症例・導⼊事例
※ご紹介する症例は臨床症例の一部を紹介したもので、全ての症例が同様な結果を示すわけではありません。
頭頸部CTAによる血管狭窄評価
施設名: 名古屋市立大学病院
執筆者: 大学院医学研究科放射線医学分野 中島 雅大 先生、樋渡 昭雄 先生
作成年月:2025年9月
※ 効能又は効果、用法及び用量、警告・禁忌を含む注意事項等情報等については、電子添文をご参照ください。
はじめに
症例背景
70歳代、男性、52kg、内頸動脈狭窄
検査目的
右内頸動脈狭窄症の術前評価
使用造影剤
イオプロミド370注シリンジ100mL「BYL」 / 83mL
症例解説
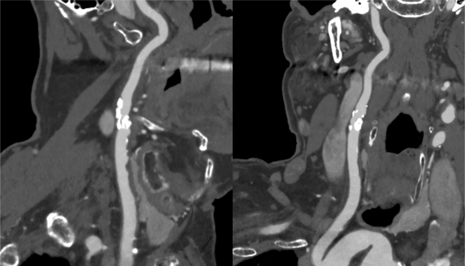
2年前に左内頸動脈狭窄症に対して内膜剥離術施行後。今回、右内頸動脈狭窄の進行が疑われ、術前精査のためCT angiography施行。
撮影プロトコル
表は横スクロールでご覧いただけます。
| 使用機器 | CT機種名/メーカー名 | NAEOTOM α / Siemens Healthineer |
| CT検出器の列数/スライス数 | 288 x 0.2 | |
| ワークステーション名/メーカー名 | Syngo via / Siemens Healthineer |
撮影条件
表は横スクロールでご覧いただけます。
| 撮影時相 | 単純 | 動脈相 |
| 管電圧 (kV) | 120 | 140 |
| AEC | IQ level:300 | IQ level:250 |
| 管電流時間 (Eff.mAs) | 258 | 182 |
| ビーム幅 (mm) | 57.6 | 24 |
| 撮影スライス厚 (mm) | 0.2 | 0.2 |
| 焦点サイズ | — | — |
| スキャンモード | Standard | UHR |
| スキャン速度(sec/rot) | 0.5 | 0.5 |
| ピッチ | 0.35 | 0.85 |
| スキャン範囲 | 頭頂〜下顎 | 頭頂〜頸部 |
| 撮影時間 (sec) | — | — |
| 撮影方向 | 頭→足 | 頭→足 |
再構成条件
表は横スクロールでご覧いただけます。
| 単純 | 動脈相 | |
| ルーチン:再構成スライス厚/間隔 (mm/mm) | 1 / 1 | 0.2 / 0.2 |
| ルーチン:再構成関数/逐次近似応用法 | Qr40 / QIR2 | Qr72 / QIR3 |
| 3D/MPR用:再構成スライス厚/間隔 (mm/mm) | ー | ー |
| 3D/MPR用:再構成関数/逐次近似応用法 | ー | ー |
造影条件
| 自動注入器機種名/メーカー名 | Dual Shot GX7 / Nemoto |
| 造影剤名 | イオプロミド370注シリンジ |
表は横スクロールでご覧いただけます。
| 撮影プロトコル | 動脈相 |
| 造影剤:投与量 (mgI/kg) | 600 |
| 造影剤:注入速度 (mgI/kg/sec) | 24 |
| 生食:投与量 (mL) | 25 |
| 生食:注入速度 | 造影剤の注入スピードと同じ |
| スキャンタイミング | BT法 |
| ディレイタイム | Prep直後 |
| 留置針サイズ (G) | 20 |
| 注入圧リミット (kg/cm²) | 12 |
当該疾患の診断における造影CTの役割
内頸動脈狭窄症において、造影CTはMRIと並んで必須の検査である。MRIが苦手とする石灰化の評価、薄いスライス厚での狭窄率評価が、造影CTでは行いやすい。動脈相での評価が望ましく、血管内と血管外の境界が可能な限りシャープである方が、狭窄率の評価が行いやすい。
CT技術や撮像プロトコル設定について
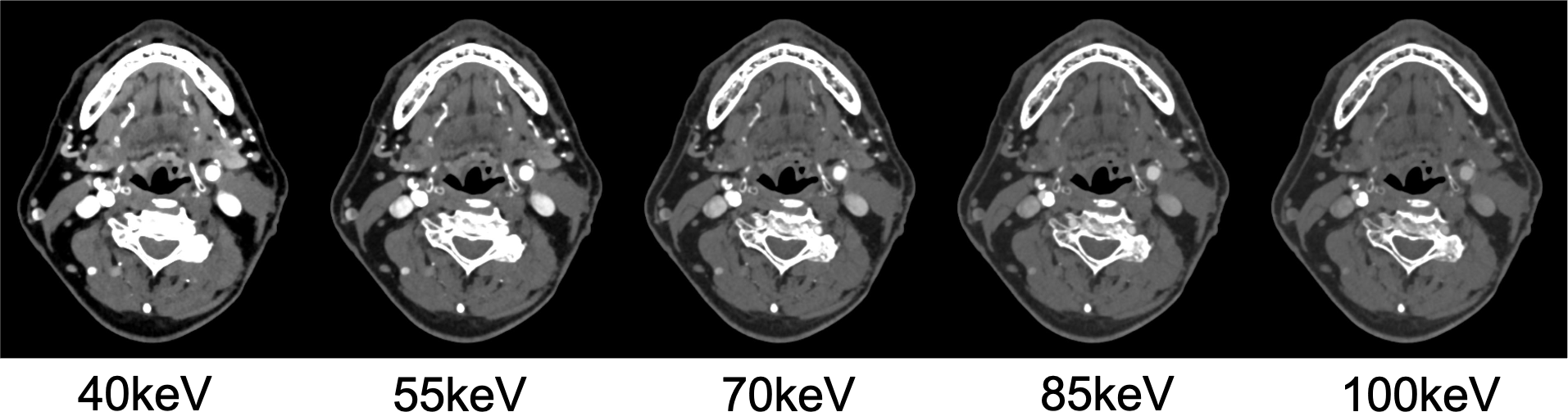
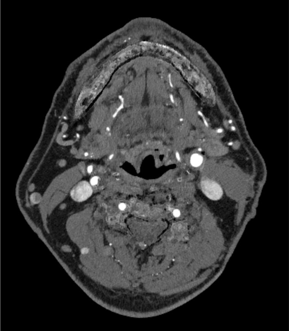
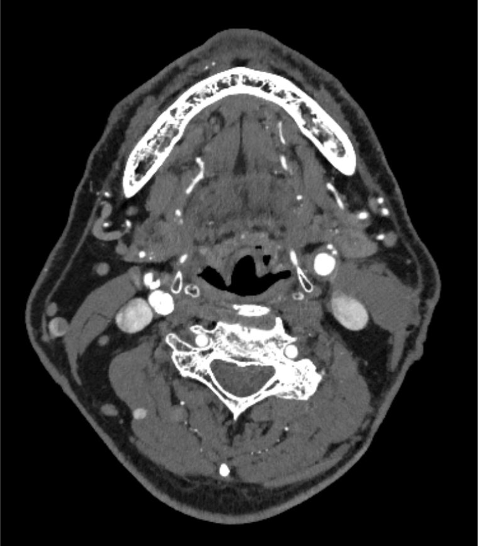
Virtual Monoenergetic Imageで高エネルギー側の表示をすることで、金属アーチファクトを低減できたり、今回の症例のように、Iodine mapを用いることでヨード濃度を推定することができたり、Purelumen画像でCaなどの石灰化を除去することで、内腔の表示をより明瞭化する技術がある。シャープネスの高い動脈相の画像が望ましく、ヨード量は600mgI/kgは維持できるように気をつけている。
使用上の注意【電子添文より抜粋】
9.特定の背景を有する患者に関する注意
9.8 高齢者
患者の状態を観察しながら使用量を必要最小限にするなど慎重に投与すること。本剤は主として、腎臓から排泄されるが、高齢者では腎機能が低下していることが多いため、高い血中濃度が持続するおそれがある。[8.6、9.2.1、9.2.2 参照]