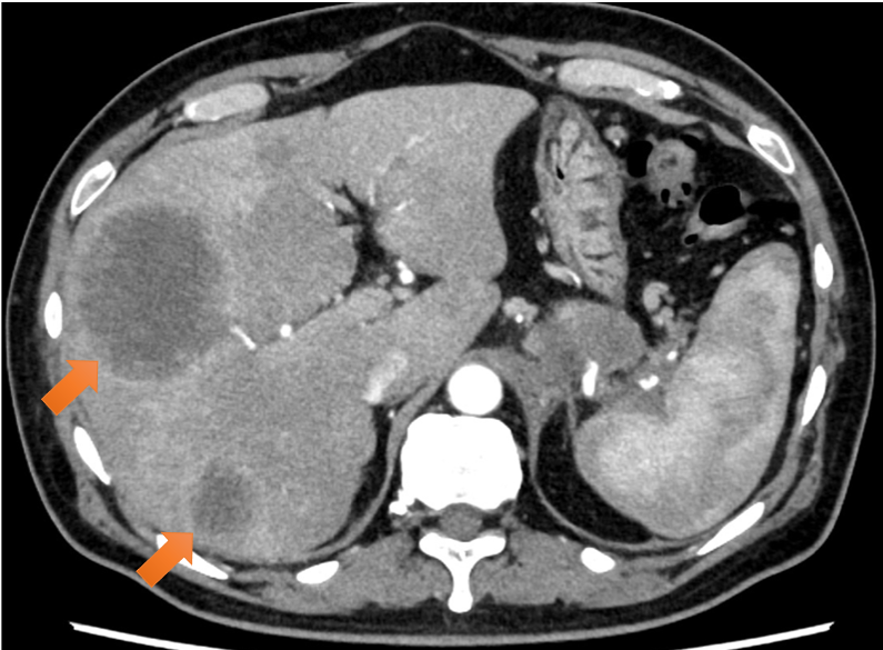
図4.多発肝転移
肝両葉に75mm大までのリング状濃染を伴う腫瘤を多数認めた。

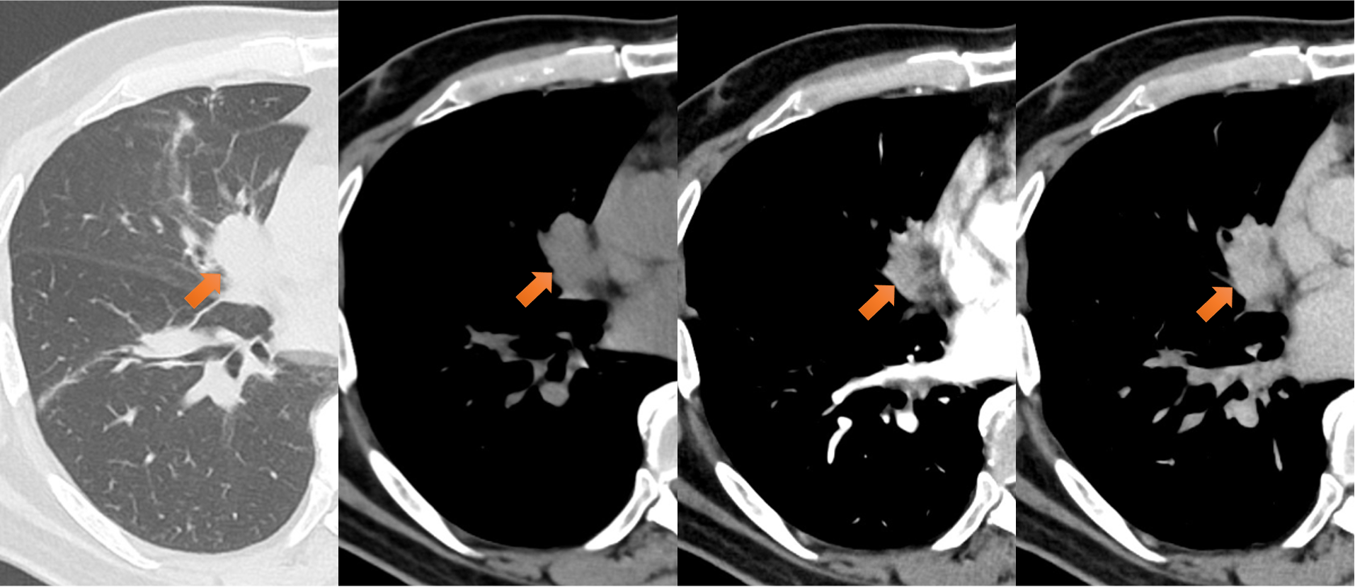
図5.右中葉腫瘤
右中葉中枢側に29mm大の腫瘤あり、造影で漸増性の増強効果を認めた。膵尾部病変と類似しており、転移と考えられた。右中葉B5末梢側にかけて軟部影が充満しており、腫瘍の気管支内進展が疑われた。

図6.肺動脈造影欠損像
右肺下葉動脈(A8)、左肺上下葉動脈(A3やA8、A9など)に造影欠損あり、造影で一部、増強効果を伴っており、腫瘍塞栓/血栓が疑われた。

図7.肺静脈造影欠損像
右下葉肺静脈壁に沿うように造影欠損あり、腫瘍進展が疑われた。化学療法後、消失が確認された。

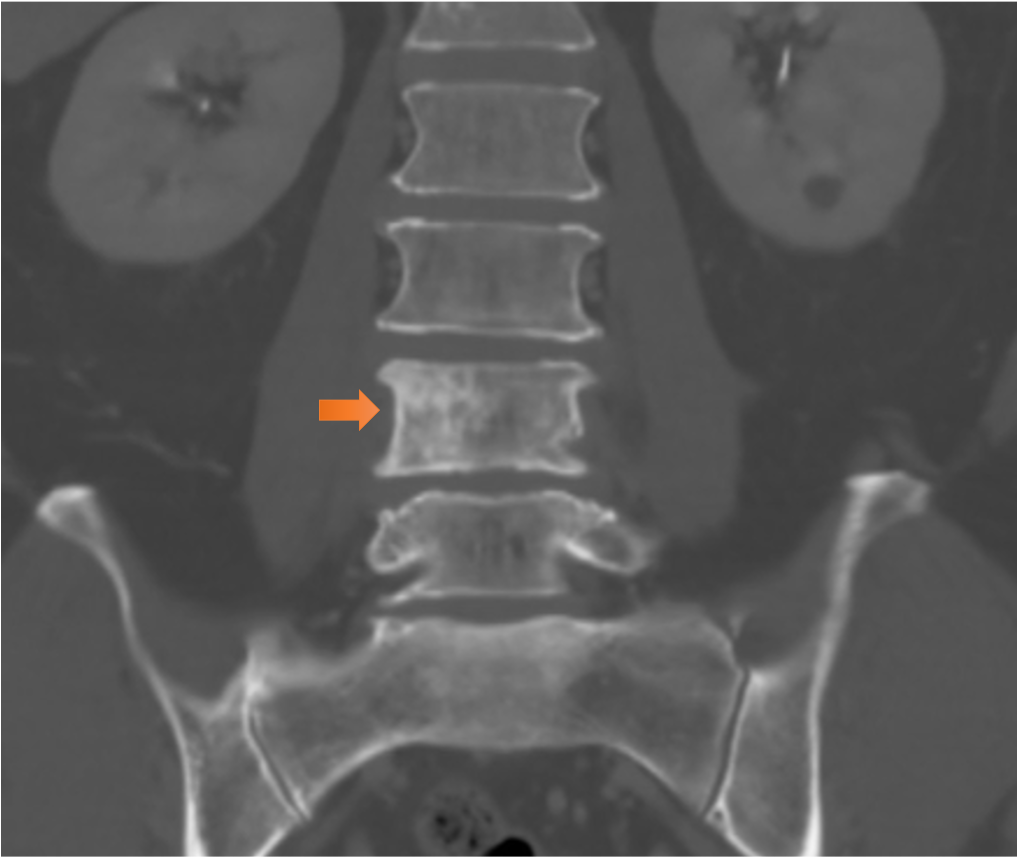
図8.骨転移
L4に不整な造骨性変化を認めた。脊柱管内への進展は認めず。

撮影プロトコル

表は横スクロールでご覧いただけます。

使用機器CT機種名/メーカー名Aquilion One / Canon
CT検出器の列数/スライス数320
ワークステーション名/メーカー名VINCENT / Fujifilm

撮影条件

表は横スクロールでご覧いただけます。

撮影時相単純後期動脈相門脈相平衡相
管電圧 (kV)120120120120
AECVolumeECVolumeECVolumeECVolumeEC
(AECの設定)SD 8.0SD 8.0SD 8.0SD 8.0
ビーム幅0.5x800.5x800.5x800.5x80
撮影スライス厚(mm)0.50.50.50.5
焦点サイズLargeLargeLargeLarge
スキャンモードHelicalHelicalHelicalHelical
スキャン速度(sec/rot)0.50.50.50.5
ピッチ標準(PF 0.813)標準(PF 0.813)標準(PF 0.813)標準(PF 0.813)
スキャン範囲肺尖から骨盤上腹部肺尖から上腹部横隔膜から骨盤
撮影時間 (sec)12.375.188.059.48
撮影方向頭⇒足頭⇒足頭⇒足頭⇒足

再構成条件

表は横スクロールでご覧いただけます。

 単純後期動脈相門脈相平衡相
ルーチン:再構成スライス厚/間隔 (mm/mm)5.0 / 5.03.0 / 3.03.0 / 3.03.0 / 3.0
ルーチン:再構成関数/逐次近似応用法AiCE body sharp MildAiCE body sharp MildAiCE body sharp MildAiCE body sharp Mild
3D/MPR用:再構成スライス厚/間隔 (mm/mm)1.0 / 1.01.0 / 1.01.0 / 1.0
3D/MPR用:再構成関数/逐次近似応用法AiCE body sharp MildAiCE body sharp MildAiCE body sharp Mild

造影条件

表は横スクロールでご覧いただけます。

自動注入器機種名/メーカー名Stellant/Bayer
造影剤名イオプロミド370注シリンジ

表は横スクロールでご覧いただけます。

撮影プロトコル後期動脈相門脈相平衡相
造影剤:投与量 (mL)80
造影剤:注入速度 (mL/sec)3.0
生食:投与量 (mL)
生食:注入速度 (mL/sec)、注入時間 (sec)
スキャンタイミングBT法(大動脈弓/150HU)固定法
ディレイタイム造影剤注入開始10秒後造影剤注入開始70秒後造影剤注入開始120秒後
留置針サイズ (G)22
注入圧リミット (psi)200

当該疾患の診断における造影CTの役割

本症例では造影CTにより、原発巣の性状(66mm乏血性・漸増性濃染)と周囲臓器や腹膜、脈管への浸潤が認められた。その他、肝両葉に及ぶリング状濃染や両肺多発結節から多発肝転移・肺転移、肺動静脈造影欠損から腫瘍塞栓/血栓、骨転移の把握が一度に可能であった。これらの所見により、遠隔転移を伴う膵癌として、StageⅣと診断することができ、全身治療方針の決定に有用な情報が得られた。

CT技術や撮像プロトコル設定について

膵癌のステージングおよび術前評価では、原発巣の描出・脈管浸潤・リンパ節転移・遠隔転移を一度に評価できるよう、多時相ダイナミック造影を設計する。高濃度ヨード造影剤を高流速で静注し、ボーラス性を確保する。撮像タイミングはボーラストラッキングを用い、大動脈弓にROIを置き、150HU到達後に後期動脈相、15-20秒で膵実質相、造影開始約70秒で門脈相を取得する。再構成は0.5-1 mmの等方性データをMPR/CPR、MIP/VRで行い、SMA・腹腔動脈・固有肝動脈・脾動静脈・門脈との接触角・接触長、狭窄や閉塞、脂肪層の消失や血管偏位を具体的に検討する。Dual Energy CTでは低管電圧像でコントラストを高め、ヨードマップで病変の造影有無を補助評価する。体位は上肢挙上、短時間呼吸停止を徹底し、撮影範囲は胸部~骨盤とすることで肝・肺・腹膜・骨病変を同時に評価する。

使用上の注意【電子添文より抜粋】

  • 9.特定の背景を有する患者に関する注意

    9.8 高齢者
    患者の状態を観察しながら使用量を必要最小限にするなど慎重に投与すること。本剤は主として、腎臓から排泄されるが、高齢者では腎機能が低下していることが多いため、高い血中濃度が持続するおそれがある。[8.6、9.2.1、9.2.2 参照]