症例・導⼊事例
※ご紹介する症例は臨床症例の一部を紹介したもので、全ての症例が同様な結果を示すわけではありません。
膠芽腫の1例
施設名: 広島市立北部医療センター安佐市民病院
執筆者: 放射線診断科 岡田 直大 先生
作成年月:2025年7月
※ 効能又は効果、用法及び用量、警告・禁忌を含む注意事項等情報等については、電子添文をご参照ください。
はじめに
膠芽腫は高い増殖活性を有し、浸潤破壊性に進展する最も高悪性度の星細胞系腫瘍で、原発性脳腫瘍の9.1%と実質内腫瘍では最多である。非常に予後不良で平均生存期間は約1~2年とされている。症状はてんかん、局所神経症状、頭蓋内圧亢進症状(頭痛、嘔気・嘔吐、乳頭浮腫)、精神症状などが亜急性に進行する。出血を合併した場合には脳卒中様の症状を呈することもある。
ガドビストを用いたMRI検査の方法
手順と撮像 Sequence Parameter
撮像パラメータ
表は横スクロールでご覧いただけます。
| 撮像名 | 撮像シー ケンス | 撮像時間 | TR (msec) | TE (msec) | TI (msec) | FA (deg) | b-value (sec/mm2) | Fat Sat (種類) | ETL,TF (数) | Parallel Imaging (倍速数) | NEX,Averages (加算回数) |
| T2WI Ax PROPELLER | FSE PROPELLER | 1:36 | 6000 | 124 | ー | 160 | ー | ー | 24 | 2 | 1 |
| FLAIR Ax PROPELLER | FSE PROPELLER | 2:34 | 9000 | 124 | 2370 | 160 | ー | ー | 32 | 2 | 1 |
| DWI Ax b= 1000 | EPI | 0:40 | 5000 | 87.8 | ー | ー | 1000 | ー | ー | 2 | 2 |
| MRA Ax 3Slab | TOF-SPGR | 5:42 | 28 | 3.4 | ー | 20 | ー | Fat | ー | 1.75 | ー |
| MERGE Ax | GRE | 1:41 | 770 | 4.8 | ー | 20 | ー | ー | ー | ー | 1 |
| SWAN Ax | GRE | 4:38 | 74.2 | 47.7 | ー | 15 | ー | ー | ー | 2 | ー |
| 3D ASL PLD=2025 | 3D ASL | 1:47 | 4843 | 10.5 | 2025 | 155 | ー | ー | ー | ー | 2 |
| SPGR Ax 3D Pre | GRE Fast SPGR | 3:04 | 10 | 4.5 | ー | 15 | ー | special | ー | 1.75 | 1 |
| +Gd SPGR 3D Post | GRE Fast SPGR | 3:04 | 10 | 4.5 | ー | 15 | ー | special | ー | 1.75 | 1 |
| MRS SV TE=35 | PROBE-P | 3:00 | 1500 | 35 | ー | 90 | ー | ー | ー | ー | 8 |
| MRS SV TE=144 | PROBE-P | 3:00 | 1500 | 144 | ー | 90 | ー | ー | ー | ー | 8 |
表は横スクロールでご覧いただけます。
| 撮像名 | FOV (mm) | 面内分解能 (mm) | リード方向 (matrix数) | 位相方向 (step数) | Slice厚 (mm) | Slice Gap (mm) | Slice枚数 |
| T2WI Ax PROPELLER | 220 | 0.57*0.57 | 384 | 384 | 6 | 1.5 | 19 |
| FLAIR Ax PROPELLER | 220 | 0.76*0.76 | 288 | 288 | 6 | 1.5 | 19 |
| DWI Ax b= 1000 | 220 | 1.72*1.38 | RL 128 | AP 160 | 6 | 1.5 | 19 |
| MRA Ax 3Slab | 180 | 0.63*1.13 | RL 288 | AP 160 | 1.2 | 0.6 | 168 |
| MERGE Ax | 220 | 0.86*1.38 | AP 256 | AP 160 | 6 | 1.5 | 19 |
| SWAN Ax | 240 | 0.83*0.98 | AP 288 | RL 244 | 2.6 | -1.3 | 116 |
| 3D ASL PLD=2025 | 240 | ー | ー | ー | 4 | 0 | 36 |
| SPGR Ax 3D Pre | 220 | 0.69*1.15 | AP 320 | RL 192 | 1.2 | 0.6 | 304 |
| +Gd SPGR 3D Post | 220 | 0.69*1.15 | AP 320 | RL 192 | 1.2 | 0.6 | 304 |
| MRS SV TE=35 | ー | ー | ー | ー | ー | ー | ー |
| MRS SV TE=144 | ー | ー | ー | ー | ー | ー | ー |
| MRI装置 | Signa Explorer 1.5T MRI - GE Healthcare |
| 自動注入器 | Spectris Solaris EP - MEDRAD |
| ワークステーション | SYNAPSE VINCENT - FUJIFILM |
表は横スクロールでご覧いただけます。
| 造影条件 | 注入量(mL) | 注入速度(mL/sec) | 撮像タイミング | |
| ガドビスト | 5 | 手押し | ・造影T1強調画像(3D SPGR Ax.) →造影剤投与後2分 ・MRS SV(TE=35) →造影剤投与後6分 ・MRS SV(TR=144) →造影剤投与後10分 | |
| 後押し用 生理食塩水 | ー | ー |
症例解説
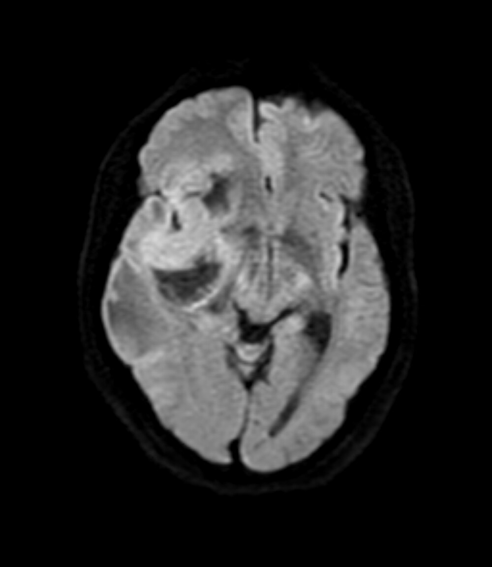
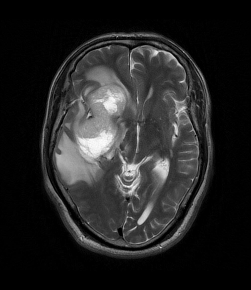
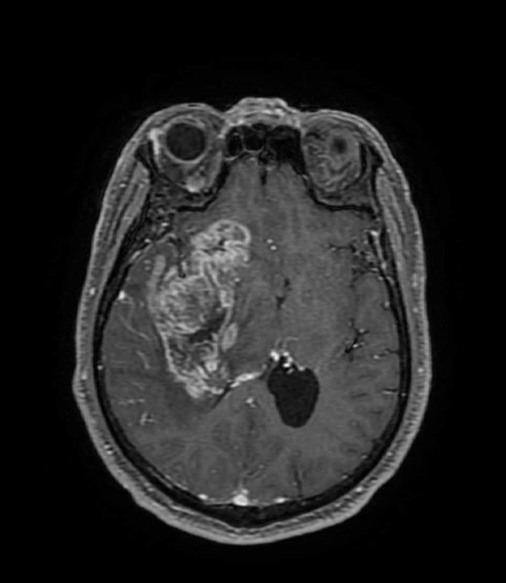
2週間前からの頭痛にて前医を受診し、CTで頭蓋内腫瘤や脳浮腫を認めたため、当院へ救急搬送された。当院で施行された造影MRIでは右側頭葉~前頭葉に約7.5×4cmの辺縁不整な腫瘤を認め、膠芽腫が疑われた。その後手術が施行され膠芽腫の診断に至り、手術後は化学放射線治療が施行された。
当該疾患の診断における造影MRIの役割
受診当日に施行されたCT/MRIにて偶発的に腫瘤が発見された。非造影のCTやT1強調画像、T2強調画像、拡散強調画像などでは腫瘤の存在や輪郭が不明瞭であることも多く、本症例のように造影を行うことで腫瘤の詳細な評価が可能となる。一般的には転移性脳腫瘍や脳膿瘍などが鑑別となり、その他のシーケンスや体幹部の所見、臨床データなどとも併せて診断を行うことが重要である。
9.特定の背景を有する患者に関する注意【電子添文より抜粋】
9.8 高齢者
患者の状態を十分に観察しながら慎重に投与すること。一般に生理機能が低下している。