症例・導⼊事例
※ご紹介する症例は臨床症例の一部を紹介したもので、全ての症例が同様な結果を示すわけではありません。
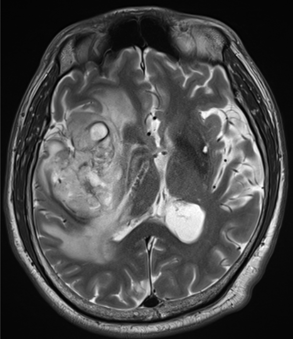
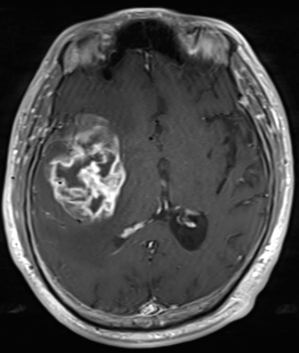
島回部膠芽腫の1例
施設名: 奈良県立医科大学附属病院
執筆者: 放射線診断・IVR学講座 越智 朋子 先生
作成年月: 2025年10月
※ 効能又は効果、用法及び用量、警告・禁忌を含む注意事項等情報等については、電子添文をご参照ください。
はじめに
症例背景
60歳代、男性、54kg、膠芽腫
検査目的
主訴は左下肢の脱力、歩行困難。右島回に5cm大の腫瘤を指摘され、膠芽腫が疑われた。術前の血管評価のため頭部CTA、CTVを施行した。
使用造影剤
イオプロミド370注シリンジ80mL「BYL」/ 80mL
症例解説
手術が施行され、glioblastoma, IDH-wild type, CNS WHO grade 4と診断された。現在、放射線化学療法中である。
撮影プロトコル
表は横スクロールでご覧いただけます。
| 使用機器 | CT機種名/メーカー名 | Aquilion One / Canon |
| CT検出器の列数/スライス数 | 320 | |
| ワークステーション名/メーカー名 | VINCENT / Fujifilm |
撮影条件
表は横スクロールでご覧いただけます。
| 撮影時相 | 単純 | 動脈相 | 静脈相 | 平衡相 |
| 管電圧 (kV) | 100 | 100 | 100 | 120 |
| AEC | VolumeEC | VolumeEC | VolumeEC | VolumeEC |
| (AECの設定) | SD 1.5 | SD 3.5 | SD 3.5 | SD 2.5 |
| ビーム幅 | 160 | 160 | 160 | 0.5x80 |
| 撮影スライス厚(mm) | 0.5 | 0.5 | 0.5 | 0.5 |
| 焦点サイズ | Small | Small | Small | Small |
| スキャンモード | Volume | Volume | Volume | Helical |
| スキャン速度(sec/rot) | 1 | 1 | 1 | 1 |
| ピッチ | ー | ー | ー | 高精細(PF 0.637) |
| スキャン範囲 | 頭部 | 頭部 | 頭部 | 頭部 |
| 撮影時間 (sec) | 1 | 1 | 1 | 8.36 |
| 撮影方向 | ー | ー | ー | 足→頭 |
再構成条件
表は横スクロールでご覧いただけます。
| 単純 | 動脈相 | 静脈相 | 平衡相 | |
| ルーチン:再構成スライス厚/間隔 (mm/mm) | 3.0 / 3.0 | 3.0 / 3.0 | 3.0 / 3.0 | 3.0 / 3.0 |
| ルーチン:再構成関数/逐次近似応用法 | FC21 | AiCE Brain CTA | AiCE Brain CTA | FC21 |
| 3D/MPR用:再構成スライス厚/間隔 (mm/mm) | 0.5 / 0.5 | 0.5 / 0.5 | 0.5 / 0.5 | 1.0 / 0.8 |
| 3D/MPR用:再構成関数/逐次近似応用法 | FC21 | AiCE Brain CTA | AiCE Brain CTA | FC21 |
造影条件
表は横スクロールでご覧いただけます。
| 自動注入器機種名/メーカー名 | Stellant / Bayer |
| 造影剤名 | イオプロミド370注シリンジ |
表は横スクロールでご覧いただけます。
| 撮影プロトコル | 動脈相 | 静脈相 | 平衡相 |
| 造影剤:投与量 (mL) | 80 | ー | |
| 造影剤:注入速度 (mL/sec) | 4 | ー | |
| 生食:投与量 (mL) | 25 | ー | |
| 生食:注入速度 (mL/sec) | 4 | ー | |
| スキャンタイミング | BT法(内頚動脈/200HU) | 固定法 | |
| ディレイタイム | 造影剤注入開始10秒後 | 動脈相撮影後12秒後 | 造影剤注入開始180秒後 |
| 留置針サイズ (G) | 20 | ||
| 注入圧リミット (psi ) | 200 | ||
4D撮影。造影効果を高めるため、100kVの低管電圧撮影を実施している。
当該疾患の診断における造影CTの役割
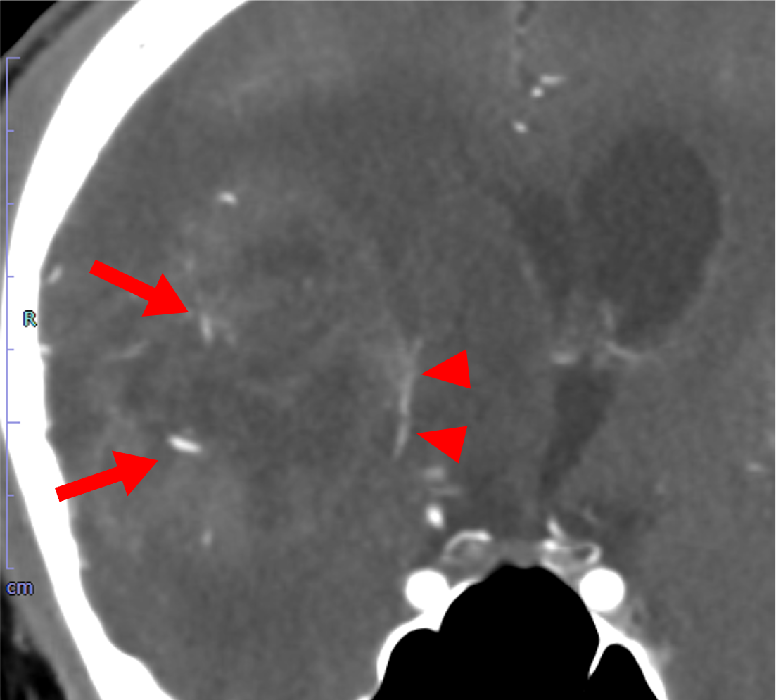
島回部のglioblastomaの術前CTAにおいて、手術中の予期せぬ血管損傷の回避、ひいては術中出血や虚血性合併症のリスク低減のために中大脳動脈や穿通枝など主要血管を可視化する必要がある。血管と腫瘍の位置関係を把握することで、腫瘍をできる限り摘出しつつも神経機能を温存する戦略を立てることができるようになる。隣接する基底核部は錐体路や感覚路と近接するため、摘出範囲の判断のために術前の血管情報が不可欠である。
また、術前の血管画像をナビゲーションシステムに統合することで、リアルタイムに血管・神経の位置を確認しながら手術が進められ、より手術の安全性を高めることができる。膠芽腫は浸潤性が強いため、血管を温存しながらも腫瘍を完全に摘出することが困難であることが多く、機能温存と腫瘍制御の最適なバランスのために術前の詳細な血管描出が重要となる。
CT技術や撮像プロトコル設定について
術前における頭部血管描出、特に細い穿通枝を十分に描出するため、動脈内のCT値を十分に上昇させることが不可欠であり、これはVR画像の作成においても重要な要素となる。そのため、なるべく高濃度のヨード造影剤を選択し、高容量を急速静注することが推奨される。さらに、生理食塩水で後押しを行うことでルート内や静脈内に残存した造影剤をフラッシュし、ボーラス性を高めることができる。加えて、低管電圧での撮影は血管内CT値の上昇に寄与し、描出能をさらに向上させる。
一方、頭部は静脈構造が複雑であるため、撮影タイミングが遅れると動脈の正確な評価が困難となる。したがって、脳静脈が描出される前に純粋な動脈相を取得することが極めて重要であり、造影される腫瘍病変と動脈を識別する上でも撮像のタイミングは大きな意味を持つ。実際の撮影ではボーラストラッキング法が簡便かつ汎用性の高い手法として多くの施設で用いられており、総頚動脈や中大脳動脈近位部でCT値をモニタリングし、一定の閾値を超えた時点で撮影を開始することが一般的である。画像処理に関しては、できる限り薄いスライスを用いることで評価の精度を高め、VR画像による立体的な血管走行の把握も重要となる。
使用上の注意【電子添文より抜粋】
9.特定の背景を有する患者に関する注意
9.8 高齢者
患者の状態を観察しながら使用量を必要最小限にするなど慎重に投与すること。本剤は主として、腎臓から排泄されるが、高齢者では腎機能が低下していることが多いため、高い血中濃度が持続するおそれがある。[8.6、9.2.1、9.2.2 参照]