症例・導⼊事例

※ご紹介する症例は臨床症例の一部を紹介したもので、全ての症例が同様な結果を示すわけではありません。

希釈テストインジェクション法を用いた心臓CT検査

施設名: 愛媛大学医学部附属病院
執筆者: 放射線科 小林 祐介 先生、診療支援部診療放射線部門 西山 光 先生
作成年月:2025年9月

※ 効能又は効果、用法及び用量、警告・禁忌を含む注意事項等情報等については、電子添文をご参照ください。

はじめに

症例背景

70歳代、女性、50kg、安静時狭心症

検査目的

狭心症(夜間安静時胸痛)の精査

使用造影剤

イオプロミド370注シリンジ100mL「BYL」 / 37.5mL

症例解説

他院にてPCI歴あり、通院加療中の患者。ニトロ舌下にて経過しない夜間胸痛が認められ、当院へ紹介となった。狭心症の精査で心臓CTを施行したところ、有意狭窄やハイリスクプラークは認められなかった。LCX#11のステント内再狭窄も認めず、冠動脈の器質的狭窄は除外された。副所見として、右上肺静脈の左房開口部腹側から細い血管構造を認め、左房内の造影剤ジェットに連続し、小さなシャントが確認された。

画像所見

図1.希釈TI法 (概念図)
造影前のCT値が50HU、20%希釈造影剤のテストピークCT値が150HUであった場合、本番撮影(350HUを目標)の希釈率は60%となる。

図2.本症例希釈TI時のTACと本番希釈率の計算式
希釈TIテストで20%造影剤でCT値がベース(45HU)から(136.4HU上昇し)181.4HUになった。本番のCT値を400HUに設定した場合、CT値がベース(45HU)から(355HU上昇しすれば)400HUとなる。よって、本番の造影剤希釈率を355/136.4 =2.6倍の52%、(5%刻みでしか入力できないため)繰り上げて55%とする。

図3.アンギオグラフィックビュー
良好に造影されている。冠動脈に有意狭窄なし。

図4.動脈相RCA、LAD、LCX
冠動脈に有意狭窄や動脈硬化性プラークを認めない。

図5.左房から細い血管構造
右上肺静脈の左房開口部腹側から細い血管構造が起始。左房中隔を下降

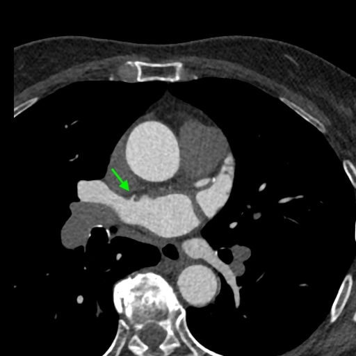
図6.左房内への造影剤ジェット疑い
造影剤ジェット。左心系は造影され、右心系は造影されてないタイミングで撮影されているため見られる所見。希釈TI法によってタイミング、造影効果が適切に管理されている。

撮影プロトコル

表は横スクロールでご覧いただけます。

使用機器CT機種名/メーカー名SOMATOM Force / Siemens Healthineers
CT検出器の列数/スライス数192×2 detector
ワークステーション名/メーカー名Synogo.via / Siemens Healthineers ,SYNAPSE VINCENT / FUJIFILM

撮影条件

表は横スクロールでご覧いただけます。

撮影時相単純(カルシウムスコア)心臓CT(動脈相)
管電圧 (kV)120100
AEConon
(AECの設定)80216(Ref.kV90)
ビーム幅0.6*1600.6*192
撮影スライス厚 (mm)30.75
焦点サイズLargeLarge
スキャンモードAxialHelical
スキャン速度 (sec/rot)0.250.25
ピッチ0.15
スキャン範囲心臓心臓CT
撮影時間 (sec)54
撮影方向頭→足頭→足

再構成条件

表は横スクロールでご覧いただけます。


 
単純(カルシウムスコア)心臓CT(動脈相)
ルーチン:再構成スライス厚/間隔 (mm/mm)3 / 30.75 / 0.4
ルーチン:再構成関数/逐次近似応用法Qr36 / FBPBv40 / ADMIRE2
3D/MPR用:再構成スライス厚/間隔 (mm/mm)NA0.75 / 0.4
3D/MPR用:再構成関数/逐次近似応用法NABv40 / ADMIRE2

造影条件

自動注入器機種名/メーカー名Stellant D Dual Flow / Bayer
造影剤名イオプロミド370注シリンジ

表は横スクロールでご覧いただけます。

撮影プロトコル心臓CT(動脈相)
造影剤:投与量 (mL)NA
造影剤:注入速度 (mL/sec)、注入時間 (sec)希釈TI法 (図2参照)
生食:投与量 (mL)希釈TI法 (図2参照)
生食:注入速度 (mL/sec)、注入時間 (sec)希釈TI法 (図2参照)
スキャンタイミング希釈TI法
ディレイタイムNA
留置針サイズ (G)20
注入圧リミット (psi)225

希釈TI法では、生理食塩水が患者一人あたり100~150mL必要となる。Stellant D Dual Flowは最大200mLまで充填可能であり、本法の実施を可能にしている。なお、希釈率は5%刻みでの設定となるため、端数が生じた場合には切り上げて設定するようにしている。

当該疾患の診断における造影CTの役割

冠動脈CTは、非侵襲的に冠動脈の解剖学的情報を描出できる手法として広く知られている。特に冠動脈疾患に対し高い陰性的中率を有し、2022年の日本循環器学会ガイドラインでは中等度の検査前確立を有する患者における初期検査として位置付けられている。冠動脈の狭窄のみならず、プラーク性状や体積によるリスク評価や、PCI後のステントやCABG後のバイパスといった治療後評価も可能であり、また心房/心室中隔欠損、冠動脈起始異常、大血管奇形などの先天性心疾患においても、CTから得られる解剖学的情報は診断や治療方針において有用である。

CT技術や撮像プロトコル設定について

心臓CTにおける造影法として、多くの施設でボーラストラッキング法やテストインジェクション(TI)法が用いられている。これらの手法は、冠動脈が最も造影される造影ピークのタイミングを的確に捉えるのに優れている。
一方、造影剤量の設定には体重を指標とするのが一般的である。体重に基づいて決定された造影剤量は、造影ピーク時のCT値と相関があるが、心臓CTにおいては心室・心房内の容量や心機能の影響を受けるため、想定したCT値から乖離する場合がある。
この乖離を補正する方法として、当院では希釈TI法を採用している。希釈TI法では、希釈した造影剤をテストインジェクション撮影に使用し、本番撮影と同一の注入速度・注入量でテストを実施する。これにより、テストと本番でのTAC(Time Activity Curve)を一致させることができ、テスト時に得られた造影ピークのCT値から、本番時に必要な希釈率(造影剤量)を正確に算出することが可能である。

本手法のデメリットとしては、生理食塩水を100~150mL必要とする点が挙げられる。生理食塩水を100mLまでしかセットできないインジェクターを使用している施設では、導入が困難である。
当院で使用しているStellant D Dual Flowは、生理食塩水を最大200mLまでセット可能であり、高濃度造影剤であるイオプロミド370との併用により、全体重の患者に対応できる体制を整えている。

使用上の注意【電子添文より抜粋】

  • 9.特定の背景を有する患者に関する注意

    9.8 高齢者
    患者の状態を観察しながら使用量を必要最小限にするなど慎重に投与すること。本剤は主として、腎臓から排泄されるが、高齢者では腎機能が低下していることが多いため、高い血中濃度が持続するおそれがある。[8.6、9.2.1、9.2.2 参照]