症例・導⼊事例
※ご紹介する症例は臨床症例の一部を紹介したもので、全ての症例が同様な結果を示すわけではありません。
喀血に対する気管支動脈塞栓術の術前プランニング
施設名: 愛知医科大学病院
執筆者: 放射線医学講座 岡田 浩章 先生、中央放射線部 早川 祐樹 先生
作成年月: 2025年9月
※ 効能又は効果、用法及び用量、警告・禁忌を含む注意事項等情報等については、電子添文をご参照ください。
はじめに
症例背景
80歳代、男性、52kg、膿胸術後、喀血
検査目的
喀血を主訴に当院受診された患者。BAE術前精査目的に胸部大血管CT施行
使用造影剤
イオプロミド370注シリンジ100mL「BYL」/ 53mL
症例解説
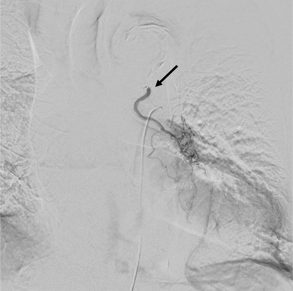
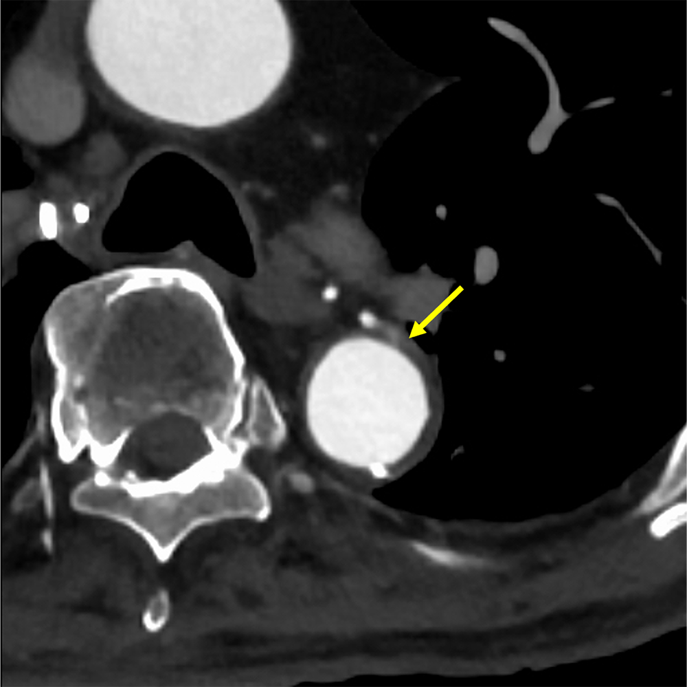
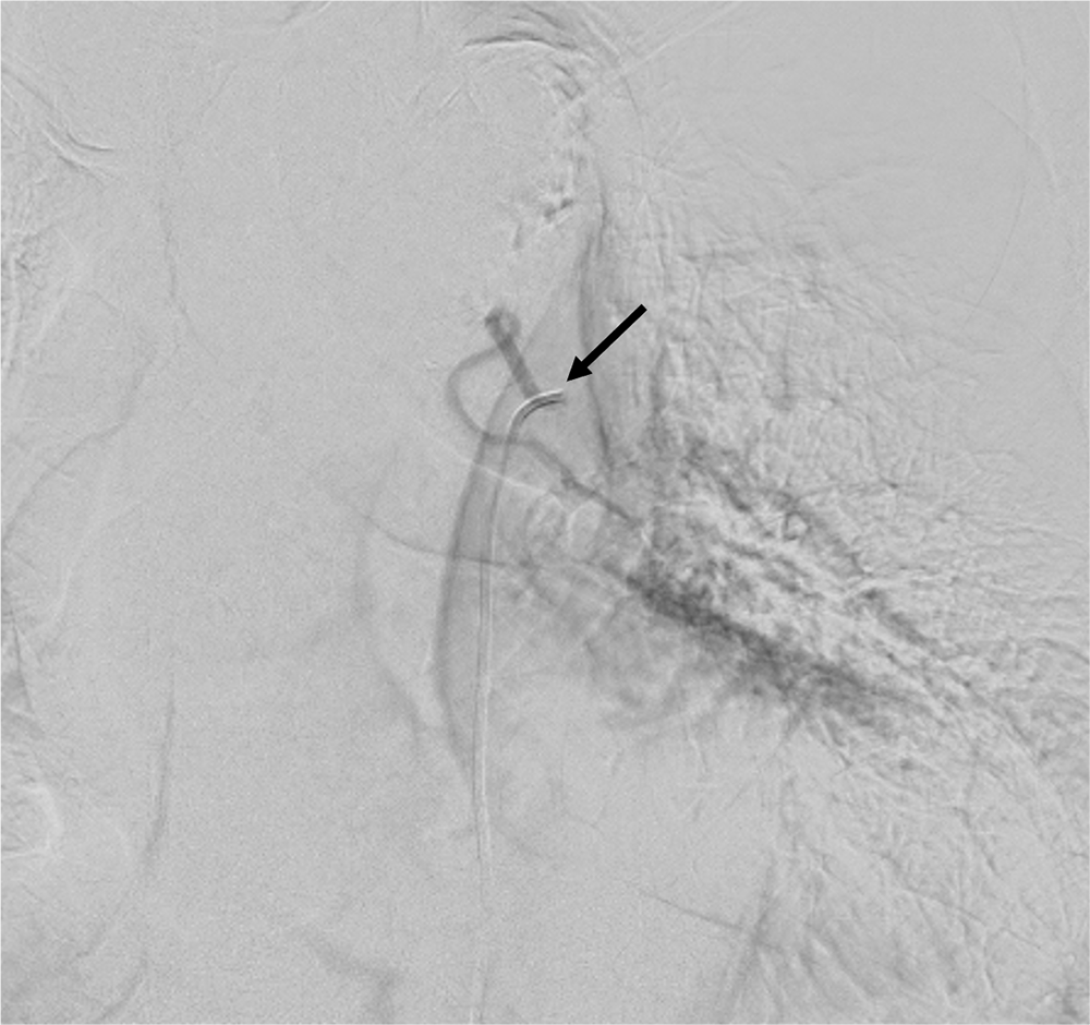
症例は左膿胸に対し術後の既往がある患者。少量の喀血が継続することを主訴に呼吸器内科を受診し、造影CTが施行された。左肺下葉にはすりガラス陰影とconsolidationがみられ、喀血の吸い込み像と思われた。左気管支動脈は拡張していたが、起始部で高度狭窄が疑われた。BAE施行目的に当院放射線科に紹介された。
撮影プロトコル
表は横スクロールでご覧いただけます。
| 使用機器 | CT機種名/メーカー名 | Aquilion ONE / INSIGHT Edition / キヤノンメディカルシステムズ株式会社 |
| CT検出器の列数/スライス数 | 検出器列数:320列 / 最小スライス厚:0.5mm | |
| ワークステーション名/メーカー名 | Vitrea / キヤノンメディカルシステムズ株式会社 |
撮影条件
表は横スクロールでご覧いただけます。
| 撮影時相 | 単純 | テストインジェクション | 肺動脈相 | 気管支動脈相 |
|---|---|---|---|---|
| 管電圧 (kV) | 120 | 100 | 100 | 100 |
| AEC | SD:13.5 | 50mA | SD:13.5 | SD:13.5 |
| ビーム幅 | 0.5mm×160 | 0.5mm×8 | 0.5mm×160 | 0.5mm×160 |
| 撮影スライス厚 (mm) | 0.5 | 0.5 | 0.5 | 0.5 |
| 焦点サイズ | L | L | L | L |
| スキャンモード | Helical | Dynamic(2秒間隔) | Helical | Helical |
| スキャン速度(sec/rot) | 0.35 | 0.5 | 0.35 | 0.35 |
| ピッチ | 91(Standard) | - | 91(Standard) | 91(Standard) |
| スキャン範囲 | 胸部 | 肺動脈、大動脈レベル | 胸部 | 胸部 |
| 撮影時間 (sec) | 2.5 | 7 | 3.5 | 3.5 |
| 撮影方向 | 頭⇒足 | 固定 | 足⇒頭 | 足⇒頭 |
再構成条件
表は横スクロールでご覧いただけます。
| 単純 | テストインジェクション | 肺動脈相 | 気管支動脈相 | |
|---|---|---|---|---|
| ルーチン:再構成スライス厚/間隔 (mm/mm) | 5 / 5 | 4 | 5 / 5 | 5 / 5 |
| ルーチン:再構成関数/逐次近似応用法 | Body / AiCE L1 | Body / FBP | Body / AiCE L1 | Body / AiCE L1 |
| 3D/MPR用:再構成スライス厚/間隔 (mm/mm) | ー | ー | ー | ー |
| 3D/MPR用:再構成関数/逐次近似応用法 | ー | ー | ー | ー |
| ※追加項目欄 (mm/mm) | 2 / 2 | ー | 2 / 2 | 2 / 2 |
| ※追加項目欄 | Body / AiCE L1 | ー | Body / AiCE L1 | Body / AiCE L1 |
造影条件
表は横スクロールでご覧いただけます。
| 自動注入器機種名/メーカー名 | Dual Shot GX7 / Nemoto |
|---|---|
| 造影剤名 | イオプロミド370注シリンジ |
表は横スクロールでご覧いただけます。
| 撮影プロトコル | テストインジェクション | 肺動脈相 | 気管支動脈相 |
|---|---|---|---|
| 造影剤:投与量 (mL) | 7 | 46 | |
| 造影剤:注入時間 (mL/sec) | 3.5 | 3.5 | |
| 生食:投与量 (mL) | 25 | 30 | |
| 生食:注入速度 (mL/sec) | 3.5 | 3.5 | |
| スキャンタイミング | 固定法 | ||
| ディレイタイム | 投与10秒後 | 肺動脈と上行大動脈のTDC交点からマイナス4秒 | 上行大動脈と下行大動脈のTDC交点からプラス6秒 |
| 留置針サイズ (G) | 20 | ||
| 注入圧リミット (kg/cm2) | 12 | ||
テストインジェクション法を用いて肺動脈、上行大動脈、下行大動脈にROIを設定し、各ROIのTime Density Curveより本スキャンのDelay timeを決定した。1相目(肺動脈相)は気管支動脈に造影剤が到達前、2相目(気管支動脈相)は肺動脈の造影剤がWash outされ、気管支動脈のCT値がピークに達するタイミングを狙い設定した。テストインジェクション法を用いることで、喀血の原因となりえる責任血管が、至適タイミングで撮影可能となるよう工夫した。
当該疾患の診断における造影CTの役割
喀血の原因となる慢性炎症性疾患は両肺に多発していることが多く、さらに責任部位として重要な体動脈は大動脈から多数分岐しているほか、鎖骨下動脈からの分枝(内胸動脈や外側胸動脈など)も含め多岐にわたる。このため、カテーテル治療で多数の血管を選択造影する必要があり、造影CTでこれらの血管起始部や走行を把握することは術前評価として重要である。
今回は臨床的に左気管支動脈が原因として疑われていたが、起始部が極めて細径であった。カテーテル治療が困難と思われたが術前造影CTを施行し、thin sliceにて起始部のレベル・分岐方向を同定することができた。このことで必要十分な塞栓術が施行され、治療を完遂することができた症例である。
また本症例では未掲載だが、肺動脈相を撮像することで、肺動脈瘤の有無に関しての評価も行なっている。
CT技術や撮像プロトコル設定について
撮影範囲全体を至適タイミングで高速スキャン可能な320列CT装置を使用し、再構成には高分解能かつ、高いノイズ低減効果を得ることができるDeep Learning再構成技術を用いた。
また、テストインジェクション法を用いて患者ごとの至適撮影タイミングを逃さないプロトコルとした。肺動脈、上行大動脈、下行大動脈にROIを設定し、各ROIのTime Density Curveより、本スキャンの1相目(肺動脈相)は気管支動脈に造影剤が到達前、2相目(気管支動脈相)は肺動脈の造影剤がWash outされ、気管支動脈のCT値がピークに達するタイミングを狙いDelay Timeを設定した。テストインジェクション法を用いることで、喀血の原因となりえる責任血管が、至適タイミングで撮影可能となるよう工夫した。
本スキャンの造影剤注入条件は、当院の冠状動脈CTの条件を参考に、ヨード量23mgI/kg/sec、注入時間13秒とした。本撮影プロトコルの造影剤使用量はテストインジェクションと本スキャン合わせて平均55mlであり、造影剤減量に努めたプロトコルであると考える。
使用上の注意【電子添文より抜粋】
9.特定の背景を有する患者に関する注意
9.8 高齢者
患者の状態を観察しながら使用量を必要最小限にするなど慎重に投与すること。本剤は主として、腎臓から排泄されるが、高齢者では腎機能が低下していることが多いため、高い血中濃度が持続するおそれがある。[8.6、9.2.1、9.2.2 参照]