症例・導⼊事例
※ご紹介する症例は臨床症例の一部を紹介したもので、全ての症例が同様な結果を示すわけではありません。
生検手術後に造影所見陽性となった中枢神経系原発悪性リンパ腫の1例
施設名: 独立行政法人 労働者健康安全機構 横浜労災病院
執筆者: 脳神経外科 松永 成生 先生
作成年月:2025年6月
※ 効能又は効果、用法及び用量、警告・禁忌を含む注意事項等情報等については、電子添文をご参照ください。
はじめに
中枢神経系原発悪性リンパ腫(primary central nervous system lymphoma; PCNSL)は、脳・脊髄・眼など中枢神経系に限局して発生するB細胞性リンパ腫である。PCNSLは原発性脳腫瘍の約3~5%を占めるとされている。日本国内の脳腫瘍全国集計調査でも、原発性脳腫瘍の約4.9%がPCNSLと報告され、年間発生数は日本全体で約300人程度と推定される。一方で、欧米や国際的な統計では、年間発生率は人口10万人あたり0.3~0.5人程度とされている。50~80歳代の中高年の免疫正常者に多く、発症者の約80%が50歳以上とされ、急速な症状進行(数日~数週間)を特徴とする。主な症状は、巣症状(麻痺・失語など)、頭蓋内圧亢進症状(頭痛・嘔吐など)、精神症状(認知機能低下・行動変化など)などである。MRI所見の特徴としては、造影によって均一で強い増強効果を示し、95%以上で陽性を認める。好発部位は脳室周囲・基底核・脳梁で、脳梁を横断する「バタフライパターン」が特徴的とされている。また、拡散強調画像では、高細胞密度を反映し高信号・ADC値低下(400‒600 × 10⁻⁶ mm²/s)を示す。PCNSLはステロイド反応性が高く、ステロイド投与により腫瘍が縮小し、造影効果が消失することがあり、診断前に投与すると手術が困難となることがある。生検手術などによりPCNSLの確定診断が得られた場合には、主に化学療法が施行される。現在では高用量メトトレキサート(HD-MTX)、あるいはR-MPV療法(リツキシマブ、メトトレキサート、プロカルバジン、ビンクリスチン)、さらにシタラビンやチオテパなどを加えたMATRix療法などが広く使用される。多くの場合、5~8サイクルの化学療法を行い、初期治療で寛解が得られた後は地固め療法として、全脳放射線療法あるいは自家造血幹細胞移植などによる追加治療が検討される。
ガドビストを用いたMRI検査の方法
手順と撮像 Sequence Parameter
撮像パラメータ
表は横スクロールでご覧いただけます。
| 撮像名 | 撮像シー ケンス | 撮像時間 | TR (msec) | TE (msec) | TI (msec) | FA (deg) | b-value | Fat Sat (種類) | ETL,TF (数) | Parallel Imaging (倍速数) | NEX,Avera ges (加算回数) |
| FLAIR Ax | SE IR | 2:22 | 10000 | 104 | 2550 | 150 | ー | ー | 17 | GRAPPA2 | 1 |
| DWI Ax | EPI | 1:16 | 4600 | 63 | ー | 90 | 0, 1000 | CHESS | 136 | GRAPPA3 | 1 |
| T1 Ax | SE | 2:07 | 450 | 9.7 | ー | 90 | ー | ー | ー | ー | 1 |
| T2 Ax 2mm | TSE | 4:32 | 5000 | 87 | ー | 145 | ー | ー | 12 | GRAPPA2 | 1 |
| T1 Ax CE | SE | 2:07 | 582 | 12 | ー | 90 | ー | ー | ー | GRAPPA2 | 1 |
| T1 VIBE CE | 3D | 3:52 | 4.32 | 1.81 | ー | 10 | ー | ー | ー | ー | 1 |
表は横スクロールでご覧いただけます。
| 撮像名 | FOV (mm) | 面内分解能 (mm) | リード方向 (matrix数) | 位相方向 (step数) | Slice厚 (mm) | Slice Gap (mm) | Slice枚数 | Deep Learning Recon (有無) |
| FLAIR Ax | 220 | 0.9x0.9 | 256 | 179 | 5 | 1 | 25 | 無 |
| DWI Ax | 220 | 1.4x1.4 | 160 | 136 | 5 | 1 | 25 | 無 |
| T1 Ax | 220 | 0.9x0.9 | 256 | 179 | 5 | 1 | 25 | 無 |
| T2 Ax 2 mm | 250 | 0.5x0.5 | 512 | 256 | 2 | 0 | 80 | 無 |
| T1 Ax CE | 220 | 0.9x0.9 | 256 | 179 | 5 | 1 | 25 | 無 |
| T1 VIBE CE | 220 | 0.8x0.8 | 288 | 259 | 1 | 0.2 | 192 | 無 |
| MRI装置 | MAGNETOM Skyra |
| 自動注入器 | Nemoto ソニックショット7 |
| ワークステーション | ー |
表は横スクロールでご覧いただけます。
| 造影条件 | 注入量(mL) | 注入速度(mL/sec) | 撮像タイミング | |
| ガドビスト | 5.7 | 3 |
| |
| 後押し用 生理食塩水 | 10 | 3 |
生検手術前および生検手術1週間後のMRIはいずれも同一の機器で検査を行い、同一の検査プロトコールと撮像パラメータで施行した。
症例
症例背景と造影MRI検査の目的
60歳代、男性、57kg、中枢神経系原発悪性リンパ腫
徐々に進行する認知機能低下、行動異常、右不全片麻痺を認め、頭蓋内の精査目的に頭部MRIが施行された。
症例解説
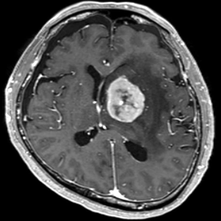
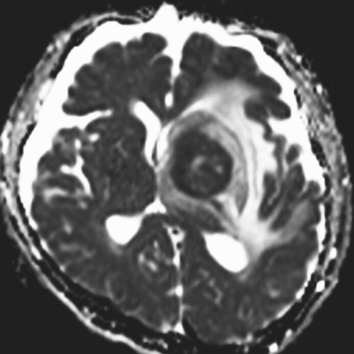
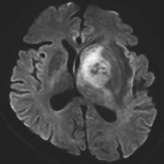
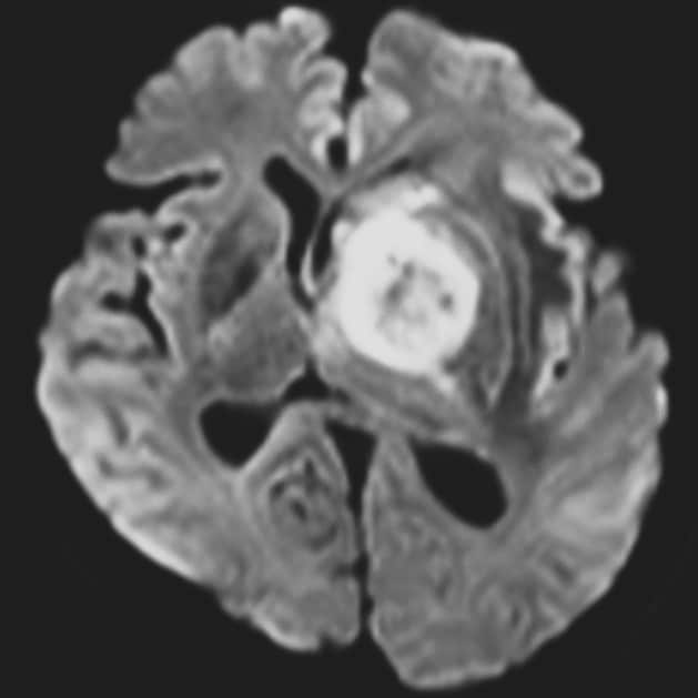
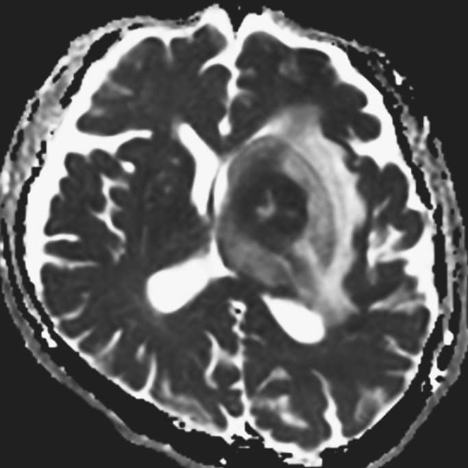
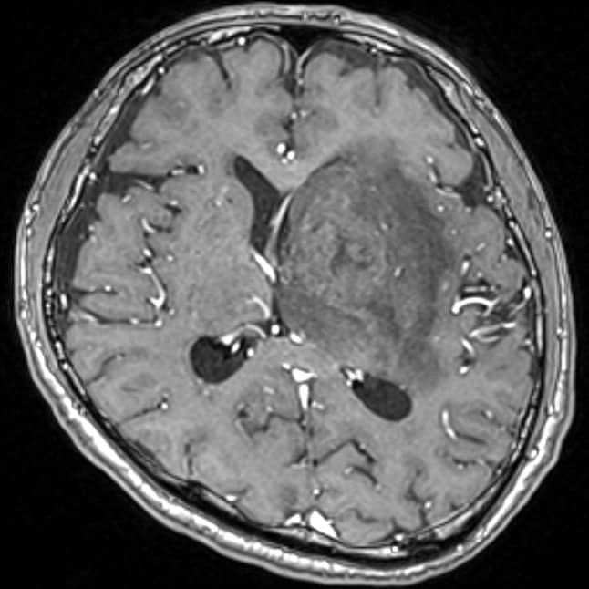
認知機能低下、行動異常、右不全片麻痺の進行を認め、頭蓋内の精査目的に頭部MRIが施行された。左大脳基底核に腫瘍性病変および腫瘍周囲浮腫の所見を認めた。同病変は、造影T1強調像画像では極めて淡い軽度の造影効果を示し、拡散強調画像では軽度の高信号、ADC画像では低信号を示した。診断確定のため生検手術を行った。生検手術1週間後に頭部MRIを施行すると、術前に施行した頭部MRIとは所見が変化し、左大脳基底核の病変は造影T1強調画像では明瞭な造影効果を認め、拡散強調画像でも高信号の増強、ADC画像では低信号を示した。病理組織学的診断は中枢神経系原発悪性リンパ腫であった。そのためR-MPV療法(リツキシマブ、メトトレキサート、プロカルバジン、ビンクリスチン)を施行した。R-MPV療法の経過中の頭部MRIでは、左大脳基底核の病変は縮小傾向を認め、それに伴い初診時に認めていた認知機能低下、行動異常、右不全片麻痺は改善傾向にあり、良好に経過している。
当該疾患の診断における造影MRIの役割
ガドビストは高濃度製剤であり、より高い造影効果が得られるため、中枢神経系悪性病変に関して微小な腫瘍や腫瘍の辺縁部の描出能に優れ、高い検出感度と正診度、そして良好な忍容性が報告されている*1。
中枢神経系原発悪性リンパ腫(PCNSL)についても造影T1強調画像では、高率に均一な強い増強効果を示すとされている*2。しかし本症例のように、初診時は造影所見をほとんど認めず、生検手術後に明瞭な造影所見を認めるように変化するPCNSLの症例も少数ながら報告されている*2。このように造影所見が変化する主なメカニズムとして以下の4つの機序が考えられる。
-
①
生検手術による炎症反応と血液脳関門の破綻*3
生検手術による物理的刺激や炎症メディエーターの放出が局所の血液脳関門を破綻させ、造影剤が腫瘍組織に漏出した。PCNSL細胞が血液脳関門を破壊する前に生検手術が行われた場合、術後の炎症反応で血液脳関門の透過性が亢進し、遅延性の造影効果が現れる可能性が示唆されている。 -
②
腫瘍血管新生の活性化*4
生検操作が腫瘍血管の新生を促進し、微小血管密度が増加することで造影所見が顕在化した。 -
③
腫瘍細胞の曝露と免疫応答*5
生検手術により腫瘍細胞が周囲組織に曝露され、免疫細胞(マクロファージやT細胞)が浸潤し、これに伴いサイトカイン(VEGFなど)が放出され、血液脳関門の透過性が増加し、造影パターンに影響を与えた。 -
④
潜在病変の顕在化*3
初診時の非造影病変は血液脳関門が比較的保たれていた「潜在病変」であり、生検手術が診断遅延を解消し、病態の自然経過を反映した。一般的には時間経過とともに腫瘍細胞が血管周囲に浸潤し、血管内皮細胞を直接障害することで血液脳関門が破綻するが、生検手術がこの過程を可視化した可能性が示唆されている。
非造影PCNSLにおいては、拡散強調画像での高信号やADC値の低下が有用とされているが、画像的診断は困難である場合が多い。そのような症例においては、生検手術によって血液脳関門の破綻・血管新生・免疫応答などの複合機序が作用し、造影所見が明確になることが多いとされている。そのため、非造影PCNSLの診断に関しては、生検手術のタイミングと術後造影MRIの再検査による統合的評価が重要である。
*1 Gutierrez JE, et al. Magn Reson Insights. 8:1-10, 2015. doi: 10.4137/MRI.S19794.
*2 Chen H, et al. Neurosciences (Riyadh). 20(4):380-384, 2015. doi: 10.17712/nsj.2015.4.20150125.
*3 Bowden SG, et al. CNS Oncol. 10(1):CNS67, 2021. doi: 10.2217/cns-2020-0020.
*4 Liu D, et al. Med Sci Monit. 25:3321-3328, 2019. doi: 10.12659/MSM.913439.
*5 Ambady P, et al. Ann Lymphoma. 5:27, 2021. doi: 10.21037/aol-20-53.
9.特定の背景を有する患者に関する注意【電子添文より抜粋】
9.8 高齢者
患者の状態を十分に観察しながら慎重に投与すること。一般に生理機能が低下している。