症例・導⼊事例

※ご紹介する症例は臨床症例の一部を紹介したもので、全ての症例が同様な結果を示すわけではありません。

BPE(background parenchymal enhancement)がmildである浸潤性乳管癌(IDC)

施設名: 東京医科歯科大学病院
執筆者: 放射線診断科 藤岡 友之 先生
作成年月:2024年1月

※ 効能又は効果、用法及び用量、警告・禁忌を含む注意事項等情報等については、電子添文をご参照ください。

はじめに

症例背景

40歳代、62kg、浸潤性乳管癌(IDC)

検査目的

病変の広がり診断のため造影MRIを施行

使用造影剤

ガドブトロール 0.1mL/kg / 6.2mL

生食後押し

30mL×1mL/sec

乳房MRIプロトコル一覧はこちら

症例解説

乳がんは血流が豊富な腫瘍であることが多いため、ダイナミックMRI早期相を中心に読影を行う。まず、DCE-MRI早期相のMIP画像で病変全体を把握する。ついで、元画像を確認し、病変の形状、境界、内部の造影パターンを確認する。本症例は不整形、境界不明瞭な腫瘤で早期相から不均一に造影されている。また、DWI高信号、ADC低値を示す病変であり、乳がんを疑う所見である。限局性で広がりを疑う所見はなく乳房温存術が行われた。

撮影の順番と撮像時間

表は横スクロールでご覧いただけます。

T1WI脂肪抑制T2WIDWIDCE-MRI造影前Ultrafast DCEDCE-MRI早期相造影後高分解能T1WIDCE-MRI遅延相
72 sec132 sec60sec72 sec5.2sec×17=88.4 sec72 sec95 sec72 sec

撮像画像

1. T1強調画像(造影前)
左乳房A区域にT1強調画像低信号を示す不整形腫瘤を認める。

2. 脂肪抑制T2強調画像(造影前)
脂肪抑制T2強調像では辺縁主体に軽度の高信号を示す。非特異的な所見である。

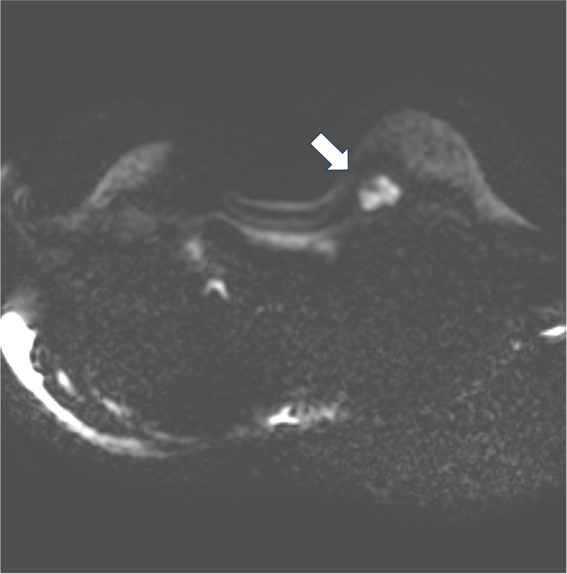
3. 拡散強調画像 b=1000(s/mm2)(造影前)
拡散強調像では明瞭な高信号を示す。細胞密度の高い腫瘍が示唆される。

4. Ultrafast DCE (10phase目)
Ultrafast DCEでは早期から造影されている。血流豊富な腫瘍が示唆される。

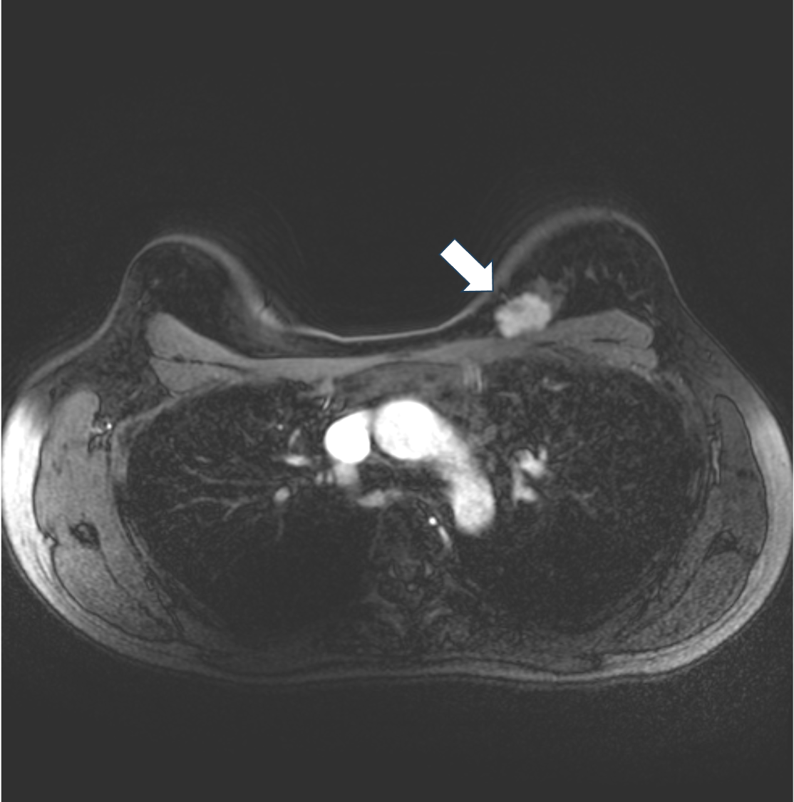
5. ダイナミックMRI 早期相
ダイナミックMRIでは不整形、境界不明瞭な腫瘤でfast-plateauパターンの不均一な造影効果を示す。

6. ダイナミックMRI 早期相 MIP像
左乳房に不整形腫瘤を認める。MIP像は一目で病変全体を把握することができる。

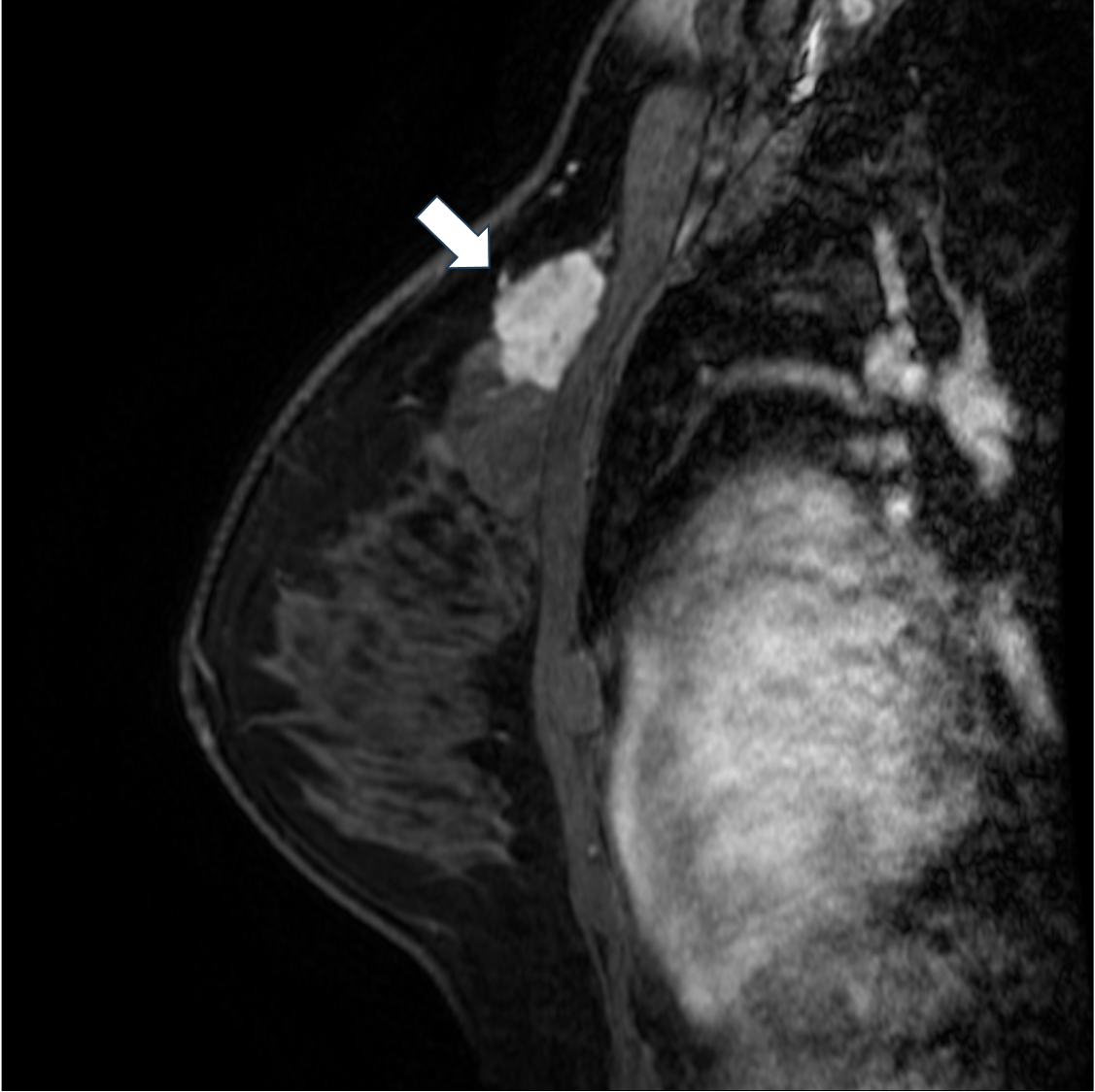
7. 造影後高分解能T1強調画像
造影後高分解能T1強調画像は不整な腫瘤の形状や不均一な内部構造が明瞭に描出されている。

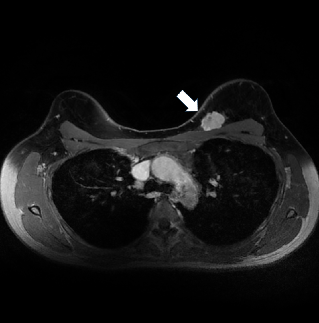
8. ダイナミックMRI 遅延相
ダイナミックMRIでは不整形、境界不明瞭な腫瘤でfast-plateauパターンの不均一な造影効果を示す。