症例・導⼊事例
※ご紹介する症例は臨床症例の一部を紹介したもので、全ての症例が同様な結果を示すわけではありません。
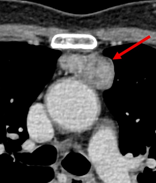
胸腺腫を疑う前縦隔腫瘍性病変の術前造影CT
施設名: 杏林大学医学部付属病院
執筆者: 放射線医学教室 髙橋 正輝 先生、放射線部 岡田 樹 先生
作成年月:2025年9月
※ 効能又は効果、用法及び用量、警告・禁忌を含む注意事項等情報等については、電子添文をご参照ください。
はじめに
症例背景
60歳代、女性、45kg、前縦郭腫瘤
検査目的
胸腺腫を疑う腫瘍性病変の術前精査目的
使用造影剤
イオプロミド370注シリンジ100mL「BYL」/ 17.3mg/kg/sec
症例解説
健診の胸部単純X線写真にて異常陰影を指摘され、非造影CTにて胸腺腫が疑われた。手術目的で当院を受診し当該の造影CT検査を施行した。造影検査の結果、胸腺腫が完全に被包されており、周囲臓器への浸潤は認めず、リンパ節転移や遠隔転移を認めなかった。その後、撮像の約1か月後に胸腺腫疑い(cT1aN0M0 stageⅠ 正岡分類Ⅰ期)としてロボット支援下胸腺全摘術が施行された。病理診断ではWHO type A(低リスク群)であった。
撮影プロトコル
表は横スクロールでご覧いただけます。
| 使用機器 | CT機種名/メーカー名 | Aquilion Precision / Canon |
| CT検出器の列数/スライス数 | 320列 | |
| ワークステーション名/メーカー名 | ZIO STATION2 / ZIOSOFT |
撮影条件
表は横スクロールでご覧いただけます。
| 撮影時相 | 単純 | 動脈相 | 静脈相 |
| 管電圧 (kV) | 120 | 120 | 120 |
| AEC | SD=14 | 14 | 14 |
| ビーム幅 (mm) | 40 | 40 | 40 |
| 撮影スライス厚 (mm) | 0.25 | 0.25 | 0.25 |
| 焦点サイズ | Large | Large | Large |
| スキャンモード | Helical | Helical | Helical |
| スキャン速度(sec/rot) | 0.35 | 0.35 | 0.35 |
| ピッチ | 1.38 | 1.38 | 1.38 |
| スキャン範囲 | 胸部 | 胸部 | 胸部 |
| 撮影時間 (sec) | 3 | 3 | 3 |
| 撮影方向 | 足⇒頭 | 足⇒頭 | 頭⇒足 |
再構成条件
表は横スクロールでご覧いただけます。
| 単純 | 動脈相 | 静脈相 | |
| ルーチン:再構成スライス厚/間隔 (mm/mm) | 5 / 5 | 5 / 5 | 5 / 5 |
| ルーチン:再構成関数/逐次近似応用法 | AiCE Body Sharp Mild | AiCE Body Sharp Mild | AiCE Body Sharp Mild |
| 3D/MPR用:再構成スライス厚/間隔 (mm/mm) | 0.25 / 0.25 | 0.25 / 0.25 | 0.25 / 0.25 |
| 3D/MPR用:再構成関数/逐次近似応用法 | AiCE Body Sharp Mild | AiCE Body Sharp Mild | AiCE Body Sharp Mild |
造影条件
表は横スクロールでご覧いただけます。
| 自動注入器機種名/メーカー名 | DUAL SHOT GX7 / 根本杏林堂 |
|---|---|
| 造影剤名 | イオプロミド370注シリンジ |
表は横スクロールでご覧いただけます。
| 撮影プロトコル | 動脈相 | 静脈相 |
| 造影剤:投与量 (mg/kg/sec) | 17.3 | ー |
| 造影剤:注入時間 (sec) | 30 | ー |
| 生食:投与量 (mL) | 30 | ー |
| 生食:注入速度 (mL/sec)、注入時間 (sec) | クロス注入法 | ー |
| スキャンタイミング | 固定法 | ー |
| ディレイタイム | 造影剤注入開始40sec後 | A相から30sec |
| 留置針サイズ (G) | 20 | |
| 注入圧リミット (psi) | 180 | |
当該疾患の診断における造影CTの役割
今回の検査目的は縦隔腫瘤の術前精査であり、一般的な腫瘍性病変の精査と同様に大きさ、形態、性状、浸潤傾向の有無の確認という目的の他に、術式決定に必要な情報として動静脈の破格の有無や走行の確認、3Dシミュレーション用のVR画像作成がある。VR画像を作成することで立体構造が理解しやすくなるとともに、手術や気管支鏡等のナビゲーションに利用することができる。
CT技術や撮像プロトコル設定について
この撮影は単純と動脈相と静脈相の撮影を行っている。静脈穿刺は左腕に行い、造影剤の注入は生理食塩水とのクロス注入を行っている。クロス注入を行うことによって鎖骨下静脈などの静脈路のCT値を低下させ、アーチファクトの低下を図ることができる。撮影はCannon社製のAquilion Precisionを使用し、スライス厚0.25mm、1024×1024マトリックスで画像作成をしており、高精細な撮影を行っている。これらによって細かい静脈である胸腺静脈の描出が認められやすくなる。造影剤投与量は17.3mg/kg/secとし、動脈相は40秒での後期動脈相の撮影、静脈相はA相から30secで撮影を行っている。撮影後の処理として、縦隔腫瘍と肺動静脈、大動脈、胸腺静脈を含めた上大静脈の位置関係の把握に有用なVR画像の作成を行っている。
使用上の注意【電子添文より抜粋】
9.特定の背景を有する患者に関する注意
9.8 高齢者
患者の状態を観察しながら使用量を必要最小限にするなど慎重に投与すること。本剤は主として、腎臓から排泄されるが、高齢者では腎機能が低下していることが多いため、高い血中濃度が持続するおそれがある。[8.6、9.2.1、9.2.2 参照]