症例・導⼊事例

※ご紹介する症例は臨床症例の一部を紹介したもので、全ての症例が同様な結果を示すわけではありません。

BPE(background parenchymal enhancement)が強くUltrafast DCEが診断に有用であった非浸潤性乳管癌(DCIS)

施設名: 名古屋大学医学部附属病院
執筆者: 佐竹 弘子 先生
作成年月:2024年1月

※ 効能又は効果、用法及び用量、警告・禁忌を含む注意事項等情報等については、電子添文をご参照ください。

はじめに

症例背景

60歳代、68kg、非浸潤性乳管癌(DCIS)

検査目的

病変の広がり診断のため造影MRIを施行

使用造影剤

ガドブトロール 0.1mL/kg / 6.8mL

生食後押し

45mL×1mL/sec

乳房MRIプロトコル一覧はこちら

症例解説

DCE-MRIで、DCISの病変は腫瘤非形成性病変(Non-mass enhancement)を示している。BPEの影響が強く、診断に難渋したが、Ultrafast DCEの超早期相を観察することによって、病変の広がり診断が可能であった。MRIの広がり診断を基に、切除範囲を決定し乳房部分切除術が施行された。手術病理標本における腫瘍の広がりはMRIの所見とほぼ一致し、切除断端は陰性であった。

※BPE:背景の乳腺組織の造影効果

撮影の順番と撮像時間

表は横スクロールでご覧いただけます。

DWI脂肪抑制T2WIT1WIDCE-MRI造影前Ultrafast DCEDCE-MRI早期相造影後高分解能T1WIDCE-MRI遅延相
174 sec218 sec35 sec70 sec3.4 sec×2070 sec127sec×270 sec

撮像画像

1. 拡散強調画像 b=1000 (s/mm2) (造影前)
DCISの病変は、乳腺実質とほぼ等信号を呈し検出は困難である。

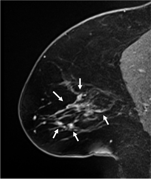
2. T2強調画像 (造影前)
DCISの病変部に一致して、軽度高信号の小結節影の集簇した腫瘤非形成性病変(矢印)を認める。

3. T1強調画像 (造影前)
DCISの病変部に一致して、小結節影の集簇した腫瘤非形成性病変(矢印)を認める。

造影前

早期相

早期相サブトラクション画像

遅延相

後期相サブトラクション画像

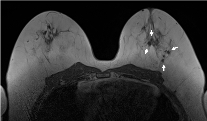
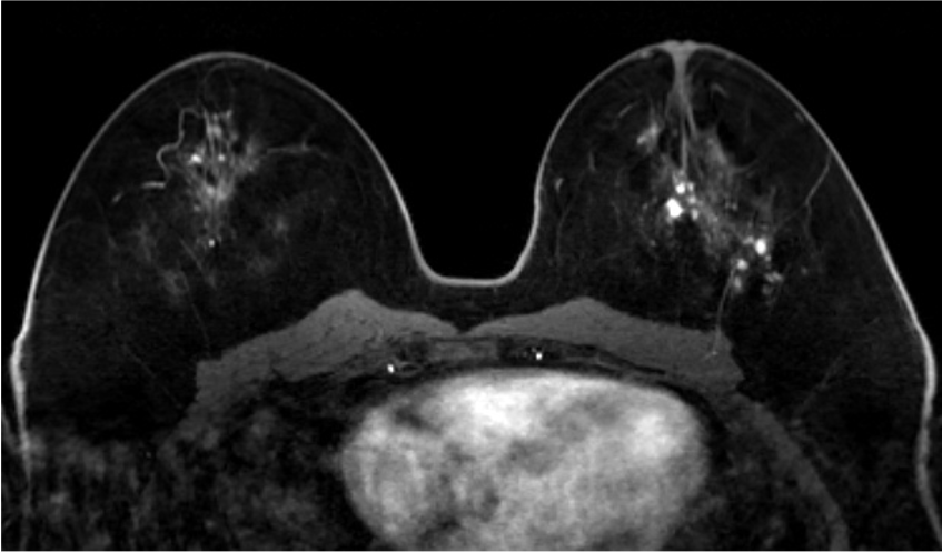
4. ダイナミックMRI (造影前 早期相 遅延相)
乳腺散在性の乳房であるが、造影早期から背景乳腺の大部分が造影されており、BPEはmarkedである。DCISの病変(矢印)は、clumped、segmental distributionの腫瘤非形成性病変(Non-mass enhancement)を示しているが、BPEが強く、広がり診断が困難である。

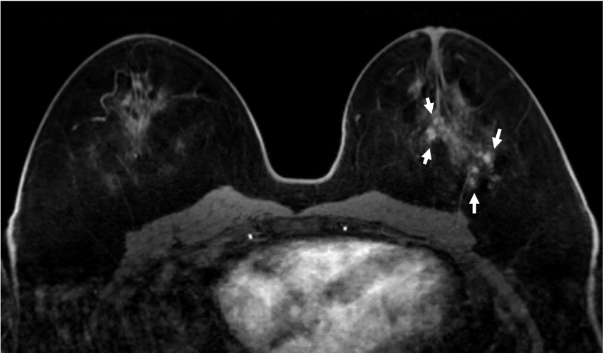
8相目
(造影剤注入25.7秒後)

9相目
(造影剤注入29.1秒後)

10相目
(造影剤注入32.5秒後)

18相目
(造影剤注入60.0秒後)

5. Ultrafast DCE
超早期相では、DCISの病変(矢印)は、超早期(8相目: 造影剤注入25.7秒後)から急速に造影され、BPEの影響を受けることなく病変を認識することができる。DCISの病変は、区域性の分布を示しているが、乳頭下には腫瘍の進展を疑うような造影域は認めない。

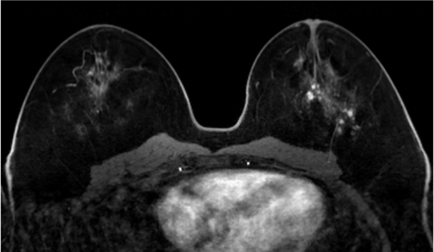
6. 造影後高分解能画像
BPEの影響が強く、観察が困難ではあるが、高分解能画像によって、内部性状(clumped)や分布(segmental)などのDCISの病変(矢印)の形態的性状がより鮮明に観察することができる。