症例・導⼊事例
※ご紹介する症例は臨床症例の一部を紹介したもので、全ての症例が同様な結果を示すわけではありません。
直腸静脈瘤に対する経皮経肝的静脈瘤塞栓術
施設名: 日本医科大学武蔵小杉病院
執筆者: 放射線科 安井 大祐 先生
作成年月: 2025年10月
※ 効能又は効果、用法及び用量、警告・禁忌を含む注意事項等情報等については、電子添文をご参照ください。
はじめに
症例背景
70歳代、男性、65kg、肝硬変、直腸静脈瘤
検査目的
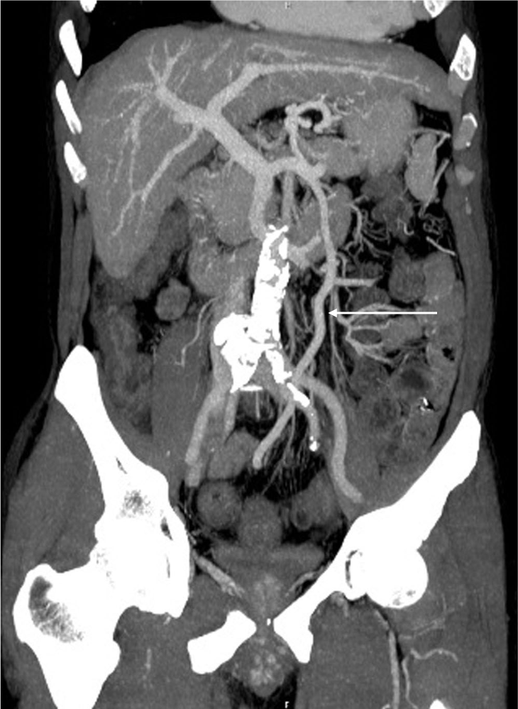
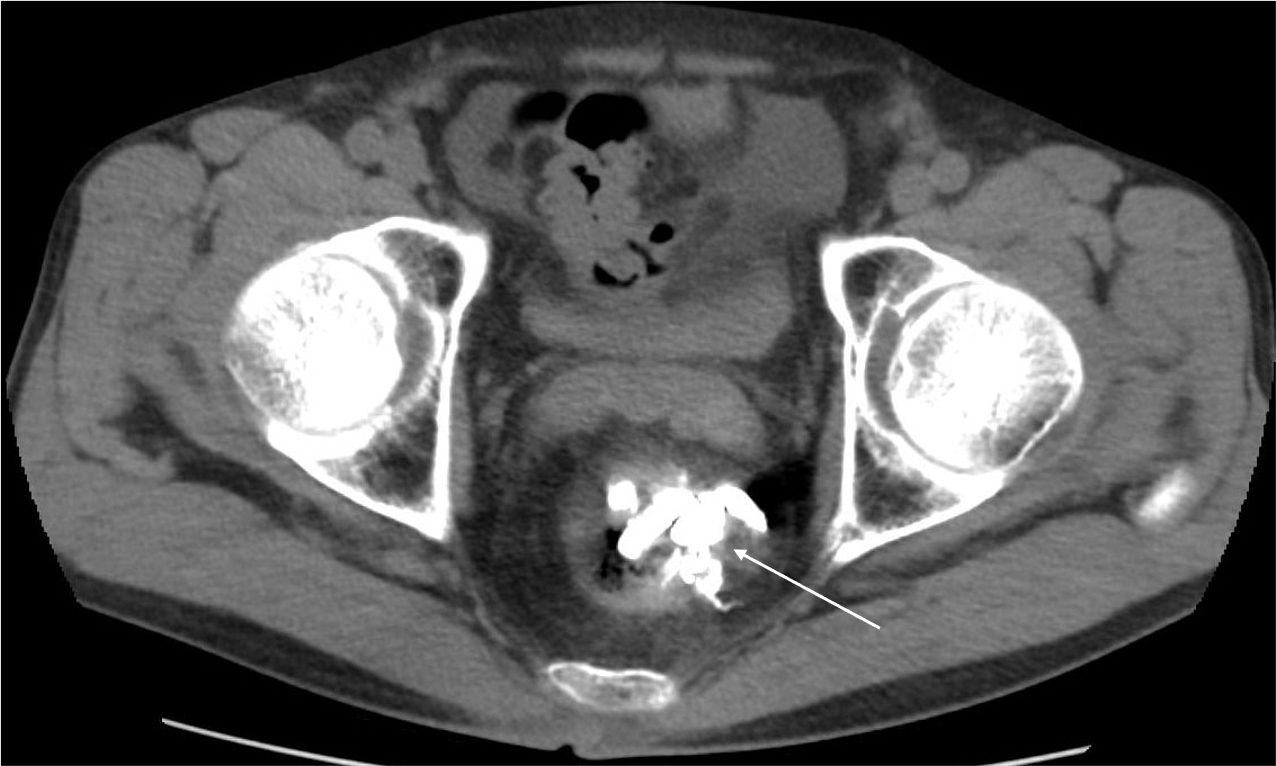
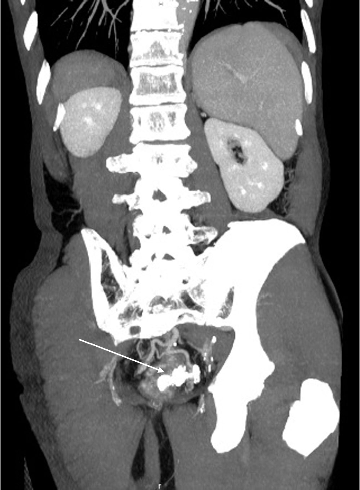
直腸静脈瘤の破裂予防目的にヒストアクリルを用いた経皮経肝的静脈瘤塞栓術を施行した。治療一か月後の治療効果判定に撮影を行った。
使用造影剤
イオプロミド300注シリンジ100mL「BYL」/ 100mL
症例解説
肝硬変のスクリーニング目的の造影CTにて直腸静脈瘤が判明した。破裂予防目的に経皮経肝的静脈瘤塞栓術を施行した。術前CTにて血管解剖を把握の上、治療を行った。術後一か月の造影CTにて、標的血管の良好な閉塞が確認された。
撮影プロトコル
表は横スクロールでご覧いただけます。
| 使用機器 | CT機種名/メーカー名 | Revolution HD / GE |
| CT検出器の列数/スライス数 | 64列 | |
| ワークステーション名/メーカー名 | AW / GE |
撮影条件
表は横スクロールでご覧いただけます。
| 撮影時相 | 単純 | 動脈相 | 門脈相 | 平衡相 |
| 管電圧 (kV) | 120 | 120 | 120 | 120 |
| AEC | SD12 | SD14 | SD14 | SD14 |
| ビーム幅(mm) | 40 | 40 | 40 | 40 |
| 撮影スライス厚(mm) | 5 | 5 | 5 | 5 |
| 焦点サイズ | Large | Large | Large | Large |
| スキャンモード | ヘリカル | ヘリカル | ヘリカル | ヘリカル |
| スキャン速度(sec/rot) | 0.5 | 0.6 | 0.6 | 0.6 |
| ピッチ | 0.984 | 0.984 | 0.984 | 0.984 |
| スキャン範囲 | 胸部~骨盤 | 胸部~骨盤 | 胸部~骨盤 | 胸部~骨盤 |
| 撮影時間 (sec) | 11 | 8 | 8 | 8 |
| 撮影方向 | 頭⇒足 | 頭⇒足 | 頭⇒足 | 頭⇒足 |
再構成条件
表は横スクロールでご覧いただけます。
| 単純 | 動脈相 | 門脈相 | 平衡相 | |
| ルーチン:再構成スライス厚/間隔 (mm/mm) | 1.25 / 1.25 | 1.25 / 1.25 | 1.25 / 1.25 | 1.25 / 1.25 |
| ルーチン:再構成関数/逐次近似応用法 | ASiRV 20% | ASiRV 20% | ASiRV 20% | ASiRV 20% |
| 3D/MPR用:再構成スライス厚/間隔 (mm/mm) | 1.25 / 1.25 | 1.25 / 1.25 | 1.25 / 1.25 | 1.25 / 1.25 |
| 3D/MPR用:再構成関数/逐次近似応用法 | ー | ASiRV 20% | ー | ー |
造影条件
| 自動注入器機種名/メーカー名 | デュアルショットGX7 / Nemoto |
| 造影剤名 | イオプロミド300注シリンジ |
表は横スクロールでご覧いただけます。
| 撮影プロトコル | 動脈相 | 門脈相 | 平衡相 |
| 造影剤:投与量 (mL) | 100(536mgI/kg) | ー | |
| 造影剤:注入速度 (mL/sec)、注入時間 (sec) | 3.3、30 | ー | |
| 生食:投与量 (mL) | なし | ー | |
| 生食:注入速度 (mL/sec)、注入時間 (sec) | なし | ー | |
| スキャンタイミング | 固定法 | ||
| ディレイタイム | 造影剤注入開始35秒後 | 造影剤注入開始80秒後 | 造影剤注入開始180秒後 |
| 留置針サイズ (G) | 22 | ||
| 注入圧リミット (kg/cm2) | 13 | ||
当該疾患の診断における造影CTの役割
直腸静脈瘤を始めとする異所性静脈瘤においては、IVR治療が選択されることが多い。術前に正確な解剖の把握が必要であり、造影CTの果たす役割は大きい。特に門脈系の良好な描出が求められ、適切な時相での撮影が肝要である。撮影後thin slice軸位断像での観察、任意多断面再構成像(MPR)やVolume rendering画像(VR)で評価を行い、術中のガイドとする。また肝細胞癌を併発することが多い為、動脈優位相における撮影も行う必要があり、dynamic studyを要する。治療においてはヒストアクリルや金属コイルなどのアーチファクト源となり得るデバイスが使用されるため、必要に応じてmetal artifact除去を活用する必要がある。また別部位に新たな静脈瘤が生じたり、腹水などの門脈圧上昇に伴う所見や門脈血栓などの合併症が生じる危険性があるため、造影CTによる評価が重要である。
CT技術や撮像プロトコル設定について
本症例においては、腎機能障害や心不全など、特段併発症を有さない患者様であったため、標準的な撮影プロトコルで撮影を施行した。管電圧は120kVを使用し、逐次近似併用(ASiRV 20%)で再構成を行った。また造影については、536mgI/kgの投与とし、固定法(動脈相 35秒、門脈相80秒後、平行相180秒後)で撮影を行った。ただし肝硬変患者においては、腎機能障害を有することがしばしばあり、その場合には造影剤減量が必要となる。従って低管電圧撮影や逐次近似再構成法、dual energy CTを使ったvirtual monochromatic imageなどを適宜活用する必要がある。また金属コイルなどによる血流改変を施行した場合には、metal artifact除去などを併用して評価を行う必要がある。加えて肝肺症候群などに起因する心機能障害を有することがあり、その場合には固定法による撮影ではなく、bolus tracking法などを活用した撮影が必要となる。
使用上の注意【電子添文より抜粋】
9.特定の背景を有する患者に関する注意
9.3 肝機能障害患者
9.3.1 重篤な肝障害のある患者
診断上やむを得ないと判断される場合を除き、投与しないこと。症状が悪化するおそれがある。[11.1.8 参照]
9.3.2 肝機能が低下している患者(重篤な肝障害のある患者を除く)
肝機能が悪化するおそれがある。[11.1.8 参照]9.8 高齢者
患者の状態を観察しながら使用量を必要最小限にするなど慎重に投与すること。本剤は主として、腎臓から排泄されるが、高齢者では腎機能が低下していることが多いため、高い血中濃度が持続するおそれがある。[8.6、9.2.1、9.2.2 参照]