症例・導⼊事例

※ご紹介する症例は臨床症例の一部を紹介したもので、全ての症例が同様な結果を示すわけではありません。

心臓CTで認められた膜様部心室中隔欠損症

施設名: 熊本大学
執筆者: 画像診断・治療科 木藤 雅文 先生
作成年月:2025年10月

※ 効能又は効果、用法及び用量、警告・禁忌を含む注意事項等情報等については、電子添文をご参照ください。

はじめに

症例背景

70歳代、男性、58kg、上行大動脈瘤、膜様部心室中隔欠損症

検査目的

上行大動脈瘤の術前精査目的に心臓CT

使用造影剤

イオプロミド370注シリンジ100mL「BYL」/ 70mL

症例解説

増大傾向のある最大短径56mm上行大動脈瘤に対して、上行大動脈置換術が施行された。肺体血流比(Qp/Qs)の上昇は軽度であったが、膜様部心室中隔欠損についても同時に閉鎖術が施行された。

画像所見

図1.心臓CTボリュームレンダリング画像
上行大動脈に紡錘状の最大短径56mmの拡大を認め、上行大動脈瘤の所見である。冠動脈の起始や走行の異常は認められない。

図2.心臓CT 冠動脈Angiographic view
冠動脈にはプラークや狭窄は認められなかった。

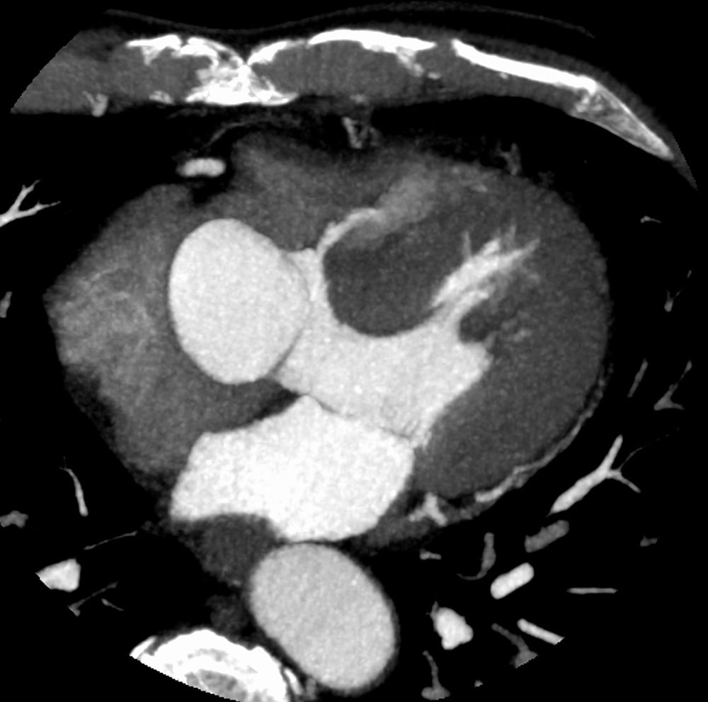
図3.心臓CT MIP axial画像(収縮末期)
膜様部心室中隔に欠損を認め、造影剤が左室から右室へ流入している。

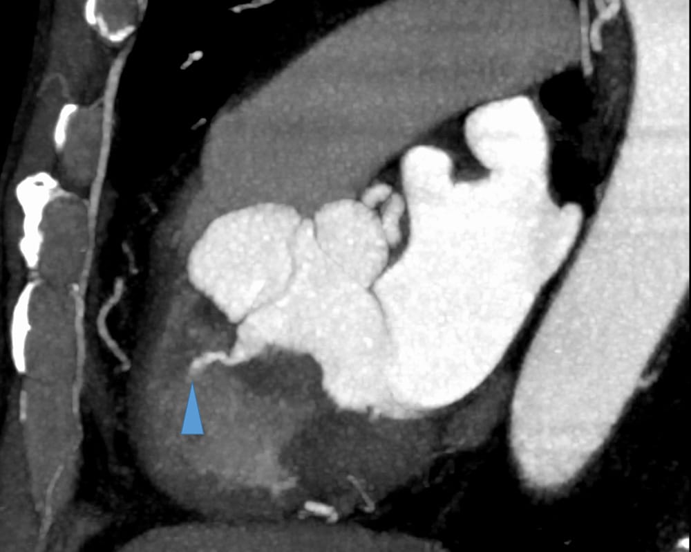
図4.心臓CT MIP MPR画像(収縮末期)
シャント量は少ないがMPR画像上も造影剤のjetが見られる(矢頭)。

撮影プロトコル

表は横スクロールでご覧いただけます。

使用機器CT機種名 / メーカー名Canon Medical Systems Aquilion ONE / GENESIS Edition
CT検出器の列数 / スライス数320列
ワークステーション名 / メーカー名REVORAS

撮影条件

表は横スクロールでご覧いただけます。

撮影時相動脈相
管電圧 (kV)120
AECあり
(AECの設定)SD=20 (0.5mm slice)
管電流時間96mAs
ビーム幅 (cm)16
撮影スライス厚 (mm)0.5
焦点サイズ0.9/0.8
スキャンモードAxial
スキャン速度(sec/rot)0.275
スキャン範囲 (cm)16
撮影時間 (sec)0.275
撮影方向なし

再構成条件

表は横スクロールでご覧いただけます。

 動脈相
ルーチン:再構成スライス厚/間隔 (mm/mm)0.5 / 0.25
ルーチン:再構成関数/逐次近似応用法PIQE:Precise IQ Engine
3D/MPR用:再構成スライス厚/間隔 (mm/mm)0.5 / 0.25
3D/MPR用:再構成関数/逐次近似応用法PIQE:Precise IQ Engine

造影条件

自動注入器機種名/メーカー名
造影剤名イオプロミド370注シリンジ

表は横スクロールでご覧いただけます。

撮影プロトコル動脈相
造影剤:投与量 (mgI/kg)450
造影剤:注入時間 (sec)15
生食:投与量 (mL)25
生食:注入時間 (sec)5
スキャンタイミングBT法(上行大動脈/350HU)
ディレイタイムBT法で閾値から最短
留置針サイズ (G)20
注入圧リミット (kg/cm²)9.5

冠動脈CTAでは、心拍数60/分以下を目標とし、検査前にβブロッカーの内服をメトプロロール(ロプレソール) 20 mgを検査1時間前に経口投与している。検査直前に心拍数が65/分以上の場合は、CT室で放射線科医がランジオロール塩酸塩(コアベータ)を静注している。

当該疾患の診断における造影CTの役割

心室中隔欠損症は先天性心疾患の1つであり、出生1000人あたり約2~3人と高頻度に認められる。心エコーによる評価が広く行われているが、心エコーで描出困難な場合や複雑心奇形を伴う場合に心臓CTが有効となりうる。心臓CTにより欠損孔の位置、大きさ、周囲構造との関係を三次元的に把握でき、外科的修復の術前計画にも寄与する。また本症例のように上行大動脈瘤や冠動脈病変の有無を同時に評価できる点も重要である。右心に造影剤が充満している場合は、本症例のような小さな心室中隔欠損症は指摘が難しいことがあり注意が必要である。

CT技術や撮像プロトコル設定について

320列CTは、16 cmの広範囲カバレッジを有し、1回転で心臓全体を撮像可能である。逐次近似再構成法やdeep learning 画像再構成法の搭載により低線量撮影下でも画質が保持され、被曝低減効果が得られる。ハーフ画像再構成では時間分解能は約138 msであり、冠動脈評価に十分な性能を有する。管電圧は体格に応じて80 kVp~120 kVpを用い、低管電圧撮影により、被曝低減や造影効果を高めることによる造影剤減量を図ることが可能である。体重によって造影剤量を決定しており、通常、3~5ml/秒程度でインジェクターを使用して造影剤を注入している。右心系の造影剤を押し出し、アーチファクト低減・造影効果上昇を目的として、25~50ml程度の生理食塩水で後押しをする。本症例のように右心が低濃度となれば、左右シャントを検出しやすくなる。通常20ゲージの留置針を使用するが、確保困難な場合は22ゲージを使用し造影剤注入速度を下げて、低管電圧撮像を行っている。

使用上の注意【電子添文より抜粋】

  • 9.特定の背景を有する患者に関する注意

    9.8 高齢者
    患者の状態を観察しながら使用量を必要最小限にするなど慎重に投与すること。本剤は主として、腎臓から排泄されるが、高齢者では腎機能が低下していることが多いため、高い血中濃度が持続するおそれがある。[8.6、9.2.1、9.2.2 参照]