症例・導⼊事例
※ご紹介する症例は臨床症例の一部を紹介したもので、全ての症例が同様な結果を示すわけではありません。
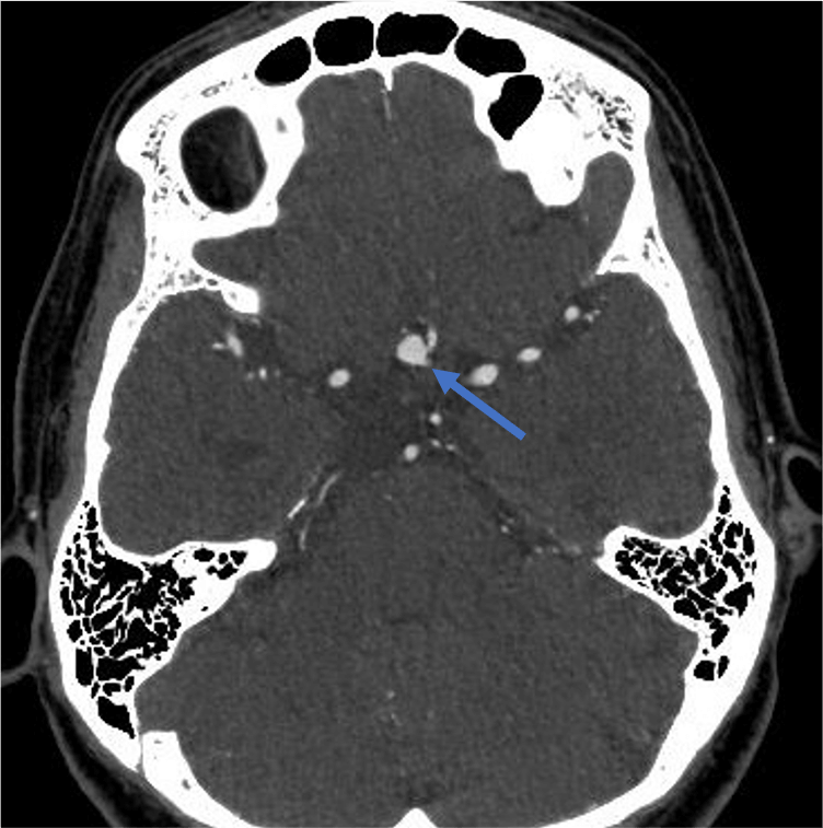
頭部CTAでのブレブを伴った前交通動脈瘤の1例
施設名: 新潟大学医歯学総合病院
執筆者: 放射線診断科 佐藤 健 先生、医療技術部放射線部門 倉元 達矢 先生、放射線診断科 淡路 正則 先生
作成年月: 2025年9月
※ 効能又は効果、用法及び用量、警告・禁忌を含む注意事項等情報等については、電子添文をご参照ください。
はじめに
症例背景
60歳代、女性、58kg、前交通動脈瘤
検査目的
前交通動脈瘤の精査目的に頭部CTAを施行
使用造影剤
イオプロミド370注シリンジ100mL「BYL」 / 67mL
症例解説
症例は60代女性。めまいを主訴に近医脳神経外科を受診した。高血圧を認めたほか頭部MRIで前交通動脈瘤を指摘され、精査・加療目的で当院脳神経外科を紹介受診した。頭部CTAでは前交通動脈にブレブを伴う6mm大の嚢状動脈瘤を認めた。検討会、本人との相談にて、クリッピング術の方針となった。検査2ヶ月後に開頭クリッピング術が施行され、合併症なく退院した。その後、再発なく経過している。
撮影プロトコル
表は横スクロールでご覧いただけます。
| 使用機器 | CT機種名/メーカー名 | Aquilion Precision / Canon |
| CT検出器の列数/スライス数 | 160列 | |
| ワークステーション名/メーカー名 | Ziostation REVORAS / ザイオソフト |
撮影条件
表は横スクロールでご覧いただけます。
| 撮影時相 | 単純(実質) | 単純(マスク) | 動脈相 | 静脈相 | 造影(実質) |
| 管電圧 (kV) | 120 | 120 | 120 | 120 | 120 |
| AEC | SD 2.3 | SD 4 | SD 4 | SD 4 | SD 2.3 |
| (AECの設定) | Volume EC | Volume EC | Volume EC | Volume EC | Volume EC |
| 撮影スライス厚 (mm) | 0.5×40 | 0.25×160 | 0.25×160 | 0.25×160 | 0.5×40 |
| 焦点サイズ (mm) | 0.6×1.3 | 0.6×0.6 | 0.6×0.6 | 0.6×0.6 | 0.6×1.3 |
| スキャンモード | Helical | Helical | Helical | Helical | Helical |
| スキャン速度(sec/rot) | 1 | 0.5 | 0.5 | 0.5 | 1 |
| ピッチ | 0.625 | 1.381 | 1.381 | 1.381 | 0.625 |
| スキャン範囲 | 頭部 | 頭部 | 頭部 | 頭部 | 頭部 |
| 撮影時間 (sec) | 16 | 2 | 2 | 2 | 16 |
| 撮影方向 | 足⇒頭 | 足⇒頭 | 足⇒頭 | 足⇒頭 | 足⇒頭 |
再構成条件
表は横スクロールでご覧いただけます。
| 単純(実質) | 単純(マスク) | 動脈相 | 静脈相 | 造影(実質) | |
| ルーチン:再構成スライス厚/間隔 (mm/mm) | 4 / 4 | ー | ー | ー | 4 / 4 |
| ルーチン:再構成関数/逐次近似応用法 | FC64 / AIDR 3D eMild | ー | ー | ー | FC64 / AIDR 3D eMild |
| 3D/MPR用:再構成スライス厚/間隔 (mm/mm) | 0.5 / 0.25 | 0.5 / 0.25 | 0.5 / 0.25 | 0.5 / 0.25 | 0.5 / 0.25 |
| 3D/MPR用:再構成関数/逐次近似応用法 | FC64 / AIDR 3D eStandard | AiCE BrainCTA Standard | AiCE BrainCTA Standard | AiCE BrainCTA Standard | FC64 / AIDR 3D eStandard |
造影条件
| 自動注入器機種名/メーカー名 | デュアルショットGX7 / 根本杏林堂 |
| 造影剤名 | イオプロミド370注シリンジ |
表は横スクロールでご覧いただけます。
| 撮影プロトコル | 動脈相 | 静脈相 | 造影(実質) |
| 造影剤:Fractional dose (mgI/kg/sec) | 22.2 | ー | |
| 造影剤:注入時間 (sec) | 20 | ー | |
| 生食:投与量 (mL) | 30 | ー | |
| 生食:注入速度Fractional dose (mgI/kg/sec) | 22.2 | ー | |
| スキャンタイミング | BT法(総頚動脈/マニュアル) | ー | |
| ディレイタイム | ー | 動脈相撮影後14秒後 | 造影剤注入開始90秒後 |
| 留置針サイズ (G) | 22 | ||
| 注入圧リミット (kg/cm2) | 12 | ||
当該疾患の診断における造影CTの役割
無症候性に脳動脈瘤が発見された場合、治療の適応を判断するためには、破裂リスクと治療リスクを天秤にかけて、リスクとベネフィットを慎重に検討する必要があります。破裂リスクを高める要因として、動脈瘤の大きさ・部位・形状、高血圧、喫煙、家族歴などが知られており、治療方針の決定においては画像検査(MRAやCTA)による動脈瘤の評価が重要となります。
動脈瘤の形状に関しては、不整な膨らみ(ブレブ)がある場合、破裂リスクが約1.6倍高まることが知られています。ただし、ブレブは小さな突出として認められることもあるため、詳細な評価には高い空間分解能を有するCTAが有用です。
提示症例は、ブレブを有する前交通動脈瘤のケースですが、CTA・MRAの両方で動脈瘤の不整な形態は視認可能です。ただし、CTAの方がより詳細にブレブを描出できていることがわかります。
脳動脈瘤の形状評価に関しては、CTAは有用ですが、被曝や造影剤アレルギーのリスクも伴うため、まずはリスクの少ないMRAによる局所診断を行い、必要に応じて詳細な評価のためにCTAを検討するのが適切です。
CT技術や撮像プロトコル設定について
使用したCT装置Aquilion Precisionは、検出器サイズが0.25mmかつX線の焦点が極小焦点であり、血管や骨構造などの微細な構造を明瞭に描出できる高精細CT装置である。一方で、検出器が高精細であるがゆえにX線の検出効率が低く、画像ノイズが発生しやすいという課題もある。これに対し、Deep Learningを用いたノイズ除去再構成技術であるAiCEを併用することで、ノイズを抑えながら、穿通枝レベルの細血管や動脈瘤の形態を明瞭に描出することが可能となっている。そのため、脳神経外科医師からは本装置を指定した検査依頼が非常に多く寄せられている。
当院では頭部血管CT撮影において、単純(実質)、単純(マスク)、動脈相、静脈相、造影(実質)の各相を撮影し、サブトラクション機能を用いて動脈、静脈の3D再構成を行っている。造影剤の注入速度の設定には、患者体重によらず一定のTime density curveを得るために、Fractional doseを採用している。また、動静脈の描出には動脈相と静脈相の2相撮影を行っており、造影剤の注入時間はやや長めに設定している。動脈相の撮影タイミングの決定には、多血性病変への濃染を考慮しTest injection法ではなくBolus tracking法を採用し、C4レベルでの総頚動脈の染まりを確認し撮影を行っている。
使用上の注意【電子添文より抜粋】
9.特定の背景を有する患者に関する注意
9.1 合併症・既往歴等のある患者
9.1.11 高血圧症の患者
血圧上昇等、症状が悪化するおそれがある。9.8 高齢者
患者の状態を観察しながら使用量を必要最小限にするなど慎重に投与すること。本剤は主として、腎臓から排泄されるが、高齢者では腎機能が 低下していることが多いため、高い血中濃度が持続するおそれがある。[8.6、9.2.1、9.2.2 参照]