症例・導⼊事例

※ご紹介する症例は臨床症例の一部を紹介したもので、全ての症例が同様な結果を示すわけではありません。

CT colonography での直腸癌術前評価

施設名: 熊本大学病院
執筆者: 画像診断・治療科 山村 定弘 先生
作成年月:2025年10月

※ 効能又は効果、用法及び用量、警告・禁忌を含む注意事項等情報等については、電子添文をご参照ください。

はじめに

症例背景

50歳代、男性、62kg、直腸癌

検査目的

進行直腸癌術前評価目的にてCT colonography を施行。便潜血陽性。

使用造影剤

イオプロミド370注シリンジ100mL「BYL」 / 100mL

症例解説

便潜血陽性であり、大腸内視鏡検査が施行され、スコープ通過不能の直腸癌が同定された。そのため、術前評価目的で、造影CT colonography が施行された。検査前には希釈したガストログラフィンを経口投与し、facal tagging を行った。

画像所見

図1.単純(120kVp画像)、水平断
ガストログラフィンの貯留があり、病変の辺縁が不明瞭となっている。

図2.単純(Calcium Suppression画像)、水平断
ガストログラフィンの高吸収が消失しており、辺縁が明瞭に描出されている。

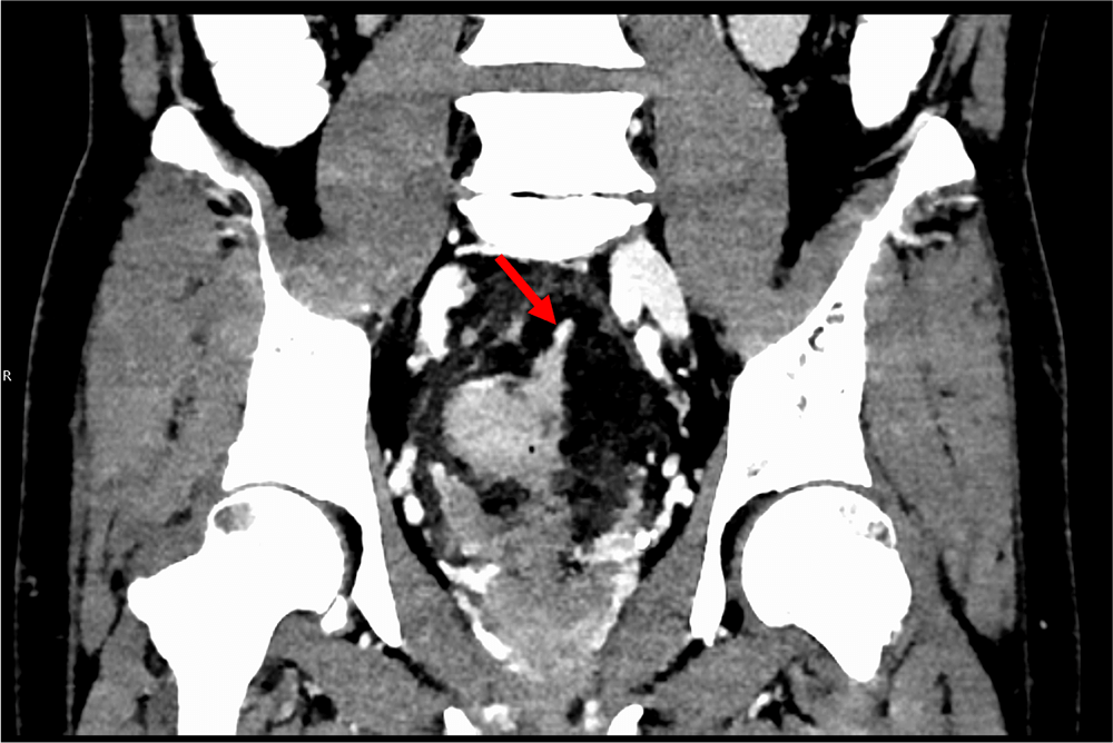
図3.門脈相(120kVp画像)、冠状断
下腸間膜静脈(矢印)に連続するような、EMVIを認める。

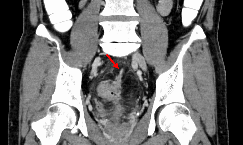
図4.門脈相(MonoE 40keV)、冠状断
下腸間膜静脈(矢印)がはっきりと同定でき、EMVIとのコントラストも明瞭になっている。

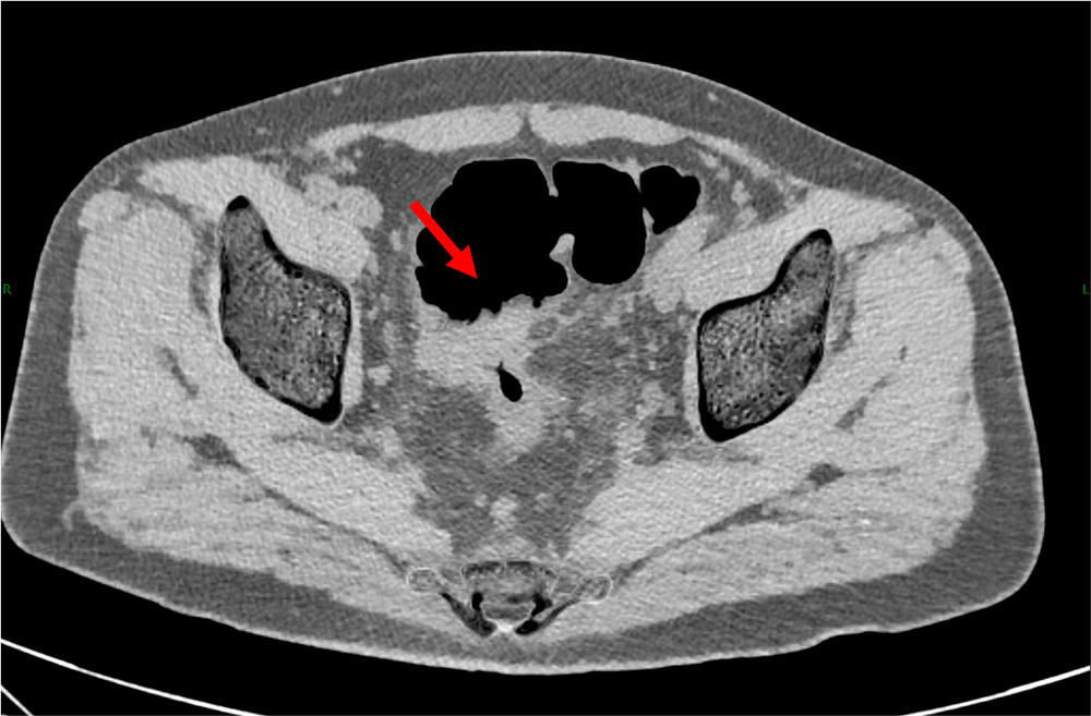
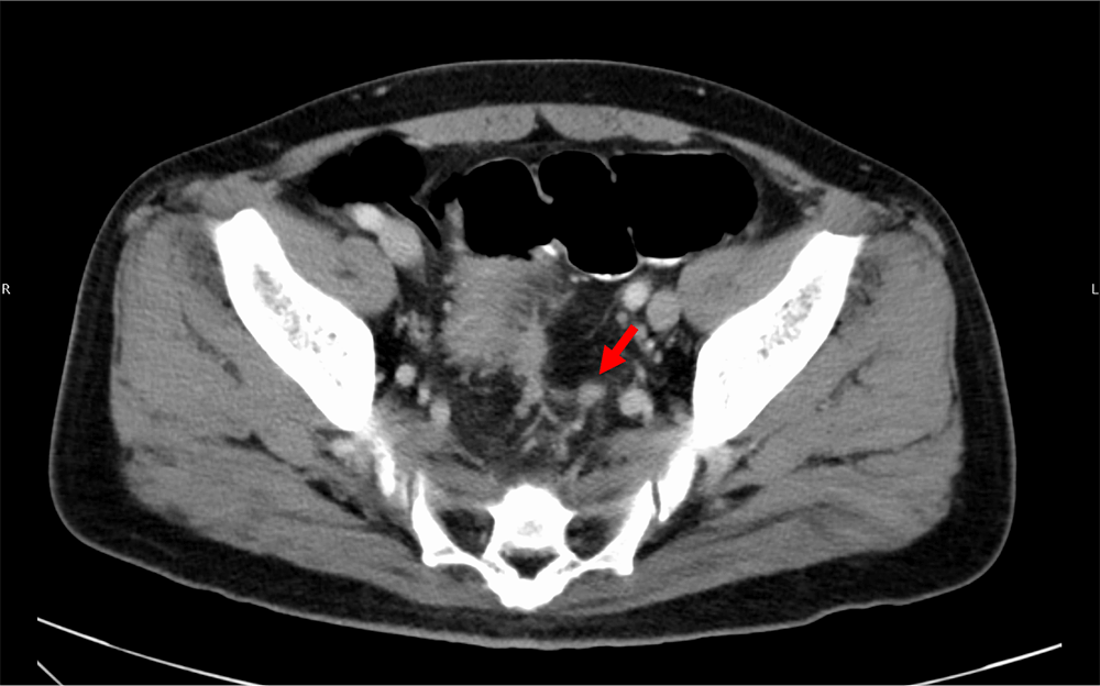
図5.門脈相(120kVp画像)、水平断
直腸左側に不定形の小結節が同定され、TD(矢印)が疑われる。

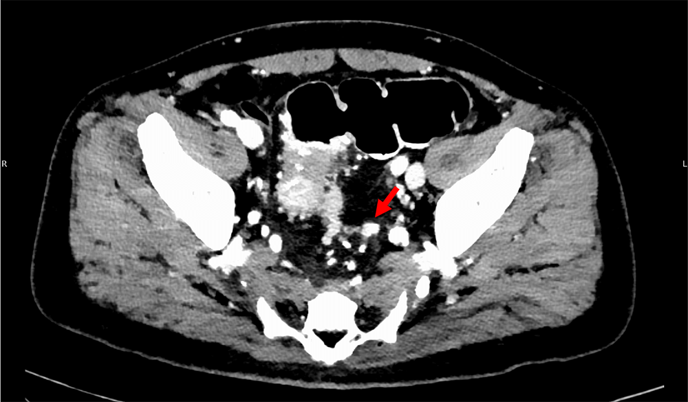
図6.門脈相(120kVp画像)、水平断
TD(矢印)の背側に静脈の走行が明瞭に確認できる。

撮影プロトコル

表は横スクロールでご覧いただけます。

使用機器CT機種名/メーカー名IQon / Philips
CT検出器の列数/スライス数64列 / 128スライス
ワークステーション名/メーカー名IntelliSpace Portal / Philips

撮影条件

表は横スクロールでご覧いただけます。

撮影時相単純動脈相門脈相
管電圧 (kV)120120120
 (AECの設定)Dose Right Index 22Dose Right Index 22Dose Right Index 22
ビーム幅64*0.62564*0.62564*0.625
撮影スライス厚 (mm)0.6250.6250.625
焦点サイズStandardStandardStandard
スキャンモードHelicalHelicalHelical
スキャン速度(sec/rot)0.50.50.5
ピッチ0.7980.7980.798
スキャン範囲腹部から骨盤腹部から骨盤腹部から骨盤
撮影時間 (sec)6.56.56.5
撮影方向頭⇒足頭⇒足頭⇒足

再構成条件

表は横スクロールでご覧いただけます。

 単純動脈相門脈相
ルーチン:再構成スライス厚/間隔 (mm/mm)5 / 55 / 55 / 5
ルーチン:再構成関数/逐次近似応用法idose level3idose level3idose level3
3D/MPR用:再構成スライス厚/間隔 (mm/mm)1/ 0.81/ 0.81/ 0.8
3D/MPR用:再構成関数/逐次近似応用法idose level3idose level3idose level3

造影条件

自動注入器機種名/メーカー名DualshotGX7 / 根本杏林堂
造影剤名イオプロミド370注シリンジ

表は横スクロールでご覧いただけます。

撮影プロトコル動脈相門脈相
造影剤:投与量 (mgI/kg)600
造影剤:注入時間 (sec)35
生食:投与量 (mL)
生食:注入速度 (mL/sec)、注入時間 (sec)
スキャンタイミング固定法固定法
ディレイタイム造影剤注入開始40秒後造影剤注入開始80秒後
留置針サイズ (G)22
注入圧リミット (kg/cm2)15

当該疾患の診断における造影CTの役割

大腸癌の診断における造影CT検査は、腫瘍の局所進展度、リンパ節転移や遠隔転移の有無を評価するために重要な役割を果たす。特に、肝臓や肺などへの遠隔 転移の評価においては、造影剤を使用することで病変の描出能が向上し、手術適応や治療方針の決定に貢献する。近年は腹腔鏡手術やロボット手術が普及してい るので、術前血管解剖の把握は重要な役割となっている。さらに造影CT検査は腸管閉塞や穿孔の有無、隣接臓器への浸潤の評価にも有用である。

当院では、大腸癌の術前において腸管内に二酸化炭素を注入するCT colonography(CTC) と造影CT検査を併用した検査を積極的に施行している。その利点と しては、非侵襲的で全身の評価が短時間で可能な点、3D再構築により病変の位置や大きさを詳細に把握できる点が挙げられる。また、内視鏡が挿入困難な場合 の代替手段としても有用である。
一方で注意点としては、ヨード造影剤によるアレルギー反応や腎機能障害のリスクがあり、事前に患者の既往歴や腎機能を確認する必要がある。また、腫瘍の粘 膜面変化などの詳細な観察は内視鏡検査に劣るため、確定診断には大腸内視鏡検査と組み合わせて使用することが推奨される。

CT技術や撮像プロトコル設定について

Dual-energy CTは、二種類のX線エネルギーレベルでデータを収集することで、様々なスペクトラル画像の取得を可能とする技術である。今回の症例で使用したフィリップス社製の二層検出器CT装置では、全ての撮影で後ろ向きにdual-energy解析が可能であり、偶発病変に対してもスペクトラル画像による付加情報を得ることができる。

本症例では、高度狭窄を呈した進行直腸癌に対して造影CTC検査を施行した。検査前には、腸管内病変の視認性を向上させる目的で、ガストログラフィンを経口投与している。そのため大腸内の貯留物は高吸収となっているが、物質密度画像(material density image:MDI)を作成することにより、病変の辺縁の描出は問題なく施行できている。
また直腸癌の予後不良因子である壁外静脈浸潤(EMVI)、tumor deposit(TD) の同定は重要であることが知られている。これらはMRIで診断されることが一般的であるが、造影CT検査でも指摘できることがある。仮想単色X線エネルギー画像(MonoE)は低エネルギー帯でヨードの造影効果が劇的に増加するため、病変や脈管の視認性が向上するので、検出能や診断確信度の向上に寄与すると考えられる。