症例・導⼊事例
※ご紹介する症例は臨床症例の一部を紹介したもので、全ての症例が同様な結果を示すわけではありません。
EVAR後の腹部大動脈瘤破裂に対し追加EVARを施行した一例
施設名: 奈良県立医科大学附属病院
執筆者: 放射線診断・IVR学講座 岩田 茉子 先生、越智 朋子 先生
作成年月: 2025年10月
※ 効能又は効果、用法及び用量、警告・禁忌を含む注意事項等情報等については、電子添文をご参照ください。
はじめに
症例背景
90歳代、男性、39kg、腹部大動脈瘤破裂
検査目的
主訴:突然の腹痛
現病歴:当科で腹部大動脈瘤に対しEVAR後、増大傾向がありフォローアップされていた。急激な腹痛で前医受診、CTにて腹部大動脈瘤破裂が疑われ当科紹介となる。
使用造影剤
イオプロミド370注シリンジ80mL「BYL」/ 80mL
症例解説
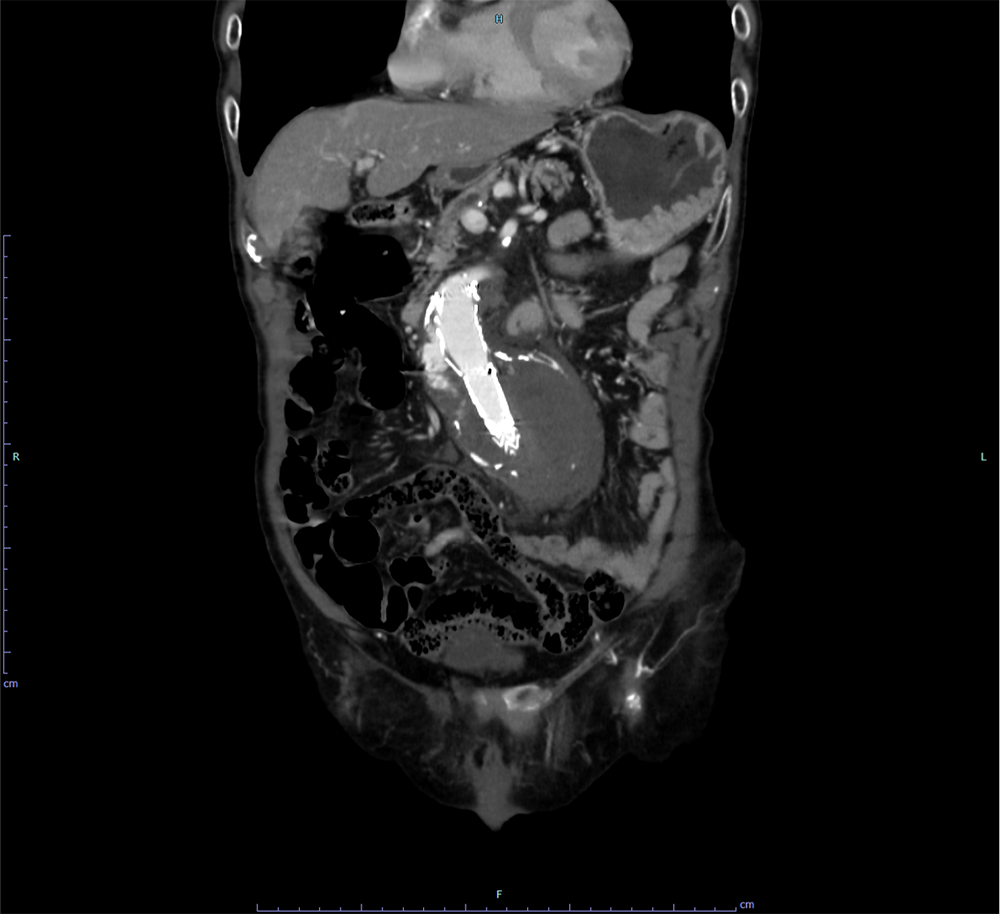
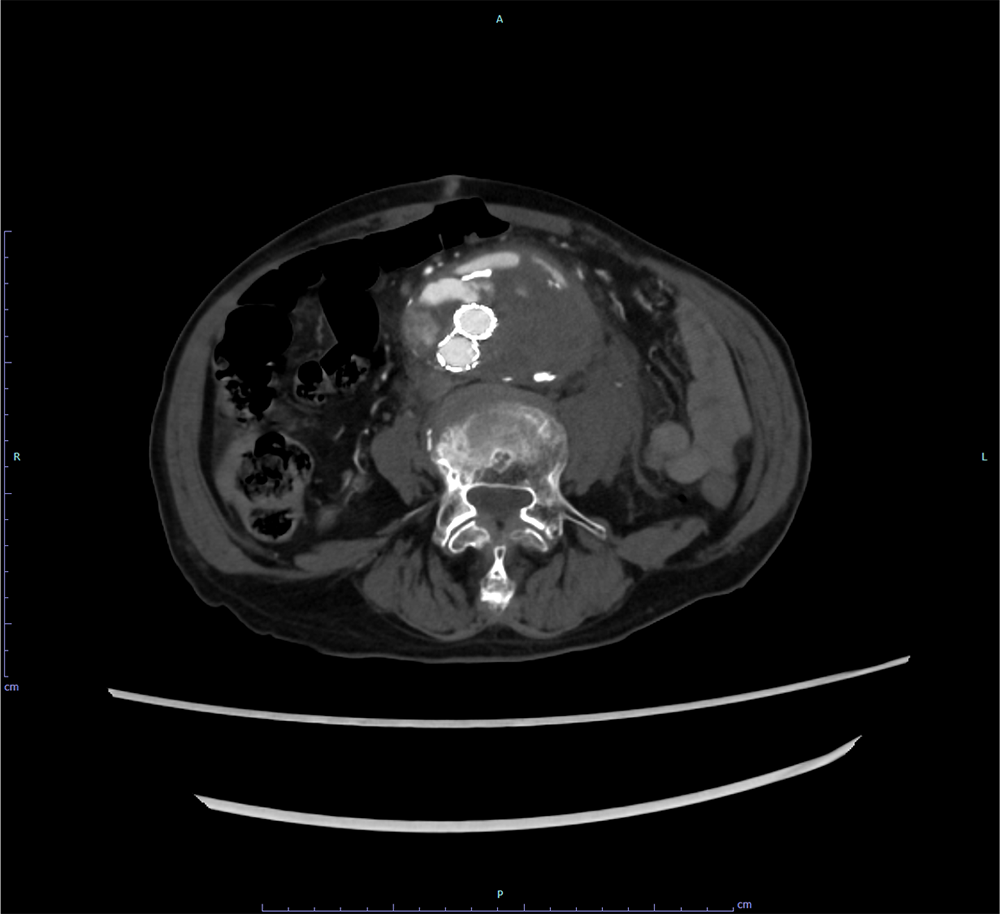
当科で腹部大動脈瘤に対しEVAR術後、瘤増大傾向で外来フォローアップされていた。急激な腹痛で来院し造影CTが撮影された。瘤内にType1aエンドリークを認めるほか、瘤内解離、破裂を認めた。緊急で追加EVARが行われ、治療後エンドリークは消失し、術後経過も問題なく退院となった。
画像所見
撮影プロトコル
表は横スクロールでご覧いただけます。
| 使用機器 | CT機種名/メーカー名 | Aquilion One / Canon |
| CT検出器の列数/スライス数 | 320 | |
| ワークステーション名/メーカー名 | VINCENT / Fujifilm |
撮影条件
表は横スクロールでご覧いただけます。
| 撮影時相 | 単純 | 早期動脈相 | 後期動脈相 | 平衡相 |
| 管電圧 (kV) | 120 | 120 | 120 | 120 |
| AEC | VolumeEC | VolumeEC | VolumeEC | VolumeEC |
| (AECの設定) | SD 8.0 | SD 8.0 | SD 8.0 | SD 8.0 |
| ビーム幅 | 0.5x80 | 0.5x80 | 0.5x80 | 0.5x80 |
| 撮影スライス厚(mm) | 0.5 | 0.5 | 0.5 | 0.5 |
| 焦点サイズ | Large | Large | Large | Large |
| スキャンモード | Helical | Helical | Helical | Helical |
| スキャン速度(sec/rot) | 0.5 | 0.5 | 0.5 | 0.5 |
| ピッチ | 標準(PF 0.813) | 標準(PF 0.813) | 標準(PF 0.813) | 標準(PF 0.813) |
| スキャン範囲 | 上腹部から骨盤 | 上腹部から骨盤 | 上腹部から骨盤 | 肺尖から骨盤 |
| 撮影時間 (sec) | 8.05 | 4.87 | 4.87 | 11.95 |
| 撮影方向 | 頭⇒足 | 頭⇒足 | 頭⇒足 | 頭⇒足 |
再構成条件
表は横スクロールでご覧いただけます。
| 単純 | 早期動脈相 | 後期動脈相 | 平衡相 | |
| ルーチン:再構成スライス厚/間隔 (mm/mm) | 5.0 / 5.0 | 3.0 / 3.0 | 3.0 / 3.0 | 3.0 / 3.0 |
| ルーチン:再構成関数/逐次近似応用法 | AiCE body sharp Mild | AiCE body sharp Mild | AiCE body sharp Mild | AiCE body sharp Mild |
| 3D/MPR用:再構成スライス厚/間隔 (mm/mm) | ー | 1.0 / 1.0 | 1.0 / 1.0 | 1.0 / 1.0 |
| 3D/MPR用:再構成関数/逐次近似応用法 | ー | AiCE body sharp Mild | AiCE body sharp Mild | AiCE body sharp Mild |
造影条件
表は横スクロールでご覧いただけます。
| 自動注入器機種名/メーカー名 | Stellant / Bayer |
| 造影剤名 | イオプロミド370注シリンジ |
表は横スクロールでご覧いただけます。
| 撮影プロトコル | 早期動脈相 | 後期動脈相 | 平衡相 |
| 造影剤:投与量 (mL) | 80 | ー | |
| 造影剤:注入速度 (mL/sec) | 4 | ー | |
| 生食:投与量 (mL) | 25 | ー | |
| 生食:注入速度 (mL/sec) | 4 | ー | |
| スキャンタイミング | BT法(大動脈弓/200HU) | 固定法 | |
| ディレイタイム | 造影剤注入開始10秒後 | 早期動脈相撮影終了10秒後 | 造影剤注入開始120秒後 |
| 留置針サイズ (G) | 20 | ||
| 注入圧リミット (psi) | 200 | ||
当該疾患の診断における造影CTの役割
腹部大動脈瘤(AAA)の診断と治療戦略の決定において、造影CTは最も信頼性の高い検査である。造影CTにより瘤の存在部位や最大径、長さ、形状を正確に評価でき、拡大速度や形態の異常といった破裂リスクの判定にも用いられる。また、瘤壁の不整、壁在血栓、壁内血腫の有無を描出することで、切迫破裂や破裂の診断に直結する。さらに、腎動脈・内腸骨動脈・下腸間膜動脈など主要分枝との位置関係を明らかにすることで、開腹術かEVARかといった治療適応の判断やステントグラフトのデザイン決定に不可欠である。未破裂AAAの経過観察にもCTが推奨されており、腹部超音波に比べ測定誤差が少ない一方、腎機能障害などの可能性を考慮する必要がある。破裂または切迫破裂が疑われる場合には、後腹膜血腫や造影剤漏出を迅速に描出し、緊急治療の判断に直結するため、診断と治療計画の双方において中心的役割を担う。
参考文献:2020年改訂版 大動脈瘤・大動脈解離診療ガイドライン
CT技術や撮像プロトコル設定について
CTAは目的とする動脈でピーク濃度を迎えるタイミングで撮影を行う必要がある。
本症例ではコントラストを明瞭にするため4mL/secで急速静注を行った。
また、大動脈瘤患者は高齢で心疾患や不整脈、動脈硬化性変化を合併していることも多く、造影剤到達にばらつきが生じやすい。そのため、画一的なタイミング設定では不十分であり、個々の循環動態に応じた撮影開始の調整が重要となる。当院ではbolus tracking法を基本としており、上行または腹部大動脈にROIを設定し、造影剤到達を確認したうえで撮影を行っている。しかし造影剤注入速度や循環動態によっては、スキャンが造影ピークを追い越し十分な血管濃染が得られない場合がある。当院ではdelay時間を適宜調整することで良好な画像を確保するよう工夫しているが、近年はtest injection法の有用性も報告されている。
使用上の注意【電子添文より抜粋】
9.特定の背景を有する患者に関する注意
9.8 高齢者
患者の状態を観察しながら使用量を必要最小限にするなど慎重に投与すること。本剤は主として、腎臓から排泄されるが、高齢者では腎機能が低下していることが多いため、高い血中濃度が持続するおそれがある。[8.6、9.2.1、9.2.2 参照]