症例・導⼊事例
※ご紹介する症例は臨床症例の一部を紹介したもので、全ての症例が同様な結果を示すわけではありません。
pilocytic astrocytomaの1例
施設名: 公立館林厚生病院
執筆者: 放射線診断科 遠山 兼史 先生
作成年月:2025年6月
※ 効能又は効果、用法及び用量、警告・禁忌を含む注意事項等情報等については、電子添文をご参照ください。
はじめに
pilocytic astrocytomaは、よく分化したastrocytomaの亜型であり、小児~若年成人に多く発生し、小脳や視神経に多く発生することが多いが、脳幹や大脳発生も報告されている。WHO grade 1の腫瘍であり、完全摘出できれば長期予後が望める一方で、不完全な摘出では再発することがある。術前の画像検査にて局在を見極めることが重要である。
ガドビストを用いたMRI検査の方法
手順と撮像 Sequence Parameter
撮像パラメータ
表は横スクロールでご覧いただけます。
| 撮像名 | 撮像シーケンス | 撮像時間 | TR (msec) | TE (msec) | TI (msec) | FA (deg) | b-value (sec/mm2) | Fat Sat (種類) | ETL,TF (数) | Parallel Imaging (倍速数) | NEX,Averages (加算回数) |
| flair tra | FLAIR | 2:42 | 9000 | 114 | 2500 | 170 | ー | ー | 18 | 2 | 1 |
| diffusion resolve | DWI | 1:46 | 4800 | 73 | ー | 180 | 1000 | CHESS | 82 | 2 | 1 |
| t1 starvibe fs sag | T1WI 3D | 3:44 | 3.29 | 1.8 | ー | 9 | ー | CHESS | none | none | 1 |
| t2 tse tra | T2WI | 2:12 | 4000 | 85 | ー | 160 | ー | ー | 9 | 2 | 2 |
| t2 tse tra 3mm | T2WI | 2:03 | 3500 | 87 | ー | 170 | ー | ー | 12 | none | 1 |
| t1 tse tra 3mm | T1WI | 2:06 | 539 | 13 | ー | 160 | ー | ー | 3 | none | 1 |
| t1 se tra fc ce | 造影T1WI | 2:50 | 400 | 17 | ー | 80 | ー | ー | none | none | 1 |
| t1 se sag fc ce | 造影T1WI | 3:39 | 400 | 17 | ー | 80 | ー | ー | none | none | 1 |
| t1 se cor fc ce | 造影T1WI | 3:12 | 400 | 17 | ー | 80 | ー | ー | none | none | 1 |
| Gd t1 tse tra 3mm | 造影T1WI | 2:06 | 539 | 13 | ー | 160 | ー | ー | 3 | none | 1 |
| t1 starvibe fs sag ce | 造影T1WI 3D | 3:44 | 3.29 | 1.8 | ー | 9 | ー | CHESS | none | none | 1 |
表は横スクロールでご覧いただけます。
| 撮像名 | FOV (mm) | 面内分解能 (mm) | リード方向 (matrix数) | 位相方向 (step数) | Slice厚 (mm) | Slice Gap (mm) | Slice枚数 | Deep Learning Recon (有無) |
| flair tra | 220 | 1.01×0.86 | AP 256 | RL(85%) 197 | 7 | 2 | 21 | none |
| diffusion resolve | 220 | 1.35×1.15 | AP 192 | RL(70%) 163 | 7 | 2 | 21 | none |
| t1 starvibe fs sag | 250 | 0.98×0.98 | HF 256 | AP 151(7/8) | 1 | 0.2 | 192 | none |
| t2 tse tra | 220 | 0.88×0.57 | AP 384 | RL(65%) 226 | 7 | 2 | 21 | none |
| t2 tse tra 3mm | 180 | 0.67×0.47 | AP 384 | RL(60%) 269 | 3 | 0.6 | 17 | none |
| t1 tse tra 3mm | 180 | 0.78×0.47 | AP 384 | RL(60%) 230 | 3 | 0.6 | 17 | none |
| t1 se tra fc ce | 220 | 0.98×0.69 | AP 320 | RL(70%) 207 | 7 | 2 | 21 | none |
| t1 se sag fc ce | 220 | 0.98×0.69 | AP 320 | RL(70%) 224 | 7 | 1.4 | 21 | none |
| t1 se cor fc ce | 220 | 0.98×0.69 | AP 320 | RL(70%) 213 | 7 | 2 | 20 | none |
| Gd t1 tse tra 3mm | 180 | 0.78×0.47 | AP 384 | RL(60%) 230 | 3 | 0.6 | 17 | none |
| t1 starvibe fs sag ce | 250 | 0.98×0.98 | HF 256 | AP 151(7/8) | 1 | 0.2 | 192 | none |
| MRI装置 | Magnetom Aera |
| 自動注入器 | ー |
| ワークステーション | Ziostation 2 plus |
表は横スクロールでご覧いただけます。
| 造影条件 | 注入量(mL) | 注入速度(mL/sec) | 撮像タイミング | |
| ガドビスト | 5.5 | 1.0 | ・造影T1強調画像(全脳) Tra →造影剤投与後2分30秒 ・造影T1強調画像(全脳) Sag →造影剤投与後5分50秒 ・造影T1強調画像(全脳) Cor →造影剤投与後9分30秒 ・造影T1強調画像(病変部3mm) Cor →造影剤投与後13分10秒 ・造影 脂肪抑制T1強調画像(3D) Sag →造影剤投与後15分30秒 | |
| 後押し用 生理食塩水 | 20 | 1.0 |
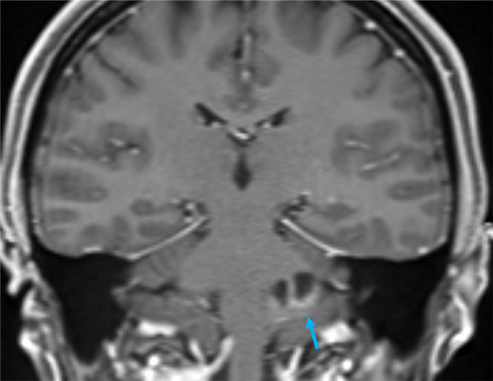
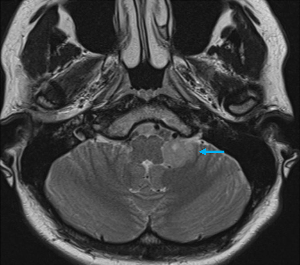
症例
症例背景と造影MRI検査の目的
40歳代、女性、55kg、pilocytic astrocytoma
2か月前から頭重感および嘔気が持続しており、他院の単純CTにて左小脳腫瘍が疑われた。当院紹介となり、造影MRIが撮影された。
症例解説
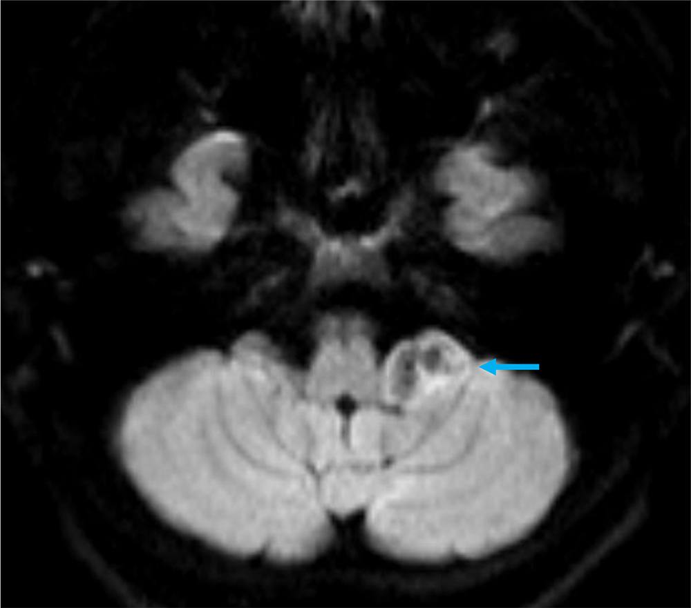
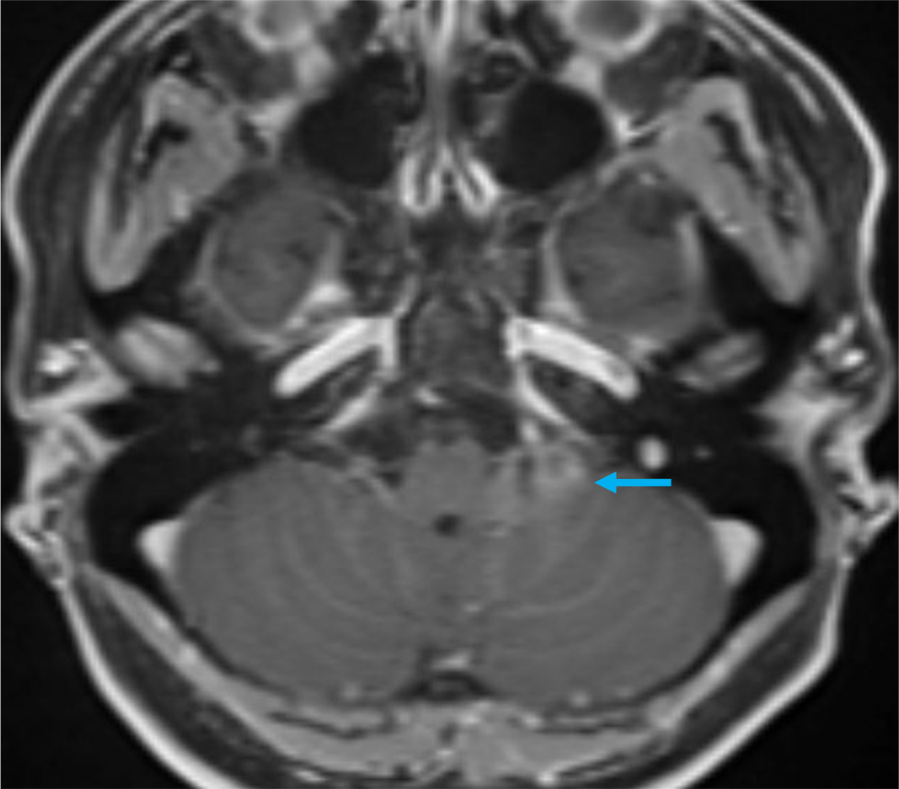
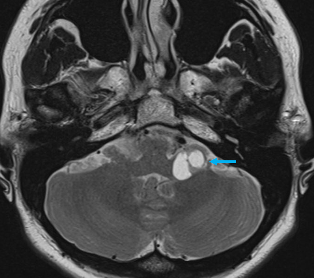
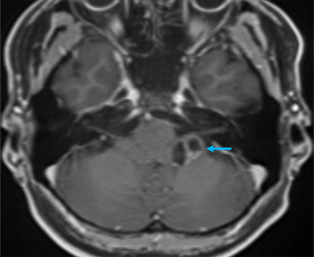
本症例では左小脳延髄角部に嚢胞成分を伴う腫瘍が存在し、左下位脳神経からの発生、もしくは小脳実質内腫瘍の鑑別が重要であった。前者であれば神経鞘腫、後者であればpilocytic astrocytomaの可能性が高くなる。3Dの脂肪抑制T1強調画像を撮影し、小脳実質内の可能性が高く、pilocytic astrocytomaを上位に考えた。手術が施行され、無事に完全摘出され上記の診断となった。
当該疾患の診断における造影MRIの役割
小脳腫瘍の鑑別において、造影MRIは必須である。本症例のように若年者の小脳実質内腫瘍の場合、特に血管芽腫との区別が重要となる。血管芽腫も嚢胞成分を伴う腫瘤を呈することが多いが、充実成分は強い造影効果を呈する。本症例は血管芽腫を疑うような強い造影効果とは言えず、pilocytic astrocytomaを疑うことが可能であった。