症例・導⼊事例
※ご紹介する症例は臨床症例の一部を紹介したもので、全ての症例が同様な結果を示すわけではありません。
中枢神経原発悪性リンパ腫(PCNSL)の1例
施設名: 広島市立北部医療センター安佐市民病院
執筆者: 放射線診断科 滝本 龍 先生
作成年月:2025年7月
※ 効能又は効果、用法及び用量、警告・禁忌を含む注意事項等情報等については、電子添文をご参照ください。
はじめに
中枢神経原発悪性リンパ腫(PCNSL)は増加傾向にあり、現在では原発性脳腫瘍の6%程度といわれている。PCNSLの90%以上は組織学的にびまん性大細胞型B細胞リンパ腫であり、免疫染色ではCD19、20、22、79aが強陽性を示しMIB-1陽性率が高い。男性にやや多く(1.5:1)、50-60代に好発する。免疫不全患者ではより若年層に好発し、AIDS患者に合併しやすい。PCNSLは中枢神経系のどこにでも生じるが、テント上の脳脊髄液に接する部分にみることが多い(95%)。
※青木茂樹 編著:よくわかる脳MRI,p.106-107,学研メディカル秀潤社,(2020)
ガドビストを用いたMRI検査の方法
手順と撮像 Sequence Parameter
撮像パラメータ
表は横スクロールでご覧いただけます。
| 撮像名 | 撮像シーケンス | 撮像時間 (min:sec) | TR (msec) | TE (msec) | TI (msec) | FA (deg) | b-value (sec/mm2) | Fat Sat (種類) | ETL,TF (数) | Parallel Imaging (倍速数) | NEX,Averages (加算回数) |
| T2WI Ax PROPELLER | FSE PROPELLER | 1:36 | 6000 | 124 | ー | 160 | ー | ー | 24 | 2 | 1 |
| DWI Ax b= 1000 | EPI | 0:40 | 5000 | 87.8 | ー | ー | 1000 | ー | ー | 2 | 2 |
| FLAIR Ax PROPELLER | FSE PROPELLER | 2:34 | 9000 | 124 | 2370 | 160 | ー | ー | 32 | 2 | 1 |
| SWAN Ax | GRE | 4:38 | 74.2 | 47.7 | ー | 15 | ー | ー | ー | 2 | ー |
| 3D ASL PLD=2025 | 3D ASL | 1:47 | 4843 | 10.5 | 2025 | 155 | ー | ー | ー | ー | 2 |
| SPGR Ax 3D Pre | GRE Fast SPGR | 3:04 | 10 | 4.5 | ー | 15 | ー | special | ー | 1.75 | 1 |
| +Gd SPGR 3D Post | GRE Fast SPGR | 3:04 | 10 | 4.5 | ー | 15 | ー | special | ー | 1.75 | 1 |
| MRS SV TE=35 | PROBE-P | 3:00 | 1500 | 35 | ー | 90 | ー | ー | ー | ー | 8 |
| MRS SV TE=144 | PROBE-P | 3:00 | 1500 | 144 | ー | 90 | ー | ー | ー | ー | 8 |
表は横スクロールでご覧いただけます。
| 撮像名 | FOV (mm) | 面内分解能 (mm) | リード方向 (matrix数) | 位相方向 (step数) | Slice厚 (mm) | Slice Gap (mm) | Slice枚数 |
| T2WI Ax PROPELLER | 220 | 0.57*0.57 | 384 | 384 | 6 | 1.5 | 19 |
| DWI Ax b= 1000 | 220 | 1.72*1.38 | RL 128 | AP 160 | 6 | 1.5 | 19 |
| FLAIR Ax PROPELLER | 220 | 0.76*0.76 | 288 | 288 | 6 | 1.5 | 19 |
| SWAN Ax | 240 | 0.83*0.98 | AP 288 | RL 244 | 2.6 | -1.3 | 116 |
| 3D ASL PLD=2025 | 240 | ー | ー | ー | 4 | 0 | 36 |
| SPGR Ax 3D Pre | 220 | 0.69*1.15 | AP 320 | RL 192 | 1.2 | 0.6 | 304 |
| +Gd SPGR 3D Post | 220 | 0.69*1.15 | AP 320 | RL 192 | 1.2 | 0.6 | 304 |
| MRS SV TE=35 | ー | ー | ー | ー | ー | ー | ー |
| MRS SV TE=144 | ー | ー | ー | ー | ー | ー | ー |
| MRI装置 | Signa Explorer 1.5T MRI - GE Healthcare |
| 自動注入器 | Spectris Solaris EP - MEDRAD |
| ワークステーション | SYNAPSE VINCENT - FUJIFILM |
表は横スクロールでご覧いただけます。
| 造影条件 | 注入量(mL) | 注入速度(mL/sec) | 撮像タイミング | |
| ガドビスト | 5.7 | 手押し | ・造影T1強調画像(3D SPGR Ax.) →造影剤投与後2分 ・MRS SV(TE=35) →造影剤投与後6分 ・MRS SV(TE=144) →造影剤投与後10分 | |
| 後押し用 生理食塩水 | ー | ー |
症例
症例背景と造影MRI検査の目的
70歳代、女性、57kg、中枢神経原発悪性リンパ腫(PCNSL)
1ヶ月前から左不全麻痺、右眼瞼下垂、左同名半盲を認めた患者。近医脳外科でMRI施行し脳腫瘍を指摘されたため、当院に紹介となった。生検前の精査目的で造影MRI施行となった。
症例解説
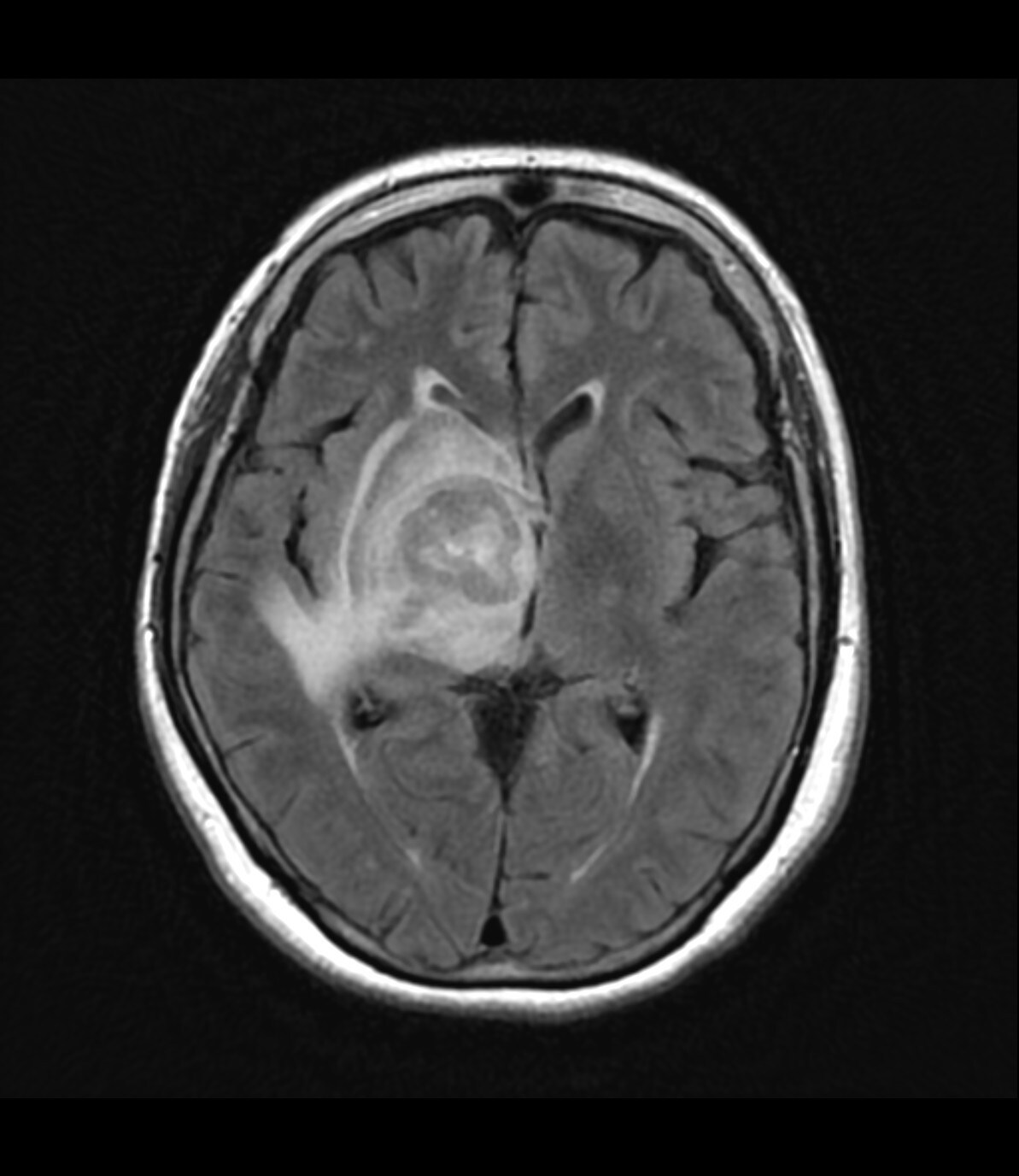
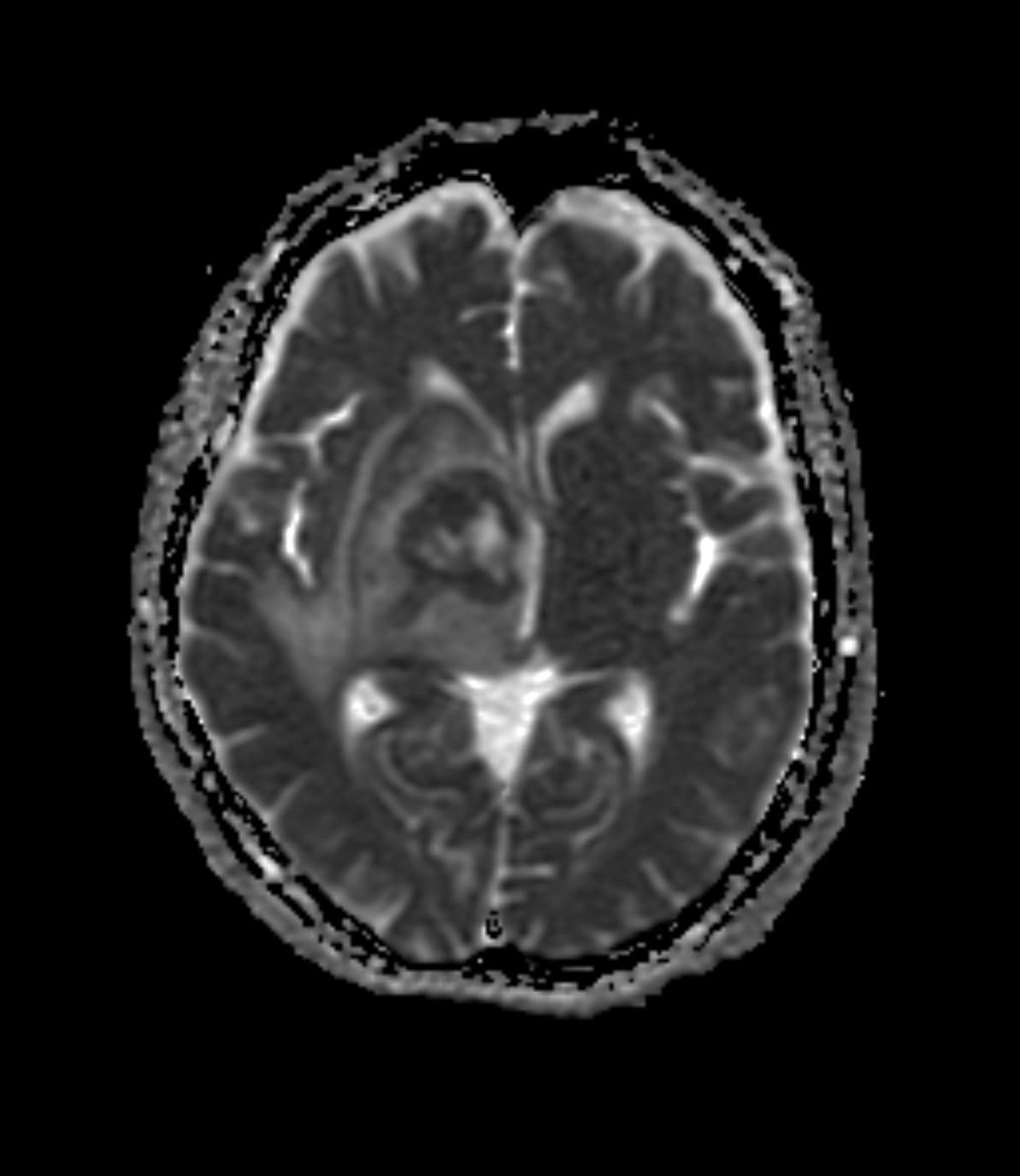
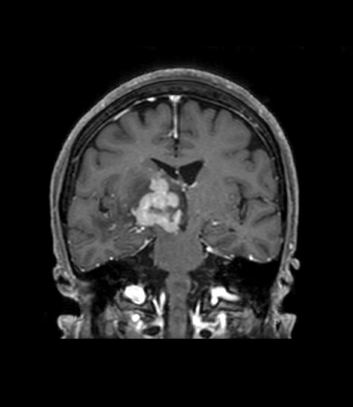
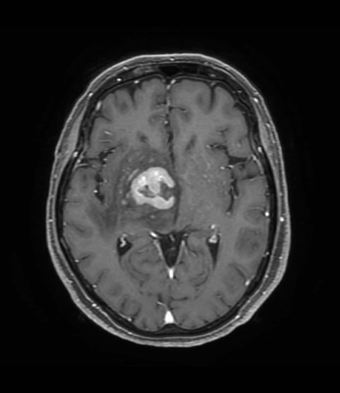
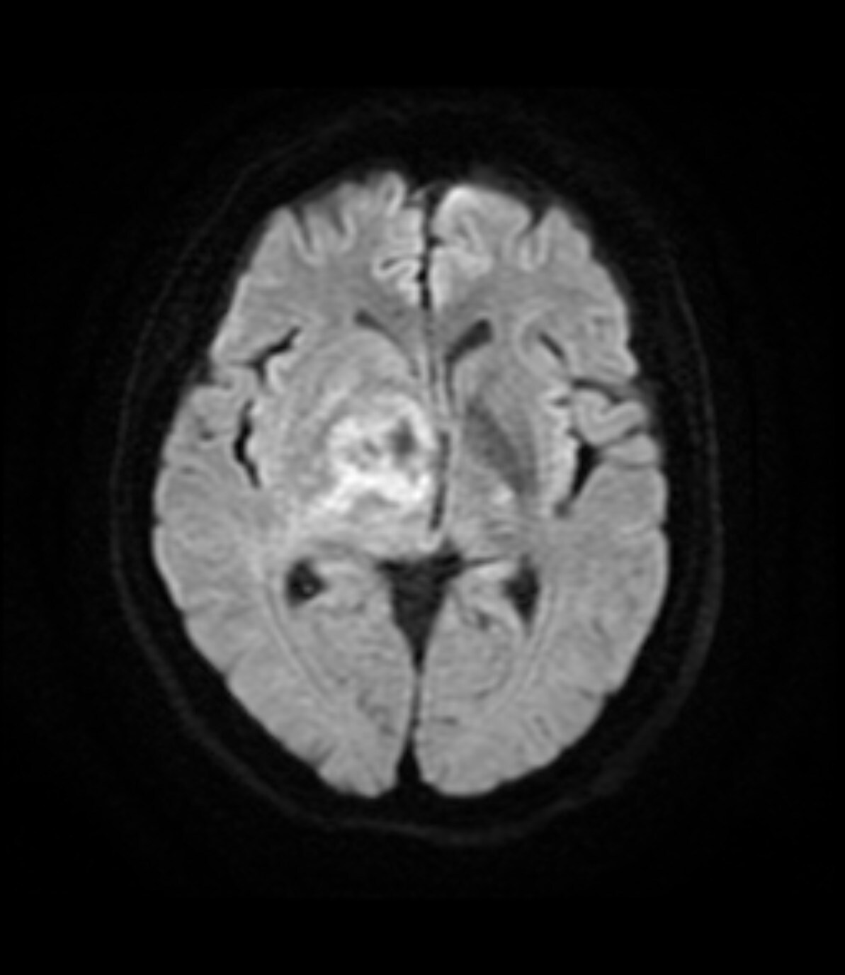
右基底核~視床~右中脳腹側にかけて均一で強いリング状増強効果を呈する腫瘤を認める。周囲に浮腫と思われるFLAIR 高信号域を認める。主病変の濃染部分はFLAIR等信号、DWI 高信号、ADCmap 低信号を呈している。MRS(TE=144)でChoが上昇、CrとNAAが低下している。ASLでは血流の顕著な上昇は認めない。中枢神経原発悪性リンパ腫(PCNSL)が疑われた。脳腫瘍生検の結果、中枢神経原発悪性リンパ腫(PCNSL)と診断された。
当該疾患の診断における造影MRIの役割
造影MRIにより腫瘍の範囲を正確に確認でき、腫瘍生検を行う際に病変を的確に捉えることができるようになると思われる。本症例のように浮腫を伴う脳腫瘍の場合、単純MRIのみでは浮腫と腫瘍の境界が不明瞭であり、腫瘍の範囲を把握するために造影MRIが必要と思われる。
9.特定の背景を有する患者に関する注意【電子添文より抜粋】
9.8 高齢者
患者の状態を十分に観察しながら慎重に投与すること。一般に生理機能が低下している。