症例・導⼊事例

※ご紹介する症例は臨床症例の一部を紹介したもので、全ての症例が同様な結果を示すわけではありません。

BPE(background parenchymal enhancement)がmildである非浸潤性乳管癌(DCIS)

施設名: 京都府立医科大学附属病院
執筆者: 放射線科 後藤 眞理子 先生
作成年月:2024年1月

※ 効能又は効果、用法及び用量、警告・禁忌を含む注意事項等情報等については、電子添文をご参照ください。

はじめに

症例背景

60歳代、40kg、非浸潤性乳管癌(DCIS)

検査目的

マンモグラフィ、超音波で左乳癌疑い。質的診断と広がり診断のため造影MRIを施行

使用造影剤

ガドブトロール 0.1mL/kg / 4mL

生食後押し

20mL×2mL/sec

乳房MRIプロトコル一覧はこちら

症例解説

本症例は乳房MRI後に生検でductal carcinoma in situ (DCIS)と診断され、術後病理では6.7cmのDCIS(核異型度III・コメド壊死あり)と診断された。
Clustered ring enhancementは乳管周囲間質の造影効果を反映した所見とされる。陽性反応的中率の高い内部造影効果であるが、微細な所見であるため、造影後高分解能T1WIが所見の拾い上げに有用である。

撮影の順番と撮像時間

表は横スクロールでご覧いただけます。

T1WI脂肪抑制T2WIDWIDCE-MRI造影前Ultrafast DCEDCE-MRI早期相造影後高分解能T1WIDCE-MRI後期相
50sec150sec360sec60sec4.7sec/1phase60sec60sec×260sec

撮像画像

1. ダイナミックMRI 早期相MIP画像(正面)
造影後MIP画像では病変の分布、乳頭との位置関係が把握しやすい(矢印)

2. T1強調画像(造影前)

3. 脂肪抑制T2強調画像(造影前)

4. ダイナミックMRI(造影前)

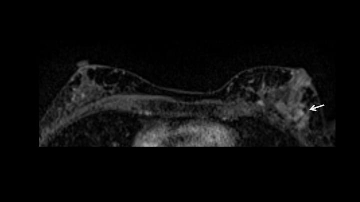
5. ダイナミックMRI 早期相
左乳頭外側にnon-mass enhancementを認める(矢印)

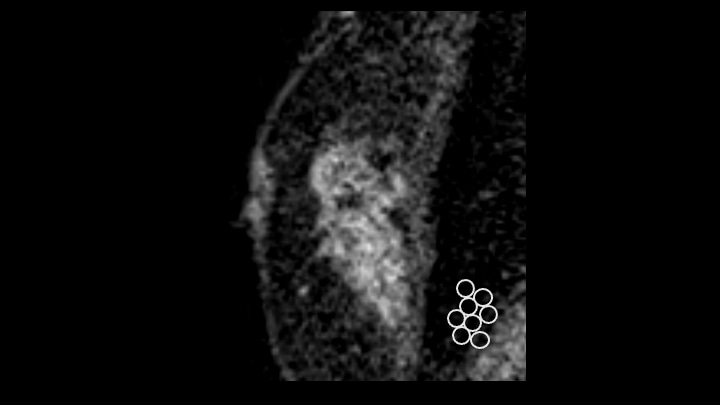
6. 造影後高分解能T1強調画像
内部造影効果 clustered ring enhancementが疑われる。右下:clustered ring enhancementのシェーマ

7. Time intensity curve
Fast-washoutを示す。

8. ダイナミックMRI 後期相
早期相と同様に左乳頭外側にnon-mass enhancement。