症例・導⼊事例

※ご紹介する症例は臨床症例の一部を紹介したもので、全ての症例が同様な結果を示すわけではありません。

川崎病後の巨大冠動脈瘤評価

施設名: 新潟大学医歯学総合病院
執筆者: 放射線診断科 堀井 陽祐 先生
作成年月: 2025年9月

※ 効能又は効果、用法及び用量、警告・禁忌を含む注意事項等情報等については、電子添文をご参照ください。

はじめに

症例背景

10歳代、女性、71kg、冠動脈瘤

検査目的

川崎病後の冠動脈瘤の経過観察

使用造影剤

イオプロミド370注シリンジ100mL「BYL」

症例解説

10歳代女性、3歳時に発症した川崎病による冠動脈瘤の症例。冠動脈瘤が残存し、冠動脈CTAや心筋血流シンチグラフィーなどの画像検査にて経過観察されている。今回冠動脈の形態評価のため冠動脈CTAが施行された。

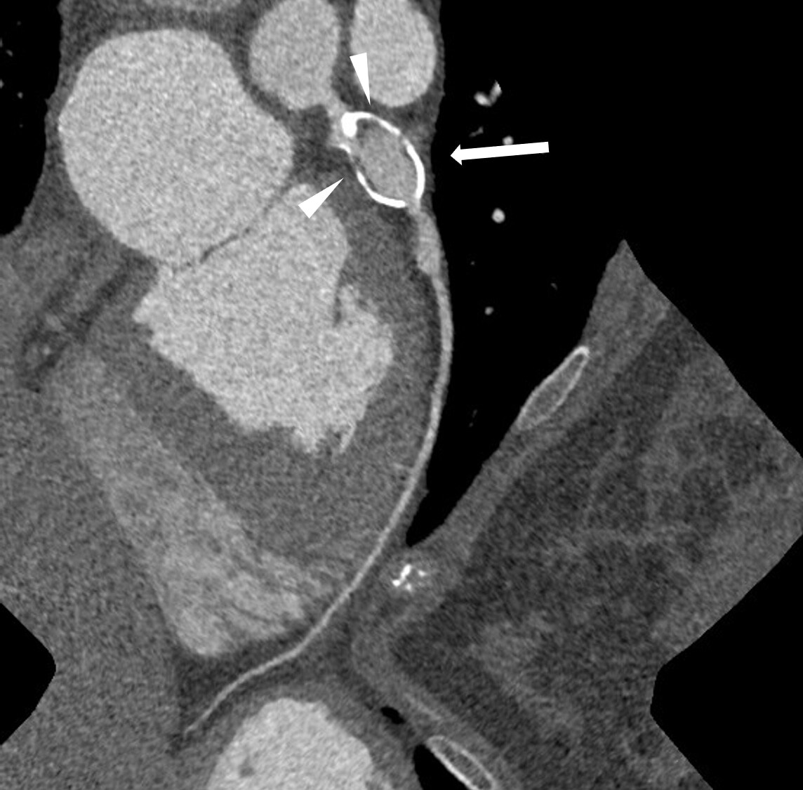
画像所見

図1.VR
#6に石灰化を伴った16㎜大の巨大動脈瘤(➡)、#7に石灰化を伴わない動脈瘤(➤)を認める。

図2.Angiographic View
#6に石灰化を伴った16㎜大の巨大動脈瘤(➡)、#7に石灰化を伴わない動脈瘤(➤)を認める。

図3.cMRP
#6動脈瘤には石灰化を認め、内部には血栓と思われるLDAを伴う。近位には石灰化による軽度狭窄が疑われる。

図4.201Tl心筋血流シンチグラフィー
Stress、Rest、Washout rateにて明らかな集積低下はなく、虚血を示唆する所見は認めない。

撮影プロトコル

表は横スクロールでご覧いただけます。

使用機器CT機種名/メーカー名SOMATOM Force / SIEMENS
CT検出器の列数/スライス数96列/192スライス ×2
ワークステーション名/メーカー名ZioStation REVORAS / ザイオソフト

撮影条件

表は横スクロールでご覧いただけます。

撮影時相単純(胸部)単純(カルシウムスコア)動脈相
管電圧 (kV)

100 Sn

120

100

AEC (Quality ref.mAs)

400

80 (Ref. 120 kV)

320 (Ref. 100 kV)

撮影スライス厚 (mm)

0.6×192

1.2×38

0.6×152

スキャンモード

Helical

Step&shoot

Step&shoot

スキャン速度 (sec/rot)

0.5

0.25

0.25

ピッチ

0.9

スキャン範囲

胸部

心臓

心臓

撮影時間 (sec)

3

5

5

撮影方向

頭⇒足

頭⇒足

頭⇒足

再構成条件

表は横スクロールでご覧いただけます。

 単純(胸部)単純(カルシウムスコア)動脈相
ルーチン:再構成スライス厚/間隔 (mm/mm)5 / 53 / 3
ルーチン:再構成関数/逐次近似応用法Bf44 / ADMIRE3Qr36
3D/MPR用:再構成スライス厚/間隔 (mm/mm)0.6 / 0.3
3D/MPR用:再構成関数/逐次近似応用法Bv44 / ADMIRE2

造影条件

自動注入器機種名/メーカー名デュアルショットGX7 / 根本杏林堂
造影剤名イオプロミド370注シリンジ

表は横スクロールでご覧いただけます。

撮影プロトコル動脈相
造影剤: Fractional dose (mgI/kg/sec)25.9
造影剤: 注入時間 (sec)10
生食: 投与量 (mL)30
生食: 注入速度 Fractional dose (mgI/kg/sec)25.9
スキャンタイミングTI法
ディレイタイム造影剤注入開始からピーク時間+3秒後
留置針サイズ (G)20
注入圧リミット (kg/cm²)12

川崎病は乳幼児に発症し、冠動脈瘤の形成を伴った場合、拡張や狭窄の評価を含む長期的なフォローアップが必要です。冠動脈CTは、非侵襲的に冠動脈の形態を高解像度で評価できる有用な手段ですが、小児や長期的なフォローアップが必要になるため、被ばく線量の最適化が重要です。当院では、心拍数制御が困難な小児にも対応できるよう、Dual sorce CTによる高い時間分解能と被ばくを低減するためStep&shoot撮影を用い、逐次再構成法や適切なプロトコル選択により、診断能を損なうことなく低線量撮影を心がけています。造影剤は体重に応じて適切に調整し、必要に応じて鎮静を行い、動きによるアーチファクトを最小限に抑えます。特に右冠動脈起始部や左前下行枝への瘤の有無・形態・内腔狭窄の評価を重視して撮影しています。

当該疾患の診断における造影CTの役割

川崎病は乳幼児に発症する全身性血管炎であり、冠動脈瘤を合併することがあります。冠動脈瘤の有無拡張・狭窄などの形態変化を評価するために、冠動脈CTは有用な検査です。小児では被ばくへの配慮が特に重要であり、撮影には低線量技術の活用が不可欠です。また動脈瘤が残存する場合には長期的な経過観察が必要となり、繰り返し撮影されるため、低被曝で検査を行うことが重要です。具体的には、体格に応じた管電圧・電流の調整、逐次再構成法やディープラーニング再構成の使用、被ばく範囲の最小化などを行います。また、冠動脈の描出能を高めるため、心拍数を安定させた上でのECG同期撮影を基本としますが、年齢や心拍数に応じて可能な限り前向きECG同期下での撮影の使用を選択します。また冠動脈評価に造影剤は必須であるため、体重に応じた適正量を確保し、注入速度にも配慮します。以上の点を踏まえ、診断に必要十分な画質と最小限の被ばくを両立することを目指して撮影を行っています。

CT技術や撮像プロトコル設定について

当院では川崎病に伴う冠動脈病変の評価において、SOMATOM Force(Dual source CT)を用い、年齢や心拍数に応じた最適なプロトコル設定に努めています。被ばくを抑えつつ診断能を確保する目的で、Step and shootモードを用いて、可能な限り前向きECG同期下で撮影を行います。また、90もしくは100kVなどの低管電圧設定と逐次近似再構成(ADMIRE)を併用することで、低被ばくと高画質の両立を図っています。造影剤は体重に応じてヨード量を調整し、適切な濃度・注入速度で冠動脈を明瞭に描出できるよう工夫しています。プロトコル設定にあたっては、診断目的、年齢、心拍数、体格に応じた柔軟な調整を行い、必要十分な画像情報が得られるよう撮影条件を最適化しています。

使用上の注意【電子添文より抜粋】

  • 9.特定の背景を有する患者に関する注意

    9.7 小児等
    小児等を対象とした有効性及び安全性を指標とした臨床試験は実施していない。