症例・導⼊事例

※ご紹介する症例は臨床症例の一部を紹介したもので、全ての症例が同様な結果を示すわけではありません。

冠動脈肺動脈瘻

施設名: 医療法人社団日高会 日高病院
執筆者: 循環器内科 荒井 洋 先生、診療放射線科 福島 輝泰 先生、高橋 咲子 先生、須田 悟志 先生
作成年月:2025年1月

※ 効能又は効果、用法及び用量、警告・禁忌を含む注意事項等情報等については、電子添文をご参照ください。

はじめに

症例背景

70歳代、女性、66kg、冠動脈肺動脈瘻

検査目的

不定期に胸苦が見られ、冠動脈CTを施行。冠動脈肺動脈瘻が見つかりCAGが実施された。

使用造影剤(血管造影)

血管造影: イオプロミド370注100mL「BYL」/ 76mL
心臓CT: イオプロミド370注シリンジ100mL「BYL」/ 41mL

症例解説

CAG…高度狭窄なし。
RCA→Lt.PA、LCA→Lt.PAへfistula、LCAからのfistulaにはaneurysmφ5-7mm。右心圧は問題無く、CI・CO保たれていた。瘤の大きさを考慮し、経過観察となった。

画像所見

図1.心臓CT(VR)
冠動脈CTにて右冠動脈肺動脈瘻を認める。

図2.心臓CT(VR)
冠動脈CTにて左冠動脈肺動脈瘻を認める。

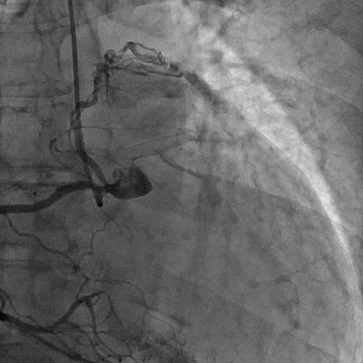
図3.冠動脈造影(左冠動脈)RAO:CAU
左冠動脈造影にて瘤を伴った左冠動脈肺動脈瘻を認める。

図4.冠動脈造影(左冠動脈)LAO:CRA
左冠動脈造影にて瘤を伴った左冠動脈肺動脈瘻を認める。

図5.冠動脈造影(右冠動脈)AP拡張期
右冠動脈造影にて右冠動脈肺動脈瘻を認める。

図6.冠動脈造影(右冠動脈)AP収縮期

撮影プロトコル

表は横スクロールでご覧いただけます。

使用機器血管造影血管撮影装置名 / メーカー名INFX-8000v/JF / キヤノンメディカルシステムズ株式会社
心臓CTCT機種名 / メーカー名Aquilion ONE / キヤノンメディカルシステムズ株式会社
CT検出器の列数 / スライス数320列 / 640スライス
ワークステーション名 / メーカー名SYNAPSE VINCENT / 富士フイルム株式会社

撮影条件

表は横スクロールでご覧いただけます。

撮影時相単純動脈相
管電圧 (kV)120120
AECSD16SD7.5
(AECの設定)体幹部標準関数5mm体幹部標準関数5mm
ビーム幅 (mm)140140
撮影スライス厚 (mm)0.50.5
焦点サイズSmallSmall
スキャンモードVolumeVolume
スキャン速度(sec/rot)0.2750.275
スキャン範囲心臓心臓
撮影時間 (sec)0.275HRによるが今回は0.275×2(2Beat)
撮影方向固定固定

再構成条件

表は横スクロールでご覧いただけます。

 単純動脈相
ルーチン:再構成スライス厚/間隔 (mm/mm)3.0 / 3.01.0 / 1.0
ルーチン:再構成関数/逐次近似応用法FC04 / AIDR 3D eStandardFC04 / AIDR 3D eStandard
3D/MPR用:再構成スライス厚/間隔 (mm/mm)0.5 / 0.25
3D/MPR用:再構成関数/逐次近似応用法FC04 / AIDR 3D eStandard

造影条件

表は横スクロールでご覧いただけます。

血管造影自動注入器機種名 / メーカー名ACIST CVi / ブラッコ・ジャパン株式会社
造影剤名イオプロミド370注100mL「BYL」
心臓CTメーカー名Dual Shot GX7 / 株式会社 根本杏林堂
造影剤名イオプロミド370注シリンジ100mL「BYL」

表は横スクロールでご覧いただけます。

撮影プロトコル:心臓CT動脈相
造影剤:投与量 (mgI/kg/sec)23
造影剤:注入速度(mL/sec)、注入時間 (sec)4.1、10
生食:投与量 (mL)28
生食:注入速度(mL/sec)、注入時間 (sec)4.1、7
スキャンタイミングBT法(上行大動脈 / 150HU)
ディレイタイム造影剤注入開始10秒後モニタリング開始。CT閾値に達し、吸気指示2秒後に撮影開始。
留置針サイズ (G)20
注入圧リミット (kg/cm²)13

血管造影:右橈骨動脈よりアプローチ、共用カテーテルを使用。ACISTを用いてLCA・RCA 3mL/secを冠動脈より注入。一回撮影の造影剤量6.2mL使用。

当該疾患の診断における血管造影の役割

冠動脈CTでは造影剤が経静脈的に注入され、右心系-肺循環、左心系を経由し大動脈に造影剤が到達した時点で撮影が開始される。その為、左右冠動脈が同時に造影されることになる。

今回の症例では、冠動脈CTで冠動脈肺動脈瘻が見つかったがCAGを行うことで各冠動脈を造影することでRCA→Lt.PA、LCA→Lt.PAへfistula、LCAからのfistulaにはaneurysmφ5-7mmがあることがわかりより詳細な情報が得られた。

使用上の注意【電子添文より抜粋】

  • 9.特定の背景を有する患者に関する注意

    9.8 高齢者
    患者の状態を観察しながら使用量を必要最小限にするなど慎重に投与すること。本剤は主として、腎臓から排泄されるが、高齢者では腎機能が低下していることが多いため、高い血中濃度が持続するおそれがある。[8.6、9.2.1、9.2.2 参照]