症例・導⼊事例
※ご紹介する症例は臨床症例の一部を紹介したもので、全ての症例が同様な結果を示すわけではありません。
Photon counting CTによる憩室出血の1例
施設名: 名古屋市立大学病院
執筆者: 放射線診断・IVR科 加藤 真司 先生
作成年月:2025年9月
※ 効能又は効果、用法及び用量、警告・禁忌を含む注意事項等情報等については、電子添文をご参照ください。
はじめに
症例背景
70歳代、女性、51kg、上行結腸憩室出血
検査目的
複数回の結腸憩室出血での入院歴がある方。今回も多量の血便があり、入院となった。出血源の検索目的に造影CTが施行された。
使用造影剤
イオプロミド370注シリンジ100mL「BYL」 / 84mL
症例解説
血便があり、当院消化器内科に入院となった。第3病日に下部消化管内視鏡を行うも出血源は不明であった。第4病日に再度血便があり、造影CTを施行すると上行結腸憩室からの活動性出血を認めたため、速やかに緊急TAEを施行した。血管造影で回結腸動脈の分枝からextravasationを認め、責任動脈をコイル塞栓した。術後、再出血、Hb値の低下を認めず、第13病日に退院となった。
撮影プロトコル
表は横スクロールでご覧いただけます。
| 使用機器 | CT機種名/メーカー名 | NEOTOM Alpha/SIEMENS |
| CT検出器の列数/スライス数 | 288 row | |
| ワークステーション名/メーカー名 | ー |
撮影条件
表は横スクロールでご覧いただけます。
| 撮影時相 | 単純 | 動脈相 | 平衡相 |
| 管電圧 (kV) | 140 | 140 | 140 |
| AEC | CAREkev | CAREkev | CAREkev |
| (AECの設定) | IQ level 190 | IQ level 300 | IQ level 190 |
| ビーム幅 (mm) | 57.6 | 24 | 57.6 |
| 撮影スライス厚 (mm) | 0.4 | 0.2 | 0.4 |
| 焦点サイズ | 0.8×1.2 | 0.6×0.7 | 0.8×1.2 |
| スキャンモード | STANDARD | UHR | STANDARD |
| スキャン速度(sec/rot) | 0.5 | 0.5 | 0.5 |
| ピッチ | 0.8 | 0.8 | 0.8 |
| スキャン範囲 | 腹骨盤部 | 腹骨盤部 | 腹骨盤部 |
| 撮影時間 (sec) | 4 | 11 | 4 |
| 撮影方向 | 頭→足 | 頭→足 | 頭→足 |
再構成条件
表は横スクロールでご覧いただけます。
| 単純 | 動脈相 | 平衡相 | |
| ルーチン:再構成スライス厚/間隔 (mm/mm) | 5 / 5 | 1 / 1 | 1 / 1 |
| ルーチン:再構成関数/逐次近似応用法 | Qr40 / QIR2 | Qr60 / QIR2 | Qr40 / QIR2 |
| 3D/MPR用:再構成スライス厚/間隔 (mm/mm) | ー | 1 / 1 | ー |
| 3D/MPR用:再構成関数/逐次近似応用法 | ー | Qr60 / QIR2 | ー |
造影条件
| 自動注入器機種名/メーカー名 | Dual shoot GX7 / Nemoto |
| 造影剤名 | イオプロミド370注シリンジ |
表は横スクロールでご覧いただけます。
| 撮影プロトコル | 動脈相 | 平衡相 |
| 造影剤:投与量 (mL) | 84 | |
| 造影剤:注入時間 (sec) | 25 | |
| 生食:投与量 (mL) | ー | |
| 生食:注入速度 (mL/sec)、注入時間 (sec) | ー | |
| スキャンタイミング | BT法 (胸腹部大動脈/閾値150HU) | 固定法 |
| ディレイタイム | prep後6秒後 | 造影剤注入開始100秒後 |
| 留置針サイズ (G) | 22 | |
| 注入圧リミット (psi or kg/cm²) | 12 | |
当該疾患の診断における造影CTの役割
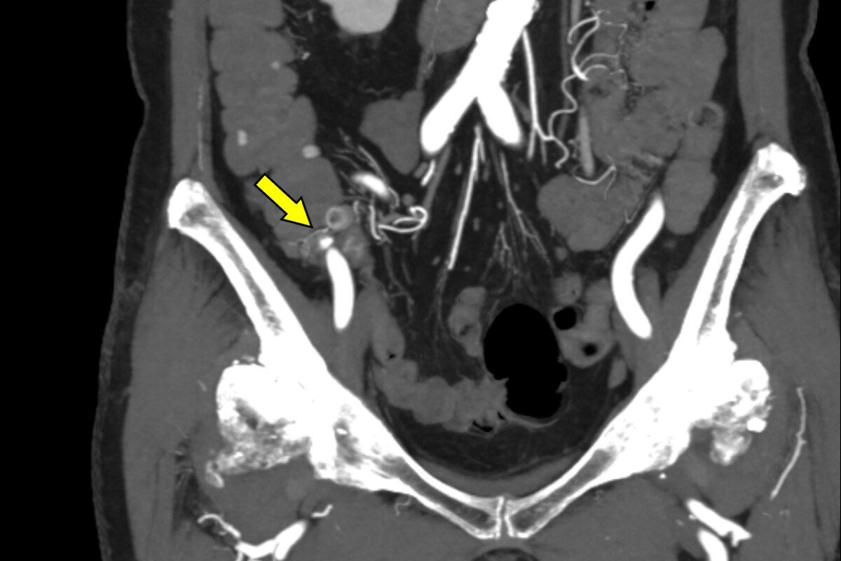
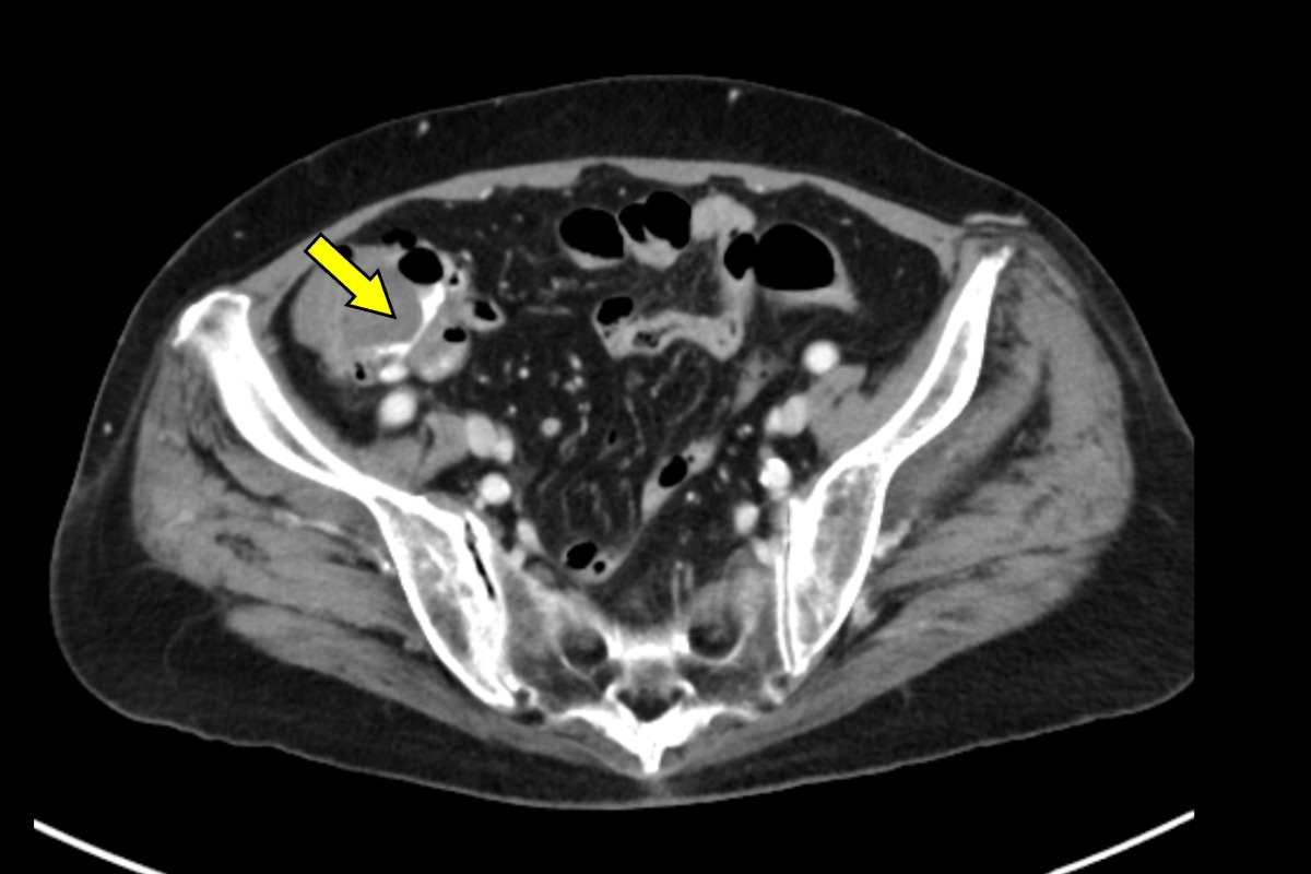
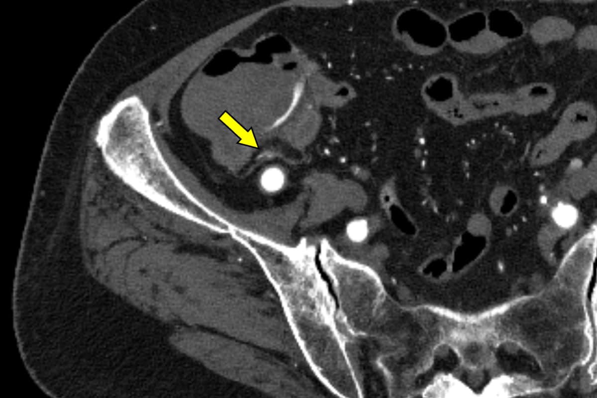
消化管出血では出血源を迅速かつ正確に同定することが診療上、不可欠である。内視鏡は有用であるものの、腸管の前処置を要し、観察に時間を要する他、出血が間欠的であれば診断が困難となる場合がある。これに対して造影CTは、非侵襲的かつ短時間で活動性出血の有無と局在を明確に描出できる。活動性出血があれば、動脈相から腸管内への造影剤の漏出を認め、静脈相や遅延相ではその造影剤漏出の拡大を確認することで、客観的に活動性出血を診断できる。さらに、造影CTで得られた情報に基づき責任血管を同定することで、後続の血管造影検査の効率が高まり、速やかに経カテーテル的動脈塞栓術(TAE)へと移行できる。当院では、造影CTで活動性出血が確認された結腸憩室出血に対して速やかにTAEを施行しており、その成功率向上に寄与している。一方で、出血が間欠的または少量の場合には描出が難しく、検査のタイミングによって診断能が左右されるという限界もある。それでも、結腸憩室出血において造影CTは診断と治療方針をつなぐ、重要な検査として位置付けられる。
CT技術や撮像プロトコル設定について
本症例ではPhoton Counting CT(PCCT)を用いた。PCCTは従来型CTに比べ空間分解能とコントラスト分解能が高く、少量の造影剤でも高精細な画像を得られることが特徴である。これにより微細なextravasationやそれに連続する責任動脈の描出が可能となり、診断精度を大きく高める。
撮像プロトコルは活動性出血が疑われる場合、動脈相と平衡相の2相を基本としている。ボーラストラッキングを用いて造影剤到達を正確に把握し、動脈相でextravasationを描出し、平衡相で造影剤漏出の拡大を確認することで、出血の有無と局在を診断している。
造影剤はイオプロミド370を使用し、25秒間で投与、投与速度は24mgI/kg/secとした。撮像はPrep直後に動脈相を、続いて100秒後に平衡相を撮像する設定とし、効率的に活動性出血の有無を把握できるよう工夫している。
PCCTによる高精細な画像はextravasationの検出にとどまらず、責任血管を描出することで標的血管の特定を容易にする。その結果、血管造影での探索時間が短縮され、経カテーテル動脈塞栓術(TAE)の迅速かつ確実な施行につながり、手技の成功率と効率を高めている。
使用上の注意【電子添文より抜粋】
9.特定の背景を有する患者に関する注意
9.8 高齢者
患者の状態を観察しながら使用量を必要最小限にするなど慎重に投与すること。本剤は主として、腎臓から排泄されるが、高齢者では腎機能が低下していることが多いため、高い血中濃度が持続するおそれがある。[8.6、9.2.1、9.2.2 参照]