症例・導⼊事例

※ご紹介する症例は臨床症例の一部を紹介したもので、全ての症例が同様な結果を示すわけではありません。

大血管~下肢3DCTAでの大動脈弁・冠動脈術前スクリーニング

施設名: 弘前大学大学院医学研究科
執筆者: 放射線診断学講座 対馬 史泰 先生、掛田 伸吾 先生
作成年月: 2025年10月

※ 効能又は効果、用法及び用量、警告・禁忌を含む注意事項等情報等については、電子添文をご参照ください。

はじめに

症例背景

70歳代、男性、43kg、冠動脈3枝病変、大動脈弁狭窄症、閉塞性動脈硬化症

検査目的

術前精査目的に大血管~下肢CT施行

使用造影剤

イオプロミド370注100mL「BYL」 / 84mL

症例解説

70代男性。労作時胸部絞扼感と夜間起座呼吸を主訴に受診。ECG・精査より冠動脈三枝病変と大動脈弁狭窄症を認め、CABG予定となった。ABIは右0.46/左0.97。腎機能低下(eGFR 24.6)を踏まえ、造影負荷を抑えつつ大血管から下肢末梢までを一括評価する方針とした。

画像所見

図1.大動脈造影CT水平断
弓部大動脈 (→)の内腔に、5mm以上の厚みのある不整な粥腫が認められる。いわゆるshaggy aortaである。一部に点状の石灰化が認められる。
明らかな動脈瘤や上行大動脈の全周性壁石灰化は認めない。

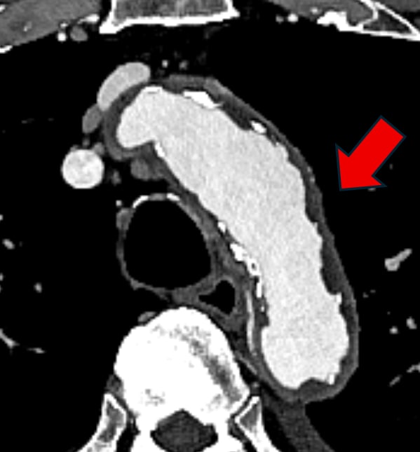
図2.大動脈造影CT MPR像
弓部から下行大動脈に、内腔側へ不整に突出する粥腫を連続性に認める(→)。一部で表面不整や小陥凹を伴い、shaggy aortaとして術中塞栓リスク評価上の重要所見。

図3.大動脈~両下肢動脈3D-CTA VR像
大動脈から両下肢動脈の壁石灰化と口径不整を認める。右SFAは起始部から閉塞している(○)。右下肢動脈のrunoffが低下している(→)。

撮影プロトコル

表は横スクロールでご覧いただけます。

使用機器CT機種名/メーカー名NAETOM Alpha / SIEMENS
CT検出器の列数/スライス数144×2管球
ワークステーション名/メーカー名Singo.via / SIEMENS

撮影条件

表は横スクロールでご覧いただけます。

撮影時相単純動脈相
管電圧 (kV)120120
AECありあり
管電流時間 (Eff.mAs)7576
焦点サイズss
スキャンモードhericalherical
スキャン速度(sec/rot)0.250.25
ピッチ2.22.2
スキャン範囲胸部から足先胸部から足先
撮影時間 (sec)4.04.0
撮影方向頭⇒足頭⇒足

再構成条件

表は横スクロールでご覧いただけます。

 単純動脈相
ルーチン:再構成スライス厚/間隔 (mm/mm)5.0 / 5.05.0 / 5.0
ルーチン:再構成関数/逐次近似応用法StandardStandard
3D/MPR用:再構成スライス厚/間隔 (mm/mm)1.0 / 1.01.0 / 1.0
3D/MPR用:再構成関数/逐次近似応用法StandardStandard

造影条件

自動注入器機種名/メーカー名Centargo CT Injection System / バイエル薬品株式会社
造影剤名イオプロミド370注100mL「BYL」

表は横スクロールでご覧いただけます。

撮影プロトコル動脈相
造影剤:投与量 (mL)84
造影剤:注入速度 (mL/sec)3.0
生食:投与量 (mL)36
生食:注入速度 (mL/sec)、注入時間 (sec)3.0、40
スキャンタイミングBT法 (総腸骨動脈直上/CT閾値150)
ディレイタイムTrigerかかってから10秒後スキャン開始
留置針サイズ (G)22
注入圧リミット (kg/cm2)13

当該疾患の診断における造影CTの役割

CT は大動脈壁石灰化評価に有効な非侵襲的手法であり、上行大動脈および大動脈弓の石灰化の範囲を正確に評価するために用いられ、大動脈弁置換術の術前スクリーニングとしてPorcelain Aortaの除外や、動脈瘤性病変の診断に広く用いられている1)
Shaggy aortaは大動脈内に存在する高度でびまん性の粥状硬化病変によって大動脈内面が毛羽立っている様相を指すとされ、一般に4-5mm以上の厚みを呈する不整形で内腔に突出する粥状病変が広範に見られる大動脈をshaggy aortaと表現する2)。大動脈をはじめとする術前CTでは重要な画像所見とされ、レポートへの記載が求められる3)
本症例では、高齢で心疾患の既往、腎機能低下(eGFR=24.6)もあったが、下肢動脈病変の存在も示唆されており、体幹から下肢末梢までを一回で撮像する戦略により検査回数と総ヨード負荷の両面で腎負荷低減を図った。院内の腎保護プロトコル(補液・排尿促進)を併用し、安全性に配慮した。

参考文献

1)

Abramowitz Y, et al. Porcelain aorta: a comprehensive review. Circulation. 2015;131(9):827-836.

2)

大動脈瘤・大動脈解離診療ガイドライン(2020年改訂版) 日本循環器学会ほか,2020.

3)

宇都宮大輔.“Shaggy aorta”.画像診断2022;42(11増刊):A196–A197.

CT技術や撮像プロトコル設定について

今回の撮影はNAEOTOM Alpha(Siemens Healthineers、フォトンカウンティングCT)を使用している。2管球を使用することで時間分解能が高い、Turbo Flash というmodeを使用し、最速の撮影を行った。今回の撮影では胸から骨盤まで撮影時間は約2秒であった。動きの影響を低減し、末梢runoff(抜け)までコントラストを保った。二相混流(造影剤:生食=7:3)は濃度の時間的均一化に寄与し、描出能の最適化に資した。

使用上の注意【電子添文より抜粋】

  • 9.特定の背景を有する患者に関する注意

    9.1 合併症・既往歴等のある患者

    9.1.12 動脈硬化のある患者
    心・循環器系に影響を及ぼすことがある。

    9.2 腎機能障害患者

    9.2.1 重篤な腎障害のある患者
    診断上やむを得ないと判断される場合を除き、投与しないこと。本剤の主たる排泄臓器は腎臓であり、急性腎障害等の症状が悪化するおそれがある[8.6、9.8、11.1.3 参照]
    9.2.2 腎機能が低下している患者(重篤な腎障害のある患者を除く)
    腎機能が悪化するおそれがある。[8.6、9.8、11.1.3 参照]

    9.8 高齢者

    患者の状態を観察しながら使用量を必要最小限にするなど慎重に投与すること。本剤は主として、腎臓から排泄されるが、高齢者では腎機能が低下して いることが多いため、高い血中濃度が持続するおそれがある。[8.6、9.2.1、9.2.2 参照]