症例・導⼊事例

※ご紹介する症例は臨床症例の一部を紹介したもので、全ての症例が同様な結果を示すわけではありません。

希釈テストインジェクション法を用いたASDの評価

施設名: 愛媛大学医学部附属病院
執筆者: 放射線科 小林 祐介 先生、診療支援部診療放射線部門 西山 光 先生
作成年月:2025年9月

※ 効能又は効果、用法及び用量、警告・禁忌を含む注意事項等情報等については、電子添文をご参照ください。

はじめに

症例背景

70歳代、女性、51kg、ASD

検査目的

ASD欠損孔の評価

使用造影剤

イオプロミド370注シリンジ100mL「BYL」 / 55mL

症例解説

15歳時に他院にて心房中隔欠損症(ASD)閉鎖術を施行後、術後の通院も終了していた。3日前からの動悸を主訴に紹介元医療機関を受診した。心電図ではV1~V6誘導で陰性T波を認め、経食道心エコーでは6~7mm程度の残存欠損孔、右心室の軽度拡大および中等度の三尖弁逆流(TR)を認めた。心臓CTでもASDの残存欠損孔を確認し、再手術による閉鎖が検討された。

画像所見

図1.本症例希釈TI時のTACと本番希釈率の計算式
希釈TIテストで本番の希釈率は71%、(5%刻みでしか入力できないため)繰り上げて75%となった。

図2.造影プロトコル
希釈率は75%とした。造影剤の使用量は通常50mLだが、60mLに増量し、注入時間は12秒とした。これはPLSVCの有無を評価する目的で、撮影範囲が通常の心臓CTよりも頭側に約2秒分長く設定されているためである。これにより下壁付近で造影剤が抜けるのを防ぐ。

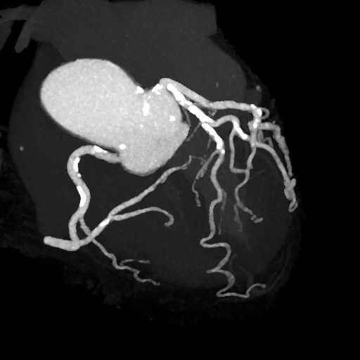
図3.アンギオグラフィックビュー
良好に造影されている。冠動脈に石灰化プラーク多数。

図4.動脈相RCA, LAD, LCX
LAD#6-7、対角枝に高度石灰化プラーク。評価困難部位あり。LCX#11非石灰化プラークあり、軽度狭窄疑い。LCX#13非石灰化プラーク、中等度狭窄疑い。

図5.ASDからのジェット
造影剤ジェットあり。左右シャント。

図6.ASD孔サイズ
サイズ10mm×9.5mm

撮影プロトコル

表は横スクロールでご覧いただけます。

使用機器CT機種名/メーカー名SOMATOM Force / Siemens Healthineers
CT検出器の列数/スライス数192×2 detector
ワークステーション名/メーカー名Synogo.via / Siemens Healthineers ,SYNAPSE VINCENT/FUJIFILM

撮影条件

表は横スクロールでご覧いただけます。

撮影時相単純(カルシウムスコア)心臓CT(動脈相)
管電圧 (kV)120100
AEConon
(AECの設定)80216(Ref.kV90)
ビーム幅0.6*1600.6*192
撮影スライス厚 (mm)30.75
焦点サイズLargeLarge
スキャンモードAxialHelical
スキャン速度 (sec/rot)0.250.25
ピッチ0.15
スキャン範囲心臓心臓CT
撮影時間 (sec)78
撮影方向頭→足頭→足

再構成条件

表は横スクロールでご覧いただけます。


 
単純(カルシウムスコア)心臓CT(動脈相)
ルーチン:再構成スライス厚/間隔 (mm/mm)3 / 30.75 / 0.4
ルーチン:再構成関数/逐次近似応用法Qr36 / FBPBv40 / ADMIRE2
3D/MPR用:再構成スライス厚/間隔 (mm/mm)NA0.75 / 0.4
3D/MPR用:再構成関数/逐次近似応用法NABv40 / ADMIRE2

造影条件

自動注入器機種名/メーカー名Stellant D Dual Flow / Bayer
造影剤名イオプロミド370注シリンジ

表は横スクロールでご覧いただけます。

撮影プロトコル心臓CT(動脈相)
造影剤:投与量 (mL)NA
造影剤:注入速度 (mL/sec)、注入時間 (sec)希釈TI法 (図2参照)
生食:投与量 (mL)希釈TI法 (図2参照)
生食:注入速度 (mL/sec)、注入時間 (sec)希釈TI法 (図2参照)
スキャンタイミング希釈TI法
ディレイタイムNA
留置針サイズ (G)20
注入圧リミット (psi)225

希釈TI法では、生理食塩水が患者一人あたり100~150mL必要となる。Stellant D Dual Flowは最大200mLまで充填可能であり、本法の実施を可能にしている。なお、希釈率は5%刻みでの設定となるため、端数が生じた場合には切り上げて設定するようにしている。

当該疾患の診断における造影CTの役割

心房中隔欠損(ASD)は成人先天性心疾患の中で最も頻度の高い疾患である。欠損孔の部位により二次孔欠損、一次孔欠損、静脈洞欠損(上位型/下大静脈型)、冠静脈洞欠損に分類される。ASDの閉鎖は、有意なシャントを認める症例では、不整脈、肺高血圧の進行、三尖弁閉鎖不全の進行、心不全の発症などを予防する目的で、症状がなくても推奨される。治療選択にはASDの解剖学的情報が重要となり(経皮的デバイス治療の場合、二次孔欠損型で欠損孔38mm未満、前縁を除いて5mmを超える十分な縁がある症例が第一選択となる)、冠動脈CTでの評価が有用である。さらにASDでは他血管奇形の合併(部分的肺静脈還流異常症や左上大静脈遺残など)も知られており、冠動脈CTでは撮影範囲やタイミングを考慮することで、これらの評価も同時に行うことが可能である。

CT技術や撮像プロトコル設定について

当院では希釈TI法を用いており、テストインジェクション時の造影効果を計測し、その結果に応じて本撮影時の造影剤量を調整している。これにより、多くの症例で適切な造影効果と最適な撮影タイミングが確保できている。
本症例は心房中隔欠損症(ASD)であり、左房から右房へ造影剤が漏れるため、欠損孔の大きさによっては造影効果が低下しやすい。実際、テストインジェクション時の造影効果も体重50kg台としては低く、体重に基づいた造影剤量では不十分となる可能性があった。

さらに、ASDでは左上大静脈遺残(PLSVC)を合併することが多いため、上大静脈を含めて撮影する必要がある。そのため、通常の心臓CTよりも撮影範囲を頭側に拡大する必要があり、従来の造影プロトコルでは心臓の下壁を撮影する前に造影剤が流れてしまう懸念があった。
今回は撮影範囲を頭側に広げたことでスキャン時間が2秒延長されることとなったため、それに合わせて造影剤も調整し、5.0mL/secで60mL(注入時間12秒)とした(本来は50mLで10秒)。このように、撮影範囲や条件に応じて柔軟にプロトコルを変更できる点も、希釈TI法の大きな利点である。

使用上の注意【電子添文より抜粋】

  • 9.特定の背景を有する患者に関する注意

    9.8 高齢者
    患者の状態を観察しながら使用量を必要最小限にするなど慎重に投与すること。本剤は主として、腎臓から排泄されるが、高齢者では腎機能が低下していることが多いため、高い血中濃度が持続するおそれがある。[8.6、9.2.1、9.2.2 参照]