症例・導⼊事例

※ご紹介する症例は臨床症例の一部を紹介したもので、全ての症例が同様な結果を示すわけではありません。

Germinoma(胚腫)の診断・治療計画における造影MRIの有用性

施設名: 社会医療法人寿会 富永病院
執筆者: 放射線科 佐藤 登朗 先生、三浦 由啓 先生、縄田 昌浩 先生
作成年月: 2025年10月

※ 効能又は効果、用法及び用量、警告・禁忌を含む注意事項等情報等については、電子添文をご参照ください。

はじめに

Germinoma(胚腫)は、若年者の鞍上部や松果体部などの脳の深部に発生する胚細胞性腫瘍である。病変が局在する部位の視野障害や片麻痺などの神経脱落症状を呈するほか、下垂体機能不全や腫瘍から産生されるHCGによる内分泌症状や、中脳水道を閉塞し水頭症を呈することがある。松果体部発症は男性に多いとされている。放射線感受性が高い腫瘍であり、生検による診断確定後、全脳照射と化学療法が行われる。

ガドビストを用いたMRI検査の方法

手順と撮像 Sequence Parameter

手順と撮像 Sequence Parameter

撮像パラメータ

表は横スクロールでご覧いただけます。

撮像名撮像シーケンスTR
(msec)
TE
(msec)
FA
(deg)
b-valueFat Sat
(種類)
NEX,Averages
(加算回数)
T1WI (Tra.)TSE241023090SPIR1
T2WITSE3600791201
MRSCSI2000135901
ASL3D-TGSE500021.8901
DWIEPI243169900,10001
造影後
T1WI (Tra.)
TSE190038SPAIR1
造影後
T1WI (Cor.)
TSE190038SPAIR1

表は横スクロールでご覧いただけます。

撮像名FOV
(mm)
面内分解能
(mm)
リード方向
(matrix数)
位相方向
(step数)
Slice厚
(mm)
Slice Gap
(mm)
Slice枚数
T1WI (Tra.)2300.96×1.282401805.00.525
T2WI2300.85×10.62442175.01.025
MRS
ASL2403.75×3.7564645.023
DWI2302.11×2.051091125.00.524
造影後
T1WI (Tra.)
2500.82×1.833041361.00166
造影後
T1WI (Cor.)
2500.82×1.833041361.00186

表は横スクロールでご覧いただけます。

MRI装置SIEMENS MAGNETOM Vida 3.0T Phillips Achieva 3.0T
自動注入器日本メドラッド スペクトリス・ソラリス
ワークステーションキャノンメディカルシステムズ Abierto Vision

表は横スクロールでご覧いただけます。

造影条件 注入量注入速度撮像タイミング
ガドビスト0.1mL/Kg1mL/S造影剤投与1分後
後押し用
生理食塩水
20mL2mL/S

症例

症例背景

20歳代、男性、65Kg、Germinoma(胚腫)
右上下肢の感覚障害、右手の巧緻運動障害・中枢神経系評価。

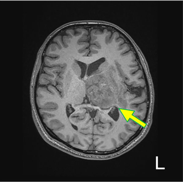
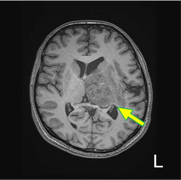
図1.T1WI(Tra.)
左視床を中心に、やや不均一な灰白質と同程度の信号を呈する腫瘤を認める(矢印)。mass effect を呈し、軽度の大脳鎌下ヘルニアを生じている。

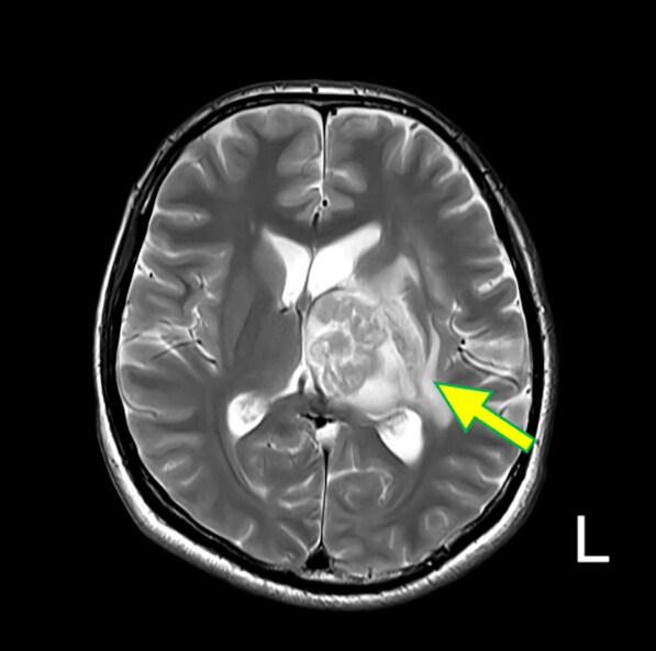
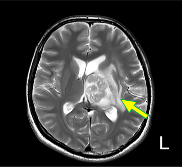
図2.T2WI (Tra.)
比較的整な辺縁を持つ嚢胞の内部に、不整形の実質構造を認める(矢印)。第3脳室は圧排され閉鎖している。周辺浮腫を伴っている。

図3.HMRS
NAAピークの低下、Cho/Cr の低下、lipids ピークが出現している。壊死変化も伴う正常脳細胞の障害が疑われる。

図4.ALS
病変の中心部に腫瘍血管も疑う点状の信号上昇を認める(矢印)。hyper vascu-larな病変を推測する。

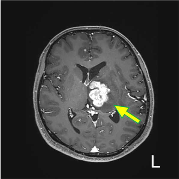
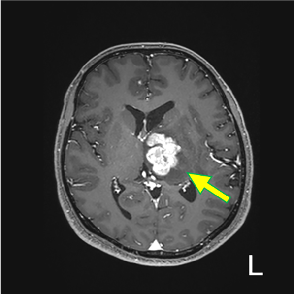
図5.造影後 T1WI (Tra.)
T2強調像で認めた分葉状の実質部が強く造影されている。内部に小さな造影欠損を伴う(矢印)。松果体原発では無いと考えられる。

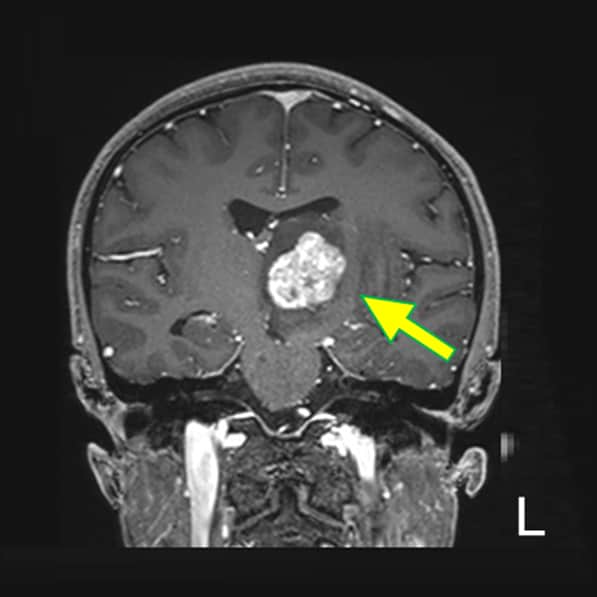
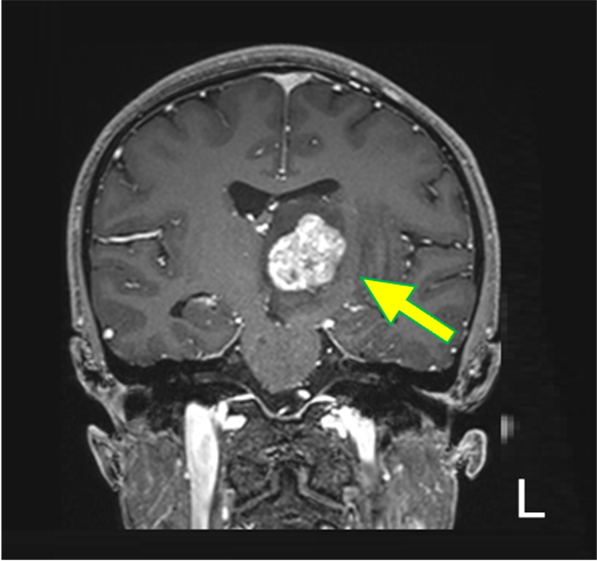
図6.造影後 T1WI (Cor.)
水平断同様に内部に小さな造影欠損を伴い、強く造影される病変を認める(矢印)。

図7.造影後T1WI、4D-CTAngiographyのFusion像
thalamostriate vein, internal cerebral vein(矢印)を圧排する病変(緑)を認める。

図8.生検時の術中写真
血管(矢印)の左(写真上では右)に腫瘍部が透見できる。

症例解説

2ヶ月前より、右上下肢のしびれ、脱力を自覚し近医を受診、頭部MRIで異常を認め紹介受診となる。左の視床を中心に、嚢胞内に実質部を伴う病変を認めた。HCG 1.0mlU/ml以下、CEA、AFPともに正常範囲。生検による術中迅速病理検査では、GliomaよりもGerminoma が疑われた。続いて実施された免疫染色では、c-kit(+)、SALL4(+)、OCT3/4(+)であった。Germinomaの診断となり、放射線治療が行われた。

当該疾患の診断における造影MRIの役割

  1. 本症例は神経膠腫や悪性リンパ腫などとの鑑別も必要となる実質内腫瘍であるが、診断を進めるうえで、病変の形態や内部性状の把握のための検査として、造影MRIの役割がある。
  2. 生検実施に際して使用するニューロナビゲーターのデータとして、精細な造影MRIは必要かつ有用である。術前検討のFusion 像においても、造影される病変と血管の位置関係の把握が可能であった。脳深部の病変へ確実に到達するために、手術支援の見地から造影MRIは有用な検査である。