症例・導⼊事例
※ご紹介する症例は臨床症例の一部を紹介したもので、全ての症例が同様な結果を示すわけではありません。
可変注入法を用いた造影CTによる肝細胞癌の診断
施設名: 群馬大学医学部附属病院
執筆者: 放射線診断核医学科 横田 貴之 先生、髙瀬 彩 先生
作成年月:2025年9月
※ 効能又は効果、用法及び用量、警告・禁忌を含む注意事項等情報等については、電子添文をご参照ください。
はじめに
症例背景
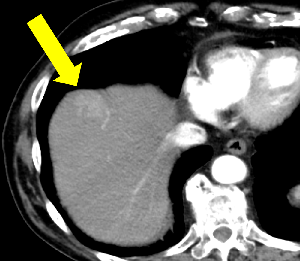
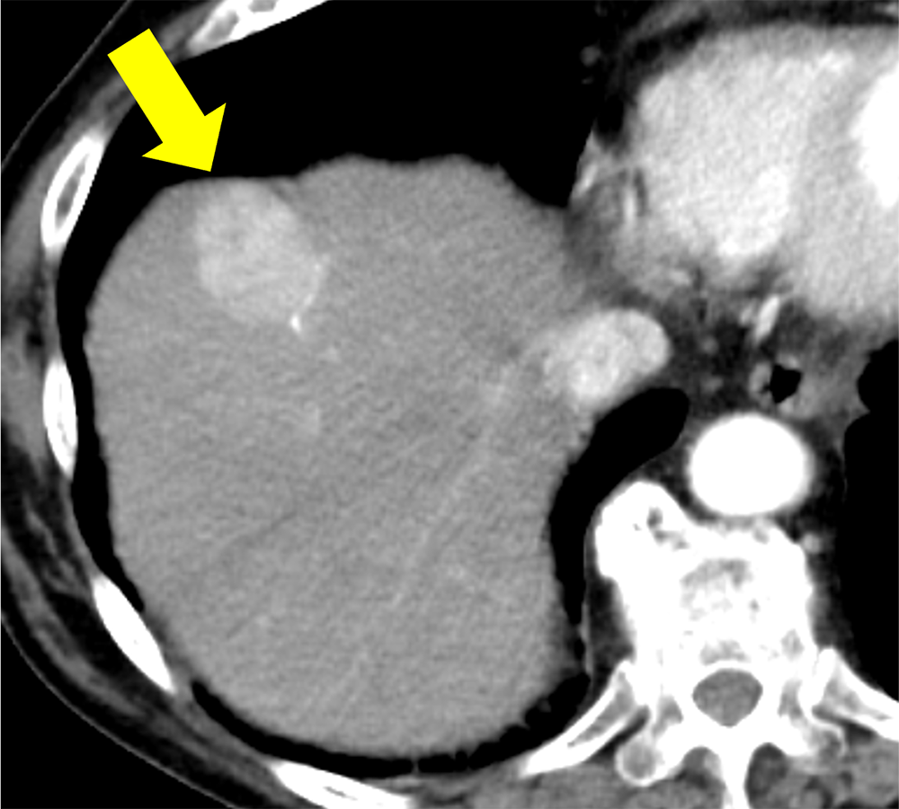
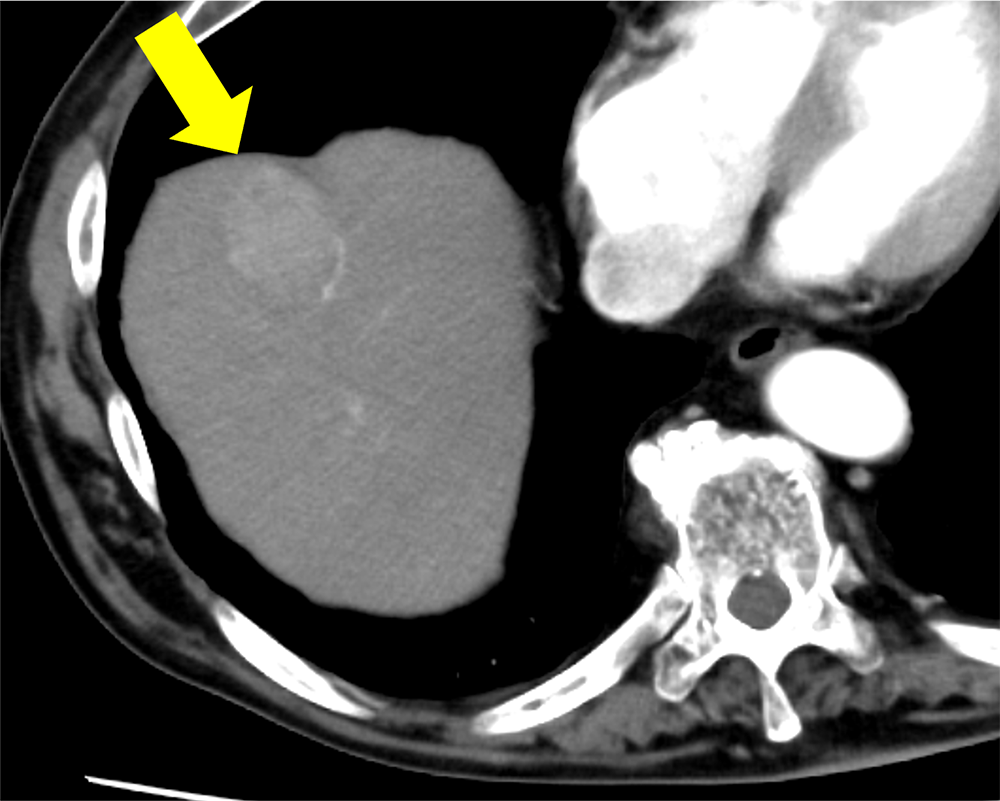
70歳代、男性、63kg、肝細胞癌
検査目的
腹部超音波検査で指摘された肝腫瘤の精査目的に造影CT施行
使用造影剤
イオプロミド300注シリンジ100mL「BYL」/ 76mL
症例解説
アルコール性肝障害の既往あり。人間ドックの腹部超音波検査で肝腫瘤を指摘され、撮像された造影CTで肝S8の多血化肝細胞癌と診断とされた。単発の病変であり、腹腔鏡下肝S8亜区域切除術が施行された。術後3日目に腹壁瘢痕ヘルニアによる小腸閉塞があり、イレウス解除および腹壁瘢痕ヘルニア修復術が施行された。以降は腫瘍の再発なく経過観察を継続している。
撮影プロトコル
表は横スクロールでご覧いただけます。
| 使用機器 | CT機種名/メーカー名 | Revolution HD / GEヘルスケアジャパン |
| CT検出器の列数/スライス数 | 64列 | |
| ワークステーション名/メーカー名 | SYNAPSE VINCENT / 富士フィルムメディカル |
撮影条件
表は横スクロールでご覧いただけます。
| 撮影時相 | 単純 | 早期動脈相 | 後期動脈相 | 門脈相 | 平衡相 |
|---|---|---|---|---|---|
| 管電圧 (kV) | 120 | 80 | 80 | 80 | 80 |
| AEC | NI : 12.0 | NI : 12.0 | NI : 12.0 | NI : 12.0 | NI : 12.0 |
| ビーム幅 (mm) | 40 | 40 | 40 | 40 | 40 |
| 撮影スライス厚 (mm) | 0.625 | 0.625 | 0.625 | 0.625 | 0.625 |
| 焦点サイズ | Large | Large | Large | Large | Large |
| スキャンモード | Helical | Helical | Helical | Helical | Helical |
| スキャン速度(sec/rot) | 0.5 | 0.5 | 0.5 | 0.5 | 0.5 |
| ピッチ | 0.984 | 0.984 | 0.984 | 0.984 | 0.984 |
| スキャン範囲 | 上腹部 | 上腹部 | 上腹部 | 胸部から骨盤 | 上腹部 |
| 撮影時間 (sec) | 4 | 4 | 4 | 9 | 4 |
| 撮影方向 | 頭→足 | 頭→足 | 頭→足 | 頭→足 | 頭→足 |
再構成条件
表は横スクロールでご覧いただけます。
| 単純 | 早期動脈相 | 後期動脈相 | 門脈相 | 平衡相 | |
|---|---|---|---|---|---|
| ルーチン:再構成スライス厚/間隔 (mm/mm) | 5.0 / 5.0 | 5.0 / 5.0 | 5.0 / 5.0 | 5.0 / 5.0 | 5.0 / 5.0 |
| ルーチン:再構成関数/逐次近似応用法 | Stnd / ASiR-V20% | Stnd / ASiR-V20% | Stnd / ASiR-V20% | Stnd / ASiR-V20% | Stnd / ASiR-V20% |
| 3D/MPR用:再構成スライス厚/間隔 (mm/mm) | 0.625 / 0.625 | 0.625 / 0.625 | 0.625 / 0.625 | 0.625 / 0.625 | 0.625 / 0.625 |
| 3D/MPR用:再構成関数/逐次近似応用法 | Stnd / ASiR-V 40% | Stnd / ASiR-V 40% | Stnd / ASiR-V 40% | Stnd / ASiR-V 40% | Stnd / ASiR-V 40% |
造影条件
表は横スクロールでご覧いただけます。
| 自動注入器機種名/メーカー名 | デュアルショットGX7 / 根本杏林堂 |
|---|---|
| 造影剤名 | イオプロミド300注シリンジ |
表は横スクロールでご覧いただけます。
| 撮影プロトコル | 早期動脈相 | 後期動脈相 | 門脈相 | 平衡相 |
| 造影剤:投与量 (mgI/Kg) | 360 | ー | ||
| 造影剤:注入時間 (sec) | 30(可変注入法 可変定数0.3) | ー | ||
| 生食:投与量 (mL) | ー | ー | ||
| 生食:注入速度 (mL/sec)、注入時間 (sec) | ー | ー | ||
| スキャンタイミング | 固定法 | |||
| ディレイタイム | 造影剤注入開始 25秒後 | 造影剤注入開始 40秒後 | 造影剤注入開始 70秒後 | 造影剤注入開始 180秒後 |
| 留置針サイズ (G) | 22 | |||
| 注入圧リミット (kg/cm2) | 12 | |||
造影剤の注入方法は、注入速度が緩やかに減速する可変注入法を使用している。可変定数とは造影剤注入速度の変化率を表したものであり、注入終了時速度/注入開始時速度で定義され、今回の注入では0.3に設定した(本症例では開始時速度3.9mL/sec→終了時速度1.2mL/secで連続的に速度を減少させた)。造影剤量が600mgI/kgでは開始時の注入速度が過度に上昇してしまうため、低管電圧を使用し、体重あたりのヨード量を減量して注入速度を抑えている。
当該疾患の診断における造影CTの役割
肝細胞癌の診療において、早期肝細胞癌と進行肝細胞癌(多血化肝細胞癌)を鑑別することが治療戦略の選択において重要である。これらの鑑別は動脈供血の多寡によって行われ、ダイナミック造影CTやダイナミック造影MRI、造影超音波検査などを行い、背景肝に対する腫瘤の造影効果を評価する。低分化型肝細胞癌においても動脈供血は背景肝よりも大きいが、中分化型肝細胞癌と比べて程度が小さく、早期癌と誤認しないよう留意する必要がある。また不適切なタイミングでの撮像は誤判定を生じうるため、適切なタイミングでの撮像が重要である。MRIのほうがコントラスト分解能に優れ、またEOB-MRIでは肝細胞相を撮像することで小さな病変の検出にも優れる。一方でCTは空間分解能に優れ、腫瘍の評価とともに血管解剖を把握しやすい利点があり、質的診断と合わせてその後の治療戦略の決定にも寄与する。つまり手術加療を念頭に置いた場合の血管3D構築による術前シミュレーションや、TACEを念頭に置いた場合の供血血管の同定など、治療前計画において重要な役割を担っている。
CT技術や撮像プロトコル設定について
今回の造影CTでは造影剤注入を一定速度で注入するのではなく、注入速度を連続的に減少させながら注入する可変注入を用いている。造影剤の総量や注入時間は変化させず、注入速度のみを変化させるため、通常注入と比べて注入開始時の速度は上昇し、終了時の速度は低下する。つまり注入の前半により多くの造影剤を注入し、後半に注入される造影剤は減少する。通常注入を行った場合、動脈相の撮像時点では注入された造影剤の一部は病変には到達しておらず、多血化の評価に活用されている造影剤量は想定よりも少ない可能性があるが、可変注入で注入前半に多くの造影剤を注入することで、より多くの造影剤を多血化の評価に活用することができる。また従来の注入法と比べて可変注入法では大動脈の造影効果のピークが前倒し、ピークのCT値も上昇する。これらにより多血化肝細胞癌の造影効果が上昇し、腫瘍と背景肝のコントラストが上昇する。また従来法では早期動脈相では腫瘍の造影効果は通常得られないが、可変注入法では早期動脈相から腫瘍の造影効果が得られ、まだCT値が上昇していない背景肝とのコントラストが良好となり、多血化肝細胞癌の検出能を向上させる可能性がある。
使用上の注意【電子添文より抜粋】
9.特定の背景を有する患者に関する注意
9.8 高齢者
患者の状態を観察しながら使用量を必要最小限にするなど慎重に投与すること。本剤は主として、腎臓から排泄されるが、高齢者では腎機能が低下していることが多いため、高い血中濃度が持続するおそれがある。[8.6、9.2.1、9.2.2 参照]