症例・導⼊事例
※ご紹介する症例は臨床症例の一部を紹介したもので、全ての症例が同様な結果を示すわけではありません。
外傷性血気胸による肺内血管外漏出
施設名: JA尾道総合病院
執筆者: 放射線科 森 浩希 先生
作成年月:2025年7月
※ 効能又は効果、用法及び用量、警告・禁忌を含む注意事項等情報等については、電子添文をご参照ください。
はじめに
症例背景
80歳代、女性、42kg、外傷性血気胸、肺挫傷
検査目的
自動車運転中の自損事故、多発外傷
使用造影剤
イオプロミド300注シリンジ100mL「BYL」/ 84mL
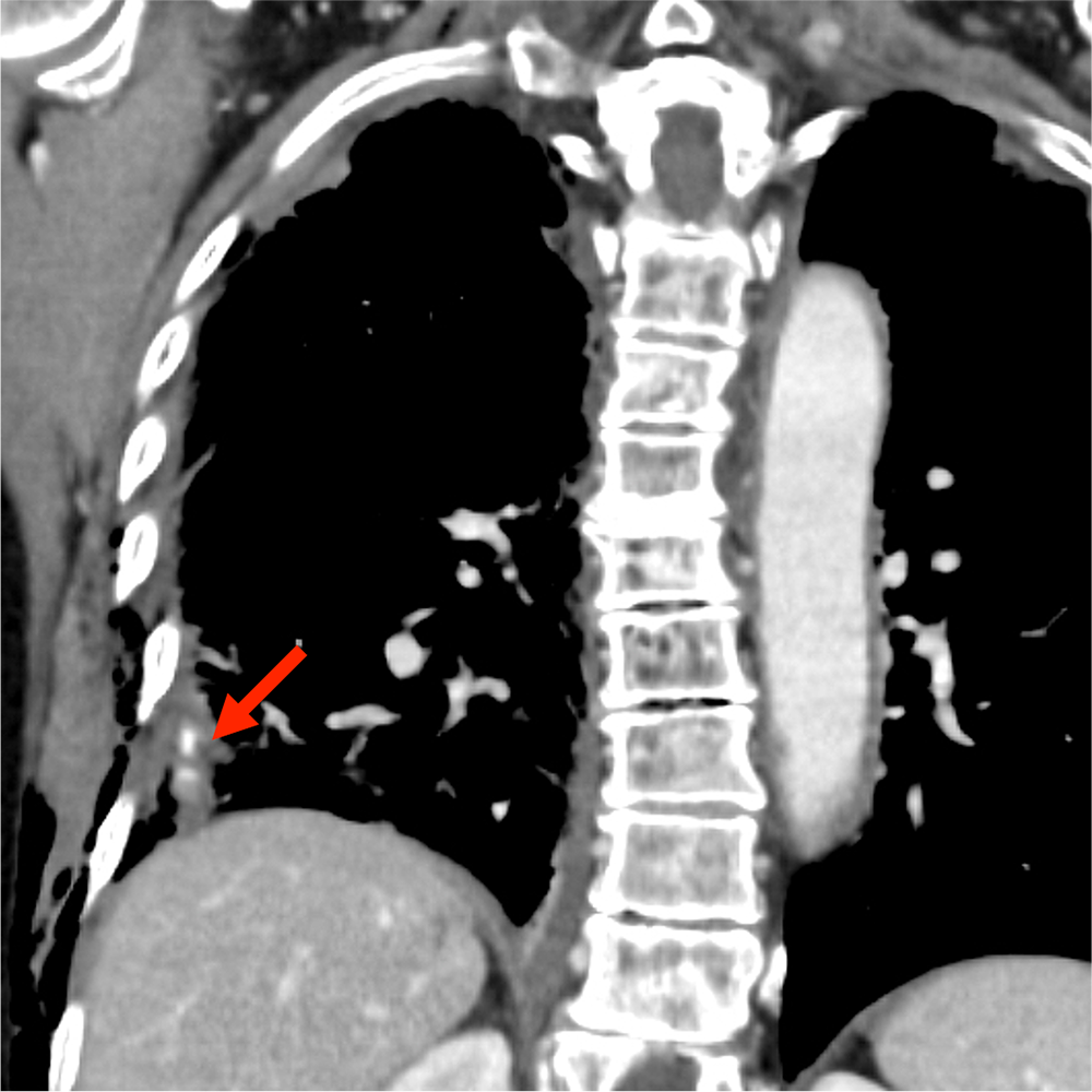
症例解説
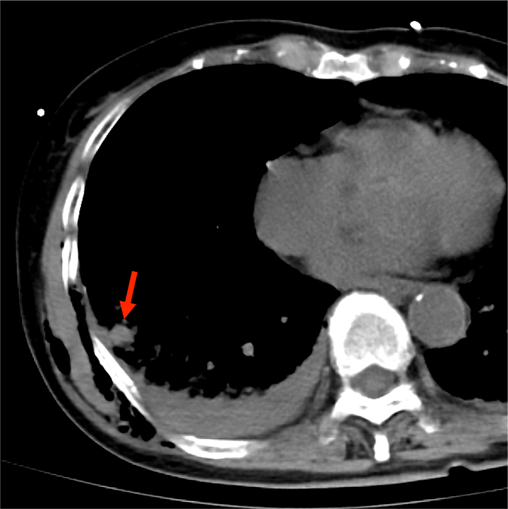
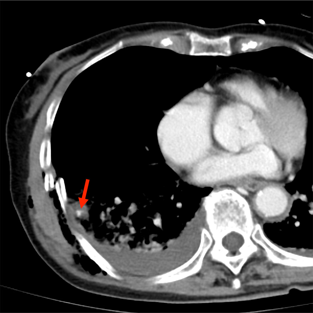
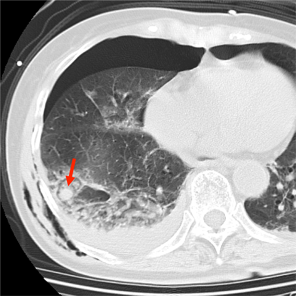
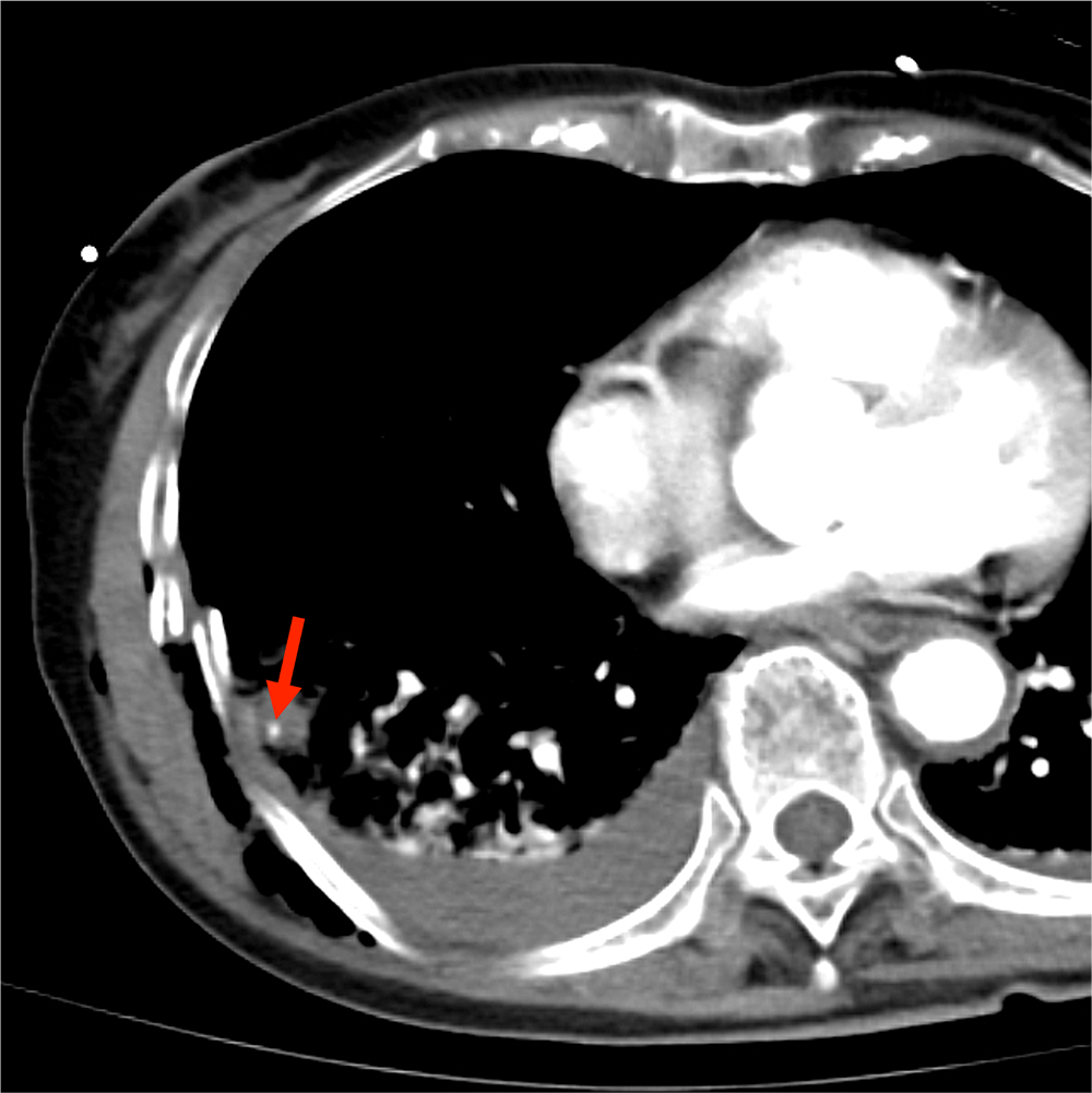
CTでは多発肋骨骨折、外傷性血気胸、肺挫傷、胸壁内気腫が認められた。
挫傷した肺内には結節状構造がみられ、肺気瘤の形成が示唆される。造影CTではこの内部に点状の濃染影が認められ、肺実質内血管外漏出(extravasation in the lung:EVIL)が疑われた。
撮影プロトコル
表は横スクロールでご覧いただけます。
| 使用機器 | CT機種名/メーカー名 | Discovery CT750HD /GE |
| CT検出器の列数/スライス数 | 64 | |
| ワークステーション名/メーカー名 | ー |
撮影条件
表は横スクロールでご覧いただけます。
| 撮影時相 | 単純 | 動脈相 | 平衡相 |
| 管電圧 (kV) | 120 | 120 | 120 |
| AEC | あり | あり | あり |
| (AECの設定) | NI:11.5 | NI:11.5 | NI:11.5 |
| ビーム幅 (mm) | 40 | 40 | 40 |
| 撮影スライス厚 (mm) | 5 | 5 | 5 |
| 焦点サイズ | Large | Large | Large |
| スキャンモード | Helical | Helical | Helical |
| スキャン速度(sec/rot) | 0.5 | 0.5 | 0.5 |
| ピッチ | 0.989 | 0.989 | 0.989 |
| スキャン範囲 | 胸部~骨盤 | 胸部~骨盤 | 胸部~骨盤 |
| 撮影時間 (sec) | 10 | 10 | 10 |
| 撮影方向 | 頭→足 | 頭→足 | 頭→足 |
再構成条件
表は横スクロールでご覧いただけます。
| 単純 | 動脈相 | 平衡相 | |
| ルーチン:再構成スライス厚/間隔 (mm/mm) | 5 / 5 | 5 / 5 | 5 / 5 |
| ルーチン:再構成関数/逐次近似応用法 | Std ASiR-V 40% | Std ASiR-V 40% | Std ASiR-V 40% |
| 3D/MPR用:再構成スライス厚/間隔 (mm/mm) | 0.625 / 0.625 | 0.625 / 0.625 | 0.625 / 0.625 |
| 3D/MPR用:再構成関数/逐次近似応用法 | Std ASiR-V 40% | Std ASiR-V 40% | Std ASiR-V 40% |
造影条件
| 自動注入器機種名/メーカー名 | ー |
| 造影剤名 | イオプロミド300注シリンジ |
表は横スクロールでご覧いただけます。
| 撮影プロトコル | 動脈相 | 平衡相 |
| 造影剤:投与量 (mL) | 84 (600mgI/kg) | ー |
| 造影剤:注入速度(mL/sec)、注入時間 (sec) | 2.8、30 | ー |
| 生食:投与量 (mL) | ー | |
| 生食:注入速度 (mL/sec)、注入時間 (sec) | ー | |
| スキャンタイミング | BT法(腹部大動脈/200HU) | ー |
| ディレイタイム | ー | 動脈相後70秒 |
| 留置針サイズ (G) | 20 | |
| 注入圧リミット (kg/cm2) | 10.0 | |
当該疾患の診断における血管造影の役割
肺挫傷や血気胸は単純CTでも確認できるが、造影CTを追加することで肺内血管外漏出(EVIL)の有無を確認することができる。
血管外漏出は活動性出血の存在を示唆する兆候で、外傷時のCTではまず確認すべき重要な所見である。腹部や骨盤部での血管外漏出は直ちに手術やIVRの適応になることが多いので、読影の際に見落としてはならない所見として認知されているが、肺挫傷で血管外漏出の有無を確認することの重要性はあまり知られていない。
肺挫傷では肺組織に含まれる組織因子が血管内に遊離することで凝固外因系の活性化が生じる。これによりトロンビンの活性化からフィブリン血栓形成が始まり、二次線溶反応が起こる。肺挫傷の場合は出血だけでなく、ショックやアシデミア、低体温が加わりやすく、線溶反応の亢進や著明な出血傾向に陥りやすくなる。つまり広範な肺挫傷やEVILを認めた場合には、凝固破綻に移行しやすくなることを想定して治療にあたる必要がある。
CT技術や撮像プロトコル設定について
本CT装置は64列のマルチスライスCTである。検出器は4cm幅のため、冠動脈や全脳パーフュージョンの撮影には適していないが、躯幹部での動脈相撮影には充分対応できる。動脈相で確実に撮影するためにボーラストラッキング法を採用している。造影剤量は600mgI/kgとすることで、可能なかぎり量を減らすようにしている。
参考文献
妹尾聡美:外傷CT読影-ここに注意!.画像診断Vol.44 No.4増刊号109-116.2024.
使用上の注意【電子添文より抜粋】
9.特定の背景を有する患者に関する注意
9.8 高齢者
患者の状態を観察しながら使用量を必要最小限にするなど慎重に投与すること。本剤は主として、腎臓から排泄されるが、高齢者では腎機能が低下していることが多いため、高い血中濃度が持続するおそれがある。[8.6、9.2.1、9.2.2 参照]