症例・導⼊事例
※ご紹介する症例は臨床症例の一部を紹介したもので、全ての症例が同様な結果を示すわけではありません。
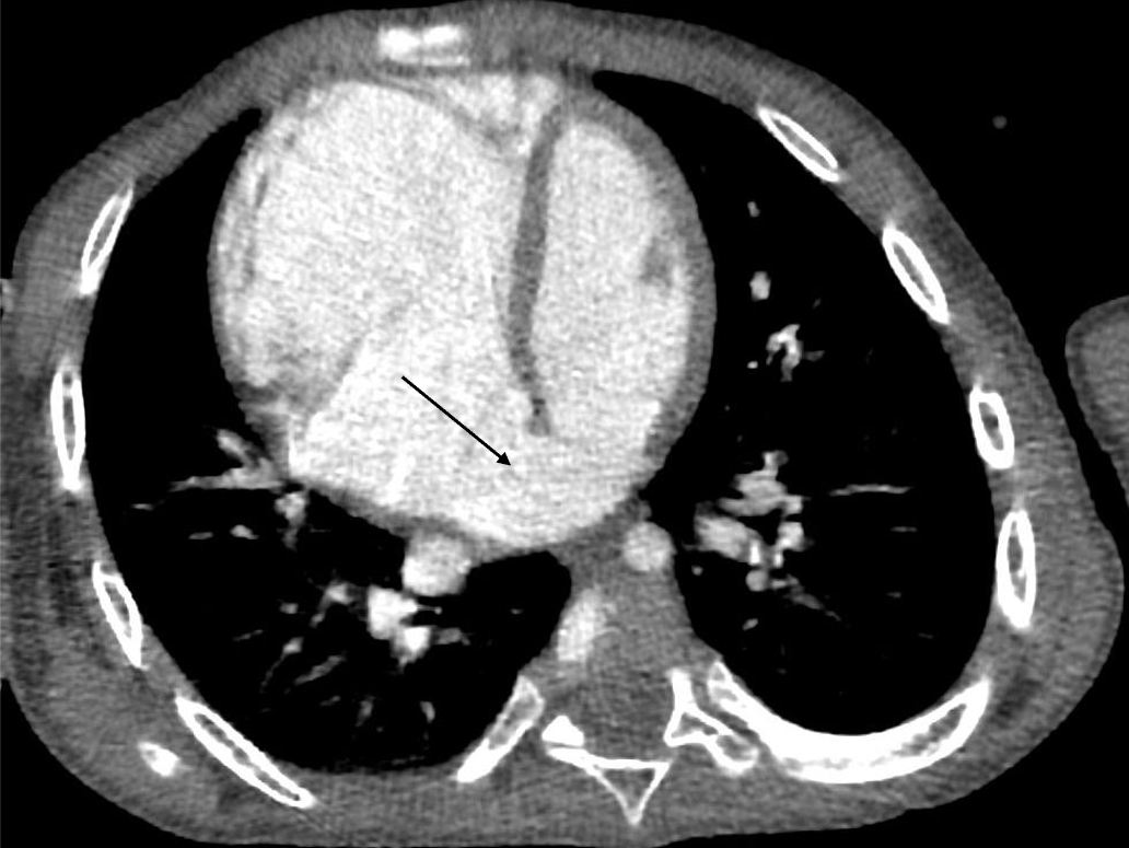
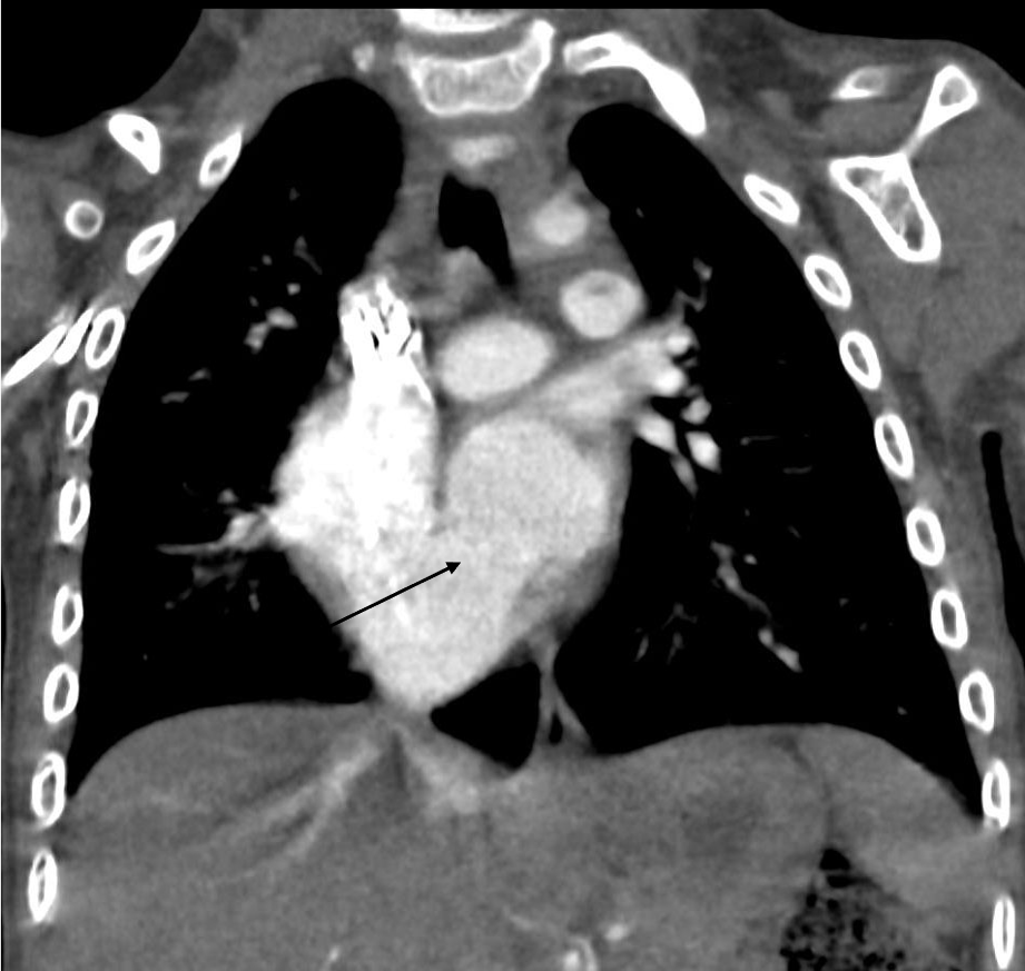
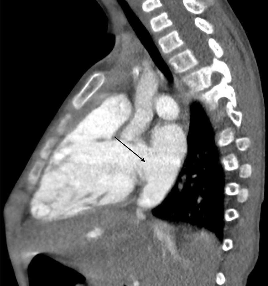
心房中隔欠損術前の造影CT
施設名: 日本医科大学武蔵小杉病院
執筆者: 放射線科 安井 大祐 先生
作成年月: 2025年10月
※ 効能又は効果、用法及び用量、警告・禁忌を含む注意事項等情報等については、電子添文をご参照ください。
はじめに
症例背景
3歳、 男児、 9kg、 心房中隔欠損
検査目的
心房中隔欠損症精査目的
使用造影剤
イオプロミド300注シリンジ100mL「BYL」 / 25mL
症例解説
染色体異常が判明している男児。肺炎で入院した際のレントゲンで右心系の拡大を指摘された。心臓超音波検査にて心房間の短絡が疑われた。心房中隔欠損症疑いの精査、肺静脈還流異常の除外目的で造影CT検査が施行された。
撮影プロトコル
表は横スクロールでご覧いただけます。
| 使用機器 | CT機種名/メーカー名 | Aquilion PRIME / CANON |
| CT検出器の列数/スライス数 | 80列 | |
| ワークステーション名/メーカー名 | ZIOステーション2PLUS / アミン株式会社 |
撮影条件
表は横スクロールでご覧いただけます。
| 撮影時相 | 単純 | 45s |
| 管電圧 (kV) | 100 | 80 |
| (AECの設定) | SD10 | SD10 |
| ビーム幅(mm) | 40 | 40 |
| 撮影スライス厚(mm) | 3 | 3 |
| 焦点サイズ | Small | Small |
| スキャンモード | ヘリカル | ヘリカル |
| スキャン速度(sec/rot) | 0.35 | 0.35 |
| ピッチ | 0.813 | 0.813 |
| スキャン範囲 | 胸(心臓) | 胸(心臓) |
| 撮影時間 (sec) | 2.29 | 2.29 |
| 撮影方向 | 頭⇒足 | 頭⇒足 |
再構成条件
表は横スクロールでご覧いただけます。
| 単純 | 動脈相 | |
|---|---|---|
| ルーチン:再構成スライス厚/間隔 (mm/mm) | ー | 0.5 / 0.3 |
| ルーチン:再構成関数/逐次近似応用法 | ー | FC13/ AIDR 3D Mild |
| 3D/MPR用:再構成スライス厚/間隔 (mm/mm) | ー | 0.5 / 0.3 |
| 3D/MPR用:再構成関数/逐次近似応用法 | ー | FC13 / AIDR 3D Mild |
造影条件
| 自動注入器機種名/メーカー名 | GX7 / Nemoto |
| 造影剤名 | イオプロミド300注シリンジ |
表は横スクロールでご覧いただけます。
| 撮影プロトコル | 動脈相 |
| 造影剤:投与量 (mL) | 25 |
| 造影剤:注入速度 (mL/sec)、注入時間 (sec) | 1.5、17 |
| 生食:投与量 (mL) | ー |
| 生食:注入速度 (mL/sec)、注入時間 (sec) | ー |
| スキャンタイミング | Prep scan |
| ディレイタイム | 造影剤注入開始14秒後 |
| 留置針サイズ (G) | 24 |
| 注入圧リミット (kg/cm2) | 8 |
造影剤は生理食塩水で1.5倍希釈している。
当該疾患の診断における造影CTの役割
心房中隔欠損症は左右の心房に短絡を生じる先天性の病態である。欠損部位により、二次孔欠損、一次孔欠損および冠静脈洞欠損に大別される。まず身体所見、胸部レントゲン写真および心電図検査が行われ、解剖学的構造を評価するために、心エコー検査が施行される。心エコー検査で十分な情報が得られない場合、欠損孔の部位や形態を評価するために造影CTが施行される。最終的な治療方針の決定にはカテーテル検査が施行されることが多いが、あらかじめ病変の形態や解剖を把握するために造影CTは有用である。また肺静脈還流異常を合併することがあるため、その有無を評価することができる。短絡が小さいものについては経過観察が可能であるが、ある程度大きい病変に対しては治療が必要となる。治療はカテーテルによる閉鎖術、外科手術が挙げられる。カテーテルによる閉鎖術が選択される場合には、造影CTは治療計画用にも用いられる。その場合には、任意多断面再構成(MPR)やvolume rendering(VR)像などを活用する。
CT技術や撮像プロトコル設定について
小児に対する造影CT撮影においては、腎機能障害のリスクを低減させるため、造影剤の使用量を抑える必要がある。このため、本症例においては生理食塩水を用いて1.5倍に希釈した造影剤を投与した。またコントラストを向上させ、被曝を低減するため、低管電圧(80kV)を用いて撮影を行った。ノイズ低減のためには、逐次近似再構成法やディープラーニングを用いた再構成法などを使用することが有用である。またこれにより被曝を低減させることが可能となる。加えて成人と異なり、撮影中の体動に対する対策も重要である。当院では小児用の固定具を用いて撮影を行っている他、小児科医師の協力を得て必要に応じて鎮静下で撮影を行っている。
使用上の注意【電子添文より抜粋】
9.特定の背景を有する患者に関する注意
9.7 小児等
小児等を対象とした有効性及び安全性を指標とした臨床試験は実施していない。