症例・導⼊事例
※ご紹介する症例は臨床症例の一部を紹介したもので、全ての症例が同様な結果を示すわけではありません。
急性大動脈解離の造影CT
施設名: 東京医科大学病院
執筆者: 放射線医学分野 間渕 結衣 先生、石田 尚利 先生、齋藤 和博 先生
作成年月: 2025年11月
※ 効能又は効果、用法及び用量、警告・禁忌を含む注意事項等情報等については、電子添文をご参照ください。
はじめに
症例背景
70歳代、女性、54kg、Stanford A型急性大動脈解離
検査目的
急性大動脈解離の術前精査のため
使用造影剤
イオプロミド370注シリンジ100mL「BYL」/ 80mL
症例解説
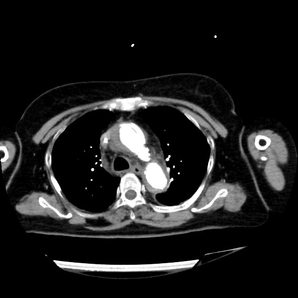
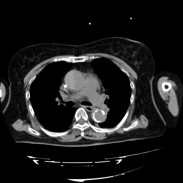
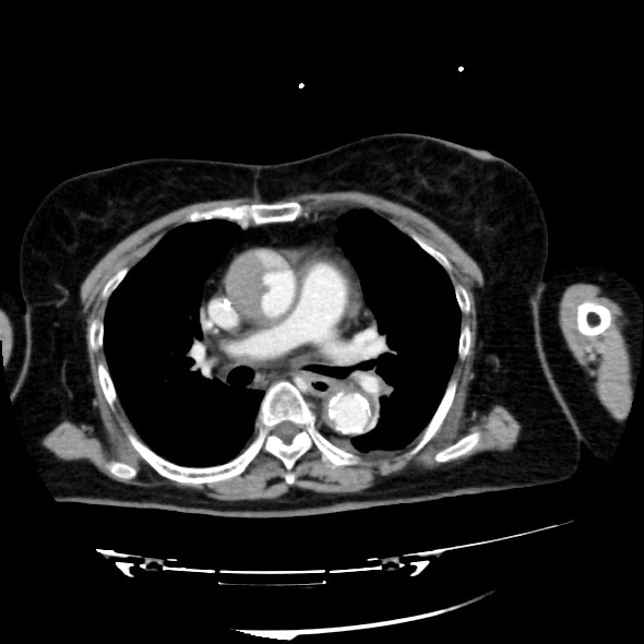
症例は70歳台女性。胸背部痛を主訴に近医を受診し、単純CTを撮像したところ、Stanford A型急性大動脈解離を認めたため、加療目的に当院へ転院搬送となった。既往に慢性腎臓病があり、Cre 2.43mg/dL、eGFR 15.7と高度腎機能障害を認めたが、リスクベネフィットを検討した結果、術前精査のために造影CTが施行された。解離の範囲や造影剤のエントリー部位を同定することができた。
撮影プロトコル
表は横スクロールでご覧いただけます。
| 使用機器 | CT機種名/メーカー名 | Prime SP / canon |
| CT検出器の列数/スライス数 | 80 / 160 | |
| ワークステーション名/メーカー名 | ー |
撮影条件
表は横スクロールでご覧いただけます。
| 撮影時相 | 単純 | 動脈相 | 平衡相 |
| 管電圧 (kV) | 120 | 120 | 120 |
| AEC | SD 10 | SD 10 | SD 10 |
| (AECの設定) | MAX600 MIN100 | MAX600 MIN100 | MAX600 MIN100 |
| ビーム幅 | 40 | 40 | 40 |
| 撮影スライス厚(mm) | 5 | 5 | 5 |
| 焦点サイズ | Large | Large | Large |
| スキャンモード | Helical | Helical | Helical |
| スキャン速度(sec/rot) | 0.5 | 0.5 | 0.5 |
| ピッチ | PE0.813 HP65 | PE0.813 HP65 | PE0.813 HP65 |
| スキャン範囲 | 頸部~骨盤部 | 頸部~骨盤部 | 頸部~骨盤部 |
| 撮影時間 (sec) | 13 | 13 | 13 |
| 撮影方向 | 頭→足 | 頭→足 | 頭→足 |
再構成条件
表は横スクロールでご覧いただけます。
| 単純 | 動脈相 | 平衡相 | |
| ルーチン:再構成スライス厚/間隔 (mm/mm) | 5 / 5 | 5 / 5 | 5 / 5 |
| ルーチン:再構成関数/逐次近似応用法 | FCO3 / AIDR 3D Mild(50%) | ー | ー |
| 3D/MPR用:再構成スライス厚/間隔 (mm/mm) | 1 / 1 | 1 / 1 | 1 / 1 |
| 3D/MPR用:再構成関数/逐次近似応用法 | FCO3 / AIDR 3D Mild(50%) | ー | ー |
造影条件
| 自動注入器機種名/メーカー名 | Dual shot GX7 / 根本杏林堂 |
| 造影剤名 | イオプロミド370注シリンジ |
表は横スクロールでご覧いただけます。
| 撮影プロトコル | 動脈相 | 動脈相 |
| 造影剤:投与量 (mL) | 80 | ー |
| 造影剤:注入速度 (mL/sec)、注入時間 (sec) | 2.5、32 | ー |
| 生食:投与量 (mL) | ー | ー |
| 生食:注入速度 (mL/sec)、注入時間 (sec) | ー | ー |
| スキャンタイミング | BT法(腹腔動脈/150HU) | ー |
| ディレイタイム | 10秒 | 造影剤注入後120秒 |
| 留置針サイズ (G) | 20 | |
| 注入圧リミット (psi) | 10 | |
当該疾患の診断における造影CTの役割
造影CTは急性大動脈解離の診断において最重要の検査であり、真腔と偽腔の描出、エントリー部位や偽腔内血栓の有無を評価できる。また、MPRや3D再構成を用いることで大動脈全体や末梢血管の状態を把握でき、手術やInterventional Radiologyによる手技前の血管解剖評価にも有用である。さらに、造影効果不良域の検出、ULP(ulcer-like projection)、臓器梗塞も早期に発見可能である。このように、造影CTは非侵襲的で短時間で行えるため、緊急疾患である急性大動脈解離に最適なモダリティといえる。一方で注意点は、造影剤アレルギーや腎障害など副作用への配慮、適切なプロトコル設計が求められる点である。造影CTは急性大動脈解離の確定診断と治療方針決定に不可欠であり、有効性を活かしつつリスク管理を徹底して施行する必要がある。
CT技術や撮像プロトコル設定について
装置は逐次再構成技術と自動露出制御を備え、高分解能かつ低ノイズで被ばくを抑制できるため、これらを活用する。造影剤量は腎機能障害を考慮して370mgI/mLのイオプロミドを80mLに減量し、注入レートは2.5mL/秒で30秒かけて注入する。動脈相の最適タイミングをBolus Trackingで設定し、胸部から骨盤までヘリカルスキャンで撮像する。1mm薄切りデータをMPRおよび3D-VRに再構成し、真腔・偽腔の識別や血管分岐部の評価を行う。呼吸・心拍動によるアーチファクト抑制、注入速度とタイミングの最適化、造影剤漏出の監視、水分管理による腎保護にも留意する。広範囲撮影を基本とし、多時相撮影では、動脈相で解離範囲の評価を、血栓化の評価に遅延相も不可欠である。また、基部病変では心電図同期撮影を可能であれば併用することで、診断精度の向上が期待できる。
使用上の注意【電子添文より抜粋】
9.特定の背景を有する患者に関する注意
9.2 腎機能障害患者
9.2.1 重篤な腎障害のある患者
診断上やむを得ないと判断される場合を除き、投与しないこと。本剤の主たる排泄臓器は腎臓であり、急性腎障害等の症状が悪化するおそれがある。[8.6、9.8、11.1.3 参照]
9.2.2 腎機能が低下している患者(重篤な腎障害のある患者を除く)
腎機能が悪化するおそれがある。[8.6、9.8、11.1.3 参照]9.8 高齢者
患者の状態を観察しながら使用量を必要最小限にするなど慎重に投与すること。本剤は主として、腎臓から排泄されるが、高齢者では腎機能が低下していることが多いため、高い血中濃度が持続するおそれがある。[8.6、9.2.1、9.2.2 参照]