症例・導⼊事例
※ご紹介する症例は臨床症例の一部を紹介したもので、全ての症例が同様な結果を示すわけではありません。
胆嚢癌および膀胱癌BCG注入療法に合併した骨盤内BCG感染症の1例
施設名: 群馬大学医学部付属病院
執筆者: 放射線診断核医学科 安井 宏有貴 先生
作成年月:2024年2月
※ 効能又は効果、用法及び用量、警告・禁忌を含む注意事項等情報等については、電子添文をご参照ください。
はじめに
症例背景
80歳代、男性、57.5kg、胆嚢癌、膀胱癌、骨盤内膿瘍
検査目的
膀胱癌治療中に見つかった胆嚢癌の術前精査目的に腹部ダイナミック造影CT施行
使用造影剤
イオプロミド370注シリンジ「BYL」/ 93mL
症例解説
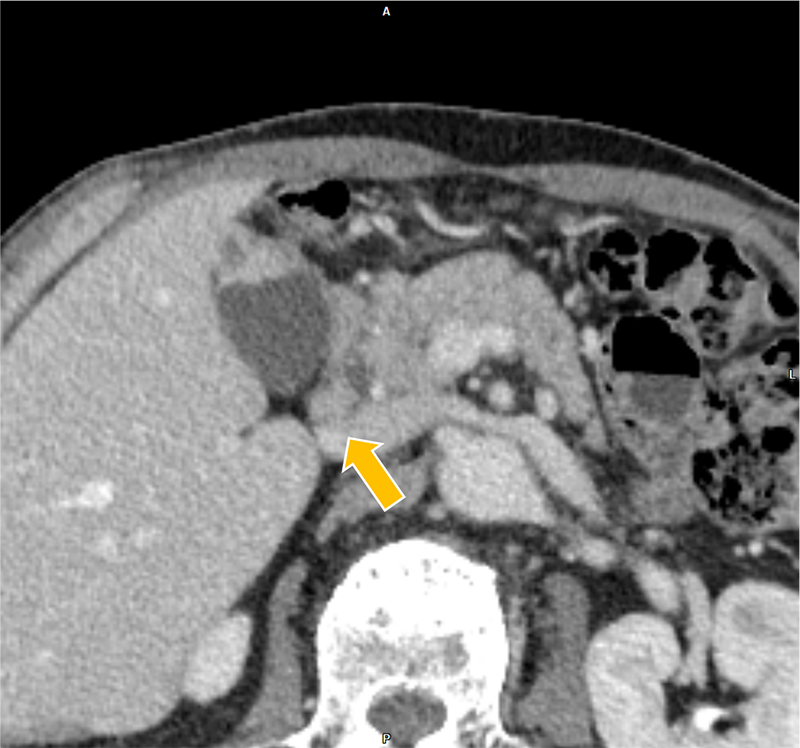
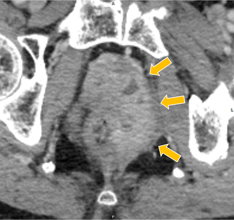
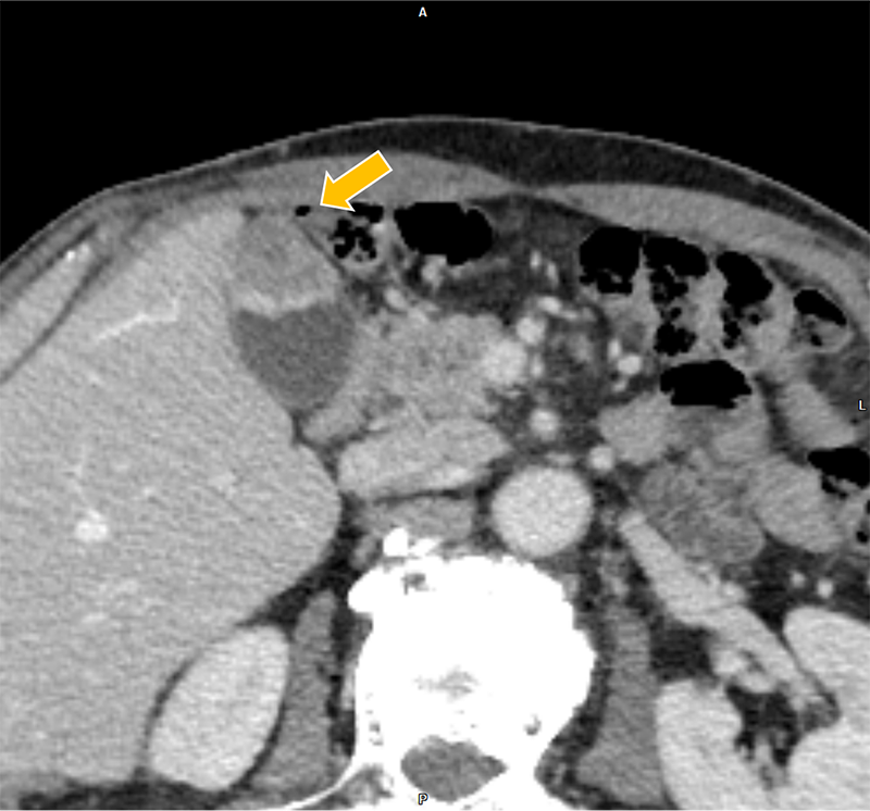
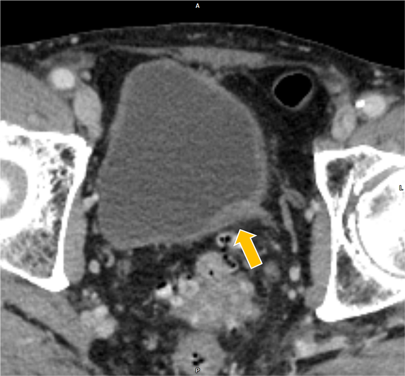
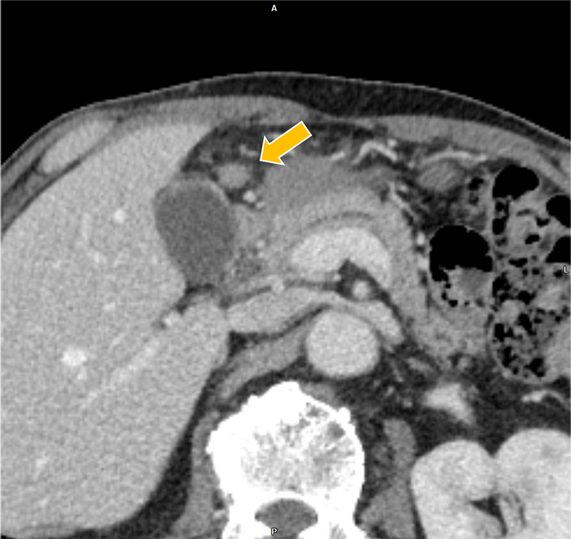
膀胱癌の治療経過観察中、胆嚢癌が疑われ、術前精査目的に肝ダイナミックCTが施行された。胆嚢底部に長径30mm程の腫瘤を認めた。また、胆嚢左側や背側にリンパ節転移を疑う造影結節を認めた。さらに、同CTで前立腺左葉から直腸左側にかけての膿瘍形成が指摘され、後の精査でBCG注入療法に伴う骨盤内BCG感染症が明らかとなった。膿瘍の治療過程で腹膜播種が出現、胆嚢癌は化学療法の方針となった。
撮影プロトコル
表は横スクロールでご覧いただけます。
| 使用機器 | CT機種名/メーカー名 | Revolution HD / GEヘルスケアジャパン |
| CT検出器の列数/スライス数 | 64列 | |
| ワークステーション名/メーカー名 | SYNAPSE VINCENT / 富士フィルムメディカル |
撮影条件
表は横スクロールでご覧いただけます。
| 撮影時相 | 単純 | 早期動脈相 | 後期動脈相 | 門脈相 | 平衡相 |
| 管電圧 (kV) | 120 | 120 | 120 | 120 | 120 |
| AEC | Auto mA | Auto mA | Auto mA | Auto mA | Auto mA |
| (AECの設定) | NI:12 | NI:12 | NI:12 | NI:12 | NI:12 |
| ビーム幅 | 40 | 40 | 40 | 40 | 40 |
| 撮影スライス厚 (mm) | 5 | 5 | 5 | 5 | 5 |
| 焦点サイズ | Large | Large | Large | Large | Large |
| スキャンモード | Helical | Helical | Helical | Helical | Helical |
| スキャン速度(sec/rot) | 0.5 | 0.5 | 0.5 | 0.5 | 0.5 |
| ピッチ | 0.984 | 0.984 | 0.984 | 0.984 | 0.984 |
| スキャン範囲 | 上腹部 | 上腹部 | 上腹部 | 胸部から骨盤 | 上腹部 |
| 撮影時間 (sec) | 4 | 4 | 4 | 11 | 4 |
| 撮影方向 | 頭⇒足 | 頭⇒足 | 頭⇒足 | 頭⇒足 | 頭⇒足 |
再構成条件
表は横スクロールでご覧いただけます。
| 単純 | 早期動脈相 | 後期動脈相 | 門脈相 | 平衡相 | |
| ルーチン:再構成スライス厚/間隔 (mm/mm) | 5.0 / 5.0 | 5.0 / 5.0 | 5.0 / 5.0 | 5.0 / 5.0 | 5.0 / 5.0 |
| ルーチン:再構成関数/逐次近似応用法 | Stnd / ASiR-V20% | Stnd / ASiR-V20% | Stnd / ASiR-V20% | Stnd / ASiR-V20% | Stnd / ASiR-V20% |
| 3D/MPR用:再構成スライス厚/間隔 (mm/mm) | 0.625 / 0.625 | 0.625 / 0.625 | 0.625 / 0.625 | 0.625 / 0.625 | 0.625 / 0.625 |
| 3D/MPR用:再構成関数/逐次近似応用法 | Stnd / ASiR-V30% | Stnd / ASiR-V30% | Stnd / ASiR-V30% | Stnd / ASiR-V30% | Stnd / ASiR-V30% |
造影条件
| 自動注入器機種名/メーカー名 | デュアルショットGX7 / 根本杏林堂 |
| 造影剤名 | イオプロミド370注シリンジ |
表は横スクロールでご覧いただけます。
| 早期動脈相 | 後期動脈相 | 門脈相 | 平衡相 | |
| 造影剤:投与量 (mgI/kg) | 600 | ー | ー | ー |
| 造影剤:注入時間 (sec) | 30 | ー | ー | ー |
| 生食:投与量 (mL) | 30 | ー | ー | ー |
| 生食:注入時間 (sec) | 10 | ー | ー | ー |
| スキャンタイミング | 固定法 | ー | ー | ー |
| ディレイタイム (sec) | 造影剤注入開始、25秒後 | 10 | 25 | 100 |
| 留置針サイズ (G) | 22 | |||
| 注入圧リミット (kg/cm2) | 12 | |||
肝臓4相撮影は固定法で行なっている。後期動脈相、門脈相、平衡相のディレイタイムは全て前の撮影が終わってからの時間となる。
当該疾患の診断における造影CTの役割
術前の精査として、血管造影構築と肝臓への浸潤や転移、遠隔転移精査目的に肝Dynamic造影CTが撮影された。肝動脈の描出をより明瞭にするため、早期動脈相を追加し4相で撮影をしている。術前以外の撮影では、放射線被ばく量低減のため、3相で撮影するようにしている。
CT技術や撮像プロトコル設定について
肝臓4相撮影は固定法で行なっている。後期動脈相、門脈相、平衡相のディレイタイムは全て前の撮影が終わってからの時間となる。胸部や全腹部の撮影は門脈相で行っている。
使用上の注意【電子添文より抜粋】
9.特定の背景を有する患者に関する注意
9.8 高齢者
患者の状態を観察しながら使用量を必要最小限にするなど慎重に投与すること。本剤は主として、腎臓から排泄されるが、高齢者では腎機能が低下していることが多いため、高い血中濃度が持続するおそれがある。[8.6、9.2.1、9.2.2 参照]