症例・導⼊事例
※ご紹介する症例は臨床症例の一部を紹介したもので、全ての症例が同様な結果を示すわけではありません。
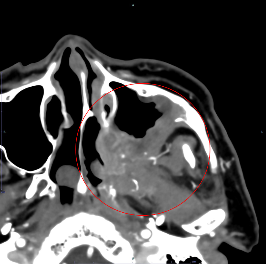
左上顎洞癌に対するRADPLAT術前CT
施設名: 奈良県立医科大学附属病院
執筆者: 放射線診断・IVR学講座 渡邊 紘英 先生、越智朋子 先生、田中 利洋 先生
作成年月:2024年11月
※ 効能又は効果、用法及び用量、警告・禁忌を含む注意事項等情報等については、電子添文をご参照ください。
はじめに
症例背景
70歳代、男性、73kg、上顎洞癌
検査目的
左上顎洞癌に対するRADPLAT術前評価目的に造影CT施行
使用造影剤
イオプロミド370注シリンジ80mL「BYL」/ 58mL
症例解説
左頬部腫脹を自覚し前医受診し、撮像されたCTで上顎洞癌が疑われたため、当院耳鼻咽頭科を紹介受診された。受診時には左上顎部の感覚低下や軽度の開口障害も見られており、各種検査の結果、最終的に上顎洞癌cT4bN0M0の診断でRADPLATの方針となった。
画像所見
撮影プロトコル
表は横スクロールでご覧いただけます。
| 使用機器 | CT機種名/メーカー名 | Aquilion One / Canon |
| CT検出器の列数/スライス数 | 320 | |
| ワークステーション名/メーカー名 | VINCENT / Fujifilm |
撮影条件
表は横スクロールでご覧いただけます。
| 撮影時相 | 単純 | 動脈相 | 平衡相 |
| 管電圧 (kV) | 120 | 120 | 120 |
| AEC | VolumeEC | VolumeEC | VolumeEC |
| (AECの設定) | SD 8.0 | SD 8.0 | SD 10 |
| ビーム幅 (mm) | 0.5x80 | 0.5x80 | 0.5x80 |
| 撮影スライス厚 (mm) | 0.5 | 0.5 | 0.5 |
| 焦点サイズ | Small | Small | Small |
| スキャンモード | Helical | Helical | Helical |
| スキャン速度(sec/rot) | 0.75 | 0.75 | 0.75 |
| ピッチ | 標準(PF 0.813) | 標準(PF 0.813) | 標準(PF 0.813) |
| スキャン範囲 | 大動脈弓から頭部 | 大動脈弓から頭部 | 大動脈弓から頭部 |
| 撮影時間 (sec) | 12.8 | 12.8 | 12.8 |
| 撮影方向 | 足→頭 | 足→頭 | 足→頭 |
再構成条件
表は横スクロールでご覧いただけます。
| 単純 | 動脈相 | 平衡相 | |
| ルーチン:再構成スライス厚/間隔 (mm/mm) | 3.0 / 3.0 | 3.0 / 3.0 | 3.0 / 3.0 |
| ルーチン:再構成関数/逐次近似応用法 | AiCE Brain CTA | AiCE Brain CTA | AiCE Body Sharp Mild |
| 3D/MPR用:再構成スライス厚/間隔 (mm/mm) | 0.5 / 0.5 | 0.5 / 0.5 | 0.5 / 0.5 |
| 3D/MPR用:再構成関数/逐次近似応用法 | AiCE Brain CTA | AiCE Brain CTA | AiCE Body Sharp Mild |
造影条件
| 自動注入器機種名/メーカー名 | ー |
| 造影剤名 | イオプロミド370注シリンジ |
表は横スクロールでご覧いただけます。
| 撮影プロトコル | 動脈相 | 平衡相 |
| 造影剤:投与量 (mL) | 58 | |
| 造影剤:注入速度(mL/sec) | 4.0 | |
| 生食:投与量 (mL) | 25 | |
| 生食:注入速度(mL/sec) | 4.0 | |
| スキャンタイミング | BT法(大動脈弓/200HU) | 固定法 |
| ディレイタイム | ー | 造影剤注入開始180秒後 |
| 留置針サイズ (G) | 20 | |
| 注入圧リミット (psi) | 200 | |
当該疾患の診断における造影CTの役割
頭頸部は機能面や整容面において重要な領域であり、しばしば治療による侵襲でこれらが損なわれてしまい患者への身体的・精神的な負担となりうる。
RADPLATは大量シスプラチンの超選択的動注化学療法と放射線治療の同時併用療法であり、局所制御の向上と臓器機能温存を期待できる。超選択的動注化学療法で癌の根治を目指す上で、腫瘍の進展範囲や栄養血管の同定、また周囲の重要構造物との関係やアクセスルートなど詳細な術前評価が不可欠であり、造影CTで解剖学的構造物を正確に描出することが求められる。
当院では撮像されたCT画像を元に3D画像解析システム「SYNAPSE VINCENT」を使用して治療対象となる血管を抽出し、ワークステーション上で支援画像を作成している。これにより直感的な解剖の理解を得られるだけでなく、放射線技師や看護師など手技に関わるスタッフと事前に情報共有することが容易になり、これもまた治療の有効性や安全性を高めることに寄与する。
CT技術や撮像プロトコル設定について
動脈相では動注化学療法のターゲットとなる血管や周囲の重要な血管を正確に描出することが求められるため、高容量のヨード造影剤を使用し、4.0ml/secの急速注入を行い、生理食塩水で後押しする。撮像タイミングはボーラストラッキング法を用いて決定するが、できるだけ純粋な動脈相を得ることが重要で、腫瘍や静脈の濃染が強くなると動脈の正確な評価が困難になる。このため、一般的な総頚動脈や中大脳動脈ではなく、大動脈弓にROIを設定する。
平衡相では腫瘍の大きさや広がり、周囲組織との関係の評価、リンパ節転移の評価を行う。
画像再構成は腫瘍の位置や血管走行を詳細に評価するため、0.5mmにスライス厚を設定する。各動脈、腫瘍を色分けしたVR像なども血管造影の際の支援画像として重要である。
使用上の注意【電子添文より抜粋】
9.特定の背景を有する患者に関する注意
9.8 高齢者
患者の状態を観察しながら使用量を必要最小限にするなど慎重に投与すること。本剤は主として、腎臓から排泄されるが、高齢者では腎機能が低下していることが多いため、高い血中濃度が持続するおそれがある。[8.6、9.2.1、9.2.2 参照]