症例・導⼊事例
※ご紹介する症例は臨床症例の一部を紹介したもので、全ての症例が同様な結果を示すわけではありません。
外傷性内頸動脈解離による閉塞が原因と考えられる脳梗塞の1例
施設名: 奈良県立医科大学附属病院
執筆者: 放射線診断・IVR学講座 松田 一希 先生、越智 朋子 先生
作成年月: 2025年10月
※ 効能又は効果、用法及び用量、警告・禁忌を含む注意事項等情報等については、電子添文をご参照ください。
はじめに
症例背景
30歳代、女性、54kg、外傷性内頸動脈解離
検査目的
主訴:構音障害、失語、右上肢しびれ
現病歴:自動車運転中に大型トラックと衝突。家人が普段と違うことに気付き、構音障害が持続しており、MRIで脳梗塞と診断された。原因として内頸動脈解離による閉塞が疑われ、血管精査目的に造影CT施行。
使用造影剤
イオプロミド370注シリンジ80mL「BYL」/ 80mL
症例解説
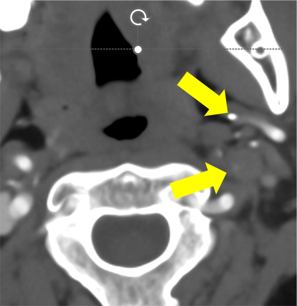
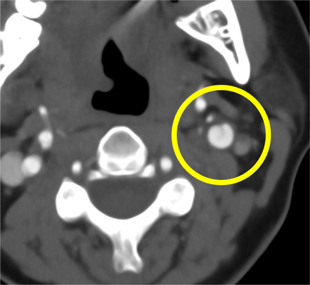
交通外傷後に構音障害が持続し、脳梗塞と診断された患者。内頸動脈解離による閉塞が疑われ、造影CTが施行された。造影CTで左内頸動脈の閉塞を指摘、原因として解離が疑われた。
また、茎状突起の過長はないが、解離部近傍に茎状突起先端が近接しており、茎状突起による内頸動脈解離が疑われたため、茎状突起切除術後に狭窄部ステント留置となった。
術後フォローでは新規梗塞は指摘できず、血流良好であり、10日後に退院となった。
撮影プロトコル
表は横スクロールでご覧いただけます。
| 使用機器 | CT機種名/メーカー名 | Aquilion ONE |
| CT検出器の列数/スライス数 | 320 | |
| ワークステーション名/メーカー名 | VINCENT / Fujifilm |
撮影条件
表は横スクロールでご覧いただけます。
| 撮影時相 | 単純 | 単純 | 動脈相 | 平衡相 | 平衡相 |
| 管電圧 (kV) | 120 | 120 | 120 | 120 | 120 |
| AEC | VolumeEC | VolumeEC | VolumeEC | VolumeEC | VolumeEC |
| (AECの設定) | SD 1.5 | SD 8.0 | SD 8.0 | SD 10.0 | SD 2.5 |
| ビーム幅 | 0.5X80 | 0.5X80 | 0.5X80 | 0.5X80 | 0.5X80 |
| 撮影スライス厚(mm) | 0.5 | 0.5 | 0.5 | 0.5 | 0.5 |
| 焦点サイズ | Small | Small | Small | Small | Small |
| スキャンモード | Helical | Helical | Helical | Helical | Helical |
| スキャン速度(sec/rot) | 0.75 | 0.75 | 0.75 | 0.75 | 0.75 |
| ピッチ | 標準(PF 0.813) | 標準(PF 0.813) | 標準(PF 0.813) | 標準(PF 0.813) | 高精細(PF 0.637) |
| スキャン範囲 | 頭部 | 大動脈弓から頭部 | 大動脈弓から頭部 | 大動脈弓から頭部 | 頭部 |
| 撮影時間 (sec) | 5.97 | 9.46 | 9.46 | 9.46 | 8.4 |
| 撮影方向 | 足→頭 | 足→頭 | 足→頭 | 足→頭 | 足→頭 |
再構成条件
表は横スクロールでご覧いただけます。
| 単純 | 単純 | 動脈相 | 平衡相 | 平衡相 | |
| ルーチン:再構成スライス厚/間隔 (mm/mm) | 5.0 / 5.0 | 3.0 / 3.0 | 3.0 / 3.0 | 3.0 / 3.0 | 3.0 / 3.0 |
| ルーチン:再構成関数/逐次近似応用法 | FC21 | AiCE Brain CTA | AiCE Brain CTA | AiCE 頸部 | FC21 |
| 3D/MPR用:再構成スライス厚/間隔 (mm/mm) | 0.5 / 0.5 | 0.5 / 0.5 | 0.5 / 0.5 | 0.5 / 0.5 | 0.5 / 0.5 |
| 3D/MPR用:再構成関数/逐次近似応用法 | FC21 | AiCE Brain CTA | AiCE Brain CTA | AiCE 頸部 | FC21 |
造影条件
| 自動注入器機種名/メーカー名 | Stellant / Bayer |
| 造影剤名 | イオプロミド370注シリンジ |
表は横スクロールでご覧いただけます。
| 撮影プロトコル | 動脈相 | 平衡相 | 平衡相 |
| 造影剤:投与量 (mL) | 80 | ー | |
| 造影剤:注入速度 (mL/sec) | 4 | ー | |
| 生食:投与量 (mL) | 25 | ー | |
| 生食:注入速度 (mL/sec) | 4 | ー | |
| スキャンタイミング | BT法(大動脈弓/200HU) | ー | 固定法 |
| ディレイタイム | 造影剤注入開始10秒後 | ー | 造影剤注入開始180秒後 |
| 留置針サイズ (G) | 20 | ||
| 注入圧リミット (psi ) | 200 | ||
当該疾患の診断における造影CTの役割
外傷性内頸動脈解離は重篤な疾患であり、頸部痛の他、意識障害や神経脱落症状、一過性脳虚血発作、Horner症候群、頸動脈雑音などの症状から疑われる。外傷から虚血症状の出現までに意識清明期が存在することが外傷性内頸動脈損傷の特徴であるが、全ての症例に存在するわけではない。
外傷性頸動脈閉塞の死亡率は38.5%で、重篤な神経学的欠落症状を残すものは50.0%との報告もあり、予後は不良であるため、迅速な診断・治療が重要となる。
評価手段として血管造影検査が推奨されていたが、最近では細分解能CTも同等の感度があるとされている。
エコー検査も推奨されるが、エコー検査で陰性であってもMRAまたはCTAでの確認が必要とされている。
過長茎状突起に関連した内頸動脈解離は稀と言われているが、その報告数は近年増加してきている。本症例でも茎状突起に過長はないものの、内頸動脈に近接していた。
DSAでは周囲骨が subtractionされ、頸部エコーや MRA においては茎状突起が描出されないため、茎状突起の評価が十分に行うことができない。そのため、内頸動脈解離急性期での診断の際に、過長茎状突起の有無の評価や内頸動脈と茎状突起の位置を描出するのにCTA が有効であると考えられる。
茎状突起周囲は下顎骨や乳様突起に囲まれており、3D 画像のみでなくCTAの axial view の元画像などで茎状突起と頸動脈が近接していないか確認するのがよいと考えられる。
CT技術や撮像プロトコル設定について
本症例では脳梗塞の原因として内頸動脈解離が疑われ、CTAが施行された。
CTAではターゲットとする血管を正確に描出することが必要であり、高容量のヨード造影剤を使用し、4.0ml/secの 速度で急速注入を行い、生理食塩水25mlで後押しした。また、撮影のタイミングが非常に重要であり、心機能など患者個々に応じた撮像のタイミングが必要となるため、当院ではボーラストラッキング法を用いた撮像を行っている。
今回は内頸動脈をターゲットとしたため、大動脈弓部にROIを設定した。画像再構成では血管走行や解離部位を詳細に評価するため、0.5mmにスライス厚を設定する。