症例・導⼊事例
※ご紹介する症例は臨床症例の一部を紹介したもので、全ての症例が同様な結果を示すわけではありません。
オスラー病に合併した膵動静脈奇形
施設名: 名古屋市立大学病院
執筆者: 放射線診断・IVR科 大場 翔太 先生
作成年月: 2025年9月
※ 効能又は効果、用法及び用量、警告・禁忌を含む注意事項等情報等については、電子添文をご参照ください。
はじめに
症例背景
50歳代、女性、51kg、膵動静脈奇形
検査目的
肺動静脈奇形の治療前の精査
使用造影剤
イオプロミド370注シリンジ100mL「BYL」 / 83mL
症例解説
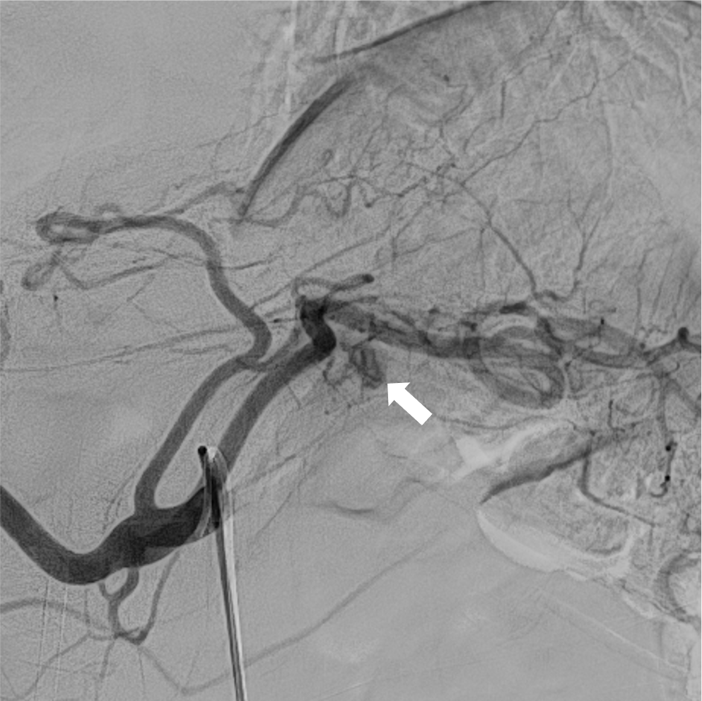
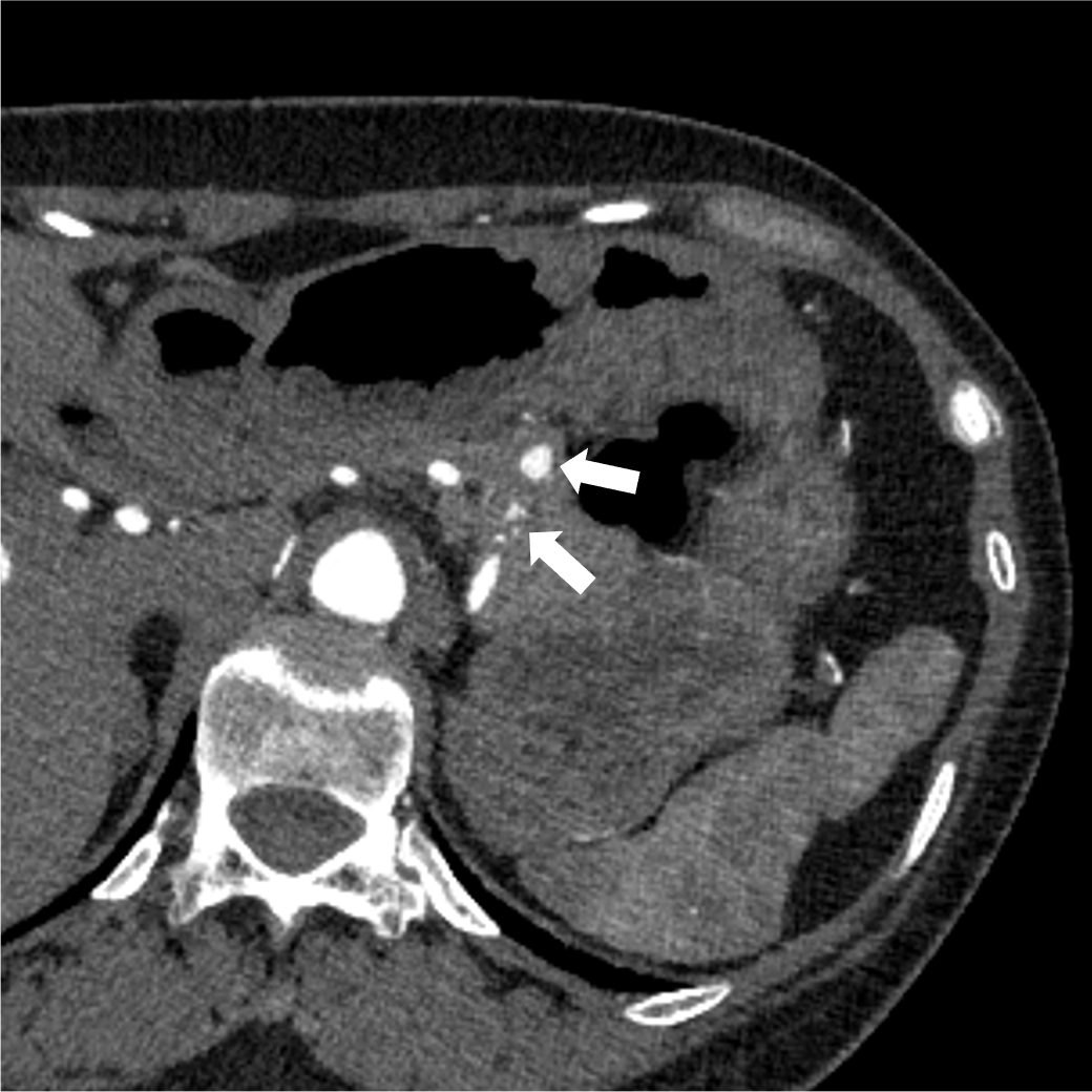
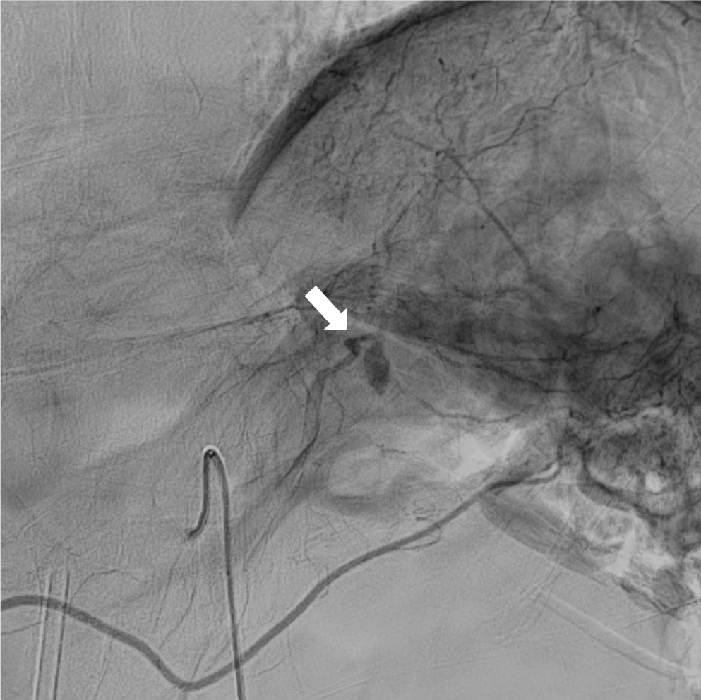
検診で指摘された肺病変のCT精査にて、肺の動静脈奇形(AVM)と診断された。精査および加療目的で当院に紹介され、術前精査のための造影CTを施行した。造影CTにて、膵尾部にAVMを認めた。その後、肺AVMに対するコイル塞栓術が施行され、その際に膵AVMも血管造影にて精査が行われた。膵AVMによる症状はなく経過観察とされ、外来にて定期的にフォローアップされている。
撮影プロトコル
表は横スクロールでご覧いただけます。
| 使用機器 | CT機種名/メーカー名 | NAEOTOM Alpha / Siemens Healthineers |
| CT検出器の列数/スライス数 | 288×0.2 | |
| ワークステーション名/メーカー名 | ー |
撮影条件
表は横スクロールでご覧いただけます。
| 撮影時相 | 動脈相 | 平衡相 |
| 管電圧 (kV) | 120 | 140 |
| AEC | CAREKeV | CAREKeV |
| (AECの設定) | IQlevel90 | IQlevel190 |
| ビーム幅 (mm) | 24 | 57.6 |
| 撮影スライス厚 (mm) | 0.2 | 0.4 |
| 焦点サイズ | 0.6×0.7 | 0.8×1.2 |
| スキャンモード | FS UHR | STANDARD |
| スキャン速度(sec/rot) | 0.25 | 0.25 |
| ピッチ | 2.5 | 1.2 |
| スキャン範囲 | 胸部 | 胸腹骨盤部 |
| 撮影時間 (sec) | 1 | 2 |
| 撮影方向 | 頭→足 | 頭→足 |
再構成条件
表は横スクロールでご覧いただけます。
| 動脈相 | 平衡相 | |
| ルーチン:再構成スライス厚/間隔 (mm/mm) | ー | ー |
| ルーチン:再構成関数/逐次近似応用法 | ー | ー |
| 3D/MPR用:再構成スライス厚/間隔 (mm/mm) | ー | ー |
| 3D/MPR用:再構成関数/逐次近似応用法 | ー | ー |
造影条件
| 自動注入器機種名/メーカー名 | デュアルショットGX7 / Nemoto |
| 造影剤名 | イオプロミド370注シリンジ |
表は横スクロールでご覧いただけます。
| 撮影プロトコル | 動脈相 | 平衡相 |
| 造影剤:投与量 (mgI/kg) | 600 | ー |
| 造影剤:注入時間 (mgI/kg/sec) | 24 | ー |
| 生食:投与量 (mL) | ー | ー |
| 生食:注入速度 (mL/sec)、注入時間 (sec) | ー | ー |
| スキャンタイミング | BT法 下行大動脈ROI 150 HU | ー |
| ディレイタイム | トリガー後7秒 | 造影剤注入開始100秒後 |
| 留置針サイズ (G) | 22 | |
| 注入圧リミット (kg/cm²) | 12 | |
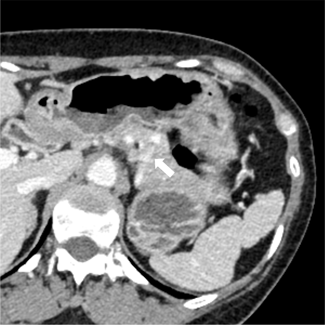
当該疾患の診断における造影CTの役割
オスラー病(遺伝性出血性毛細血管拡張症、HHT)は、全身の血管に異常を生じる、常染色体優性遺伝の遺伝性疾患であり、特に肺・脳・肝臓・消化管などの動静脈奇形(AVM)や、鼻出血、口・指・鼻などの毛細血管拡張を生じることで知られる。膵臓にも30-60%の患者に血管病変を生じるとされ、その約2/3が毛細血管拡張、約1/3がAVMと言われている。
単純CTでは膵臓の異常血管の描出は困難であり、造影CTは診断において重要である。膵臓のAVMにおいては、(1)拡張・蛇行した供血路、排血路といった異常血管の描出や、(2)動脈相で門脈系の血管の早期造影効果が認められ、診断のポイントとなる。造影CTは血管造影と比較して侵襲性が低く、膵実質の全体の評価にも適しているため、精査のみならず、フォローアップにも用いやすい。
CT技術や撮像プロトコル設定について
フォトンカウンティングCTは、従来と異なる検出器を使用することで、より高精細な撮影が可能になったCTである。そのため、より細かい血管や病変を把握できるようになることが期待されている。肺AVMと診断され、オスラー病が疑われる患者では、上述のように他臓器の血管病変を合併している可能性がある。そのため、造影CTにて肺AVMの精査を行う際には、スクリーニングや血管アクセスの評価も兼ねて腹骨盤部の撮影も施行している。