症例・導⼊事例
※ご紹介する症例は臨床症例の一部を紹介したもので、全ての症例が同様な結果を示すわけではありません。
前立腺癌の評価におけるダイナミックMRIの役割
施設名: 広島大学
執筆者: 放射線診断科 本田 有紀子 先生
作成年月:2025年9月
※ 効能又は効果、用法及び用量、警告・禁忌を含む注意事項等情報等については、電子添文をご参照ください。
はじめに
前立腺癌は高齢男性に多く、近年はPSA高値例でMRIを行い、ターゲットを含めた系統的生検による診断・治療につながる症例が増えている。評価にはT2強調像と拡散強調像を組み合わせたbiparametric(bp) MRIと、さらにダイナミック造影を加えるmultiparametric(mp) MRIがあり、bpMRIでも高い診断能が報告されているが 1,2)、臨床的にはdynamic MRI の評価が有用な場面も多く経験される 3,4,5)。
- 1) Choi MH et al:Prebiopsy biparametric MRI for clinically significant prostate cancer detection with PI-RADS Version 2:a mul ticenter study.AJR Am J Roentgenol 212:839-846, 2019
- 2) Di Campli E et al:Diagnostic accuracy of biparametric vs multiparametric MRI in clinically significant prostate cancer:compar ison be-tween readers with different experience. Eur J Radiol 101:17-23, 2018
-
3)
Druskin SC, Ward R, Purysko AS, et al. Dynamic contrast enhanced magnetic resonance imaging improves classification of prostate lesions: A study of pathological outcomes on targeted prostate biopsy. J Urol. 2017;198(6):1301‒8.
https://doi.org/10.1016/j.juro.2017.07.011. - 4) Roy C et al. Comparative sensitivities of functional MRI sequences in detection of local recurrence of prostate carcinoma after radical prostatectomy or external-beam radiotherapy.AJR Am J Roentgenol. 2013 Apr;200(4):W361-8. doi: 10.2214/AJR.12.9106.
- 5) Soylu FN et al. Seminal vesicle invasion in prostate cancer: evaluation by using multiparametric endorectal MR imaging. Radiology. 2013 Jun;267(3):797-806. doi: 10.1148/radiol.13121319. Epub 2013 Feb 25.
ガドビストを用いたMRI検査の方法
手順と撮像 Sequence Parameter
撮像パラメータ
表は横スクロールでご覧いただけます。
| 撮像名 | 撮像シーケンス | 撮像時間 (min:sec) | TR (msec) | TE (msec) | FA (deg) | b-value (sec/mm2) | Fat Sat (種類) | ETL,TF (数) | Parallel Imaging (倍速数) | NEX, Averages (加算回数) |
|---|---|---|---|---|---|---|---|---|---|---|
| T2WI | 2D FSE | 3:12 | 5800 | 100 | 90 | ー | ー | 17 | 1.8 | 2 |
| 3D T2WI | 3D FSE | 7:48 | 2500 | 190 | 90 | ー | ー | 92 | 2 | 1 |
| DWI | EPI | 4:02 | 6200 | 85 | 90 | 1000 | (H-Sinc) | 80 | 2 | 12 |
| DWI | EPI | 4:02 | 6200 | 80 | 90 | 2000 | (H-Sinc) | 72 | 1.3 | 12 |
| T1WI | 2D FSE | 2:40 | 700 | 10.4 | 90 | ー | ー | 4 | 1.7 | 1 |
| Dynamic 15phase | 3D RSSG | 2:46 1phase10.4s | 3.5 | 1.5 | 15 | ー | (H-Sinc) | ー | 2 | 1 |
| Gd 3D GRE | 3D RSSG | 0:41 | 3.5 | 1.5 | 15 | ー | (H-Sinc) | ー | 1.5 | 1 |
表は横スクロールでご覧いただけます。
| 撮像名 | FOV (mm) | 面内分解能 (mm) | リード方向 (matrix数) | 位相方向 (step数) | Slice厚 (mm) | Slice Gap (mm) | Slice枚数 |
|---|---|---|---|---|---|---|---|
| T2WI | 240 | 0.75 | 320 | 256 | 3 | 0 | 30 |
| 3D T2WI | 240 | 0.75 | 320 | 320 | 1 | -0.5 | 320 |
| DWI | 240 | 1.88 | 128 | 128 | 3 | 0 | 30 |
| DWI | 240 | 2.5 | 98 | 128 | 3 | 0 | 30 |
| T1WI | 240 | 0.83 | 288 | 256 | 3 | 0 | 30 |
| Dynamic 15phase | 240 | 1.25 | 192 | 160 | 3 | 0 | 896 |
| Gd 3D GRE | 240 | 1.33 | 180 | 180 | 1.6 | -0.8 | 144 |
表は横スクロールでご覧いただけます。
| MRI装置 | TRILLIUM OVAL 3.0T Fujifilm |
|---|---|
| 自動注入器 | ソニックショット 7NEMOTO |
| ワークステーション | ー |
表は横スクロールでご覧いただけます。
| 造影条件 | 注入量(mL) | 注入速度(mL/sec) | 撮像タイミング | |
| ガドビスト | 5.8 | 1 | 造影剤投与後10.4s間隔 15phase | |
| 後押し用 生理食塩水 | 20 | 1 |
症例
症例背景
60歳代、男性、58kg、前立腺癌(cT2a)
検診でPSA4.9、かかりつけ医受診し、前立腺肥大、慢性前立腺炎疑われるも、前立腺癌の可能性もあるとして、前立腺MRIが施行された。
症例解説
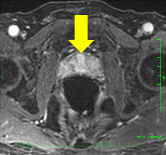
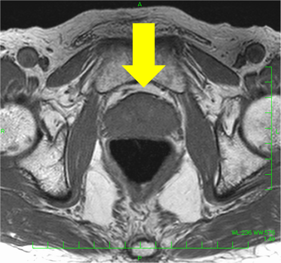
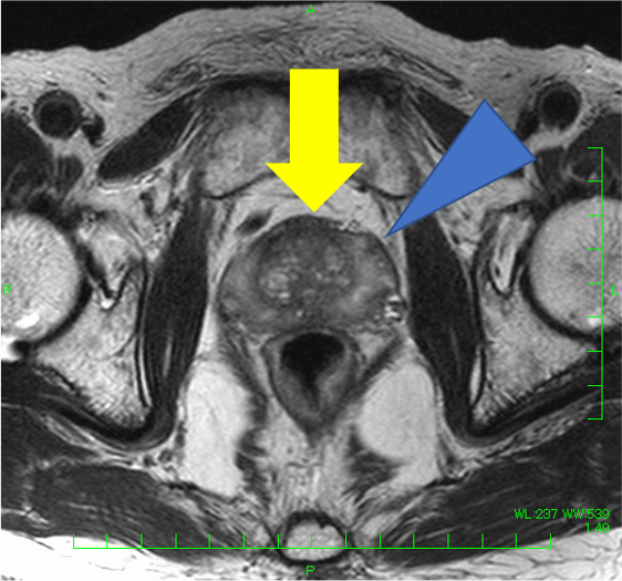
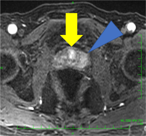
検診でPSA 4.9と上昇があり、MRIが施行された。左移行域に14mmの病変を認め、T2強調像で低信号(PI-RADS v2.1スコア4)、拡散強調像で高信号・Appar-ent Diffusion Coefficient(ADC)低下(スコア4)、ダイナミックで早期濃染を示し、PI-RADS v2.1でカテゴリー4と判定され前立腺癌が疑われた。一方、辺縁域はT2強調像で不均一低信号を呈したが、結節様の拡散強調像での強い高信号、ADC低下はなく、ダイナミックMRIでも結節様の早期濃染はなく、びまん性遷延性の染まりがみられたことから炎症性変化と判断した。生検が行われ、癌の診断であった。その後、ロボット支援下根治的前立腺摘除術が施行され、MRIと一致した前立腺癌の診断を得た(Gleason score 4+3=7, pT2N0)。
当該疾患の診断における造影MRIの役割
前立腺MRIでは、近年は造影なしのbpMRIでも診断精度が高いとされるが、臨床的には造影を含むmpMRIが有用な場面を経験することも多い。
本症例では、左移行域腹側の病変(14mm、T2強調像:低信号(スコア4)、拡散強調像:高信号・ADC:低下(スコア4)、ダイナミック:早期濃染: PI-RADS v2.1カテゴリー4)は、前立腺癌の判定が容易であった。一方、辺縁域はT2強調像でびまん性に不均一な低信号を呈し、癌の評価が難しい方であった。左辺縁域に小結節様のT2強調像にて低信号がみられ、拡散強調像やADCの所見は明瞭でなく癌の可能性は低いと考えたが、T2強調像での信号が明瞭で、癌を否定してよいのか悩ましい。本症例では、ダイナミックMRIも施行しており、左移行域腹側病変は早期濃染―washout パターンを呈したが、左辺縁域の小結節に早期濃染はなく、両側辺縁域とも遷延性の染まりを認めたため、辺縁域に癌はなく、両側辺縁域に炎症性変化があると断定できた。病理的にも、MRIで指摘した病変部のみ癌が同定され、その他の領域に癌はなかった。
ダイナミック造影は、拡散強調像が腸管ガスや蠕動により評価が困難な場合、小病変の有無がT2強調像、拡散強調像だけでは確信度が低い場合に有用である(特に中心域や尖部)。特に尖部病変の有無は、断端陽性率に関わるため、評価の責任を担う者としては精度の高い情報が多い方が助かる。また、精嚢浸潤や術後再発では造影が有用ということは多く知られている。カンファレンスなどで症例の供覧時に、泌尿器科医ともこの点を共有していく必要があると考えている。
9.特定の背景を有する患者に関する注意【電子添文より抜粋】
9.8 高齢者
患者の状態を十分に観察しながら慎重に投与すること。一般に生理機能が低下している。