症例・導⼊事例

※ご紹介する症例は臨床症例の一部を紹介したもので、全ての症例が同様な結果を示すわけではありません。

胸部X線での肺異常陰影を契機に診断された部分肺静脈還流異常の一例

施設名: 東北医科薬科大学病院
執筆者: 放射線科 中島 有美 先生、 米田 瑞輝 先生、 山田 隆之 先生
作成年月: 2025年10月

※ 効能又は効果、用法及び用量、警告・禁忌を含む注意事項等情報等については、電子添文をご参照ください。

はじめに

症例背景

60歳代、 男性、 81.5kg、 部分肺静脈還流異常

検査目的

主訴:特記事項なし
検査目的:近医での健康診断で指摘された胸部X線異常陰影の精査目的。

使用造影剤

イオプロミド370注シリンジ50mL「BYL」 / 48mL

症例解説

60代男性。近医での健康診断で施行した胸部X線検査で右肺下葉結節影と大動脈蛇行を指摘され、精査目的に胸部造影CT検査を施行した。CTでは、右肺下葉に2つの肺静脈還流異常が指摘され、部分肺静脈還流異常と診断された。特記症状はなく、経過観察の方針となった。

画像所見

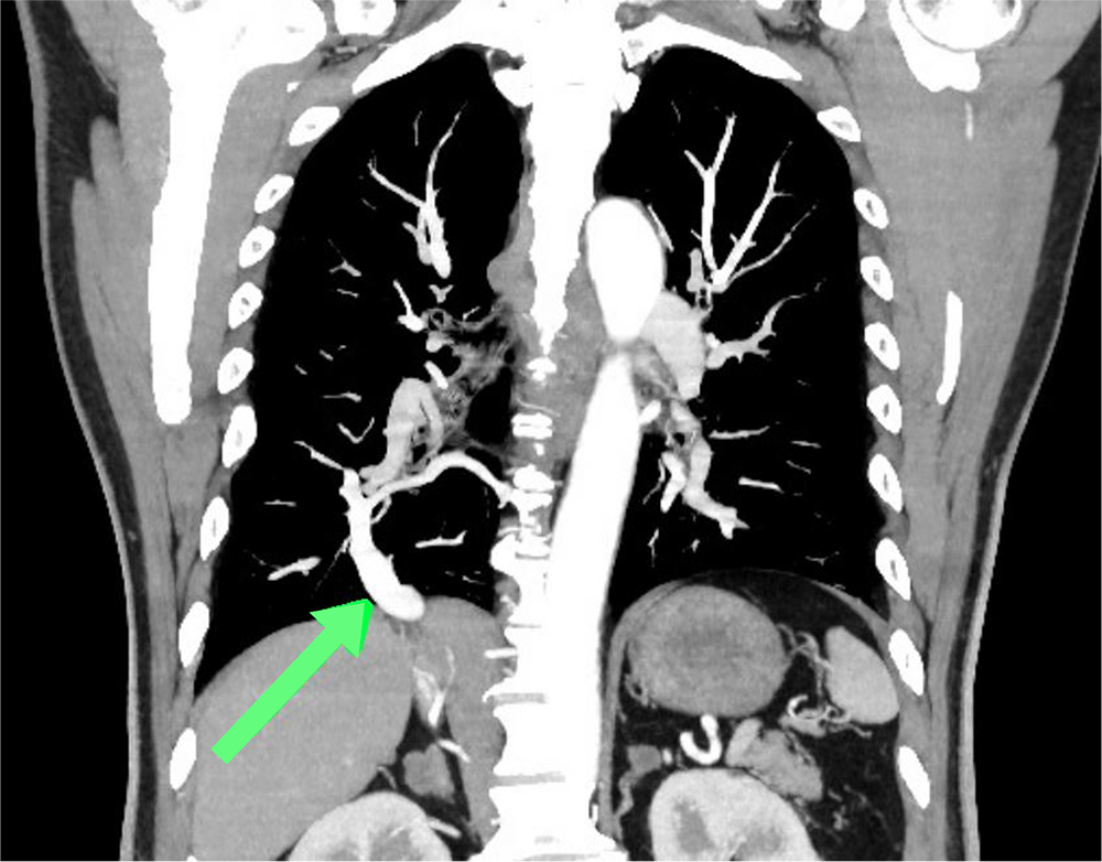
図1.造影CT(動脈相)冠状断MIP像
右肺下葉の肺静脈は、大部分が合流しながら下方へscimitar状に走行している(矢印)。

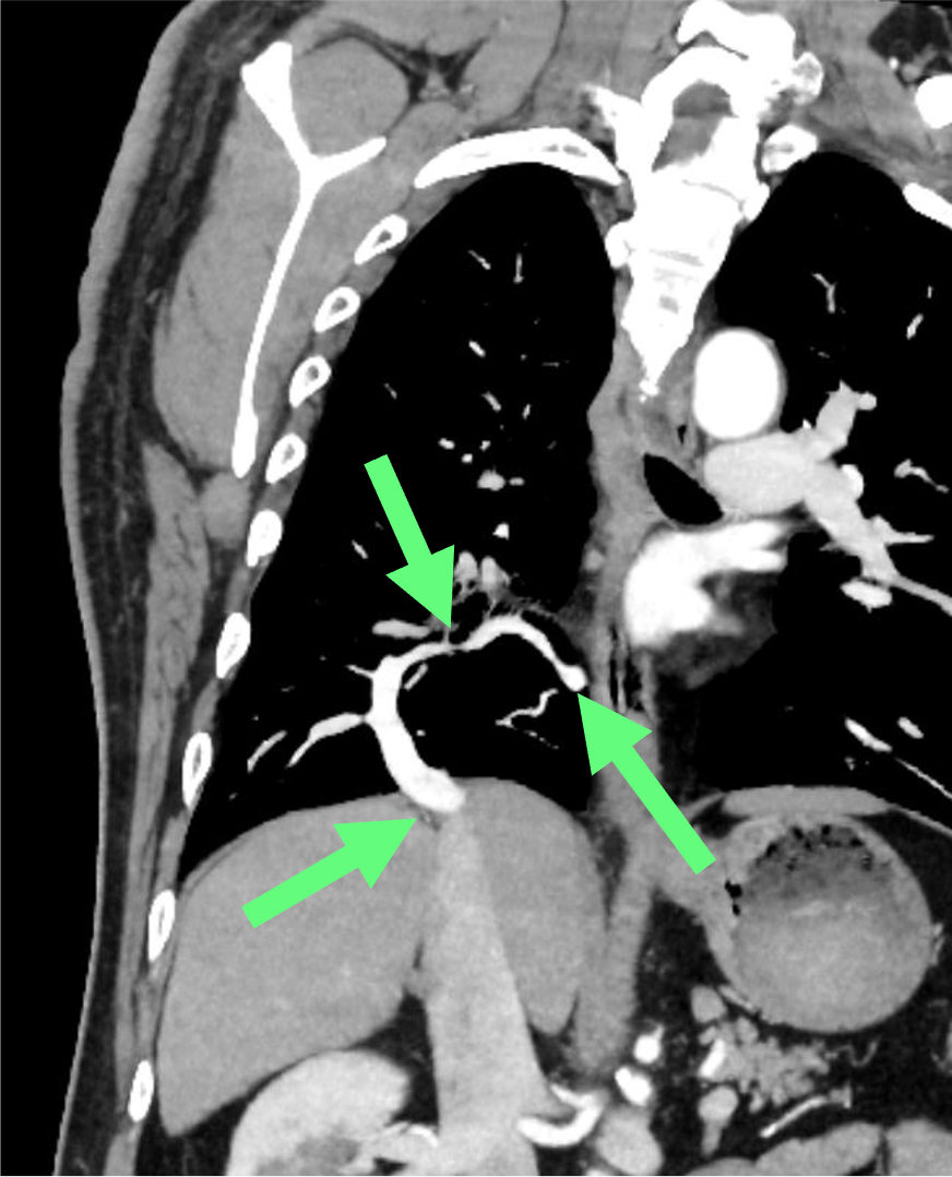
図2.造影CT(動脈相)冠状断MIP像
右肺下葉の肺静脈(矢印)は肝上部下大静脈に流入している。

図3.3次元再構成VR像
左房に還流する通常の右下肺静脈は認められない。還流異常を生じた右下肺静脈は、右肺下葉を走行し、肝上部下大静脈に流入している(紫)。

図4.3次元再構成VR像
図1-3で示した肺静脈のさらに下方の右肺底部背側に還流異常を生じた右肺静脈が、肝部下大静脈に流入している(矢印)。

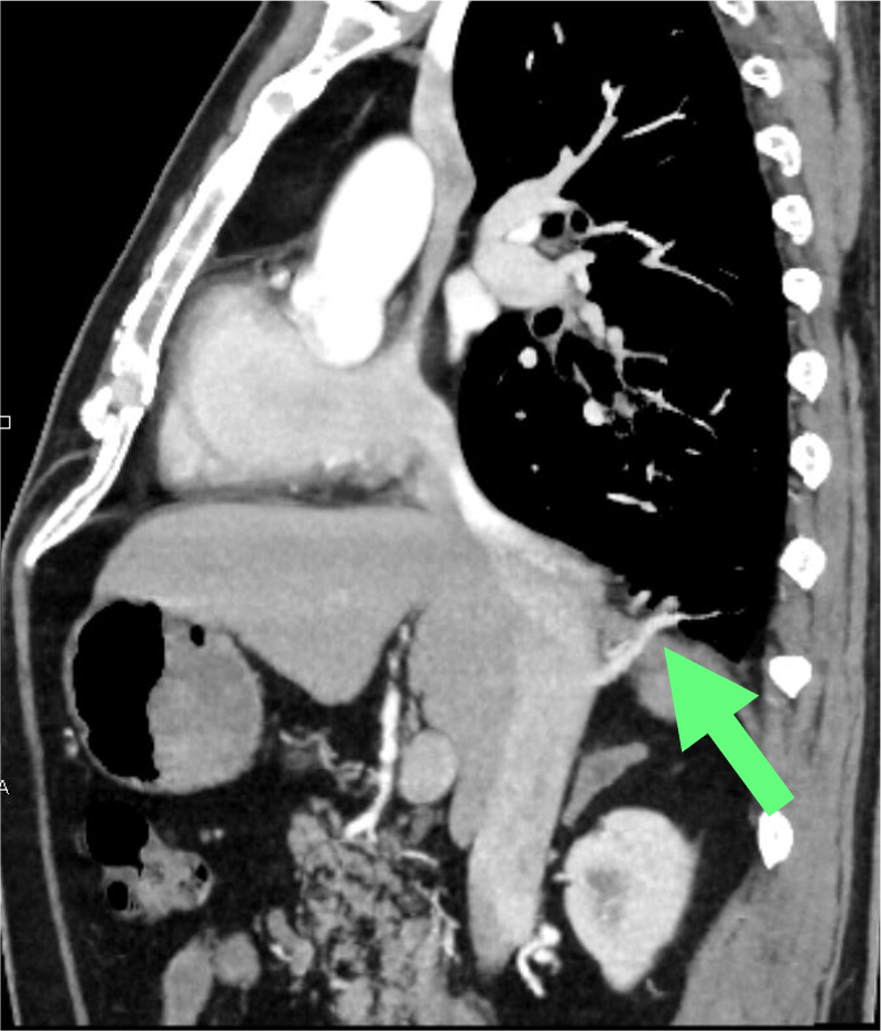
図5.造影CT(動脈相)矢状断MIP像
図4で示した肺静脈の造影CT(動脈相)partial MIP矢状断像。右肺底部から還流を受ける肺静脈は、図1-3に示した静脈よりも下方で肝部下大静脈に流入している(矢印)

撮影プロトコル

表は横スクロールでご覧いただけます。

使用機器CT機種名/メーカー名Aquilion Prime SP i / Canon
CT検出器の列数/スライス数80列
ワークステーション名/メーカー名SYNAPSE VINCENT / FujiFilm

撮影条件

表は横スクロールでご覧いただけます。

撮影時相単純45s
管電圧 (kV)120120
AECVolume ECVolume EC
(AECの設定)SD 13.0SD 13.0
ビーム幅0.5×800.5×80
撮影スライス厚 (mm)0.50.5
焦点サイズLargeLarge
スキャンモードHelicalHelical
スキャン速度 (sec/rot)0.50.5
ピッチ標準(PFO.813)標準(PFO.813)
スキャン範囲胸部胸部
撮影時間 (sec)77
撮影方向頭⇒足頭⇒足

再構成条件

表は横スクロールでご覧いただけます。

 単純40s
ルーチン:再構成スライス厚/間隔 (mm/mm)1 / 11 / 1
ルーチン:再構成関数/逐次近似応用法AiCE Body Sharp StandardAiCE Body Sharp Standard
3D/MPR用:再構成スライス厚/間隔 (mm/mm)0.5 / 0.50.5 / 0.5
3D/MPR用:再構成関数/逐次近似応用法AiCE Body Sharp StandardAiCE Body Sharp Standard

造影条件

自動注入器機種名/メーカー名デュアルショットGX7 / 根本杏林堂
造影剤名イオプロミド370注シリンジ

表は横スクロールでご覧いただけます。

撮影プロトコル40s
造影剤:投与量 (mL)48
造影剤:注入速度 (mL/sec)、注入時間 (sec)1.7、28
生食:投与量 (mL)20
生食:注入速度 (mL/sec)、注入時間 (sec)1.7、12
スキャンタイミング造影剤投与開始45sec
ディレイタイム
留置針サイズ (G)22
注入圧リミット (kg/cm3)10

当該疾患の診断における造影CTの役割

部分肺静脈還流異常は、肺静脈の一部が体循環系に還流する先天異常で、成人での頻度は約0.1%と報告されている。異常還流する肺静脈の本数や、心房中隔欠損などの合併奇形により、動悸、呼吸困難、チアノーゼなどの症状を来しうるが、本症例のように無症状で偶然発見されることも少なくない。
異常血管は、右肺静脈の場合は上・下大静脈や右房、左肺静脈の場合は腕頭静脈、左上大静脈、冠静脈洞と、原則的に最も近い体循環に還流する。その中でも、右肺静脈から下大静脈へ還流する異常血管の走行は、単純X線写真正面像において三日月形の刀(scimitar)に類似していることから、scimitar signと呼ばれる。
本症例は、造影CTを施行したことで、右肺下葉の2本の還流異常を示す肺静脈を明瞭に描出でき、診断の確定に至った一例と言える。
以上のように、部分肺静脈還流異常の症例では、単純X線写真で異常血管が指摘されることがあるが、異常血管の詳細な評価には胸部CT、特に造影CTのMIP像やMPR像が有用である。

参考文献

  • 村田喜代史ほか. 胸部のCT p850, メディカル・サイエンス・インターナショナル, 2018.
  • 芦澤和人編著. 困ったときの胸部の画像診断 p271, 学研メディカル秀潤社, 2019.

使用上の注意【電子添文より抜粋】

  • 9.特定の背景を有する患者に関する注意

    9.8 高齢者

    患者の状態を観察しながら使用量を必要最小限にするなど慎重に投与すること。本剤は主として、腎臓から排泄されるが、高齢者では腎機能が低下していることが多いため、高い血中濃度が持続するおそれがある。[8.6、9.2.1、9.2.2 参照]