症例・導⼊事例

※ご紹介する症例は臨床症例の一部を紹介したもので、全ての症例が同様な結果を示すわけではありません。

BPE(background parenchymal enhancement)がmoderateでultrafast MRIが病変の同定に有用であった非浸潤性乳管癌(DCIS)

施設名: 佐賀大学医学部附属病院
執筆者: 放射線科 山口 健 先生
作成年月:2024年1月

※ 効能又は効果、用法及び用量、警告・禁忌を含む注意事項等情報等については、電子添文をご参照ください。

はじめに

症例背景

40歳代、65kg、非浸潤性乳管癌(DCIS)

検査目的

検診マンモグラフィでやや多形成のある区域性石灰化を指摘。超音波では低エコー域が疑われるがややはっきりしないとのことであった。病変の有無確認や生検適応の決定のためMRI施行

使用造影剤

ガドブトロール 0.1mL/kg / 6.5mL

生食後押し

20mL×2.5mL/sec

乳房MRIプロトコル一覧はこちら

症例解説

本症例は異常石灰化に対する生検適応を決定する目的でMRIを施行された。通常のダイナミックMRIではBPEがmoderateのため、病変の同定がやや困難であったがultrafast MRIを参照することで病変の同定が容易になった症例である。BPEが強い症例ではultrafast MRIを参照することでBPEが見られないあるいは目立たない時相で病変を同定することができることがあり有用である。

※BPE:背景の乳腺組織の造影効果

撮影の順番と撮像時間

表は横スクロールでご覧いただけます。

DWI脂肪抑制T2WIT1WIDCE-MRI造影前Ultrafast DCEDCE-MRI早期相造影後高分解能T1WIDCE-MRI遅延相
229sec201sec88sec69sec2.9sec×3069sec120sec69sec

撮像画像

拡散強調画像
1. 拡散強調画像、ADCmap
病変は拡散強調像で軽度高信号であるがあまりはっきりしない、ADCmapでは周囲と等信号で病変の同定が困難である。
ADC値は1.08x10-3mm2/sであった。

ADCmap

2. T2強調画像
病変の同定は困難である。

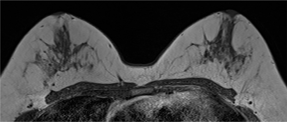
3. T1強調画像
病変の同定は困難である。

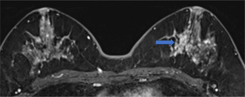
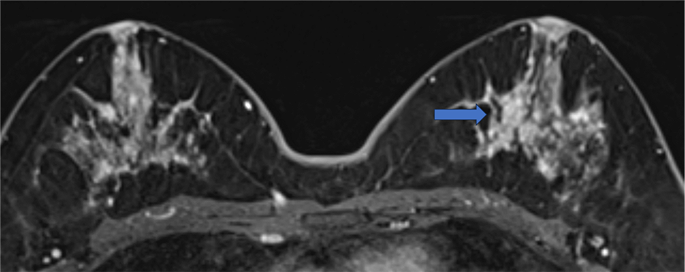
ダイナミックMRI 造影前
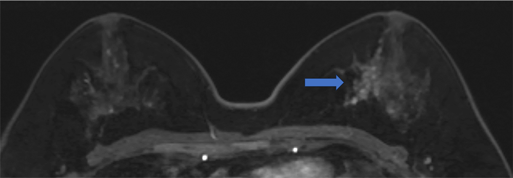
4. ダイナミックMRI 造影前 早期相 遅延相
左乳房内側にやや増強効果が目立つ領域があるがBPEも強いため同定が困難である。

ダイナミックMRI 早期相

ダイナミックMRI 遅延相

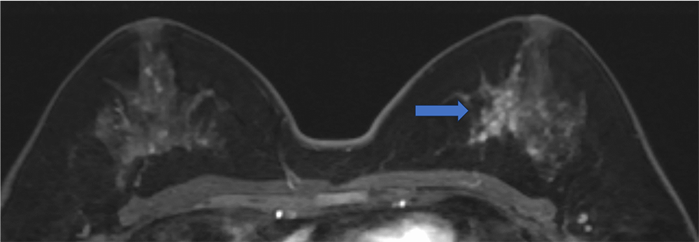
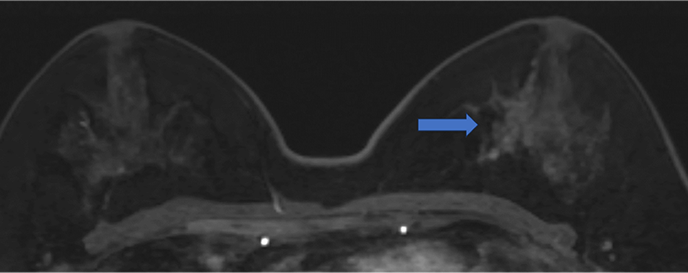
Ultrafast DCE 造影剤投与
約20秒後
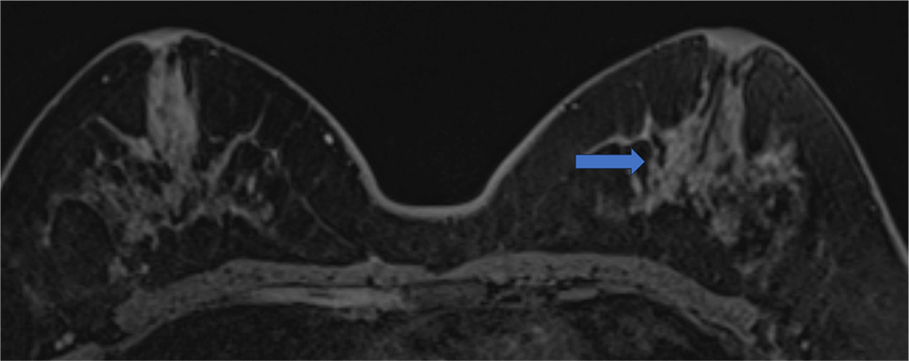
5. Ultrafast DCE 造影剤投与約20秒後、23秒後、26秒後
BPEが目立たないため、左乳房内側の病変が容易に同定できる

ultrafast MRI 造影剤投与
約23秒後

ultrafast MRI 造影剤投与
約26秒後

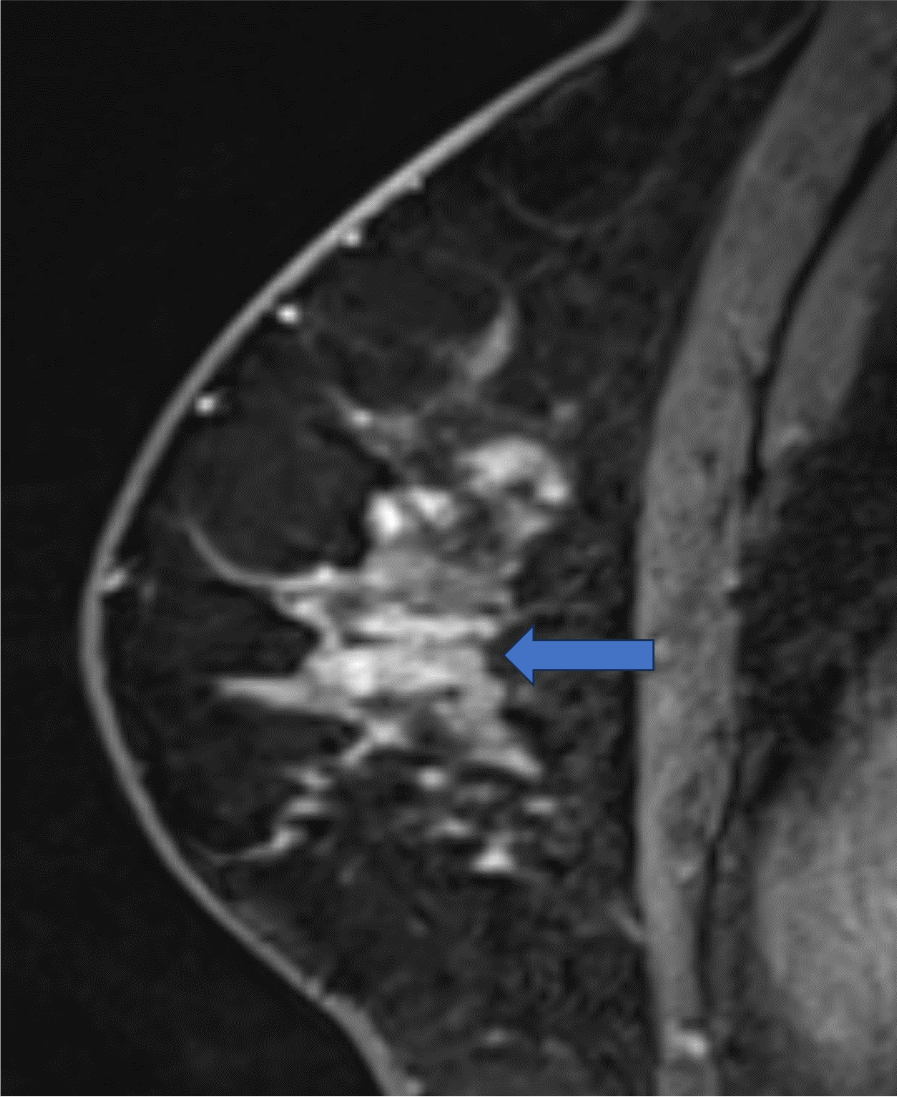
6. 造影後高分解能画像
区域性分布を示すNon mass enhancementがあるようにも見えるが、同定は困難である。