症例・導⼊事例
※ご紹介する症例は臨床症例の一部を紹介したもので、全ての症例が同様な結果を示すわけではありません。
症候性 三叉神経鞘腫の一例
施設名: 公立館林厚生病院
執筆者: 放射線診断科 遠山 兼史 先生
作成年月:2025年6月
※ 効能又は効果、用法及び用量、警告・禁忌を含む注意事項等情報等については、電子添文をご参照ください。
はじめに
三叉神経鞘腫はその10%ほどが頭蓋外に発生すると報告されており、片側性の顔面痛などの特徴的な症状にて受診するが多い。手術により機能およびQOLが阻害されている場合は手術の適応となることがあるが、発生部位により手術難度が異なることもあり、術前の画像にて進展範囲を詳細に検討する必要がある。
ガドビストを用いたMRI検査の方法
手順と撮像 Sequence Parameter
撮像パラメータ
表は横スクロールでご覧いただけます。
| 撮像名 | 撮像シーケンス | 撮像時間 | TR (msec) | TE (msec) | TI (msec) | FA (deg) | Fat Sat (種類) | ETL,TF (数) | Parallel Imaging (倍速数) | NEX,Averages (加算回数) |
| flair tra | FLAIR | 2:42 | 9000 | 114 | 2500 | 170 | ー | 18 | 2 | 1 |
| t2 star tra | T2*WI | 1:42 | 522 | 20 | none | 20 | ー | none | none | 1 |
| trufi tra | CISS | 2:31 | 6.24 | 2.7 | none | 70 | ー | none | 2 | 1 |
| t2 cor | T2WI | 1:57 | 4260 | 102 | none | 160 | ー | 10 | 2 | 1 |
| t1 starvibe fs sag | 脂肪抑制T1WI | 3:44 | 3.29 | 1.83 | none | 9 | CHESS | none | none | 1 |
| t2 tse tra | T2WI | 2:12 | 4000 | 85 | none | 160 | ー | 9 | 2 | 2 |
| t1 tse tra 3mm | T1WI | 3:30 | 598 | 13 | none | 136 | ー | 3 | none | 1 |
| t1 se tra fs ce | 造影T1WI | 2:17 | 647 | 17 | none | 80 | ー | none | none | 1 |
| t1 se cor fs ce | 造影T1WI | 3:12 | 400 | 17 | none | 80 | ー | none | none | 1 |
| Gd t1 tse tra 3mm | 造影T1WI | 3:30 | 598 | 13 | none | 136 | ー | 3 | none | 1 |
| Gd t1 tse sag 3mm | 造影T1WI | 3:30 | 598 | 13 | none | 136 | ー | 3 | none | 1 |
| Gd t1 tse cor 3mm | 造影T1WI | 2:32 | 434 | 13 | none | 160 | ー | 3 | none | 1 |
| t1 starvibe fs sag ce | 造影 脂肪抑制 T1WI | 3:44 | 3.29 | 1.83 | none | 9 | CHESS | none | none | 1 |
表は横スクロールでご覧いただけます。
| 撮像名 | FOV (mm) | 面内分解能 (mm) | リード方向 (matrix数) | 位相方向 (step数) | Slice厚 (mm) | Slice Gap (mm) | Slice枚数 | Deep Learning Recon (有無) |
| flair tra | 220 | 0.43×0.43 | AP 256 | RL(85%) 197 | 7 | 1.96 | 20 | なし |
| t2 star tra | 220 | 0.69×0.69 | AP 320 | RL(70%) 196 | 7 | 1.96 | 20 | なし |
| trufi tra | 160 | 0.63×0.63 | AP 256 | RL(100%) 256 | 1 | 1.2 | 20 | なし |
| t2 cor | 220 | 0.49×0.49 | HF 448 | RL(60%) 269 | 5 | 1 | 30 | なし |
| t1 starvibe fs sag | 250 | 0.98×0.98 | HF 256 | AP | 1 | 0.2 | 192 | なし |
| t2 tse tra | 220 | 0.57×0.57 | AP 384 | RL(65%) 226 | 7 | 1.96 | 20 | なし |
| t1 tse tra 3mm | 180 | 0.47×0.47 | AP 384 | RL(60%) 230 | 3 | 0.6 | 30 | なし |
| t1 se tra fs ce | 220 | 0.69×0.69 | AP 320 | RL(70%) 207 | 7 | 1.96 | 20 | なし |
| t1 se cor fs ce | 220 | 0.69×0.69 | AP 320 | RL(70%) 213 | 7 | 1.96 | 22 | なし |
| Gd t1 tse tra 3mm | 180 | 0.47×0.47 | AP 384 | RL(60%) 230 | 3 | 0.6 | 30 | なし |
| Gd t1 tse sag 3mm | 180 | 0.47×0.47 | HF 384 | AP(60%) 230 | 3 | 0.6 | 30 | なし |
| Gd t1 tse cor 3mm | 180 | 0.47×0.47 | HF 384 | RL(60%) 230 | 3 | 0.6 | 23 | なし |
| t1 starvibe fs sag ce | 250 | 0.98×0.98 | HF 256 | AP | 1 | 0.2 | 192 | なし |
| MRI装置 | Magnetom Aera (シーメンス) |
| 自動注入器 | ー |
| ワークステーション | Ziostation 2 plus |
表は横スクロールでご覧いただけます。
| 造影条件 | 注入量(mL) | 注入速度(mL/sec) | 撮像タイミング | |
| ガドビスト | 7.5 | 1.0 | ・造影T1強調画像(全脳) Tra →造影剤投与後2分30秒 ・造影T1強調画像(全脳) Cor →造影剤投与後5分50秒 ・造影T1強調画像(病変部3mm) Tra →造影剤投与後9分30秒 ・造影T1強調画像(病変部3mm) Sag →造影剤投与後13分10秒 ・造影T1強調画像(病変部3mm) Cor →造影剤投与後15分50秒 ・造影 脂肪抑制T1強調画像(3D) Sag →造影剤投与後19分50秒 | |
| 後押し用 生理食塩水 | 20 | 1.0 |
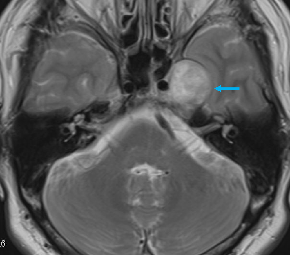
症例
症例背景と造影MRI検査の目的
40歳代、男性、75㎏、三叉神経鞘腫
1ヵ月ほど前から左顔面の痺れ~疼痛、感覚低下を自覚。当院紹介となり、頭部MRIで精査された。
症例解説
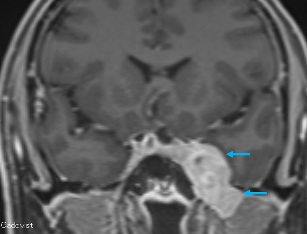
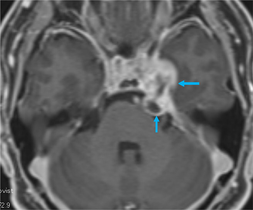
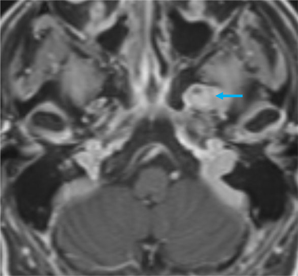
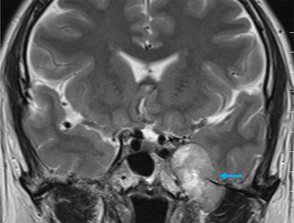
単純MRIのT2強調画像では左メッケル腔から背側に突出する腫瘍を認め、三叉神経鞘腫と髄膜腫が鑑別となる。Gd造影剤の脂肪抑制T1強調画像では腫瘍は全体に濃染し、冠状断では卵円孔を介した頭蓋外進展が見られ、三叉神経鞘腫の可能性が高い。内側では海綿静脈洞を圧排、背側では橋の軽度圧排も見られる。有症状であり、手術が施行され、三叉神経鞘腫と診断された。
当該疾患の診断における造影MRIの役割
三叉神経鞘腫を確実に診断するためには、神経走行に沿った進展を確認することである。Gd造影剤を用いた3Dの脂肪抑制T1強調画像を撮影することで、thin sliceの造影CTと同様に後から再構成したMPRを作成するにより、腫瘍の進展方向を確実に診断することが可能であり、本症例には必須のシーケンスと思われた。