症例・導⼊事例
※ご紹介する症例は臨床症例の一部を紹介したもので、全ての症例が同様な結果を示すわけではありません。
下顎癌術後出血
施設名: 名古屋市立大学
執筆者: 放射線科 太田 賢吾 先生
作成年月:2024年10月
※ 効能又は効果、用法及び用量、警告・禁忌を含む注意事項等情報等については、電子添文をご参照ください。
はじめに
症例背景
80歳代、男性、42㎏、下顎癌術後再発例
検査目的
主訴:吐血
診断名:下顎癌術後再発
現病歴:吐血し、前医から救急搬送。転院後CPAとなり、CPR後に心拍再開。口腔内に出血が見られたため、精査となった。
検査目的:出血原因精査
使用造影剤
イオプロミド300注シリンジ100mL「BYL」/ 81mL
症例解説
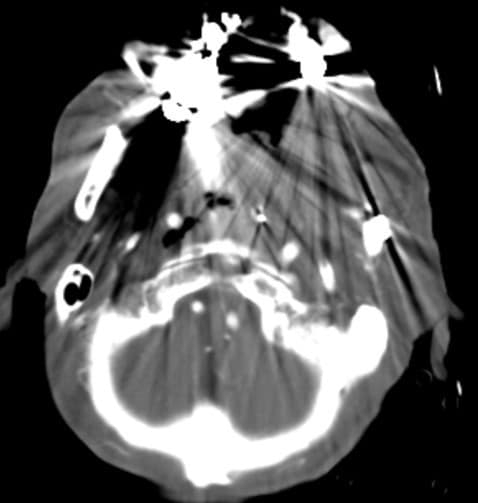
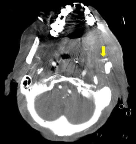
左顎下の術後部位に再発腫瘍が疑われたが、iMARなしの画像では診断が困難であった。iMARありの画像では造影剤のリークが明瞭になり、診断確定が可能になった。その後、血管塞栓術が施行され、顎動脈を選択し、コイルにて止血術が行われた。出血コントロールは良好であったが、蘇生後低酸素脳症があり、脳機能回復が見込めなかったため、12日後に死亡退院。
撮影プロトコル
表は横スクロールでご覧いただけます。
| 使用機器 | CT機種名/メーカー名 | NAEOTOM Alpha / SIEMENS |
| CT検出器の列数/スライス数 | 288 row | |
| ワークステーション名/メーカー名 | ー |
撮影条件
表は横スクロールでご覧いただけます。
| 撮影時相 | 単純 | 動脈相 | 平衡相 |
| 管電圧 (kV) | 140 | 140 | 140 |
| AEC | IQ level: 190 | IQ level: 300 | IQ level: 190 |
| ビーム幅 | 57.6 | 57.6 | 57.6 |
| 撮影スライス厚 (mm) | 0.4 | 0.4 | 0.4 |
| 焦点サイズ (mm) | 0.8*1.2 | 0.8*1.2 | 0.8*1.2 |
| スキャンモード | Helical | Helical | Helical |
| スキャン速度(sec/rot) | 0.25 | 0.25 | 0.25 |
| ピッチ | 1.2 | 0.9 | 0.9 |
| スキャン範囲 | 頸部から骨盤 | 頸部から胸部 | 頸部から胸部 |
| 撮影時間 (sec) | 2.86 | 2.41 | 2.41 |
| 撮影方向 | 頭⇒足 | 頭⇒足 | 頭⇒足 |
再構成条件
表は横スクロールでご覧いただけます。
| 単純 | 動脈相 | 平衡相 | |
| ルーチン:再構成スライス厚/間隔 (mm/mm) | 5 / 5 | 1 / 1 | 1 / 1 |
| ルーチン:再構成関数/逐次近似応用法 | Qr40 / QIR2 | Qr60 / QIR2 | Qr40 / QIR2 |
| 3D/MPR用:再構成スライス厚/間隔 (mm/mm) | ー | 1 / 1 | ー |
| 3D/MPR用:再構成関数/逐次近似応用法 | ー | Qr60 / QIR2 | ー |
| iMAR / Dental fillings:再構成関数/逐次近似応用法 | ー | Qr56 / QIR2 | ー |
造影条件
| 自動注入器機種名/メーカー名 | Dual shoot GX7 / Nemoto |
| 造影剤名 | イオプロミド300注シリンジ |
表は横スクロールでご覧いただけます。
| 撮影プロトコル | 動脈相 | 平衡相 |
| 造影剤:投与量 (mL) | 81 | |
| 造影剤:注入時間 (sec) | 25 | |
| 生食:投与量 (mL) | ー | ー |
| 生食:注入速度 (mL/sec)、注入時間 (sec) | ー | ー |
| スキャンタイミング | BT法 (上行Ao/閾値150HU) | ー |
| ディレイタイム | prep後6 sec | 注入後100 sec |
| 留置針サイズ (G) | 22 | |
| 注入圧リミット (kg/cm2) | 12 | |
当該疾患の診断における造影CTの役割
出血の診断には造影動脈相での撮影が非常に重要である。動脈相での撮影で造影剤のリークが見られた際は動脈性の出血であるといえるため、血管塞栓術や手術の適応となることが多い。また、吐血の患者はその原疾患は、消化管出血や喀血などがあるため、動脈相の撮影は頚部から腹部までの撮影を考慮する必要がある。どの部位からの出血が疑われるかで、撮影部位を調整する必要があるし、出血部位が不明瞭な際は頚部から腹部の撮影が必要になる。また後期相の撮影も重要である。徐々に出血していることや、動脈相の撮影では出血していなかったこともあり、後期相で造影剤のリークをみることがあるからだ。後期相でのみ造影剤のリークが見られた場合、静脈からの出血を考慮するが、動脈からの出血が否定できるわけではない点は血管塞栓術の適応を判断するうえで重要である。また、時としてリークはなくとも仮性動脈瘤がみられることもあり、腫瘍が浸潤している部位の動脈をよく確認することも重要である。撮影時には異常がない場合でも、その後再出血した際に再度造影CTを撮影すると、造影剤のリークや仮性動脈瘤が顕在化することも日常診療でよく遭遇する。そのため、臨床上動脈出血が疑われる場合は、再度撮影を行うことをためらわない方がよいと思われる。
CT技術や撮像プロトコル設定について
本症例のような術後の場合、手術に伴う金属のメタルアーチファクトが診断の障害になることが多い。フォトンカウンティングCTではメタルアーチファクト低減アプリケーションがあり、撮影後に後処理にてメタルアーチファクトを低減することができ、撮影された画像をみて、必要に応じて、メタルアーチファクトを減らすことが可能となっている。本症例でも造影剤のリークが不明瞭であったため、メタルアーチファクトを低減することで、造影剤のリークを検出することが可能となった。
吐血の患者は撮影部位が頚部から腹部までを考慮しなければならないが、原因が不明瞭な際は広範囲の撮影を行う必要がある。上肢の位置が問題になるが、動脈相での撮影が重要であるため、撮影は1回で行う必要がある。本症例では口腔内からの出血が疑われたため、上肢は下げた状態で撮影が行われた。
必要ヨード量も十分な量をもって行う必要がある。動脈相での撮影だけならば、少なくともよいが、造影剤のリークは静脈相で顕在化することもあり、不十分な造影剤量では診断ができない可能性があるからだ。
使用上の注意【電子添文より抜粋】
9.特定の背景を有する患者に関する注意
9.8 高齢者
患者の状態を観察しながら使用量を必要最小限にするなど慎重に投与すること。本剤は主として、腎臓から排泄されるが、高齢者では腎機能が低下していることが多いため、高い血中濃度が持続するおそれがある。[8.6、9.2.1、9.2.2 参照]