症例・導⼊事例
※ご紹介する症例は臨床症例の一部を紹介したもので、全ての症例が同様な結果を示すわけではありません。
前立腺MRIにおける微妙な拡散強調像所見を補う造影ダイナミックの役割
施設名: 愛仁会高槻病院
執筆者: イメージングリサーチセンター 髙橋 哲 先生、技術部放射線科 三島 綱太 先生
作成年月: 2025年10月
※ 効能又は効果、用法及び用量、警告・禁忌を含む注意事項等情報等については、電子添文をご参照ください。
はじめに
前立腺がんは2020年には本邦で約8万8千人が診断され、男性がん罹患者数第1位の疾患である。2023年の死亡者数は1万3千人強、男性の癌死亡の部位別第7位、累積がん死亡リスク1.5%、5年相対生存率は99.1%である(がん情報サービスのがん統計より)。手術や放射線治療などの根治的治療では尿禁制や男性機能などへの影響があり、患者のQOLを考えると過剰診断・過剰治療が問題となる疾患である。
ガドビストを用いたMRI検査の方法
手順と撮像 Sequence Parameter
撮像パラメータ
表は横スクロールでご覧いただけます。
| 撮像名 | 撮像シーケンス | 撮像時間 (min:sec) | TR (msec) | TE (msec) | FA (deg) | b-value (sec/mm2) | Fat Sat (種類) | ETL,TF (数) | Parallel Imaging (倍速数) | NEX, Averages (加算回数) | 息止め (有無) |
| T2w矢状断像 | TSE | 1:22 | 5050 | 139 | 138 | ー | ー | 15 | 3 | 2 | 無 |
| T2w横断像 | TSE | 2:35 | 4500 | 144 | 141 | ー | ー | 21 | 3 | 2 | 無 |
| 拡散強調像 | EPI | 2:42 | 6000 | 62 | 90 | b=50, 1000 | SPAIR | 41 | 2 | b=50, 2 b=1000, 4 | 無 |
| T2w冠状断像 | TSE | 1:20 | 6130 | 140 | 150 | ー | ー | 15 | 3 | 1 | 無 |
| T1強調冠状断 (単純検査の 場合のみ) | t1_vibe3d | 1:05 | 4.45 | 2.46 | 10 | ー | ー | ー | 3 | 1 | 無 |
| 造影ダイナ ミック | t1_vibe3d_FS | 3:22 (13s × 15) | 3.19 | 1.17 | 15 | ー | SPAIR | ー | 2 | 1 | 無 |
| 脂肪抑制T1強 調冠状断像 | t1_vibe3d_FS | 1:18 | 2.92 | 1.06 | 9 | ー | CHESS | ー | 3 | 1 | 無 |
表は横スクロールでご覧いただけます。
| 撮像名 | FOV (mm) | 面内分解能 (mm) | リード方向 (matrix数) | 位相方向 (step数) | Slice厚 (mm) | Slice Gap (mm) | Slice枚数 | Deep Learning Recon (有無) |
| T2w矢状断像 | 220 | 1.04x0.63 (0.31x031) | 352 (704) | 211 (704) | 2 | 0.2 | 33 | DRB |
| T2w横断像 | 180 | 0.94x0.56 (0.28x0.28) | 320 (640) | 192 (640) | 2 | 0 | 39 | DRB |
| 拡散強調像 | 270 | 2.64x2.11 (1.05x1.05) | 128 (256) | 82 (256) | 3 | 0 | 26 | DRB |
| T2w冠状断像 | 220 | 1.04x0.63 (0.31x0.31) | 352 (704) | 211 (704) | 2 | 0.2 | 40 | DRB |
| T1強調冠状断 (単純検査の 場合のみ) | 380 | 1.32x1.19 (0.59x0.59) | 288 (576) | 288 (576) | 1.2 | ー | 160 | 無 |
| 造影ダイナ ミック | 280 | 1.54x1.09 (0.55x0.55) | 256 (512) | 182 (512) | 1.5 | ー | 88 | 無 |
| 脂肪抑制T1強 調冠状断像 | 380 | 1.32x1.32 (0.66x0.66) | 288 (576) | 288 (576) | 1.2 | ー | 160 | 無 |
| 収集 (再構成) | 収集 (再構成) | 収集 (再構成) |
表は横スクロールでご覧いただけます。
| MRI装置 | Siemens Mangetom Lumina |
| 自動注入器 | 根本杏林堂 Sonic Shot 7 |
| ワークステーション | ー |
表は横スクロールでご覧いただけます。
| 造影条件 | 注入量(mL) | 注入速度(mL/sec) | 撮像タイミング | |
| ガドビスト | 6.5 | 2 | 15phase連続撮像の1phase終了時に注入開始 | |
| 後押し用 生理食塩水 | 30 | 2 |
Deep learning reconstrucion対応の3テスラ機器導入以降、全ての前立腺MRIは、この3テスラ機器で行っている。
短時間で、高分解能撮像ができる deep learging reconstructionの性能を最大限活かすため、T2強調像と拡散強調像のルーチンは2mmスライス厚撮像に踏み切った。
なお、この機能の無い従来機器では、1.5テスラ、3テスラともT2強調画像は3mmスライス厚、拡散強調像はそれぞれ4mm、3mmスライス厚撮像とし、PI-RADS v2.1の推奨条件を満たすようにしてある。
T1強調画像は、骨盤内の骨、リンパ節を広範囲に検索するため、大きなFOVで3Dボリュームで冠状断撮像を行い、この画像から横断像MPRを作成し提供している。
単純検査の場合は脂肪抑制無しで、造影検査の場合はダイナミック撮像終了後に脂肪抑制ありで撮像することで、骨転移やリンパ節が周囲の骨髄や後腹膜の脂肪とコントラストを保っている。
造影検査の場合、時間節約のため単純T1強調像を撮像しないこととなるが、出血の有無の評価に目的がほぼ限られるため、ダイナミックのプレ画像で代用している。
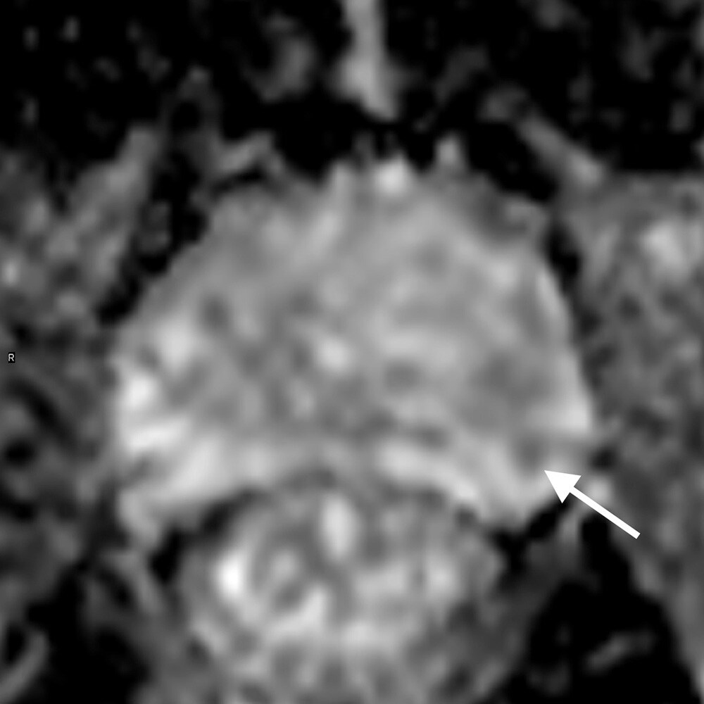
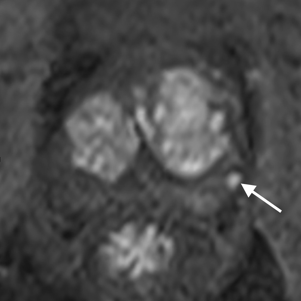
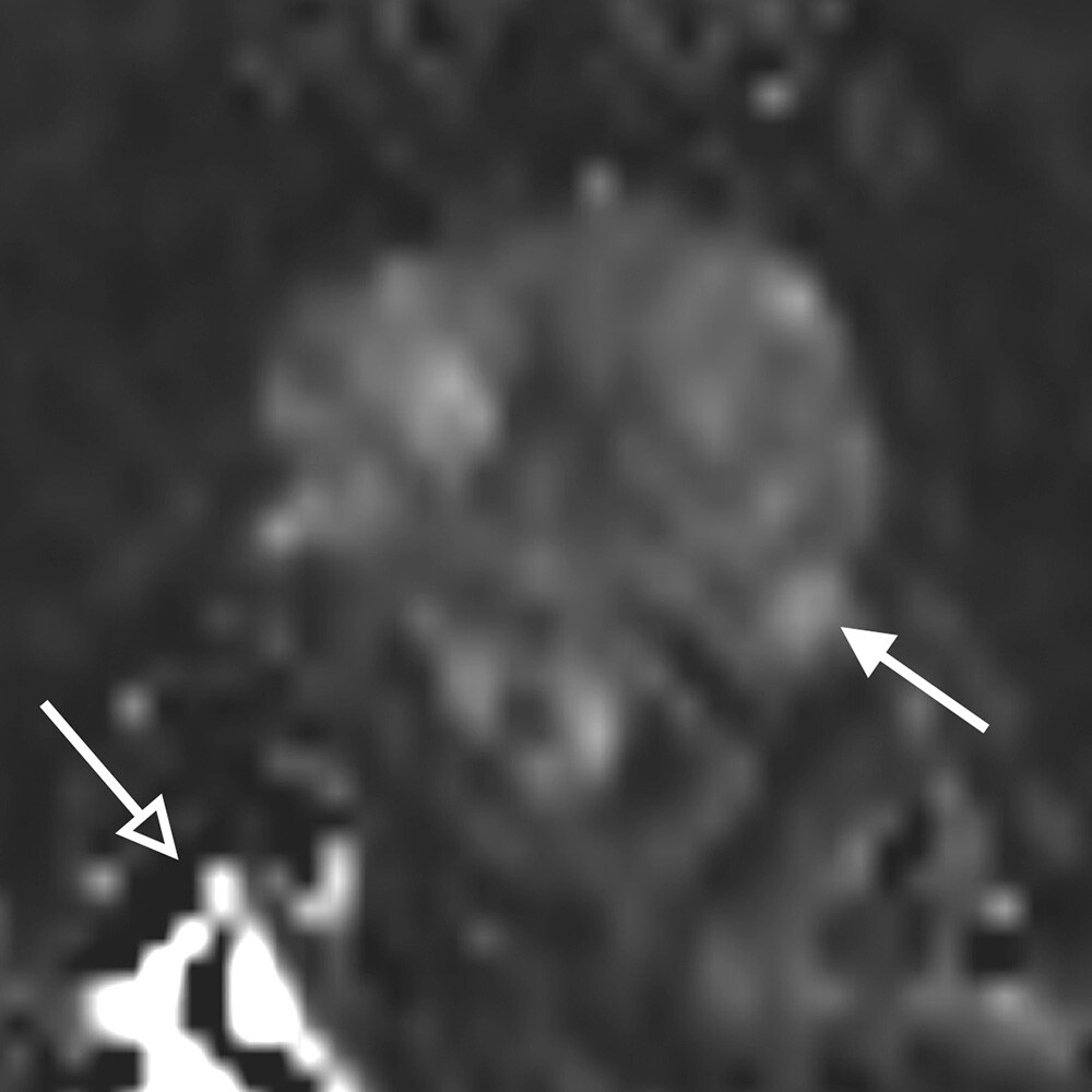
症例
症例背景
70歳代、男性、65kg、前立腺がんの疑い
PSA高値(12.4)精査
症例解説
PSA高値(12.4)精査のため施行された1か月前のMRIは、直腸ガス多く、拡散強調画像で一部高信号疑うものの確証が得られなかった。そこで造影検査で再検したところ、微小なPI-RADS4病変が確認された。対象が小さいため、標的生検もふくめて見送り、経過観察している。
当該疾患の診断における造影MRIの役割
PI-RADS (prostate imaging reporting and data system)は、前立腺MRI診断の標準化として泌尿器科医にも広く知られ、前立腺癌診療に欠かせない一部となっている。PI-RADSスコアリングでは、T2強調像と拡散強調像の評価が重視され、造影は補助的な位置づけとなっている。T2強調像と拡散強調像のみを評価するbiparametric MRI (bp-mRI)の診断能が、造影を含めたmultiparametric MRI (mp-MRI)に劣らない、という報告が増え、安易にbi-MRIが多用されるきらいがある。
しかしbp-MRIは拡散強調像に負うところが大きく、拡散強調像は直腸ガスや体動、さらに撮像条件の影響で、安定した高画質を得ることが難しい。これに対し造影ダイナミック撮像は拡散強調像よりアーティファクトの影響を受けにくく、補助的、というよりは実臨床では診断の確診度を高め、フェイルセーフとしての役割が大きい。ガイドライン上も、bp-MRIで評価可能は、3テスラMRIをエキスパートが読影し、標的生検で確認できる施設でのみ、弱く推奨できるとしている。
当院は標的生検ができないため条件に合わないがbp-MRIの依頼が実際には多い。本例のように不明確な症例では積極的にmp-MRI再検を促すことで、mp-MRIの重要性を啓蒙している。
9.特定の背景を有する患者に関する注意【電子添文より抜粋】
9.8 高齢者
患者の状態を十分に観察しながら慎重に投与すること。一般に生理機能が低下している。