症例・導⼊事例
※ご紹介する症例は臨床症例の一部を紹介したもので、全ての症例が同様な結果を示すわけではありません。
海綿静脈洞・眼窩浸潤をきたした副鼻腔真菌症の1例
施設名: 奈良県立医科大学附属病院
執筆者: 放射線診断・IVR学講座 越智 朋子 先生、田中 利洋 先生
作成年月:2024年11月
※ 効能又は効果、用法及び用量、警告・禁忌を含む注意事項等情報等については、電子添文をご参照ください。
はじめに
症例背景
70歳代、女性、40kg、副鼻腔真菌症
検査目的
浸潤性真菌性副鼻腔炎の術前評価目的
使用造影剤
イオプロミド370注シリンジ80mL「BYL」/ 80mL
症例解説
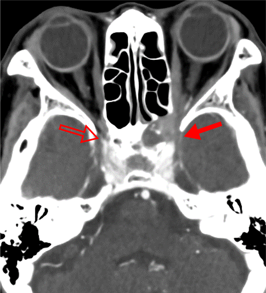
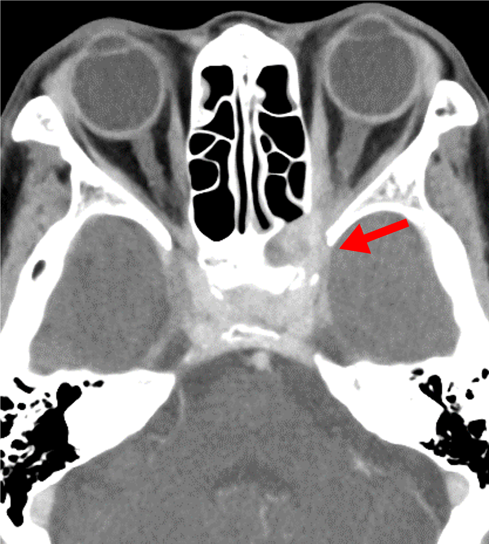
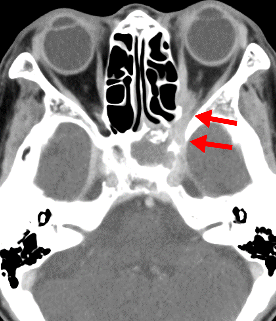
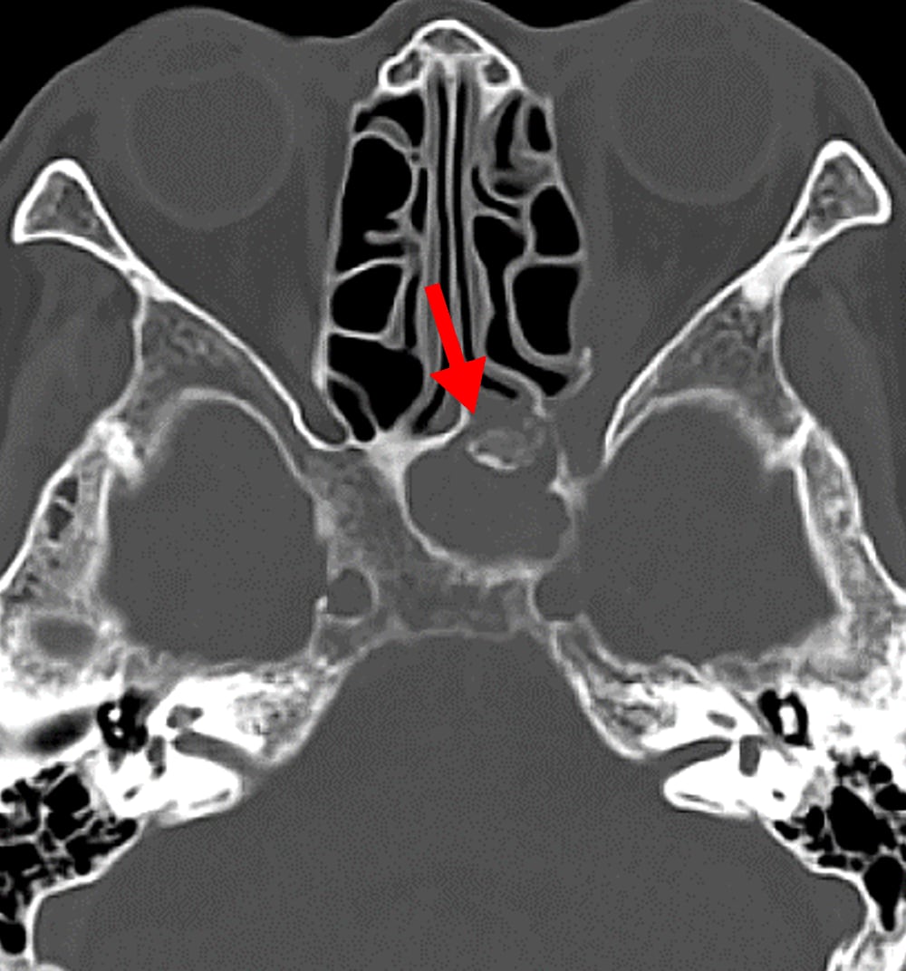
1か月前からの左眼痛、2週間前からの視野異常があり、前医で蝶形骨洞真菌症と診断された。視力障害の急速な進行と左内側視野欠損を来たしたため、当院に紹介された。造影CTにて左蝶形骨洞から左海綿静脈洞・眼窩尖部に浸潤する浸潤性真菌症を指摘された。緊急手術が施行され、病変から糸状様真菌が検出された。
撮影プロトコル
表は横スクロールでご覧いただけます。
| 使用機器 | CT機種名/メーカー名 | Aquilion One / Canon |
| CT検出器の列数/スライス数 | 320 | |
| ワークステーション名/メーカー名 | VINCENT / Fujifilm |
撮影条件
表は横スクロールでご覧いただけます。
| 撮影時相 | 単純 | 動脈相 | 静脈相 | 平衡相 |
|---|---|---|---|---|
| 管電圧 (kV) | 120 | 120 | 120 | 120 |
| AEC | VolumeEC | VolumeEC | VolumeEC | VolumeEC |
| (AECの設定) | SD 8.0 | SD 8.0 | SD 8.0 | SD 10 |
| ビーム幅 (mm) | 0.5x80 | 0.5x80 | 0.5x80 | 0.5x80 |
| 撮影スライス厚 (mm) | 0.5 | 0.5 | 0.5 | 0.5 |
| 焦点サイズ | Small | Small | Small | Small |
| スキャンモード | Helical | Helical | Helical | Helical |
| スキャン速度(sec/rot) | 0.75 | 0.75 | 0.75 | 0.75 |
| ピッチ | 標準(PF 0.813) | 標準(PF 0.813) | 標準(PF 0.813) | 標準(PF 0.813) |
| スキャン範囲 | 大動脈弓から頭部 | 大動脈弓から頭部 | 大動脈弓から頭部 | 大動脈弓から頭部 |
| 撮影時間 (sec) | 12.8 | 12.8 | 12.8 | 12.8 |
| 撮影方向 | 足→頭 | 足→頭 | 足→頭 | 足→頭 |
再構成条件
表は横スクロールでご覧いただけます。
| 単純 | 動脈相 | 静脈相 | 平衡相 | |
|---|---|---|---|---|
| ルーチン:再構成スライス厚/間隔 (mm/mm) | 3.0 / 3.0 | 3.0 / 3.0 | 3.0 / 3.0 | 3.0 / 3.0 |
| ルーチン:再構成関数/逐次近似応用法 | AiCE Brain CTA | AiCE Brain CTA | AiCE Brain CTA | AiCE Body Sharp Mild |
| 3D/MPR用:再構成スライス厚/間隔 (mm/mm) | 0.5 / 0.5 | 0.5 / 0.5 | 0.5 / 0.5 | 0.5 / 0.5 |
| 3D/MPR用:再構成関数/逐次近似応用法 | AiCE Brain CTA | AiCE Brain CTA | AiCE Brain CTA | AiCE Body Sharp Mild |
造影条件
| 自動注入器機種名/メーカー名 | ー |
|---|---|
| 造影剤名 | イオプロミド370注シリンジ |
表は横スクロールでご覧いただけます。
| 撮影プロトコル | 動脈相 | 静脈相 | 平衡相 |
| 造影剤:投与量 (mL) | 80 | ||
| 造影剤:注入速度(mL/sec) | 4.0 | ||
| 生食:投与量 (mL) | 25 | ||
| 生食:注入速度(mL/sec) | 4.0 | ||
| スキャンタイミング | BT法(大動脈弓/200HU) | 固定法 | 固定法 |
| ディレイタイム | ー | 動脈相撮影後8秒後 | 造影剤注入開始90秒後 |
| 留置針サイズ (G) | 20 | ||
| 注入圧リミット (psi) | 200 | ||
当該疾患の診断における造影CTの役割
真菌性副鼻腔炎はアスペルギルス、ムコール、カンジダ、クリプトコッカスなどに起因し、近年増加傾向にある。糖尿病・透析患者などに日和見感染として見られることが多いが、明確な基礎疾患が見られないこともある。浸潤性と非浸潤性に分類され、浸潤性はさらに急性と慢性に分けられ、非浸潤性は菌腫症とアレルギー性に分類される。
急性浸潤性真菌性副鼻腔炎は臨床経過が4週間以内と急速に進行する病態を示す。骨破壊を伴って副鼻腔から眼窩・海綿静脈洞・頭蓋内に浸潤が見られる。また血管侵襲性が強く、時に仮性動脈瘤形成や動脈狭窄・閉塞、血栓形成を引き起こす。血管に沿って進展し、骨破壊を伴わずに副鼻腔外に炎症が浸潤する場合がある。
造影CTでは骨破壊の有無、副鼻腔外への炎症浸潤、また仮性動脈瘤や動脈狭窄・閉塞、血栓形成を評価する。海綿静脈洞は動脈性病変、静脈洞血栓、炎症浸潤が混在する可能性があり、早期動脈相・後期動脈相・平衡相を撮像することでこれらを鑑別する。
CT技術や撮像プロトコル設定について
浸潤性真菌性副鼻腔炎では仮性動脈瘤形成や動脈狭窄・閉塞、静脈洞内の血栓形成、炎症浸潤を正しく鑑別する必要がある。
静脈の関与が少ない早期動脈相で動脈を評価するため、ボーラストラッキング法を用いた撮像を行う。一般的には総頚動脈や内頚動脈、中大脳動脈にROIをおいてモニタリングされることが多いが、本症例では海綿静脈洞の描出ができるだけ少ないタイミングで行うために、大動脈弓部にROIを設定した。また、海綿静脈洞の評価の際、静脈の濃染があり、炎症性組織の濃染がないタイミングでの評価を行うため、静脈相ではなく後期動脈相を撮影している。平衡相での濃染の有無で炎症性組織と静脈洞内血栓の鑑別が可能である。
使用上の注意【電子添文より抜粋】
9.特定の背景を有する患者に関する注意
9.8 高齢者
患者の状態を観察しながら使用量を必要最小限にするなど慎重に投与すること。本剤は主として、腎臓から排泄されるが、高齢者では腎機能が低下していることが多いため、高い血中濃度が持続するおそれがある。[8.6、9.2.1、9.2.2 参照]