症例・導⼊事例
※ご紹介する症例は臨床症例の一部を紹介したもので、全ての症例が同様な結果を示すわけではありません。
ガドビストを用いた転移性脳腫瘍の検出
施設名: 足利赤十字病院
執筆者: 放射線診断科 御須 学 先生
作成年月:2025年6月
※ 効能又は効果、用法及び用量、警告・禁忌を含む注意事項等情報等については、電子添文をご参照ください。
はじめに
肺癌は脳転移しやすい癌の一つとして知られており、進行肺癌患者の20~40%に脳転移がみられる。
ガドビストを用いたMRI検査の方法
手順と撮像 Sequence Parameter
撮像パラメータ
| 撮像名 | 撮像シーケンス | 撮像時間 | TR (msec) | TE (msec) | TI (msec) | FA (deg) | ETL,TF (数) | Parallel Imaging (倍速数) | NEX,Averages (加算回数) |
| FLA IR Ax | TSE IR | 2:24 | 9000 | 150 | 2500 | 170 | 17 | 2 | 1 |
| T1 Ax | SE | 1:32 | 520 | 10 | ー | 80 | ー | ー | 1 |
| Gd T2 Ax | TSE | 1:14 | 4000 | 84 | ー | 160 | 13 | 2 | 1 |
| Gd T1 MPRAGE Sag | 3D GRE | 4:14 | 1840 | 3.76 | ー | ー | 154 | 3 | 1 |
| Gd T1 Ax | SE | 1:32 | 520 | 10 | ー | 80 | ー | ー | 1 |
表は横スクロールでご覧いただけます。
| 撮像名 | FOV (mm) | 面内分解能 (mm) | リード方向 (matrix数) | 位相方向 (step数) | Slice厚 (mm) | Slice Gap (mm) | Slice枚数 | Deep Learning Recon (有無) |
| FLA IR Ax | 220 | 0.86*1.15 | 192 | 256 | 5 | 1.8 | 22 | 無 |
| T1 Ax | 220 | 0.86*0.86 | 179 | 256 | 5 | 1.8 | 22 | 無 |
| Gd T2 Ax | 220 | 0.49*0.49 | 291 | 448 | 5 | 1.8 | 22 | 無 |
| Gd T1 MPRAGE Sag | 240 | 0.9*0.9 | 256 | 256 | 1 | 0 | 176 | 無 |
| Gd T1 Ax | 220 | 0.86*0.86 | 179 | 256 | 5 | 1.8 | 22 | 無 |
| MRI装置 | Siemens Avanto fit |
| 自動注入器 | ー |
| ワークステーション | ー |
表は横スクロールでご覧いただけます。
| 造影条件 | 注入量 | 注入速度(mL/sec) | 撮像タイミング | |
| ガドビスト | 0.1 mL/Kg | ー | ー | |
| 後押し用 生理食塩水 | 20 mL | ー |
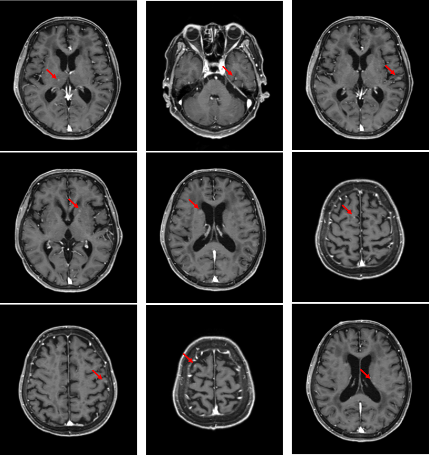
症例解説
右下葉肺腺癌cT4N0M1c StageⅣBの診断となり、化学療法を行う方針となった。
当該疾患の診断における造影MRIの役割
造影MRIは脳転移の検出において最も感度が高い検査であり、非侵襲的に微小な脳転移も描出可能とされる。脳転移の有無、数、場所が明確になることで予後の予測や治療方針の決定に寄与する。他の病変(原発性脳腫瘍、脳膿瘍など)との鑑別や治療効果の判定、経過観察にも有用である。治療後の画像で再発と壊死の鑑別が難しい場合があり、PETやMRSなどの追加検査が必要な場合がある。また、ガドリニウム造影アレルギーの既往のある患者は禁忌であり、重篤な腎障害機能障害のある患者は電子添文での警告に該当する。
本症例ではガドビスト投与による造影MRIで微小な脳転移を検出することが可能だった。
使用上の注意【 電子添文より抜粋】
1.警告
1.2 重篤な腎障害のある患者では、ガドリニウム造影剤による腎性全身性線維症の発現のリスクが上昇することが報告されているので、腎障害のある患者又は腎機能が低下しているおそれのある患者では、十分留意すること。[9.2.1-9.2.3、11.1.3参照]2.禁忌(次の患者には投与しないこと)
本剤の成分又はガドリニウム造影剤に対し過敏症の既往歴のある患者9.特定の背景を有する患者に関する注意
9.8 高齢者
患者の状態を十分に観察しながら慎重に投与すること。一般に生理機能が低下している。