症例・導⼊事例
※ご紹介する症例は臨床症例の一部を紹介したもので、全ての症例が同様な結果を示すわけではありません。
好酸球増多症における肝病変
施設名: 広島市立北部医療センター安佐市民病院
執筆者: 放射線診断科 副部長 須磨 侑子 先生
作成年月:2025年7月
※ 効能又は効果、用法及び用量、警告・禁忌を含む注意事項等情報等については、電子添文をご参照ください。
はじめに
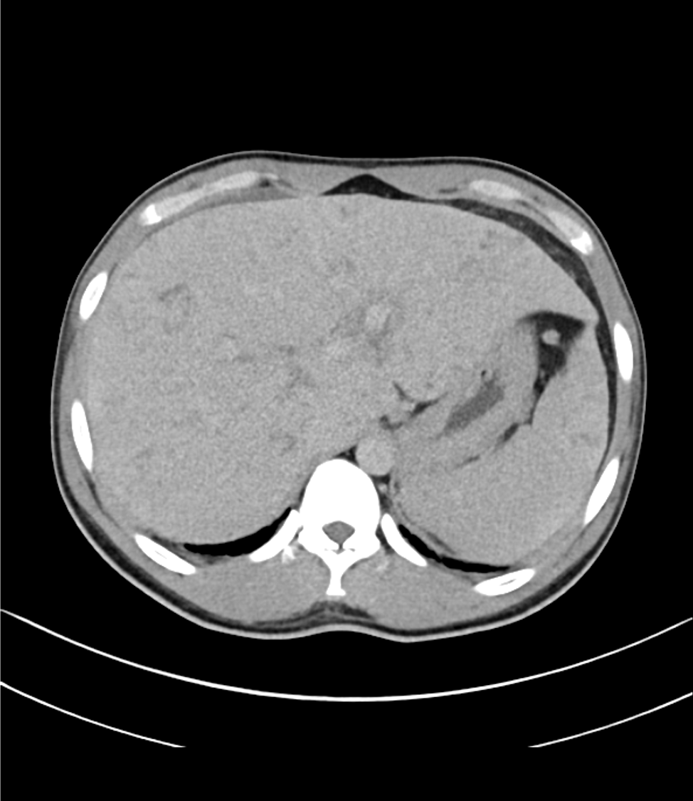
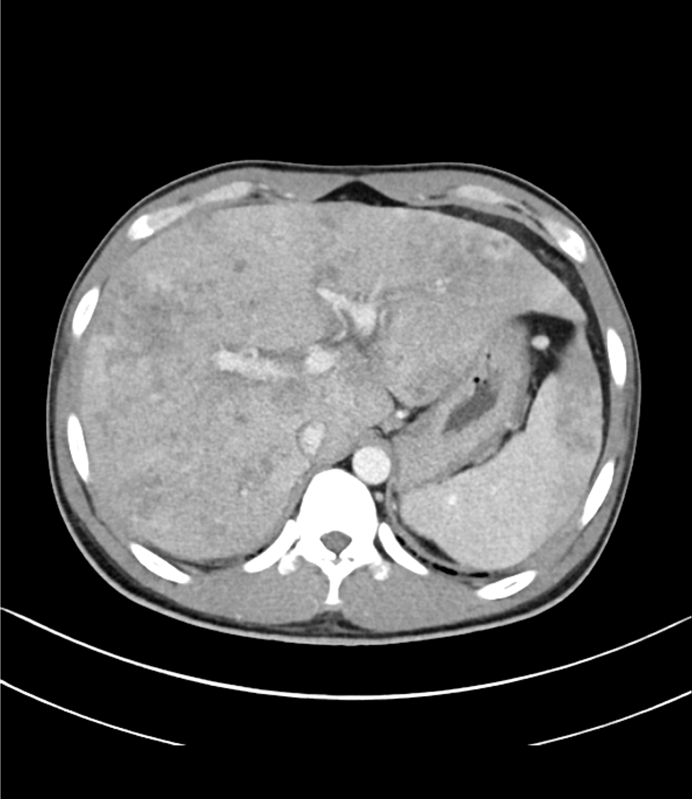
症例背景
20歳代、男性、70kg、肝蛭症
検査目的
発熱、好酸球増多症があり寄生虫感染の精査目的
使用造影剤
イオプロミド370注シリンジ100mL「BYL」/ 100mL
症例解説
ライギョを加熱不十分で食べたエピソードと、発熱、好酸球増多があり、寄生虫感染が疑われ、精査目的にCTを撮像した。
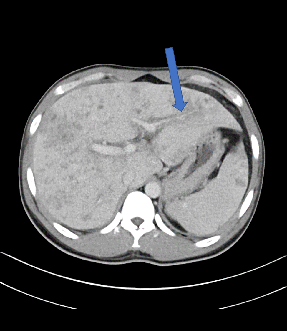
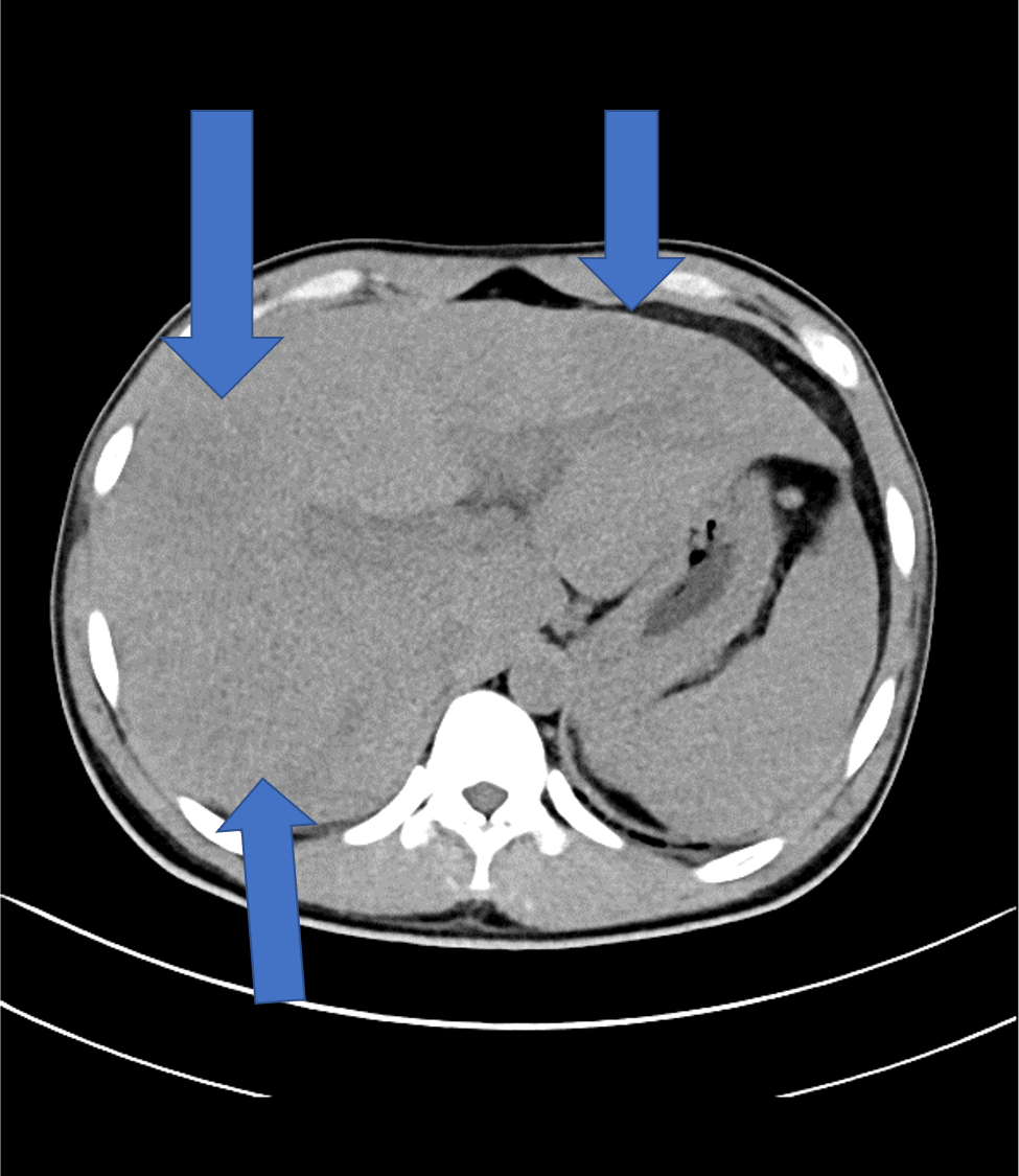
肝内に地図状の乏血性の領域や、病変内に門脈枝の貫通像がみられ、これらは好酸球増多症における肝病変として矛盾しない所見であった。
後日肝蛭症の診断となった。
撮影プロトコル
表は横スクロールでご覧いただけます。
| 使用機器 | CT機種名/メーカー名 | SOMATOM Definition Flash / SIEMENS |
| CT検出器の列数/スライス数 | 128スライス | |
| ワークステーション名/メーカー名 | ー |
撮影条件
表は横スクロールでご覧いただけます。
| 撮影時相 | 単純 | 後期動脈相 | 門脈相 | 平衡相 |
| 管電圧 (kV) | 120 | 120 | 120 | 120 |
| AEC | CARE Dose4D | CARE Dose4D | CARE Dose4D | CARE Dose4D |
| (AECの設定) | ref.mAs 250 | ref.mAs 250 | ref.mAs 250 | ref.mAs 250 |
| ビーム幅 (mm) | 38.4 | 38.4 | 38.4 | 38.4 |
| 撮影スライス厚 (mm) | 0.6 | 0.6 | 0.6 | 0.6 |
| スキャンモード | Helical | Helical | Helical | Helical |
| スキャン速度(sec/rot) | 0.5 | 0.5 | 0.5 | 0.5 |
| ピッチ | 0.7 | 0.7 | 0.7 | 0.7 |
| スキャン範囲 | 上腹部から骨盤 | 上腹部から骨盤 | 上腹部から骨盤 | 上腹部から骨盤 |
| 撮影時間 (sec) | 5 | 5 | 10 | 5 |
| 撮影方向 | 頭→足 | 頭→足 | 頭→足 | 頭→足 |
再構成条件
表は横スクロールでご覧いただけます。
| 単純 | 後期動脈相 | 門脈相 | 平衡相 | |
| ルーチン:再構成スライス厚/間隔 (mm/mm) | 5.0 / 5.0 | 5.0 / 5.0 | 5.0 / 5.0 | 5.0 / 5.0 |
| ルーチン:再構成関数/逐次近似応用法 | I30f / ADMIRE 2 | I30f / ADMIRE 2 | I30f / ADMIRE 2 | I30f / ADMIRE 2 |
| 3D/MPR用:再構成スライス厚/間隔 (mm/mm) | 1.0 / 0.6 | 1.0 / 0.6 | 1.0 / 0.6 | 1.0 / 0.6 |
| 3D/MPR用:再構成関数/逐次近似応用法 | I30f / ADMIRE 3 | I30f / ADMIRE 3 | I30f / ADMIRE 3 | I30f / ADMIRE 3 |
造影条件
| 自動注入器機種名/メーカー名 | STELLANT / メドラッド |
| 造影剤名 | イオプロミド370注シリンジ |
表は横スクロールでご覧いただけます。
| 撮影プロトコル | 後期動脈相 | 門脈相 | 平衡相 |
| 造影剤:投与量 (mgI/Kg) | 600 | ||
| 造影剤:注入速度(mL/sec)、注入時間 (sec) | 注入時間30(sec)固定 | ー | ー |
| 生食:投与量 (mL) | ー | ||
| 生食:注入速度 (mL/sec)、注入時間 (sec) | ー | ||
| スキャンタイミング | 固定法 | ||
| ディレイタイム | 造影剤注入開始40秒後 | 造影剤注入開始70秒後 | 造影剤注入開始180秒後 |
| 留置針サイズ (G) | 22 or 20 | ||
| 注入圧リミット (psi) | 200 | ||
当該疾患の診断における造影CTの役割
好酸球増多症では、肝臓の好酸球浸潤や門脈域を中心とした限局性の壊死が見られる。これらを反映した所見を捉えるのには、ダイナミックCTを撮像することが望ましい。
病変は結節状~地図状などとさまざまな形態で、腫瘤を形成することもあればしないこともある。本症例は腫瘤形成はしていない。
動脈相では乏血性の領域が見られ、門脈相では最もコントラストが強まる。平衡相では遅延性濃染がみられる。本症例はこれらの所見に合致した。
またperiportal collar signを捉えやすいこともダイナミックCTを撮像する利点である。
そして本症例でも見られているが、病変内に門脈が貫通する所見が好酸球増多症における肝病変として特徴的であり、これを門脈相で捉えられることもダイナミックCTを撮像する利点である。
CT技術や撮像プロトコル設定について
造影剤を急速静注して多相性に撮影する肝臓ダイナミックCT検査は、肝腫瘍の鑑別、多血性腫瘍の検出などに有効な検査である。門脈相における肝病変検出のためには肝臓のCT値を50HU上昇させる必要があり、肝臓、門脈、膵臓、大動脈などの十分な造影効果を得るためには体重1kgあたり600mgI以上のヨード量が必要とされている※。また、門脈相における肝臓の最大造影効果は投与されたヨード量に依存するため、高体重の患者においては高濃度のヨード造影剤を使用することで、検査に必要なヨード量を担保することが可能となる。
肝機能障害の精査では、肝実質の吸収値の異常、肝臓の変形や結節形成、腹水、側副血行路の発達、肝実質性病変などの有無を確認する必要があり、肝臓ダイナミックCTを行い、肝動脈相や門脈相の血流評価を行うことも必要である。
※出典元:X線CT撮像ガイドライン、オーム社、p.62 解説