症例・導⼊事例
※ご紹介する症例は臨床症例の一部を紹介したもので、全ての症例が同様な結果を示すわけではありません。
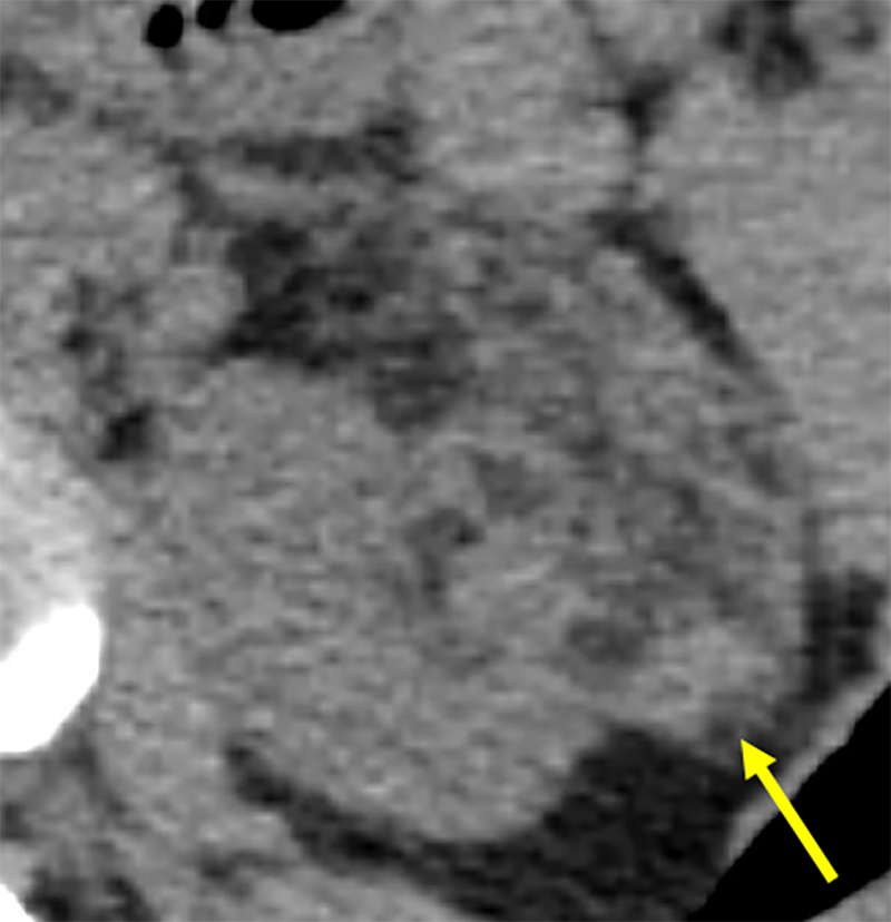
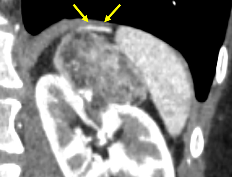
腎血管筋脂肪腫のIVR術前CT
施設名: 東京医科大学病院
執筆者: 放射線医学分野 坂東 周治 先生、齋藤 和博 先生
作成年月: 2025年11月
※ 効能又は効果、用法及び用量、警告・禁忌を含む注意事項等情報等については、電子添文をご参照ください。
はじめに
症例背景
40歳代、女性、49kg、腎血管筋脂肪腫
検査目的
左腎血管筋脂肪腫の術前精査
使用造影剤
イオプロミド370注シリンジ100mL「BYL」/ 85mL
症例解説
左腎血管筋脂肪腫に対してTAE目的で当院へ紹介となった。術前診断および血管マッピング目的で造影CTが施行された。
撮影プロトコル
表は横スクロールでご覧いただけます。
| 使用機器 | CT機種名/メーカー名 | Revolution Frontier/GE healthcare |
| CT検出器の列数/スライス数 | 64/128 | |
| ワークステーション名/メーカー名 | VINCENT WORKSTATION / 富士フィルムメディカル |
撮影条件
表は横スクロールでご覧いただけます。
| 撮影時相 | 単純 | 早期動脈相 | 後期動脈相 | 平衡相 |
| 管電圧 (kV) | 120 | 120 | 120 | 120 |
| AEC | SD12 | SD12 | SD12 | SD12 |
| (AECの設定) | on | on | on | on |
| 管電流時間 (Eff.mAs) | Auto mA | Auto mA | Auto mA | Auto mA |
| ビーム幅(mm) | 40 | 40 | 40 | 40 |
| 撮影スライス厚(mm) | 5 | 5 | 5 | 5 |
| 焦点サイズ | Large | Large | Large | Large |
| スキャンモード | Helical | Helical | Helical | Helical |
| スキャン速度(sec/rot) | 0.5 | 0.5 | 0.5 | 0.5 |
| ピッチ | 0.984:1 | 0.984:1 | 0.984:1 | 0.984:1 |
| スキャン範囲 | 上腹部 | 上腹部 | 上腹部 | 上腹部 |
| 撮影時間 (sec) | 4.3 | 4.3 | 4.3 | 4.3 |
| 撮影方向 | 頭→足 | 頭→足 | 頭→足 | 頭→足 |
再構成条件
表は横スクロールでご覧いただけます。
| 単純 | 早期動脈相 | 後期動脈相 | 平衡相 | |
| ルーチン:再構成スライス厚/間隔 (mm/mm) | 5 / 5 | 5 / 5 | 5 / 5 | 5 / 5 |
| ルーチン:再構成関数/逐次近似応用法 | STD / ASiR 30% | STD / ASiR 30% | STD / ASiR 30% | STD / ASiR 30% |
| 3D/MPR用:再構成スライス厚/間隔 (mm/mm) | 1.25 / 1 | 1.25 / 1 | 1.25 / 1 | 1.25 / 1 |
| 3D/MPR用:再構成関数/逐次近似応用法 | STD / ASiR 30% | STD / ASiR 30% | STD / ASiR 30% | STD / ASiR 30% |
造影条件
| 自動注入器機種名/メーカー名 | Dual shot GX7 / 根本杏林堂 |
| 造影剤名 | イオプロミド370注シリンジ |
表は横スクロールでご覧いただけます。
| 撮影プロトコル | 早期動脈相 | 後期動脈相 | 平衡相 |
| 造影剤:投与量 (mL) | 85 | ー | |
| 造影剤:注入速度 (mL/sec)、注入時間 (sec) | 2.6、33 | ー | |
| 生食:投与量 (mL) | ー | ||
| 生食:注入速度 (mL/sec)、注入時間 (sec) | ー | ||
| スキャンタイミング | BT法(L1レベル/100HU) | ー | |
| ディレイタイム | プレップ後すぐ | 造影剤注入開始12秒後 | 造影剤注入開始120秒後 |
| 留置針サイズ (G) | 20 | ||
| 注入圧リミット (kg/cm2) | 10 | ||
当該疾患の診断における造影CTの役割
腎血管筋脂肪腫(AML)の質的診断と治療計画において、造影CTは重要な役割を果たす。
診断における造影CTの必要性は、AMLのタイプによって異なる場合がある。典型的な脂肪成分を含むclassic AMLの診断に際しては、単純CTでの脂肪濃度の検出により診断可能であり、造影CTが必ずしも必要ではない。一方、脂肪成分に乏しいfat-poor AMLの診断においては、腎細胞癌との鑑別が重要となり、造影パターンの評価が診断に不可欠である。また、正確な腫瘍径の測定、腫瘍内動脈瘤の有無、出血リスクの評価など、治療適応を判断する際にも造影CTが有用となる。
AMLと診断された場合、有症状であることは治療適応となる。具体的な症状としては、側腹部痛、腫瘤触知、肉眼的血尿などが挙げられる。無症状の場合、腫瘍径4cm以上が治療開始の一般的な指標とされている。動脈瘤径も出血リスクと関連しており、動脈瘤径5mm以上を予防的治療の適応とすることが推奨されている。ただし、結節性硬化症に伴うAMLは若年女性に多く、両側性・多発性で腫瘍径も大きい傾向があるため、散発性AMLの基準である4cmをそのまま適用することは必ずしも適切ではなく、腫瘍の増大速度、妊娠の可能性、抗凝固剤使用の有無などを含めた総合的な判断が必要となる。
治療計画の観点からも、造影CTは重要な役割を果たす。予防的腎動脈塞栓術(TAE)を計画する際、造影CTによる術前の血管マッピングが有用である。腎動脈の走行や異所性腎動脈の有無、腫瘍栄養血管の同定など、詳細な血管解剖の把握が可能となる。この術前評価により、選択的塞栓術の成功率を向上させるだけでなく、正常腎実質への影響を最小限に抑え、腎機能を最大限温存することができる。したがって、ヨード造影剤アレルギーや腎機能低下などでヨード造影剤の使用が禁忌となる場合を除いて、治療前に造影CTを施行することが推奨される。
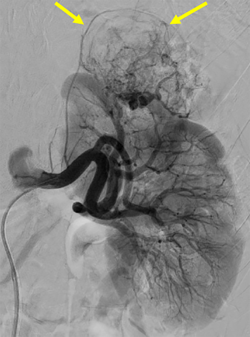
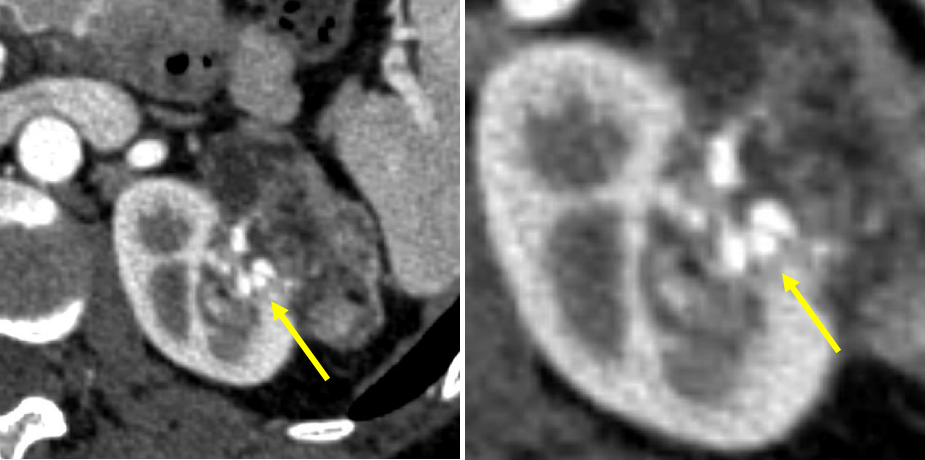
本症例では術前の造影CTから左腎動脈上極枝のほか、左腎動脈本幹から分岐する左上腎被膜動脈が栄養血管として同定され、この画像情報を参考にして塞栓術が施行された。術中の血管造影においても左上腎被膜動脈が腫瘍を栄養する血管として確認され、術前の造影CT所見の通りであった。
CT技術や撮像プロトコル設定について
本症例では、Revolution Frontier/GE Healthcareを使用し、AML(血管筋脂肪腫)の塞栓術前における動脈解剖の把握を目的として造影CT検査を施行した。なお本症例では、腎腫瘍の質的診断を目的とした皮髄相・腎実質相などの撮像ではなく、動静脈の走行を詳細に把握することを主目的とした撮像を行っている。そのため、当院における腎腫瘍術前の血管評価プロトコルに準じて、単純相、早期動脈相、後期動脈相、平衡相の4相撮像を実施している。
腎血管の評価において撮影タイミングは極めて重要であることから、本検査ではSMART prep法(bolus tracking法)を採用した。この方法は、test injection法と比較して造影剤使用量を削減できるとともに、リアルタイムモニタリングにより患者個々の循環動態に応じた最適な撮影タイミングを決定できる利点がある。具体的には、腹部下行大動脈のL1レベルにROIを設定し、CT値が+100HU上昇した時点をトリガーとして早期動脈相の撮影を開始している。ROIは血管中心部に配置することで部分容積効果を回避し、正確なCT値測定を実現している。トリガー閾値の+100HUは、腎動脈の良好な造影効果を得るための標準的な設定値であり、造影剤の到達ピークより早期に撮影を開始することで、純粋な動脈相の取得を可能としている。
この早期動脈相は術前の腎動脈解剖を詳細に把握するために最も重要な撮影時相である。薄層スライス厚での撮影により、高精細なMPR(多断面再構成)、MIP(最大値投影法)による3D画像処理が可能となり、腎動脈の起始部から末梢分枝まで、さらに異所性分岐などの解剖学的バリエーションも明瞭に描出できる。特に塞栓術においては、標的血管の同定と周囲血管との関係性の把握が重要であり、これらの三次元的な血管構築の評価は手技の成功に直結する。このようにbolus tracking法を用いた精密なタイミング制御と高分解能撮影の組み合わせにより、塞栓術の安全かつ確実な施行に必要な血管解剖情報を包括的に取得している。