症例・導⼊事例
※ご紹介する症例は臨床症例の一部を紹介したもので、全ての症例が同様な結果を示すわけではありません。
憩室出血の症例
施設名: 山形大学医学部附属病院
執筆者: 放射線診断科 菅井 康大 先生、鹿戸 将史 先生 / 放射線部 佐藤 俊光 先生
作成年月:2024年9月
※ 効能又は効果、用法及び用量、警告・禁忌を含む注意事項等情報等については、電子添文をご参照ください。
はじめに
症例背景
70歳代、男性、55kg、憩室出血
検査目的
数日来の血便あり。貧血進行し当院紹介。憩室出血の疑いでCT撮影。
使用造影剤
イオプロミド370注シリンジ100mL「BYL」/ 100mL
症例解説
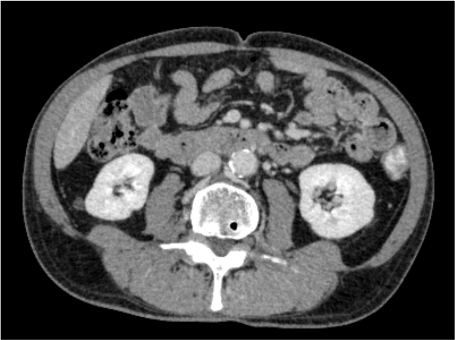
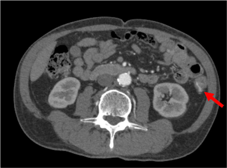
数日来の血便あり。臨床的に憩室出血が疑われCT検査が施行された。造影CTにて、下行結腸の憩室より造影剤の漏出像を認め、活動性出血と考えられた。下部消化管内視鏡でも下行結腸の憩室より噴出性の出血が確認され、憩室出血の診断。クリップにて止血処置を行い、止血が確認された。
撮影プロトコル
表は横スクロールでご覧いただけます。
| 使用機器 | CT機種名/メーカー名 | Aquilion ONE PRISM Edition / キヤノンメディカルシステムズ |
| CT検出器の列数/スライス数 | 320 / 80 | |
| ワークステーション名/メーカー名 | Ziostation2 / ザイオソフト |
撮影条件
表は横スクロールでご覧いただけます。
| 撮影時相 | 単純 | 動脈相 | 平衡相 |
| 管電圧 (kV) | 120 | 120 | 120 |
| AEC | SD:5(5mm) | SD:5(5mm) | SD:5(5mm) |
| ビーム幅 (mm) | 40 | 40 | 40 |
| 撮影スライス厚 (mm) | 0.5 | 0.5 | 0.5 |
| 焦点サイズ | Small | Small | Small |
| スキャンモード | Helical | Helical | Helical |
| スキャン速度(sec/rot) | 0.5 | 0.5 | 0.5 |
| ピッチ | 0.813 | 0.813 | 0.813 |
| スキャン範囲 | 上腹部~骨盤 | 上腹部~骨盤 | 上腹部~骨盤 |
| 撮影時間 (sec) | 8 | 8 | 8 |
| 撮影方向 | 足→頭 | 足→頭 | 足→頭 |
再構成条件
表は横スクロールでご覧いただけます。
| 単純 | 動脈相 | 平衡相 | |
| ルーチン:再構成スライス厚/間隔 (mm/mm) | 1.0 / 1.0 | 1.0 / 1.0 | 1.0 / 1.0 |
| ルーチン:再構成関数/逐次近似応用法 | AIDR3D Mild | AIDR3D Mild | AIDR3D Mild |
| 3D/MPR用:再構成スライス厚/間隔 (mm/mm) | 0.5 / 0.25 | 0.5 / 0.25 | 0.5 / 0.25 |
| 3D/MPR用:再構成関数/逐次近似応用法 | AIDR3D Mild | AIDR3D Mild | AIDR3D Mild |
造影条件
| 自動注入器機種名/メーカー名 | デュアルショットGX7 / 根本杏林堂 |
| 造影剤名 | イオプロミド370注シリンジ |
表は横スクロールでご覧いただけます。
| 撮影プロトコル | 動脈相 |
| 造影剤:投与量 (mgI/mL) | 673 |
| 造影剤:注入時間 (sec) | 30 |
| 生食:投与量 (mL) | ー |
| 生食:注入速度 (mL/sec)、注入時間 (sec) | ー |
| スキャンタイミング | 固定法 |
| ディレイタイム | 造影剤注入開始30秒後 |
| 留置針サイズ (G) | 20 |
| 注入圧リミット (kg/cm2) | 13 |
この症例は時間外での撮影であったため、不慣れな技師でも大きな失敗をすることの無いように撮影タイミングはボーラストラッキング等を使わず、固定法としている。心機能が大きく低下している場合も想定に入れ、動脈相が不十分な場合には直ちに撮影できる準備も必要である。
当該疾患の診断における造影CTの役割
活動性出血が疑われる状況において、出血源の検索目的に造影CTが行われることがある。活動性出血を示すCT所見は、造影剤の血管外漏出像(extravasation)である。仮性動脈瘤との鑑別には、動脈相と比較して後期相でextravasationが拡大することを確認することが大切である。憩室出血を含め消化管出血では、extravasationが捉えられたとしてもピンポイントでの出血点の同定は難しいことも少なくはないが、本症例では一つの憩室より造影剤が漏出する像が明瞭に捉えられ、憩室出血の診断と出血源の同定にダイナミック造影CTが有用であった。
CT技術や撮像プロトコル設定について
この症例は時間外での撮影であったため、撮影タイミングは固定法としているが、通常はボーラストラッキング法を用いて適切な動脈相を得るようにしている。また、安定した造影効果を得るために造影剤は身長、体重、性別を考慮して造影剤量を決定し、約30秒間で急速静注している。
使用上の注意【電子添文より抜粋】
9.特定の背景を有する患者に関する注意
9.8 高齢者
患者の状態を観察しながら使用量を必要最小限にするなど慎重に投与すること。本剤は主として、腎臓から排泄されるが、高齢者では腎機能が低下していることが多いため、高い血中濃度が持続するおそれがある。[8.6、9.2.1、9.2.2 参照]