症例・導⼊事例
※ご紹介する症例は臨床症例の一部を紹介したもので、全ての症例が同様な結果を示すわけではありません。
胸腹部大動脈瘤の術前 アダムキュービッツ動脈の同定を目的としたCT検査
施設名: 山形大学医学部附属病院
執筆者: 放射線診断科 菅井 康大 先生、鹿戸 将史 先生 / 放射線部 佐藤 俊光 先生
作成年月:2024年9月
※ 効能又は効果、用法及び用量、警告・禁忌を含む注意事項等情報等については、電子添文をご参照ください。
はじめに
症例背景
75歳、女性、56kg、胸腹部大動脈瘤
検査目的
胸腹部大動脈瘤の術前精査 アダムキュービッツ動脈の同定目的
使用造影剤
イオプロミド370注シリンジ100mL「BYL」/ 100mL
症例解説
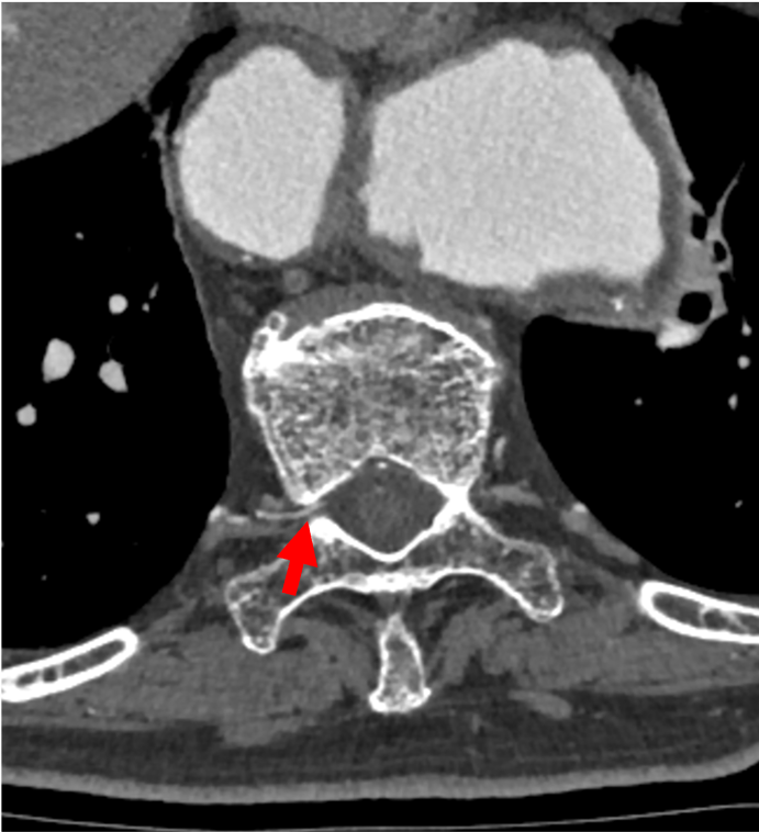
胸腹部大動脈瘤の術前検査として施行された。右第10肋間動脈から分岐し、脊柱管内右側を上行、ヘアピンカーブをなして前脊髄動脈に合流する動脈が描出され、アダムキュービッツ動脈と考えられた。
撮影プロトコル
表は横スクロールでご覧いただけます。
| 使用機器 | CT機種名/メーカー名 | Aquilion ONE ViSION Edition / キヤノンメディカルシステムズ |
| CT検出器の列数/スライス数 | 80 / 80 | |
| ワークステーション名/メーカー名 | Ziostation2 / ザイオソフト |
撮影条件
表は横スクロールでご覧いただけます。
| 撮影時相 | 動脈相 |
| 管電圧 (kV) | 120 |
| AEC | 有り |
| (AECの設定) | SD:7(5mm) |
| ビーム幅 (mm) | 40 |
| 撮影スライス厚 (mm) | 0.5 |
| 焦点サイズ | Small |
| スキャンモード | Helical |
| スキャン速度(sec/rot) | 1 |
| ピッチ | 0.638 |
| スキャン範囲 | 肺尖部~腸骨稜 |
| 撮影時間 (sec) | 14.5 |
| 撮影方向 | 頭→足 |
再構成条件
表は横スクロールでご覧いただけます。
| 動脈相 | |
| ルーチン:再構成スライス厚/間隔 (mm/mm) | 0.5 / 0.25 |
| ルーチン:再構成関数/逐次近似応用法 | FC43 / AIDR3D eMild |
| 3D/MPR用:再構成スライス厚/間隔 (mm/mm) | 0.5 / 0.25 |
| 3D/MPR用:再構成関数/逐次近似応用法 | FC43 / AIDR3D eMild |
造影条件
| 自動注入器機種名/メーカー名 | デュアルショットGX7 / 根本杏林堂 |
| 造影剤名 | イオプロミド370注シリンジ |
表は横スクロールでご覧いただけます。
| 撮影プロトコル | 動脈相 |
| 造影剤:投与量 (mgI/mL) | 660 |
| 造影剤:注入速度(mL/sec)、注入時間 (sec) | 3.2、31 |
| 生食:投与量 (mL) | 32 |
| 生食:注入速度 (mL/sec)、注入時間 (sec) | 3.2、10 |
| スキャンタイミング | BT法(横隔膜レベル/大動脈/250HU) |
| ディレイタイム | トリガー後15s |
| 留置針サイズ (G) | 22 |
| 注入圧リミット (kg/cm2) | 13 |
造影剤は高濃度造影剤を3~3.5mL/sで注入し、注入持続時間は30秒以上を確保する。ボーラストラッキングのトリガーは+200HU程度、ディレイタイムを15秒程度とし、大動脈に十分に造影が到達してから撮影を開始する。
当該疾患の診断における造影CTの役割
アダムキュービッツ動脈は最も太い前根髄動脈を指し、肋間動脈や腰動脈から分岐しヘアピンカーブを描いて前脊髄動脈に合流する。第8肋間動脈から第1腰動脈から分岐することが多く、また左側から分岐することが多い。脊髄循環の維持を目的に、胸腹部大動脈瘤の術前においてはアダムキュービッツ動脈の同定が要求されることが多い。アダムキュービッツ動脈の同定においては、肋間動脈または腰動脈から分岐して脊柱管内を上行しヘアピンカーブを描いて前脊髄動脈に合流するという特徴的な形態をCT angiographyの元画像で丹念に探すことが重要である。Volume Rendering (VR) 像を作成すると全体を俯瞰できアダムキュービッツ動脈の走行の全体像を容易に認識することができる。
CT技術や撮像プロトコル設定について
アダムキュービッツ動脈は1mm程度の血管径であり、また脊柱管を走行するため撮影条件と造影剤注入条件が重要となる。骨に囲まれている細い血管を描出するため、腹部の標準的な線量より多くの線量が必要となる。線量を確保するためには、遅めの管球回転速度やピッチファクタを小さくするため撮影時間が長くなる。したがって、造影剤注入持続時間は30秒程度を確保したいところである。また、良好な解像力を得るために可能な限り椎体をアイソセンターにポジショニングすることが重要となる。
使用上の注意【電子添文より抜粋】
9.特定の背景を有する患者に関する注意
9.8 高齢者
患者の状態を観察しながら使用量を必要最小限にするなど慎重に投与すること。本剤は主として、腎臓から排泄されるが、高齢者では腎機能が低下していることが多いため、高い血中濃度が持続するおそれがある。[8.6、9.2.1、9.2.2 参照]