症例・導⼊事例
※ご紹介する症例は臨床症例の一部を紹介したもので、全ての症例が同様な結果を示すわけではありません。
肺血栓塞栓症および深部静脈血栓症の診断
施設名: 東京医科大学病院
執筆者: 放射線医学分野 山本 真美 先生、石田 尚利 先生、齋藤 和博 先生
作成年月: 2025年11月
※ 効能又は効果、用法及び用量、警告・禁忌を含む注意事項等情報等については、電子添文をご参照ください。
はじめに
症例背景
40歳代、男性、100kg、肺血栓塞栓症、深部静脈血栓症
検査目的
左下腿浮腫、疼痛、労作時息切れあり精査目的に造影CT施行
使用造影剤
イオプロミド370注シリンジ100mL「BYL」/ 87mL
症例解説
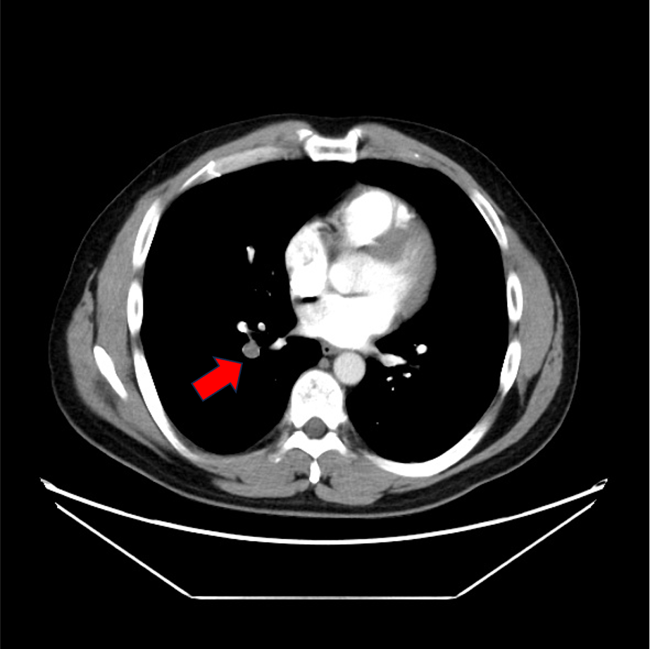
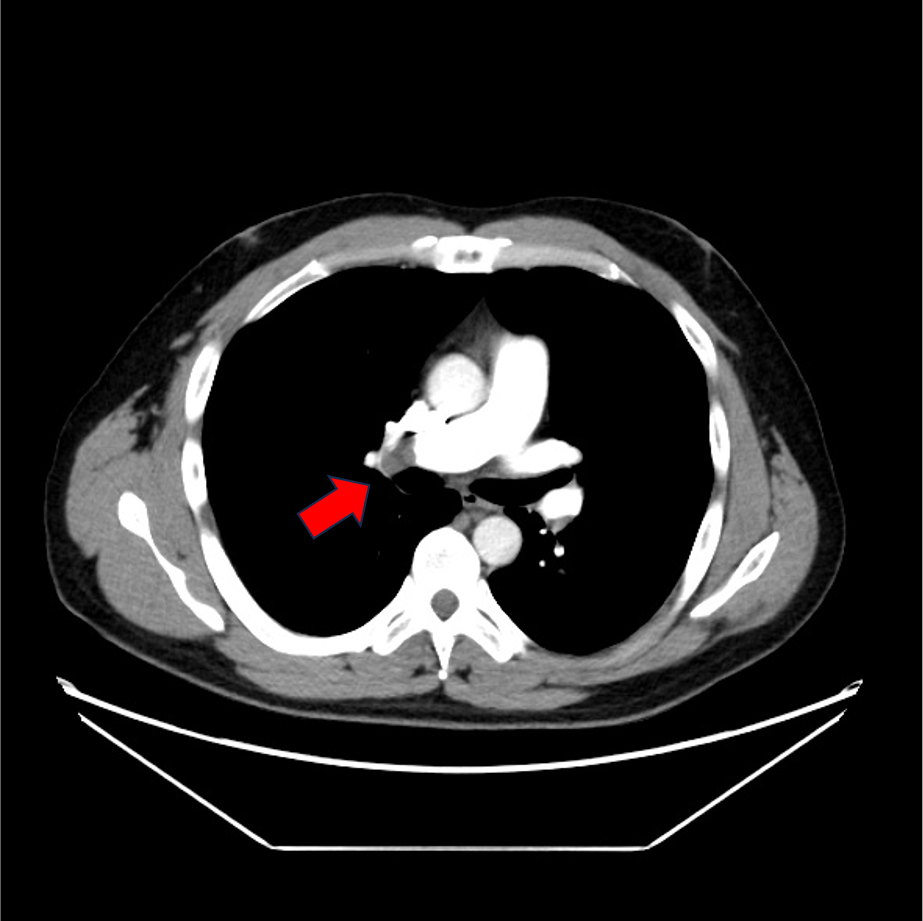
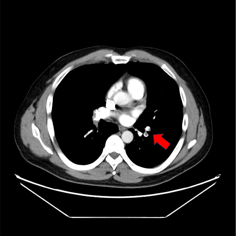
症例は40歳代男性。左下腿の浮腫、疼痛と労作時息切れを認め、血液検査にて血清D-dimerが高値であったため、肺血栓塞栓症の精査目的に造影CTが施行された。両側肺動脈と両側下肢静脈に造影欠損域を認め、それぞれ肺血栓塞栓症、深部静脈血栓症が考えられた。その後、抗凝固療法が施行されて血栓は縮小し、退院となった。
撮影プロトコル
表は横スクロールでご覧いただけます。
| 使用機器 | CT機種名/メーカー名 | Revolution CT / GEヘルスケア |
| CT検出器の列数/スライス数 | 256 / 256 | |
| ワークステーション名/メーカー名 | AW workstation 4.7 / GEヘルスケア |
撮影条件
表は横スクロールでご覧いただけます。
| 撮影時相 | 単純 | 肺動脈相 | 静脈相 |
| 管電圧 (kV) | 120 | 80-140 | 80-140 |
| AEC | Auto mA | Auto mA | Auto mA |
| (AECの設定) | on | on | on |
| ビーム幅(mm) | 80 | 80 | 80 |
| 撮影スライス厚(mm) | 0.625 | 0.625 | 0.625 |
| 焦点サイズ | Large | Large | Large |
| スキャンモード | Helical | Helical | Helical |
| スキャン速度(sec/rot) | 0.5 | 0.5 | 0.5 |
| ピッチ | 0.992 | 0.992 | 0.992 |
| スキャン範囲 | 胸部 | 胸部 | 上腹部から足先 |
| 撮影時間 (sec) | 4 | 4 | 9 |
| 撮影方向 | 頭→足 | 頭→足 | 頭→足 |
再構成条件
表は横スクロールでご覧いただけます。
| 単純 | 肺動脈相 | 静脈相 | |
| ルーチン:再構成スライス厚/間隔 (mm/mm) | 5 | 5 | 5 |
| ルーチン:再構成関数/逐次近似応用法 | DLIR | DLIR | DLIR |
| 3D/MPR用:再構成スライス厚/間隔 (mm/mm) | 0.625 | 0.625 | 0.625 |
| 3D/MPR用:再構成関数/逐次近似応用法 | DLIR | DLIR | DLIR |
| ※追加項目欄 | ー | ー | カラーマップ作成 |
造影条件
| 自動注入器機種名/メーカー名 | Dual shot GX7 / 根本杏林堂 |
| 造影剤名 | イオプロミド370注シリンジ |
表は横スクロールでご覧いただけます。
| 撮影プロトコル | 肺動脈相 | 静脈相 |
| 造影剤:投与量 (mL) | 87 | ー |
| 造影剤:注入速度 (mL/sec)、注入時間 (sec) | 4.0、22 | ー |
| 生食:投与量 (mL) | なし | ー |
| 生食:注入速度 (mL/sec)、注入時間 (sec) | なし | ー |
| スキャンタイミング | BT法 | ー |
| ディレイタイム | トリガーHU50、造影剤が肺動脈に来たらすぐ | 注入後210sec後 |
| 留置針サイズ (G) | 22 | |
| 注入圧リミット (kg/cm2) | 8.0 | |
当該疾患の診断における造影CTの役割
肺血栓塞栓症(PE)の診断にはCTが第一選択となる。肺血栓塞栓症の原因の多くは深部静脈血栓症(DVT)であるため、PEが疑われる場合には速やかにDVTの検索も同時に行われることが望ましい。DVTの検査法としては、超音波検査も挙げられるが、胸部の肺動脈相を撮像の後に骨盤部~下肢の静脈相を撮像することで一度に塞栓源の検索が可能となる。これにより速やかな診断と方針決定に寄与することができる。CTではPE、DVTともに血管内の造影欠損を確認することにより診断となる。その他、右心系の負荷評価や他疾患の鑑別も容易になること、低侵襲的に検査できるといった点がCTの利点として挙げられる。一方で、末梢の微小血栓が描出困難な場合や呼吸変動によるアーチファクトで画質低下が生じることがある。また被曝量が比較的多く、臨床情報から適応を判断することが重要である。
CT技術や撮像プロトコル設定について
GEヘルスケア製Revolution CTに搭載されたDual-Energy CT(DECT)は、140kVpと80kVpの2種類の管電圧を瞬時に切り替える「fast kVp switching」方式を採用している。2種類のエネルギー情報を利用することで血栓と造影剤を明瞭に識別できるため、従来のSingle-Energy CT (SECT)に比べて微小塞栓の検出感度が向上する。またDECTではヨードマップを作製することも可能である。ヨードマップとは得られた造影剤の分布・濃度を色分け画像で可視化するもので、臨床的には血流低下部位や腫瘍・炎症部の灌流度を定量評価できる点が大きな意義となる。本症例においても、例えば両側膝窩静脈に造影欠損域を認め、ヨードマップではより視認性を持って、血栓の存在を確認することができる。