症例・導⼊事例
※ご紹介する症例は臨床症例の一部を紹介したもので、全ての症例が同様な結果を示すわけではありません。
胸骨圧迫に伴う動脈損傷の一例
施設名: 東京医科大学病院
執筆者: 放射線医学分野 高橋 賢司 先生、齋藤 和博 先生
作成年月: 2025年11月
※ 効能又は効果、用法及び用量、警告・禁忌を含む注意事項等情報等については、電子添文をご参照ください。
はじめに
症例背景
60歳代、男性、75kg、心筋梗塞
検査目的
出血源精査目的に全身CT施行
使用造影剤
イオプロミド370注シリンジ100mL「BYL」/ 95mL
症例解説
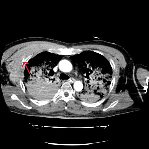
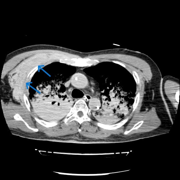
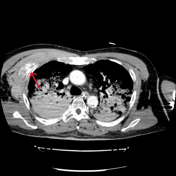
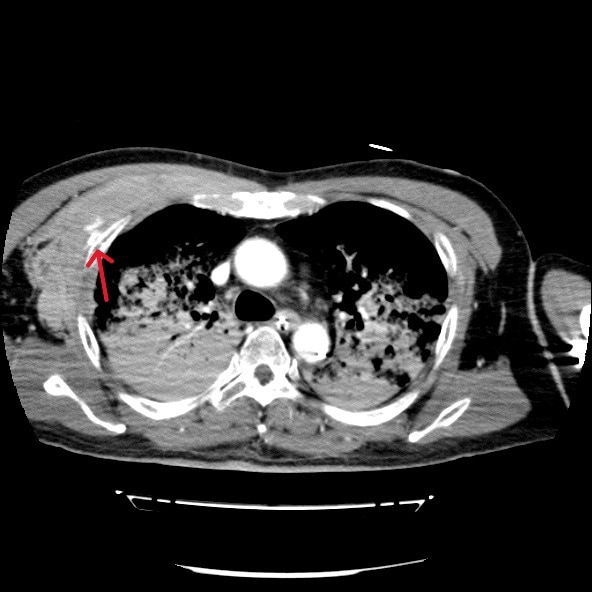
心筋梗塞によって心室細動をきたし心肺停止状態で当院に救急搬送された症例。救命活動が行われ心肺蘇生することができた。その後の経皮的冠動脈インターベンション(Percutaneous Coronary Intervention:PCI)の施行中に経皮的心肺補助法(Percutaneous Cardiopulmonary Support:PCPS)からの脱血不良あり循環血漿量減少が著明に進行していたため、原因精査目的に造影CTを撮影したところ、右第3肋骨周囲の前胸部に血管外漏出(extravasation)が認められた。
胸骨圧迫による動脈損傷が考えられたため、当院放射線科医師により緊急アンギオが施行された。右最上胸動脈および胸肩峰動脈からの出血が確認され、動脈塞栓術(TAE)にて止血することができた。
撮影プロトコル
表は横スクロールでご覧いただけます。
| 使用機器 | CT機種名/メーカー名 | Aquilion64 / Canon |
| CT検出器の列数/スライス数 | 64 | |
| ワークステーション名/メーカー名 | ー |
撮影条件
表は横スクロールでご覧いただけます。
| 撮影時相 | 単純 | 早期動脈相 | 後期動脈相 | 平衡相 |
| 管電圧 (kV) | 120 | 120 | 120 | 120 |
| AEC | SD15 | SD12 | SD12 | SD12 |
| (AECの設定) | Max400mA Min50 | Max600mA Min100 | Max600mA Min100 | Max600mA Min100 |
| ビーム幅 | 32 | 32 | 32 | 32 |
| 撮影スライス厚(mm) | 5 | 5 | 5 | 5 |
| 焦点サイズ | Large | Large | Large | Large |
| スキャンモード | Helical | Helical | Helical | Helical |
| スキャン速度(sec/rot) | 0.5 | 0.5 | 0.5 | 0.5 |
| ピッチ | PF0.828/HP53 | PF0.828/HP53 | PF0.828/HP53 | PF0.828/HP53 |
| スキャン範囲 | 頸部から骨盤 | 頸部から骨盤 | 頸部から骨盤 | 頸部から骨盤 |
| 撮影時間 (sec) | 16.5 | 16.5 | 16.5 | 16.5 |
| 撮影方向 | 頭→足 | 頭→足 | 頭→足 | 頭→足 |
再構成条件
表は横スクロールでご覧いただけます。
| 単純 | 早期動脈相 | 後期動脈相 | 平衡相 | |
| ルーチン:再構成スライス厚/間隔 (mm/mm) | 5 / 5 | 5 / 5 | 5 / 5 | 5 / 5 |
| ルーチン:再構成関数/逐次近似応用法 | FCO3 | FCO3 | FCO3 | FCO3 |
| 3D/MPR用:再構成スライス厚/間隔 (mm/mm) | 1 / 1 | 1 / 1 | 1 / 1 | 1 / 1 |
| 3D/MPR用:再構成関数/逐次近似応用法 | FCO3 | FCO3 | FCO3 | FCO3 |
造影条件
| 自動注入器機種名/メーカー名 | ー |
| 造影剤名 | イオプロミド370注シリンジ |
表は横スクロールでご覧いただけます。
| 撮影プロトコル | 動脈相 |
| 造影剤:投与量 (mL) | 95 |
| 造影剤:注入速度 (mL/sec)、注入時間 (sec) | 3、32 |
| 生食:投与量 (mL) | ー |
| 生食:注入速度 (mL/sec)、注入時間 (sec) | ー |
| スキャンタイミング | BT法(PVの高さ/上行、下行大動脈ともに造影剤がきたら) |
| ディレイタイム | 造影剤注入開始15秒後 |
| 留置針サイズ (G) | 22 |
| 注入圧リミット (psi) | 10 |
PCPS挿入後の撮影のため、上行、下行大動脈ともに造影されるまで撮影のスタートを待つ必要がある
当該疾患の診断における造影CTの役割
胸骨圧迫は心肺蘇生において不可欠な救命処置であるが、強い外力により外傷性合併症のリスクが存在する。代表的な合併症としては肋骨骨折や胸骨骨折の頻度が最も高く報告されており、血胸や胸壁血腫などの出血性合併症は報告により約10%程度とされている。ただし、出血源については明確ではなく、動脈損傷に関する症例報告は非常に稀である。特に内胸動脈や肋間動脈、最上胸動脈などの小血管損傷は画像検査が実施されなければ見逃される可能性が高く、臨床的にも認識されにくい。
本症例は、胸骨圧迫後に右最上胸動脈および胸肩峰動脈からの出血を認めた合併症例である。これまでの文献においても、胸骨圧迫後にこれらの動脈からの出血が明確に確認された症例はほとんど存在せず、本症例はその点で非常に特異性が高い。
本症例においては造影CTが循環不全の原因特定、胸骨圧迫による血管損傷の可視化、出血量評価、他臓器損傷のスクリーニングおよび治療方針の決定に有用であった。本症例のような稀な合併症を見逃さないためにも、胸骨圧迫後の症例では、一般的な骨折だけでなく、稀な血管損傷の可能性も念頭に置き、早期に造影CTによる精査を積極的に行うことが重要である。
参考文献:日本救急医学会雑誌26巻12号p719-723
CT技術や撮像プロトコル設定について
経皮的心肺補助法(Percutaneous Cardiopulmonary Support:PCPS)施行中の患者の造影CT撮影では、造影剤の体循環到達が遅れるため、造影剤を注入してから撮影開始のタイミングを普段より遅らせる必要がある。PCPSは血液を人工肺で酸素化し、静脈から脱血後に動脈へ戻す体外循環であり、通常の肺循環をバイパスするため、造影剤が左心や全身に到達するまでの時間が延長する。また、自心拍出量が低下しているため造影剤が拍出されにくいことやPCPS血流と自心拍血流の混合により、造影剤濃度が薄まることも造影効果を弱める要因である。このため、通常より撮影開始を40~60秒程度遅らせる方法、Bolus Tracking法で造影剤到達をリアルタイムで確認して撮影開始タイミングを調整する方法が用いられる。本症例においては、Bolus Tracking法で自心拍出により上行大動脈が、PCPSより下行大動脈が肺静脈のスライスの高さでそれぞれ造影されるタイミングをリアルタイムに確認しながら撮影した。
使用上の注意【電子添文より抜粋】
9.特定の背景を有する患者に関する注意
9.8 高齢者
患者の状態を観察しながら使用量を必要最小限にするなど慎重に投与すること。本剤は主として、腎臓から排泄されるが、高齢者では腎機能が低下していることが多いため、高い血中濃度が持続するおそれがある。[8.6、9.2.1、9.2.2 参照]