症例・導⼊事例
※ご紹介する症例は臨床症例の一部を紹介したもので、全ての症例が同様な結果を示すわけではありません。
頭部CTでのもやもや病の術前プランニング
施設名: 奈良県立医科大学附属病院
執筆者: 放射線診断・IVR学講座 末永 有輝 先生、越智 朋子 先生、田中 利洋 先生
作成年月:2024年11月
※ 効能又は効果、用法及び用量、警告・禁忌を含む注意事項等情報等については、電子添文をご参照ください。
はじめに
症例背景
30歳代、男性、84kg、もやもや病
検査目的
もやもや病の術前精査目的に頭部CTA・CTV施行
使用造影剤
イオプロミド370注シリンジ80mL「BYL」/ 80mL
症例解説
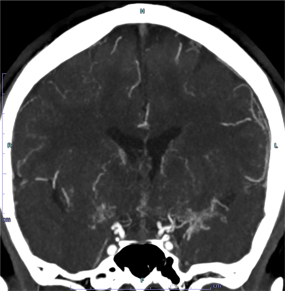
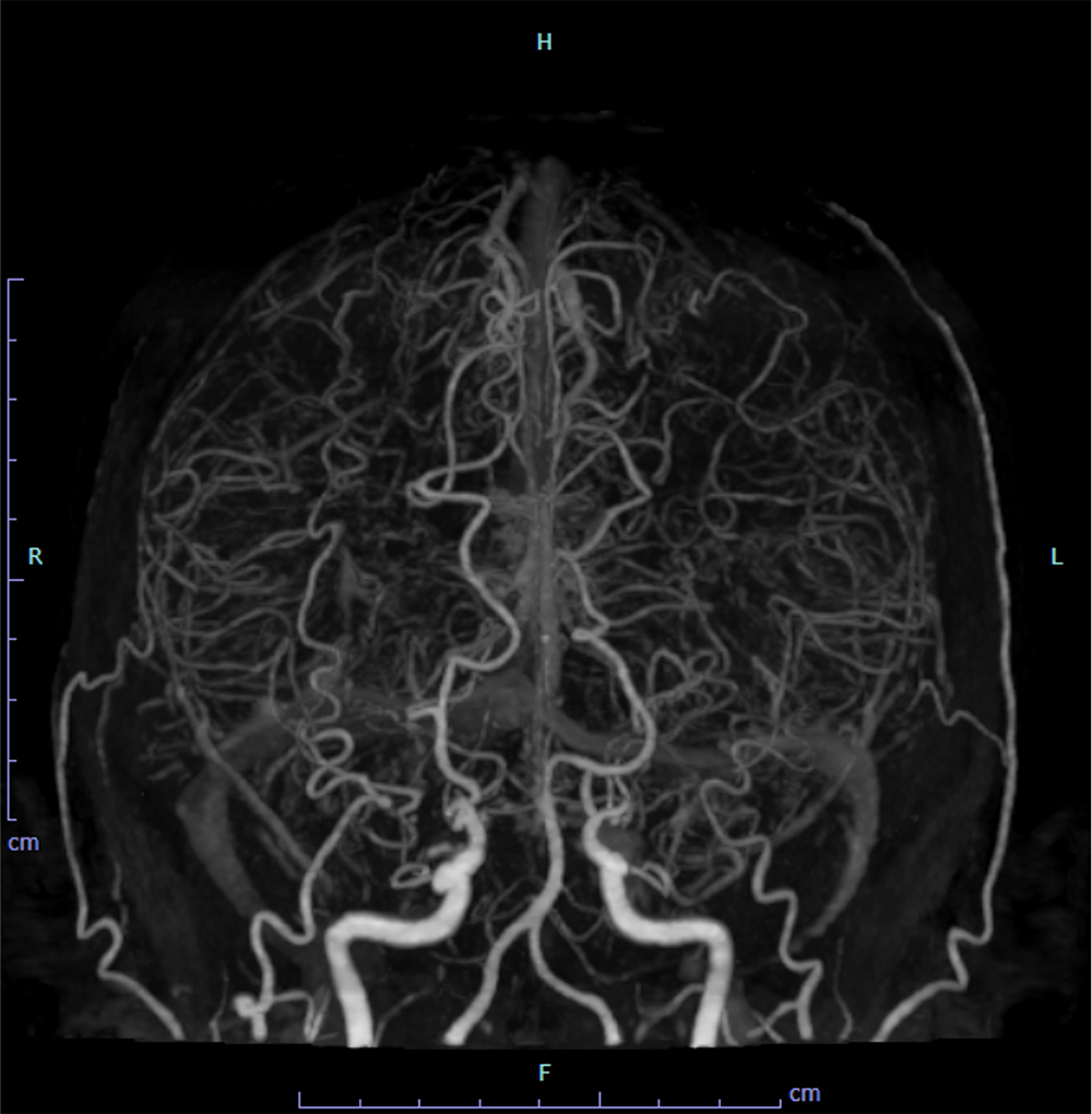
14歳ごろから手足の痺れやめまいなどを自覚しており、兄弟のもやもや病による脳卒中を契機にMRI撮像され、もやもや病と診断された。CTAで両側内頸動脈は閉塞しており、周囲に微細な増生血管をみとめた。前大脳動脈や中大脳動脈は狭窄しており、両側後大脳動脈に拡張を認めた。脳血流SPECTで左前頭葉、側頭葉に血流低下を認め、間接的血行再建術が施行された。
撮影プロトコル
表は横スクロールでご覧いただけます。
| 使用機器 | CT機種名/メーカー名 | Aquilion One / Canon |
| CT検出器の列数/スライス数 | 320 | |
| ワークステーション名/メーカー名 | VINCENT / Fujifilm |
撮影条件
表は横スクロールでご覧いただけます。
| 撮影時相 | 単純 | 動脈相 | 静脈相 | 平衡相 |
|---|---|---|---|---|
| 管電圧 (kV) | 100 | 100 | 100 | 100 |
| AEC | VolumeEC | VolumeEC | VolumeEC | VolumeEC |
| (AECの設定) | SD 3.5 | SD 3.5 | SD 3.5 | SD 2.5 |
| ビーム幅 (mm) | 160 | 160 | 160 | 0.5x80 |
| 撮影スライス厚 (mm) | 0.5 | 0.5 | 0.5 | 0.5 |
| 焦点サイズ | Small | Small | Small | Small |
| スキャンモード | Volume | Volume | Volume | Helical |
| スキャン速度(sec/rot) | 1 | 1 | 1 | 1 |
| ピッチ | ー | ー | ー | 高精細(PF 0.637) |
| スキャン範囲 | 頭部 | 頭部 | 頭部 | 頭部 |
| 撮影時間 (sec) | 1 | 1 | 1 | 8.4 |
| 撮影方向 | ー | ー | ー | 足→頭 |
再構成条件
表は横スクロールでご覧いただけます。
| 単純 | 動脈相 | 静脈相 | 平衡相 | |
|---|---|---|---|---|
| ルーチン:再構成スライス厚/間隔 (mm/mm) | 3.0 / 3.0 | 3.0 / 3.0 | 3.0 / 3.0 | 3.0 / 3.0 |
| ルーチン:再構成関数/逐次近似応用法 | FC21 | FC21 | FC21 | FC21 |
| 3D/MPR用:再構成スライス厚/間隔 (mm/mm) | 0.5 / 0.5 | 0.5 / 0.5 | 0.5 / 0.5 | 1.0 / 0.8 |
| 3D/MPR用:再構成関数/逐次近似応用法 | AiCE Brain CTA | AiCE Brain CTA | AiCE Brain CTA | FC21 |
造影条件
| 自動注入器機種名/メーカー名 | ー |
|---|---|
| 造影剤名 | イオプロミド370注シリンジ |
表は横スクロールでご覧いただけます。
| 撮影プロトコル | 動脈相 | 静脈相 | 平衡相 |
| 造影剤:投与量 (mL) | 80 | ||
| 造影剤:注入速度(mL/sec) | 4.0 | ||
| 生食:投与量 (mL) | 25 | ||
| 生食:注入速度(mL/sec) | 4.0 | ||
| スキャンタイミング | BT法(内頚動脈/200HU) | 固定 | 固定法 |
| ディレイタイム | ー | 動脈相撮影後12秒後 | 造影剤注入開始180秒後 |
| 留置針サイズ (G) | 20 | ||
| 注入圧リミット (psi) | 200 | ||
もやもや病における新生血管(もやもや血管)は血管径が細く、通常の撮影では明瞭な描出が難しいことがある。100kVの低管電圧撮影を用いることでもやもや血管の微細なネットワークを鮮明に描出し、病状評価や治療計画立案に役立てている。
当該疾患の診断における造影CTの役割
CT検査は客観性が高く非侵襲的であること、頚部~頭蓋内の動脈までを一度に評価できること、緊急時にも短時間で検査可能なことから、もやもや病の診断や治療方針の決定に必要不可欠な検査である。
もやもや病は、脳出血や虚血の原因となるが、脳循環不全に伴い形成された脆弱な新生血管(もやもや血管)が破綻すれば出血の原因となり、循環不全に陥れば虚血となる。もやもや病において脳循環を改善することは、脳虚血の改善や出血の予防になると考えられ、血行再建術が広く施行されている。
血行再建術では、STA-MCAを直接吻合する方法のほか、STA、DTA、MMAなどを脳表と接続する間接血行再建術も広く施行されており、末梢の微細な血管解剖の取得までもが必要となる。
予定手術の場合には血管解剖を血管造影で取得することも珍しくないが、80%は家族歴を有しない患者であり、脳出血や虚血など重篤な症状を伴って発症することもしばしばあり、短時間で簡便に正確に血管評価可能なCTA-CTVは、もやもや病の診断において非常に重要な役目があると考える。
CT技術や撮像プロトコル設定について
術前の血管評価には欠かせない、3次元評価が可能なVR画像の作成のためには、CTAで脳動脈のCT値を十分に高める必要がある。そのためになるべく高濃度のヨード造影剤を使用し、高容量の急速静注を行い、ボーラストラッキング法を用いて最適なタイミングで撮影する必要がある。頭部では脈管の構造が複雑で、撮影タイミングが遅いとすでに静脈が描出され動脈の正確な評価が困難になるため、静脈がなるべく描出されていない純粋な動脈相を取得することが重要である。 また、静脈の走行を把握するためCTVも必須となる。 側脳室周囲や側頭骨周囲などは、骨や石灰化、歯科金属によるアーチファクトでの画像劣化がみられるため、サブトラクションなどを用いて評価することも必須と考える。