症例・導⼊事例
※ご紹介する症例は臨床症例の一部を紹介したもので、全ての症例が同様な結果を示すわけではありません。
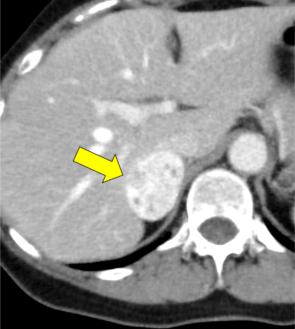
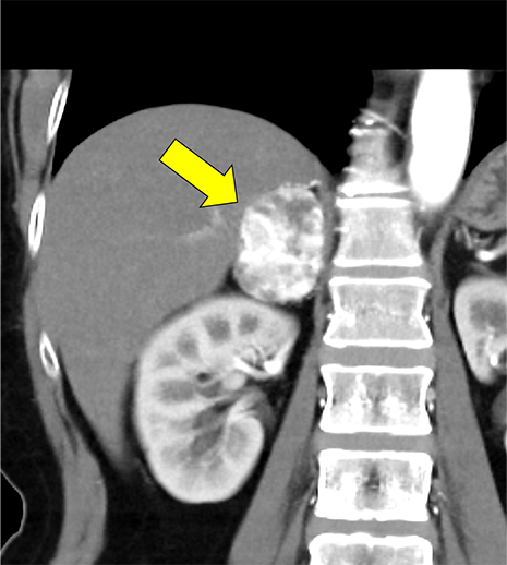
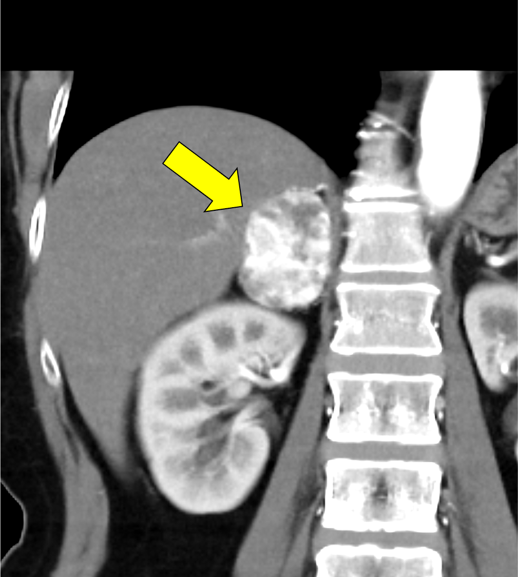
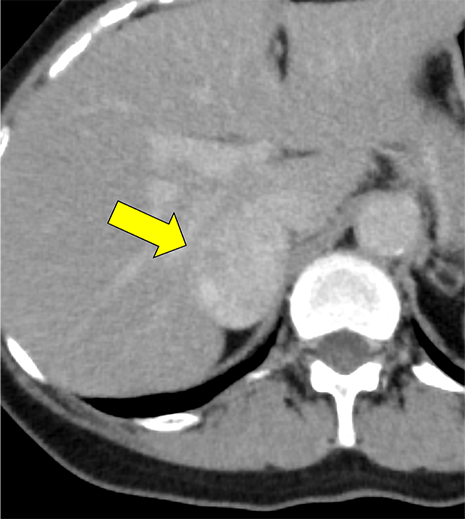
右副腎腫瘍の術前診断
施設名:群馬大学医学部附属病院
執筆者:放射線診断核医学科 髙瀬 彩 先生、 横田 貴之 先生
作成年月:2025年7月
※ 効能又は効果、用法及び用量、警告・禁忌を含む注意事項等情報等については、電子添文をご参照ください。
はじめに
症例背景
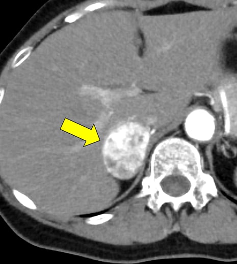
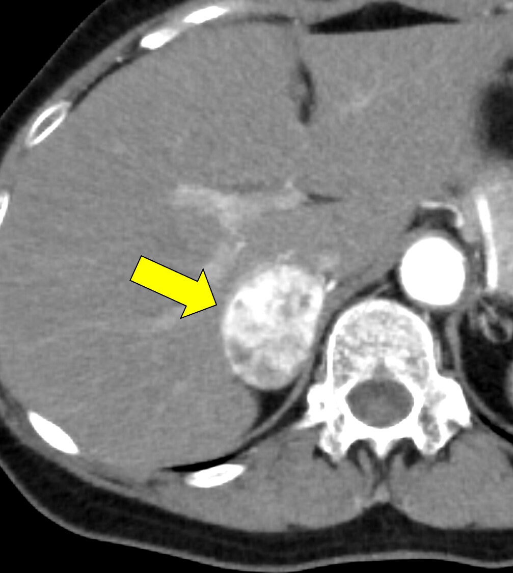
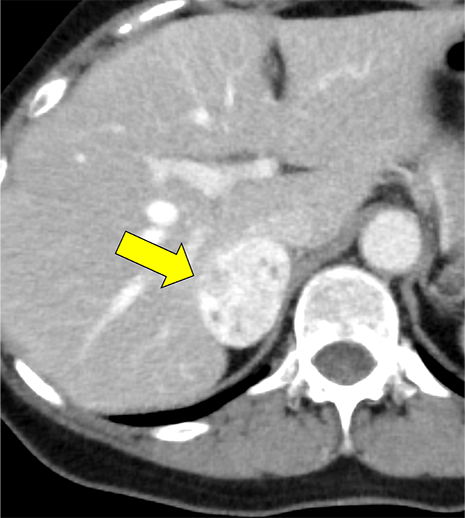
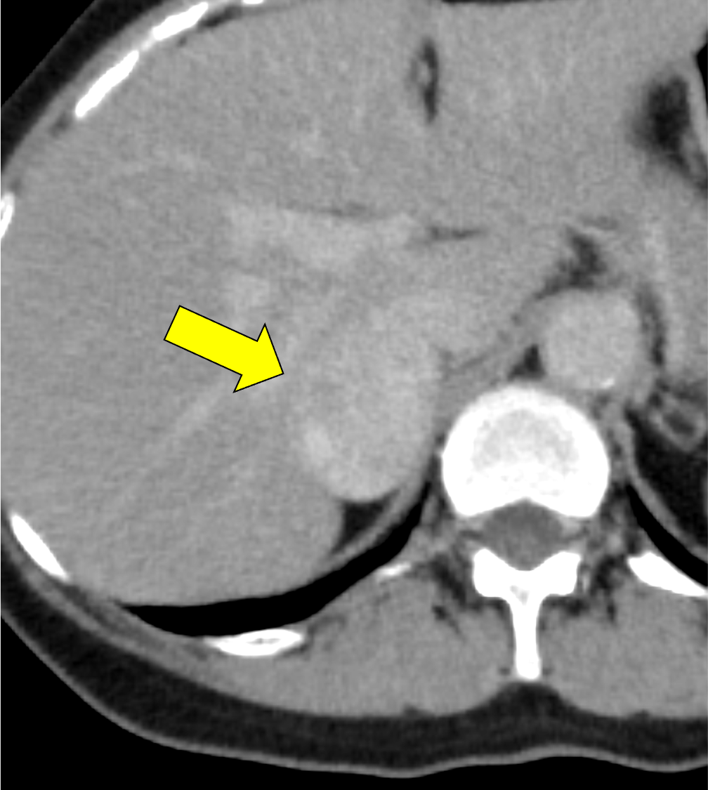
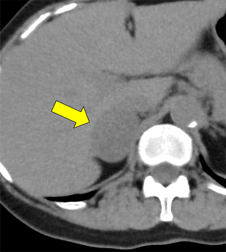
60歳代、 女性、 46kg、 右副腎褐色細胞腫
検査目的
右副腎多血性腫瘍の術前精査
使用造影剤
イオプロミド300注シリンジ100mL「BYL」 / 92mL
症例解説
本例は、偶発的に指摘された右副腎腫瘍である。高血圧はあるが内服せず経過観察されている患者で、1cm/5年程度の非常に緩徐な増大を示す多血性の腫瘍を認める。腫瘍はI-123MIBGシンチ陰性であり、内分泌内科での精査においてもホルモン産生を疑う所見に乏しく、褐色細胞腫よりも海綿状血管腫が疑われていた。しかし、増大傾向があり破裂や出血のリスクなども考慮されて手術の方針となった。手術中に血圧の変動を認め、病理で褐色細胞腫の診断となった。
撮影プロトコル
表は横スクロールでご覧いただけます。
| 使用機器 | CT機種名/メーカー名 | Aquilion ONE Nature Edition / キヤノン |
| CT検出器の列数/スライス数 | 320列 | |
| ワークステーション名/メーカー名 | SYNAPSE VINCENT / 富士フィルムメディカル |
撮影条件
表は横スクロールでご覧いただけます。
| 撮影時相 | 単純 | 動脈相 | 門脈相 | 遅延相 |
| 管電圧 (kV) | 120 | 120 | 120 | 120 |
| AEC | ON | ON | ON | ON |
| (AECの設定) | SD12 | SD13 | SD13 | SD14 |
| ビーム幅 (mm) | 40 | 40 | 40 | 40 |
| 撮影スライス厚 (mm) | 0.5 | 0.5 | 0.5 | 0.5 |
| 焦点サイズ | Large | Large | Large | Large |
| スキャンモード | Helical | Helical | Helical | Helical |
| スキャン速度 (sec/rot) | 0.5 | 0.5 | 0.5 | 0.5 |
| ピッチ | 0.813 | 0.813 | 0.813 | 0.813 |
| スキャン範囲 | 上腹部 | 上腹部 | 胸部から骨盤 | 全腹部 |
| 撮影時間 (sec) | 4 | 4 | 10 | 7 |
| 撮影方向 | 頭→足 | 頭→足 | 頭→足 | 頭→足 |
再構成条件
表は横スクロールでご覧いただけます。
| 単純 | 動脈相 | 門脈相 | 遅延相 | |
| ルーチン:再構成スライス厚/間隔 (mm/mm) | 5 / 5 | 5 / 5 | 5 / 5 | 5 / 5 |
| ルーチン:再構成関数/逐次近似応用法 | FC13 / AIDR 3D eMild | FC13 / AIDR 3D eMild | FC13 / AIDR 3D eMild | FC13 / AIDR 3D eMild |
| 3D/MPR用:再構成スライス厚/間隔 (mm/mm) | 1 / 1 | 1 / 1 | 1 / 1 | 1 / 1 |
| 3D/MPR用:再構成関数/逐次近似応用法 | AiCE Body Sharp Mild | AiCE Body Sharp Mild | AiCE Body Sharp Mild | AiCE Body Sharp Mild |
造影条件
| 自動注入器機種名/メーカー名 | デュアルショットGX7 / 根本杏林堂 |
| 造影剤名 | イオプロミド300注シリンジ |
表は横スクロールでご覧いただけます。
| 撮影プロトコル | 動脈相 | 門脈相 | 遅延相 |
|---|---|---|---|
| 造影剤:投与量 (mgl/Kg) | 600 | ー | ー |
| 造影剤:注入時間 (sec) | 30 | ー | ー |
| 生食:投与量 (mL) | ー | ||
| 生食:注入速度 (mL/sec)、注入時間 (sec) | ー | ||
| スキャンタイミング | BT法 (腹腔動脈分岐レベル/220HU) | ||
| ディレイタイム | 8s (220HU到達後) | 30s | 造影剤注入開始300秒後 |
| 留置針サイズ (G) | 22 | ||
| 注入圧リミット (psi or kg/cm²) | 12 | ||
動脈相はボーラストラッキング法を使用し、腹腔動脈分岐レベルの大動脈にROIを置き220HUに達してから8s後に撮影。門脈相は動脈相撮影後30sに設定している。
当該疾患の診断における造影CTの役割
褐色細胞腫は副腎髄質に存在するクロム親和性細胞に由来する腫瘍で、カテコールアミンなど種々の生理活性物質を産生する。ダイナミック造影で動脈相での強い濃染と持続する造影効果が特徴とされ、サイズが大きい病変は嚢胞変性や出血、壊死を伴うことが多い。かつては、臨床的に褐色細胞腫が疑われる場合、ヨード造影剤の投与はカテコールアミンの過剰放出を誘発し、高血圧クリーゼを引き起こす可能性があるため原則禁忌とされていた。しかし、現在汎用されている非イオン性・低浸透圧性造影剤であればこの現象は起こらないとの報告もあり、European Society of Urogenital Radiology Guidelines on Contrast Media, ver 10.0では、「経静脈的ヨード造影剤の投与をする場合でも特別な準備の必要はない」と記載されている。イオプロミドの電子添文上は、禁忌にはなっていないものの、「慎重に投与すること」との記載になっている。本例では、血管腫疑いとして合計5回の造影CTが行われているが、血圧変動や頭痛、動悸などの症状は一度も認められなかった。
本例の画像所見として、褐色細胞腫としてダイナミック造影の濃染パターンは典型的ともいえたが、大きさの割に変性が乏しい点、MIBGシンチでの核種集積に乏しい点、ホルモン産生に乏しい点など非典型的な要素が複数存在し、海綿状血管腫を除外しきれなかった。なお、褐色細胞腫はRET遺伝子変異による多発性内分泌腺腫症(multiple endocrine neoplasia;MEN)type 2A・2B、VHL遺伝子によるvon Hippel-Lindau病、NF1遺伝子による神経線維腫症1型に生じることが知られているが、これらの疾患を想起させるような他病変は本例には見つかっていない。
CT技術や撮像プロトコル設定について
腺腫や骨髄脂肪腫など良性と断定できない副腎腫瘍の鑑別をする際、大きい病変であれば褐色細胞腫や副腎癌、悪性リンパ腫などが考慮される。核医学検査も有用ではあるが、本例のように偽陰性となることも稀にあり、その際はダイナミック造影パターン、血管への浸潤、転移の有無などから判断しなければならない。適切なタイミングで撮像されたダイナミック造影CTは、多血性病変であるかの評価、周囲の血管との関係性、多血性の転移巣の有無などの判断に寄与し、診断の重要な手がかりとなると考える。
使用上の注意【電子添文より抜粋】
9.特定の背景を有する患者に関する注意
9.1 合併症・既往歴等のある患者
9.1.8 色細胞腫又はパラガングリオーマのある患者及びその疑いのある患者
診断上やむを得ないと判断される場合を除き、投与しないこと。やむを得ず検査を実施する場合には、静脈確保の上、フェントラミンメシル酸塩等のα遮断薬及びプロプラノロール塩酸塩等のβ遮断薬の十分な量を用意するなど、これらの発作に対処できるよう十分な準備を行い、慎重に投与すること。血圧上昇、頻脈、不整脈等の発作が起こるおそれがある。9.8 高齢者
患者の状態を観察しながら使用量を必要最小限にするなど慎重に投与すること。本剤は主として、腎臓から排泄されるが、高齢者では腎機能が低下していることが多いため、高い血中濃度が持続するおそれがある。[8.6、9.2.1、9.2.2 参照]